About   Help   FAQ
Gene Expression Data
Assay Details
Assay
Reference: J:171409 GUDMAP Consortium, GUDMAP: the GenitoUrinary Development Molecular Anatomy Project. www.gudmap.org. 2004;
Assay type: RNA in situ
MGI Accession ID: MGI:5539277
Gene symbol: Arnt2
Gene name: aryl hydrocarbon receptor nuclear translocator 2
Probe: MTF#537
Probe preparation: Antisense labelled with digoxigenin RNA
Visualized with: Alkaline phosphatase
Results
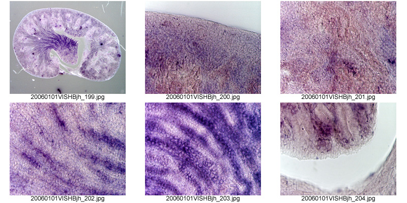
Specimen GUDMAP:5570: embryonic day 15.5 (more )
Note: This specimen was generated and annotated by the lab of Andrew P. McMahon, University of Southern California. Labeling was visualized using BM purple.
Structure Level Pattern Image Note
TS23: ureteric tip Present GUDMAP:5570
TS23: ureteric trunk Present GUDMAP:5570
TS23: renal interstitium Absent GUDMAP:5570
TS23: cap mesenchyme Absent GUDMAP:5570
TS23: early tubule Present GUDMAP:5570
TS23: late tubule Present GUDMAP:5570
TS23: renal vasculature Absent GUDMAP:5570
TS23: ureter Present GUDMAP:5570
TS23: urethra of male Present GUDMAP:5570
TS23: bladder Present GUDMAP:5570
TS23: testis Present GUDMAP:5570
TS23: male associated reproductive structure Present GUDMAP:5570

Specimen GUDMAP:7678: postnatal day 0 (more )
Note: This specimen was generated and annotated by the lab of Andrew P. McMahon, University of Southern California. Labeling was visualized using BM purple.
Structure Level Pattern Image Note
TS27: thin descending limb of inner medulla Present GUDMAP:7678
TS27: thin descending limb of outer medulla Present GUDMAP:7678


Contributing Projects:
Mouse Genome Database (MGD), Gene Expression Database (GXD), Mouse Models of Human Cancer database (MMHCdb) (formerly Mouse Tumor Biology (MTB)), Gene Ontology (GO)
Citing These Resources
Funding Information
Warranty Disclaimer, Privacy Notice, Licensing, & Copyright
Send questions and comments to User Support.
last database update
01/20/2026
MGI 6.24
The Jackson Laboratory