About   Help   FAQ
Gene Expression Data
Assay Details
Assay
Reference: J:180986 Wei Q, et al., A focused in situ hybridization screen identifies candidate transcriptional regulators of thymic epithelial cell development and function. PLoS One. 2011;6(11):e26795
Assay type: RNA in situ
MGI Accession ID: MGI:5660644
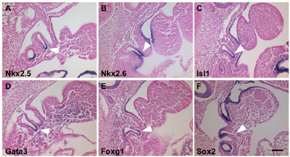
Gene symbol: Nkx2-6
Gene name: NK2 homeobox 6
Probe: Nkx2-6 probe2
Probe preparation: Antisense labelled with digoxigenin RNA
Results
Specimen 1B: embryonic day 9.5 (more )
Note: 20-23 somites
Structure Level Pattern Image Note
TS15: 3rd branchial pouch endoderm Present Widespread 1B Expression covers a majority of the 3rd pouch and its surrounding mesenchyme.

Specimen 1H: embryonic day 10.5 (more )
Note: 30-33 somites
Structure Level Pattern Image Note
TS17: 3rd branchial pouch ventral endoderm Present 1H Expression is dorsal and lateral. The expressing domain covers almost three fourths of the pouch and is localized in the ventral portion. It is evenly expressed on both anterior and posterior sides, symmetrically labeling the ventral distal part.

Specimen 2B: embryonic day 10.5 (more )
Note: 30-33 somites
Structure Level Pattern Image Note
TS17: 3rd branchial pouch ventral endoderm Present 2B Expression is dorsal and lateral.

Specimen not shown: embryonic day 11.5 (more )
Structure Level Pattern Image Note
TS19: 3rd branchial pouch Absent
TS19: branchial pouch Absent There is no expression in any of the pharyngeal pouches.


Contributing Projects:
Mouse Genome Database (MGD), Gene Expression Database (GXD), Mouse Models of Human Cancer database (MMHCdb) (formerly Mouse Tumor Biology (MTB)), Gene Ontology (GO)
Citing These Resources
Funding Information
Warranty Disclaimer, Privacy Notice, Licensing, & Copyright
Send questions and comments to User Support.
last database update
03/24/2026
MGI 6.24
The Jackson Laboratory