Gene Expression Data
Assay Details
|
Assay
|
|
Reference:
|
J:60228
Yuan B, et al., Inhibition of distal lung morphogenesis in Nkx2.1(-/-) embryos. Dev Dyn. 2000 Feb;217(2):180-90
|
|
Assay type:
|
Immunohistochemistry
|
|
MGI Accession ID:
|
MGI:6198634
|
|
Gene symbol:
|
Lamb1
|
|
Gene name:
|
laminin B1
|
|
Antibody:
|
anti-laminin B1
|
|
Detection system:
|
Biotinylated secondary antibody/[Strept]avidin coupled to horseradish peroxidase
|
|
|
Results
|
Specimen
3A:
embryonic day 18.0
(more )
Specimen
3A:
(close )
|
Genetic Background:
|
Swiss Webster
|
|
Age:
|
embryonic day 18.0
|
|
Age Note:
|
Age of embryo at noon of plug day not specified in reference.
|
|
Sex:
|
Not Specified
|
|
Type:
|
section
|
|
Fixation:
|
4% Paraformaldehyde
|
|
Embedding:
|
Paraffin
|
| Structure |
Level |
Pattern |
Image |
Note |
| TS26: lung |
Present |
|
3A
|
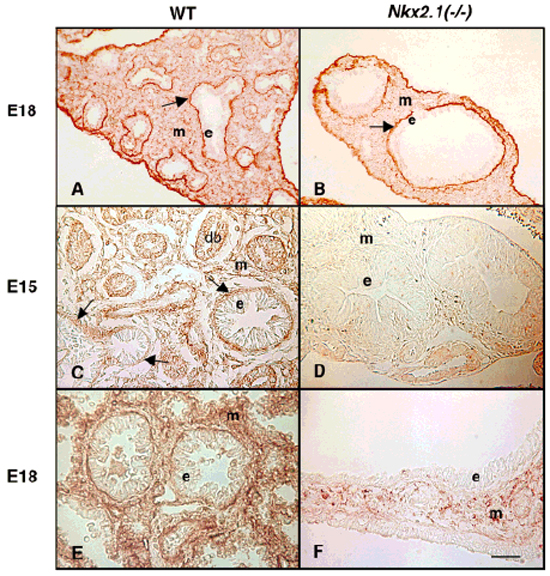
Expressed in the subepithelial basement membrane.
|
Specimen
3B:
(close )
|
Genetic Background:
|
involves: 129S4/SvJae
|
|
Mutant Allele(s):
|
Nkx2-1tm1Shk/Nkx2-1tm1Shk
|
|
Age:
|
embryonic day 18.0
|
|
Age Note:
|
Age of embryo at noon of plug day not specified in reference.
|
|
Sex:
|
Not Specified
|
|
Type:
|
section
|
|
Fixation:
|
4% Paraformaldehyde
|
|
Embedding:
|
Paraffin
|
| Structure |
Level |
Pattern |
Image |
Note |
| TS26: lung |
Present |
|
3B
|
Expressed in the subepithelial basement membrane, similar to the pattern observed in wild-type.
|
|