About   Help   FAQ
Gene Expression Data
Assay Details
Assay
Reference: J:183876 Krautzberger AM, et al., Expression of vasorin (Vasn) during embryonic development of the mouse. Gene Expr Patterns. 2012 May;12(5-6):167-71
Assay type: In situ reporter (knock in)
MGI Accession ID: MGI:5450816
Gene symbol: Vasn
Gene name: vasorin
Reporter: lacZ
Direct Detection
Results
Specimen 2E: embryonic day 8.5; Vasntm1.1Hsch/Vasn+ (more )
Structure Level Pattern Image Note
TS13: future hindbrain Present 2E
TS13: neural tube Present Regionally restricted 2E Expression is present at the midline.
TS13: lateral plate mesoderm Present 2E Expression is present in the lateral mesoderm and the caudal extremity.

Specimen 2F: embryonic day 9.5; Vasntm1.1Hsch/Vasn+ (more )
Structure Level Pattern Image Note
TS15: future hindbrain Present Regionally restricted 2F Expression is present in the rhombic lip.
TS15: 1st branchial arch Present 2F
TS15: forelimb bud Present 2F
TS15: septum transversum Present 2F
TS15: body cavity or lining Present 2F Expression is present in the lining of the coelomic cavity.

Specimen 2F': embryonic day 9.5; Vasntm1.1Hsch/Vasn+ (more )
Note: This is a dorsal view.
Structure Level Pattern Image Note
TS15: future hindbrain Present Regionally restricted 2F' Expression is present in the rhombic lip.

Specimen 2F'': embryonic day 9.5; Vasntm1.1Hsch/Vasn+ (more )
Structure Level Pattern Image Note
TS15: neural tube floor plate Present 2F''
TS15: neural tube roof plate Present 2F''

Specimen 2G: embryonic day 10.5; Vasntm1.1Hsch/Vasn+ (more )
Structure Level Pattern Image Note
TS17: head mesenchyme Strong 2G
TS17: trunk mesenchyme Strong 2G
TS17: 1st branchial arch Strong 2G
TS17: 2nd branchial arch Strong 2G
TS17: forelimb bud Strong 2G
TS17: hindlimb bud Strong 2G

Specimen 2H: embryonic day 11.5; Vasntm1.1Hsch/Vasn+ (more )
Structure Level Pattern Image Note
TS19: axial skeleton Present 2H Expression is present in condensations along the forming vertebral axis.
TS19: branchial arch Present 2H
TS19: embryo mesenchyme Present 2H
TS19: forelimb bud Present 2H
TS19: hindlimb bud Present 2H

Specimen 2I: embryonic day 12.5; Vasntm1.1Hsch/Vasn+ (more )
Structure Level Pattern Image Note
TS20: axial skeleton Present 2I Expression is present in the developing axial and appendicular skeletal system.
TS20: skeleton Present 2I Expression is present in the developing axial and appendicular skeletal system.

Specimen 2J: embryonic day 13.5; Vasntm1.1Hsch/Vasn+ (more )
Structure Level Pattern Image Note
TS21: axial skeleton Present 2J Expression is present in the developing axial and appendicular skeletal system.
TS21: skeleton Present 2J Expression is present in the developing axial and appendicular skeletal system.

Specimen 2K: embryonic day 14.5; Vasntm1.1Hsch/Vasn+ (more )
Structure Level Pattern Image Note
TS22: appendicular skeleton Present 2K Expression is present in the developing axial and appendicular skeletal system.
TS22: axial skeleton Present 2K Expression is present in the developing axial and appendicular skeletal system.

Specimen 2L: embryonic day 15.5; Vasntm1.1Hsch/Vasn+ (more )
Structure Level Pattern Image Note
TS23: appendicular skeleton Present 2L Expression is present in the developing axial and appendicular skeletal system.
TS23: axial skeleton Present 2L Expression is present in the developing axial and appendicular skeletal system.

