About   Help   FAQ
Gene Expression Data
Assay Details
Assay
Reference: J:56425 Kidson SH, et al., The forkhead/winged-helix gene, Mf1, is necessary for the normal development of the cornea and formation of the anterior chamber in the mouse eye. Dev Biol. 1999 Jul 15;211(2):306-22
Assay type: In situ reporter (knock in)
MGI Accession ID: MGI:5496167
Gene symbol: Foxc1
Gene name: forkhead box C1
Reporter: lacZ
Direct Detection
Results
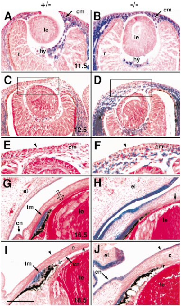
Specimen 2A: embryonic day 11.5; Foxc1tm1Blh/Foxc1+ (more )
Structure Level Pattern Image Note
TS19: eye Present Regionally restricted 2A Expression in mesenchyme around eye, between surface ectoderm and lens, between lens and retina in vicinity of future hyaloid region, and future conjunctiveal epithelium.
TS19: perioptic mesenchyme Present Regionally restricted 2A Expression in an extensive area of periocular mesenchyme, including prospective trabecular meshwork and sclera.
TS19: cornea Present Regionally restricted 2A Expression in presumptive corneal mesenchyme cells located between corneal epithelium and lens
TS19: hyaloid cavity Present 2A
TS19: lens vesicle Absent 2A

Specimen 2B: embryonic day 11.5; Foxc1tm1Blh/Foxc1tm1Blh (more )
Structure Level Pattern Image Note
TS19: eye Strong Regionally restricted 2B High levels of expression in mesenchyme around eye, between surface ectoderm and lens, between lens and retina in vicinity of future hyaloid region, and future conjunctiveal epithelium.
TS19: perioptic mesenchyme Strong Regionally restricted 2B Expression in an extensive area of periocular mesenchyme, including prospective trabecular meshwork and sclera.
TS19: cornea Strong Regionally restricted 2B Expression in presumptive corneal mesenchyme cells located between corneal epithelium and lens
TS19: hyaloid cavity Present 2B
TS19: lens vesicle Absent 2B

Specimen 2C: embryonic day 12.5; Foxc1tm1Blh/Foxc1+ (more )
Structure Level Pattern Image Note
TS20: cornea stroma Weak 2C Expression is downregulated in corneal mesenchyme.
TS20: perioptic mesenchyme Present 2C
TS20: hyaloid cavity Present 2C Some expression in hyaloid region.

Specimen 2D: embryonic day 12.5; Foxc1tm1Blh/Foxc1tm1Blh (more )
Structure Level Pattern Image Note
TS20: cornea stroma Present 2D Expression persists in mutant corneal stroma cells.
TS20: hyaloid cavity Strong 2D Strong expression in cells posterior to lens, which form hyaloid vessels and posterior vascular tunic.

Specimen 2E: embryonic day 12.5; Foxc1tm1Blh/Foxc1+ (more )
Structure Level Pattern Image Note
TS20: cornea stroma Trace 2E Expression in very few cells in stroma.
TS20: cornea epithelium Absent 2E

Specimen 2F: embryonic day 12.5; Foxc1tm1Blh/Foxc1tm1Blh (more )
Structure Level Pattern Image Note
TS20: cornea stroma Strong Regionally restricted 2F Expression in most, but not all, stromal cells.
TS20: cornea epithelium Weak 2F

Specimen not shown E13.5 +/-: embryonic day 13.5; Foxc1tm1Blh/Foxc1+ (more )
Structure Level Pattern Image Note
TS21: cornea Trace

Specimen not shown E13.5 -/-: embryonic day 13.5; Foxc1tm1Blh/Foxc1tm1Blh (more )
Structure Level Pattern Image Note
TS21: cornea Trace

Specimen not shown E14.5 +/-: embryonic day 14.5; Foxc1tm1Blh/Foxc1+ (more )
Structure Level Pattern Image Note
TS22: cornea Trace

Specimen not shown E14.5 -/-: embryonic day 14.5; Foxc1tm1Blh/Foxc1tm1Blh (more )
Structure Level Pattern Image Note
TS22: cornea Trace

Specimen 2G: embryonic day 16.5; Foxc1tm1Blh/Foxc1+ (more )
Structure Level Pattern Image Note
TS24: conjunctival sac Present Regionally restricted 2G Expression restricted to prospective trabecular meshwork and epithelial conjunctival cells of fornix.
TS24: cornea Present Regionally restricted 2G Expression restricted to prospective trabecular meshwork and epithelial conjunctival cells of fornix.

Specimen 2H: embryonic day 16.5; Foxc1tm1Blh/Foxc1tm1Blh (more )
Structure Level Pattern Image Note
TS24: conjunctival sac Strong Regionally restricted 2H High levels of expression in prospective trabecular network and conjunctival epithelium.
TS24: cornea Strong Regionally restricted 2H High levels of expression in prospective trabecular network and conjunctival epithelium.
TS24: cornea epithelium Present 2H
TS24: eye Present Patchy 2H Small patches of expression between lens and corneal stroma. Authors state these probably represent capillary vessels.

Specimen not shown E17.5 +/-: embryonic day 17.5; Foxc1tm1Blh/Foxc1+ (more )
Structure Level Pattern Image Note
TS25: cornea epithelium Absent

Specimen 2I: embryonic day 18.5; Foxc1tm1Blh/Foxc1+ (more )
Structure Level Pattern Image Note
TS26: cornea Present Regionally restricted 2I Authors report that the expression pattern seen at 16.5 dpc persists at 18.5 dpc.
TS26: cornea epithelium Absent 2I

Specimen 2J: embryonic day 18.5; Foxc1tm1Blh/Foxc1tm1Blh (more )
Structure Level Pattern Image Note
TS26: cornea Present Regionally restricted 2J Authors report that the expression pattern seen at 16.5 dpc persists at 18.5 dpc.
TS26: cornea epithelium Present 2J

Specimen not shown newborn: postnatal newborn; Foxc1tm1Blh/Foxc1tm1Blh (more )
Structure Level Pattern Image Note
TS27: cornea epithelium Present

Specimen 3A -/-: embryonic day 16.5; Foxc1tm1Blh/Foxc1tm1Blh (more )
Structure Level Pattern Image Note
TS24: cornea Present 3A -/-
TS24: sclera Present 3A -/-

Specimen 3A +/-: embryonic day 16.5; Foxc1tm1Blh/Foxc1+ (more )
Structure Level Pattern Image Note
TS24: eye Present Regionally restricted 3A +/- Expression in prospective trabecular meshwork.


Contributing Projects:
Mouse Genome Database (MGD), Gene Expression Database (GXD), Mouse Models of Human Cancer database (MMHCdb) (formerly Mouse Tumor Biology (MTB)), Gene Ontology (GO)
Citing These Resources
Funding Information
Warranty Disclaimer, Privacy Notice, Licensing, & Copyright
Send questions and comments to User Support.
last database update
01/20/2026
MGI 6.24
The Jackson Laboratory