About   Help   FAQ
Gene Expression Data
Assay Details
Assay
Reference: J:82501 Guazzi S, et al., HMGB1, an architectural chromatin protein and extracellular signalling factor, has a spatially and temporally restricted expression pattern in mouse brain. Gene Expr Patterns. 2003 Mar;3(1):29-33
Assay type: Immunohistochemistry
MGI Accession ID: MGI:5697284
Gene symbol: Hmgb1
Gene name: high mobility group box 1
Antibody: HMGB1 antibody
Detection system: Biotinylated secondary antibody/[Strept]avidin coupled to horseradish peroxidase
Results
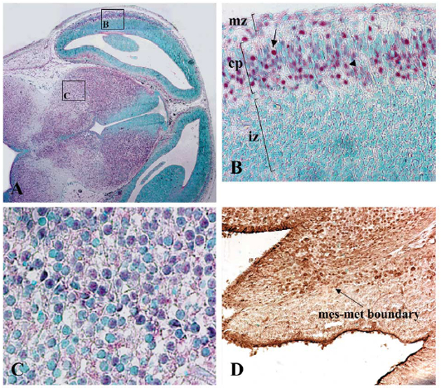
Specimen 1D: embryonic day 14.5 (more )
Structure Level Pattern Image Note
TS22: midbrain-hindbrain junction Present Regionally restricted 1D The boundary of expression is at the mes- and metencephalon boundary.

Specimen 3A: postnatal adult (more )
Structure Level Pattern Image Note
TS28: dentate gyrus granule cell layer Present 3A

Specimen 3B: postnatal adult (more )
Structure Level Pattern Image Note
TS28: main olfactory bulb Present Regionally restricted 3B Expression is about 2/3 of the cells.

Specimen 3C: postnatal adult (more )
Structure Level Pattern Image Note
TS28: cerebellum granule cell layer Strong 3C
TS28: cerebellum Purkinje cell layer Weak Single cells 3C

Specimen 3D: postnatal adult (more )
Structure Level Pattern Image Note
TS28: telencephalon Strong Regionally restricted 3D Expression is in cells around the vesicle.

Specimen 3E: postnatal adult (more )
Structure Level Pattern Image Note
TS28: telencephalon Strong Regionally restricted 3E Expression is in cells around the vesicle.


Contributing Projects:
Mouse Genome Database (MGD), Gene Expression Database (GXD), Mouse Models of Human Cancer database (MMHCdb) (formerly Mouse Tumor Biology (MTB)), Gene Ontology (GO)
Citing These Resources
Funding Information
Warranty Disclaimer, Privacy Notice, Licensing, & Copyright
Send questions and comments to User Support.
last database update
01/28/2026
MGI 6.24
The Jackson Laboratory