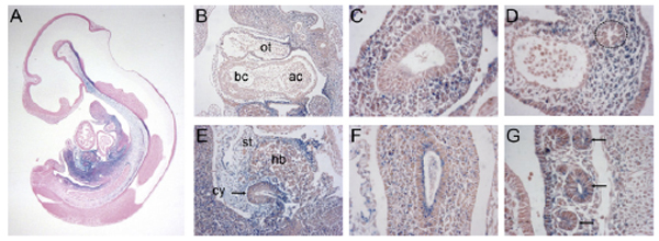
Specimen 3A: embryonic day 10.5; Vasntm1.1Hsch/Vasn+ (more )
Structure Level Pattern Image Note
TS17: branchial arch mesenchyme Present Widespread 3A
TS17: head mesenchyme Present Widespread 3A
TS17: trunk mesenchyme Present Widespread 3A

Specimen 3B: embryonic day 10.5; Vasntm1.1Hsch/Vasn+ (more )
Structure Level Pattern Image Note
TS17: outflow tract Present Regionally restricted 3B Expression is present in the myoepicardial layer.
TS17: bulbus cordis Trace 3B
TS17: common atrial chamber Trace 3B

Specimen 3C: embryonic day 10.5; Vasntm1.1Hsch/Vasn+ (more )
Structure Level Pattern Image Note
TS17: main bronchus epithelium Absent 3C

Specimen 3D: embryonic day 10.5; Vasntm1.1Hsch/Vasn+ (more )
Structure Level Pattern Image Note
TS17: thyroid primordium Absent 3D

Specimen 3E: embryonic day 10.5; Vasntm1.1Hsch/Vasn+ (more )
Structure Level Pattern Image Note
TS17: septum transversum Present 3E
TS17: hepatic primordium Present Regionally restricted 3E There negligible expression in invading hepatoblasts, but there is prominent expression in the stalk region of the cystic primordium.

Specimen 3F: embryonic day 10.5; Vasntm1.1Hsch/Vasn+ (more )
Structure Level Pattern Image Note
TS17: midgut epithelium Present 3F

Specimen 3G: embryonic day 10.5; Vasntm1.1Hsch/Vasn+ (more )
Structure Level Pattern Image Note
TS17: mesonephric tubule Present 3G

Specimen Not shown: embryonic day 10.5; Vasntm1.1Hsch/Vasn+ (more )
Structure Level Pattern Image Note
TS17: hindgut epithelium Present

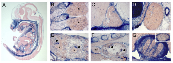
Specimen 4A: embryonic day 12.0; Vasntm1.1Hsch/Vasn+ (more )
Structure Level Pattern Image Note
TS20: sclerotome Strong Regionally restricted 4A Expression is present in the caudal condensed portions of the sclerotomes.
TS20: dorsal root ganglion Trace 4A
TS20: mesothelium Strong 4A Expression is detected in parietal and visceral mesothelial cells lining the coelomic cavities and internal organs, respectively.
TS20: pericardium Strong 4A

Specimen 4B: embryonic day 12.0; Vasntm1.1Hsch/Vasn+ (more )
Structure Level Pattern Image Note
TS20: sclerotome Strong Regionally restricted 4B Expression is present in the caudal condensed portions of the sclerotomes.
TS20: dorsal root ganglion Trace 4B

Specimen 4C: embryonic day 12.0; Vasntm1.1Hsch/Vasn+ (more )
Structure Level Pattern Image Note
TS20: mesothelium Strong 4C Expression is detected in parietal and visceral mesothelial cells lining the coelomic cavities and internal organs, respectively.
TS20: liver Present 4C Expression is present in capsule cells that surround the parenchymal tissue. There is only scattered expression in the parenchyma.
TS20: liver parenchyma Weak Scattered 4C
TS20: pericardium Strong 4C Expression is present in pericardial cells.
TS20: ventricle cardiac muscle Trace 4C Expression is sparce in the ventricular trabeculated muscle.
TS20: atrioventricular endocardial cushion Trace 4C Expression is sparce.

Specimen 4D: embryonic day 12.0; Vasntm1.1Hsch/Vasn+ (more )
Structure Level Pattern Image Note
TS20: pancreas Present Uniform 4D

Specimen 4E: embryonic day 12.0; Vasntm1.1Hsch/Vasn+ (more )
Structure Level Pattern Image Note
TS20: mesonephros Present Uniform 4E
TS20: gonad Trace 4E Expression is sparce.

Specimen 4F: embryonic day 12.0; Vasntm1.1Hsch/Vasn+ (more )
Structure Level Pattern Image Note
TS20: mesenchyme of metanephros Present Uniform 4F
TS20: ureter Present Regionally restricted 4F Expresson is present in the ureteric bud stalk.

