About   Help   FAQ
Gene Expression Data
Assay Details
Assay
Reference: J:211339 Al-Zahrani KN, et al., Essential role for the SLK protein kinase in embryogenesis and placental tissue development. Dev Dyn. 2014 May;243(5):640-51
Assay type: Immunohistochemistry
MGI Accession ID: MGI:6159687
Gene symbol: Tubb3
Gene name: tubulin, beta 3 class III
Antibody: anti-Tuj1
Detection system: Secondary antibody coupled to horseradish peroxidase
Results
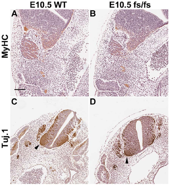
Specimen 4C: embryonic day 10.5 (more )
Structure Level Pattern Image Note
TS17: neural tube Present 4C

Specimen 4D: embryonic day 10.5; SlkGt(BC0415)Wtsi/SlkGt(BC0415)Wtsi (more )
Structure Level Pattern Image Note
TS17: neural tube Present 4D The size of the neuronal compartment is reduced in this mutant compared to wild-type.

Specimen 5I: embryonic day 12.5 (more )
Structure Level Pattern Image Note
TS20: nervous system Present 5M , 5I

Specimen 5J: embryonic day 12.5; SlkGt(BC0415)Wtsi/SlkGt(BC0415)Wtsi (more )
Structure Level Pattern Image Note
TS20: nervous system Present 5N , 5J The size of the neuronal compartment is reduced in this mutant compared to wild-type.

Specimen 5K: embryonic day 14.5 (more )
Structure Level Pattern Image Note
TS22: nervous system Present 5K , 5O

Specimen 5L: embryonic day 14.5; SlkGt(BC0415)Wtsi/SlkGt(BC0415)Wtsi (more )
Structure Level Pattern Image Note
TS22: nervous system Present 5L , 5P The size of the neuronal compartment is reduced in this mutant compared to wild-type.

Specimen 5Q: embryonic day 12.5 (more )
Structure Level Pattern Image Note
TS20: dorsal root ganglion Present 5Q
TS20: spinal cord Present 5Q

Specimen 5R: embryonic day 12.5; SlkGt(BC0415)Wtsi/SlkGt(BC0415)Wtsi (more )
Structure Level Pattern Image Note
TS20: spinal cord Present 5R Expression in this mutant is disorganized in this mutant compared to wild-type.
TS20: dorsal root ganglion Present Regionally restricted 5R Expression in this mutant is in a reduced compartment compared to wild-type.

Specimen 5S: embryonic day 14.5 (more )
Structure Level Pattern Image Note
TS22: dorsal root ganglion Present 5S
TS22: spinal cord Present 5S

Specimen 5T: embryonic day 14.5; SlkGt(BC0415)Wtsi/SlkGt(BC0415)Wtsi (more )
Structure Level Pattern Image Note
TS22: spinal cord Present Regionally restricted 5T Expression in this mutant is disorganized in this mutant compared to wild-type.
TS22: dorsal root ganglion Present Regionally restricted 5T Expression in this mutant is in a reduced compartment compared to wild-type.


Contributing Projects:
Mouse Genome Database (MGD), Gene Expression Database (GXD), Mouse Models of Human Cancer database (MMHCdb) (formerly Mouse Tumor Biology (MTB)), Gene Ontology (GO)
Citing These Resources
Funding Information
Warranty Disclaimer, Privacy Notice, Licensing, & Copyright
Send questions and comments to User Support.
last database update
03/31/2026
MGI 6.24
The Jackson Laboratory