About   Help   FAQ
Gene Expression Data
Assay Details
Assay
Reference: J:51416 Spada F, et al., High mobility group 1 (HMG1) protein in mouse preimplantation embryos. Mech Dev. 1998 Aug;76(1-2):57-66
Assay type: RT-PCR
MGI Accession ID: MGI:5444215
Gene symbol: Hmgb1
Gene name: high mobility group box 1
Probe: Hmgb1-pE
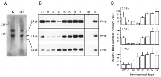
Assay notes: Fig. 2C showed relative band intensities of the RT-PCR products relative to the internal normalization control of kidney.
Results
Image: 2B top ©

 Sample Information Bands Other Sample Information
Lane AgeStructure 430 bp (b) Amount Genetic BackgroundMutant Allele(s)Sex Note
GV P adult (a) TS28: primary oocyte Present Not Specified Not Specified Female germinal vesicle stage oocytes
O P adult (a) TS28: secondary oocyte Present Not Specified Not Specified Female mature oocytes
1C E0.5 (a) TS1: 1-cell stage conceptus Present Not Specified Not Specified Not Specified
2C E1.0 (a) TS2: 2-cell stage conceptus Present Not Specified Not Specified Not Specified
4C E2.0 (a) TS3: 4-cell stage conceptus Present Not Specified Not Specified Not Specified
8C E2.5 (a) TS3: 8-cell stage conceptus Present Not Specified Not Specified Not Specified
M E3.0 (a) TS3: morula-stage conceptus Present Not Specified Not Specified Not Specified compacted morula
B E3.5 (a) TS4: blastocyst-stage conceptus Present Not Specified Not Specified Not Specified
-RT Control
K P adult TS28: metanephros Present Not Specified Not Specified Not Specified
Notes:
(a) Age assigned by curator based on morphological criteria supplied by authors.
(b) Expression level decreased in mature oocytes, then increased at the four-cell stage.

Contributing Projects:
Mouse Genome Database (MGD), Gene Expression Database (GXD), Mouse Models of Human Cancer database (MMHCdb) (formerly Mouse Tumor Biology (MTB)), Gene Ontology (GO)
Citing These Resources
Funding Information
Warranty Disclaimer, Privacy Notice, Licensing, & Copyright
Send questions and comments to User Support.
last database update
01/28/2026
MGI 6.24
The Jackson Laboratory