Specimen 4G: embryonic day 12.0; Vasntm1.1Hsch/Vasn+ (more )
Structure Level Pattern Image Note
TS20: dorsal aorta Strong 4G

Specimen 5A: embryonic day 14.5; Vasntm1.1Hsch/Vasn+ (more )
Structure Level Pattern Image Note
TS22: skeleton Present 5A Expression is present in areas of intramembranous and endochondral ossification.
TS22: brain Present 5A
TS22: spinal cord Present 5A

Specimen 5B: embryonic day 14.5; Vasntm1.1Hsch/Vasn+ (more )
Structure Level Pattern Image Note
TS22: dorsal root ganglion Present 5B

Specimen 5C: embryonic day 14.5; Vasntm1.1Hsch/Vasn+ (more )
Structure Level Pattern Image Note
TS22: pituitary gland Absent 5C

Specimen 5D: embryonic day 14.5; Vasntm1.1Hsch/Vasn+ (more )
Structure Level Pattern Image Note
TS22: thymus primordium Present Regionally restricted 5D Expression is localized to the capsule and septa.

Specimen 5E: embryonic day 14.5; Vasntm1.1Hsch/Vasn+ (more )
Structure Level Pattern Image Note
TS22: lung vascular element Present 5E Expression is present in pulmonary mesenchymal tissue; expression is strongest in the vessel walls.
TS22: main bronchus epithelium Trace 5E

Specimen 5F: embryonic day 14.5; Vasntm1.1Hsch/Vasn+ (more )
Structure Level Pattern Image Note
TS22: s-shaped body Present Regionally restricted 5F Expression is localized in the proximal part.
TS22: adrenal cortex Trace 5F
TS22: adrenal medulla Trace 5F

Specimen 5G: embryonic day 14.5; Vasntm1.1Hsch/Vasn+ (more )
Structure Level Pattern Image Note
TS22: interstitium of the testis Strong 5G Expression is present in the mesothelial and interstitial cells of the testis.
TS22: testis Strong Regionally restricted 5G Expression is present in the mesothelial and interstitial cells of the testis.
TS22: seminiferous cord Present Scattered 5G

Specimen 5G inset: embryonic day 14.5; Vasntm1.1Hsch/Vasn+ (more )
Structure Level Pattern Image Note
TS22: ovary Strong Regionally restricted 5G inset Expression is strongest in the cells forming the capsule of the ovary.

Specimen 6A: embryonic day 17.5; Vasntm1.1Hsch/Vasn+ (more )
Structure Level Pattern Image Note
TS25: skeleton Present 6A Expression is most notable in the developing bones.

Specimen 6B: embryonic day 17.5; Vasntm1.1Hsch/Vasn+ (more )
Structure Level Pattern Image Note
TS25: femur Strong Regionally restricted 6B Expression is present in areas of ossification, such as within the shaft region of the femur.

Specimen 6C: embryonic day 17.5; Vasntm1.1Hsch/Vasn+ (more )
Structure Level Pattern Image Note
TS25: respiratory system epithelium Present 6C Expression is detected throughout the airway epithelium lining the respiratory system.
TS25: lung vascular element Strong Regionally restricted 6C Expression is stronger in arterial vessels in comparison to venous vessels.

Specimen 6D: embryonic day 17.5; Vasntm1.1Hsch/Vasn+ (more )
Structure Level Pattern Image Note
TS25: stomach fundus glandular mucous membrane Strong 6D Expression is more marked than in, for instance, the gastric body region.
TS25: stomach Weak Regionally restricted 6D Expression is weak in the body of the stomach.

Specimen 6E: embryonic day 17.5; Vasntm1.1Hsch/Vasn+ (more )
Structure Level Pattern Image Note
TS25: small intestine Present Regionally restricted 6E Staining is mostly localized in the submucosal layer.

Specimen 6F: embryonic day 17.5; Vasntm1.1Hsch/Vasn+ (more )
Structure Level Pattern Image Note
TS25: spleen Strong Regionally restricted 6F Expression is predominantly in the capsule and the arterial tree arising from the hilus. Staining is sparce in the parenchyma.

Specimen 6G: embryonic day 17.5; Vasntm1.1Hsch/Vasn+ (more )
Structure Level Pattern Image Note
TS25: arterial system Strong Regionally restricted 6G There is strong staining in the arterial vessels of the pancreas.
TS25: pancreas Trace 6G Expression is sparse in the endocrine and exocrine components of the pancreas.
TS25: pancreatic duct Present Uniform 6G


Contributing Projects:
Mouse Genome Database (MGD), Gene Expression Database (GXD), Mouse Models of Human Cancer database (MMHCdb) (formerly Mouse Tumor Biology (MTB)), Gene Ontology (GO)
Citing These Resources
Funding Information
Warranty Disclaimer, Privacy Notice, Licensing, & Copyright
Send questions and comments to User Support.
last database update
12/30/2025
MGI 6.24
The Jackson Laboratory