About   Help   FAQ
Gene Expression Data
Assay Details
Assay
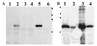
Reference: J:116150 Torban E, et al., Tissue, cellular and sub-cellular localization of the Vangl2 protein during embryonic development: Effect of the Lp mutation. Gene Expr Patterns. 2007 Jan;7(3):346-54
Assay type: Western blot
MGI Accession ID: MGI:5449223
Gene symbol: Vangl2
Gene name: VANGL planar cell polarity 2
Antibody: Vangl2 antibody
Detection system: Secondary antibody coupled to horseradish peroxidase
Results
Image: 1A ©

 Sample Information Bands Other Sample Information
Lane AgeStructure Size Not Specified Genetic BackgroundMutant Allele(s)Sex
1 E13.5 TS21: trunk Absent CD-1 Not Specified
2 E13.5 TS21: head Present CD-1 Not Specified
3 P adult TS28: cerebral cortex Absent CD-1 Not Specified
4 P adult TS28: corpus striatum Absent CD-1 Not Specified
5 Cultured cells: no data stored
6 Cultured cells: no data stored

Contributing Projects:
Mouse Genome Database (MGD), Gene Expression Database (GXD), Mouse Models of Human Cancer database (MMHCdb) (formerly Mouse Tumor Biology (MTB)), Gene Ontology (GO)
Citing These Resources
Funding Information
Warranty Disclaimer, Privacy Notice, Licensing, & Copyright
Send questions and comments to User Support.
last database update
01/20/2026
MGI 6.24
The Jackson Laboratory