About   Help   FAQ
Gene Expression Data
Assay Details
Assay
Reference: J:171497 Huang HP, et al., Gene targeting and expression analysis of mouse Tem1/endosialin using a lacZ reporter. Gene Expr Patterns. 2011 Jun-Jul;11(5-6):316-26
Assay type: In situ reporter (knock in)
MGI Accession ID: MGI:5439317
Gene symbol: Cd248
Gene name: CD248 antigen, endosialin
Reporter: lacZ
Direct Detection
Results
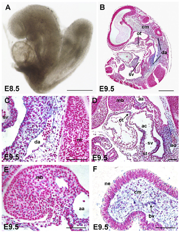
Specimen 2A: embryonic day 8.5; Cd248tm1.1Isyu/Cd248+ (more )
Structure Level Pattern Image Note
TS13: embryo Absent 2A

Specimen 2B: embryonic day 9.5; Cd248tm1.1Isyu/Cd248+ (more )
Structure Level Pattern Image Note
TS15: dorsal aorta Present 2B
TS15: head mesenchyme Present 2B
TS15: outflow tract Present 2B
TS15: sinus venosus Present 2B

Specimen 2C: embryonic day 9.5; Cd248tm1.1Isyu/Cd248+ (more )
Structure Level Pattern Image Note
TS15: dorsal aorta Strong 2C

Specimen 2D: embryonic day 9.5; Cd248tm1.1Isyu/Cd248+ (more )
Structure Level Pattern Image Note
TS15: common atrial chamber Present 2D
TS15: outflow tract Present 2D
TS15: sinus venosus Present 2D
TS15: branchial arch artery Present 2D Authors report expression in the aortic arch.

Specimen 2E: embryonic day 9.5; Cd248tm1.1Isyu/Cd248+ (more )
Structure Level Pattern Image Note
TS15: 1st branchial arch mandibular component mesenchyme Weak 2E

Specimen 2F: embryonic day 9.5; Cd248tm1.1Isyu/Cd248+ (more )
Structure Level Pattern Image Note
TS15: head mesenchyme Present Regionally restricted 2F Authors report expression in cephalic mesenchyme and its blood vessels.

Specimen 3A: embryonic day 10.5; Cd248tm1.1Isyu/Cd248+ (more )
Structure Level Pattern Image Note
TS17: dorsal aorta Strong 3A
TS17: 1st branchial arch mandibular component mesenchyme Weak 3A
TS17: heart Weak 3A

Specimen 3B: embryonic day 10.5; Cd248tm1.1Isyu/Cd248+ (more )
Structure Level Pattern Image Note
TS17: head mesenchyme Present Regionally restricted 3B Authors report expression in some vascular walls in the cephalic mesenchyme. Weaker expression in cephalic mesenchyme.

Specimen 3C: embryonic day 11.5; Cd248tm1.1Isyu/Cd248+ (more )
Structure Level Pattern Image Note
TS19: 2nd branchial arch Strong 3C
TS19: dorsal aorta Strong 3C
TS19: head mesenchyme Strong 3C
TS19: midgut mesenchyme Strong 3C
TS19: 1st branchial arch Strong Regionally restricted 3C Expression in mandibular component of first branchial arch.
TS19: blood vessel Strong Regionally restricted 3C Expression in the oropharynx, abdominal wall and umbilical blood vessels.
TS19: body wall Strong Regionally restricted 3C Expression in the oropharynx, abdominal wall and umbilical blood vessels.
TS19: pharynx Strong Regionally restricted 3C Expression in the oropharynx, abdominal wall and umbilical blood vessels.

Specimen 3D: embryonic day 11.5; Cd248tm1.1Isyu/Cd248+ (more )
Structure Level Pattern Image Note
TS19: common cardinal vein Present 3D
TS19: lung mesenchyme Present 3D
TS19: midgut mesenchyme Present 3D
TS19: septum transversum Present 3D
TS19: liver Present Regionally restricted 3D Expression in surface of liver primordium
TS19: urogenital sinus Present Regionally restricted 3D Expression in mesenchyme around the cystic primordium.
TS19: body wall Present Regionally restricted 3D Expression in thoracic and abdominal body walls.

Specimen 3E: embryonic day 12.5; Cd248tm1.1Isyu/Cd248+ (more )
Structure Level Pattern Image Note
TS20: dorsal aorta Present 3E
TS20: genital tubercle Present 3E
TS20: head mesenchyme Present 3E
TS20: body wall Present Regionally restricted 3E Expression in the thoracic body wall
TS20: heart Weak 3E
TS20: liver Weak Regionally restricted 3E Decreased expression in the peripheral liver, and mesenchyme surrounding lung and midgut.
TS20: lung mesenchyme Weak Regionally restricted 3E Decreased expression in the peripheral liver, and mesenchyme surrounding lung and midgut.
TS20: midgut mesenchyme Weak Regionally restricted 3E Decreased expression in the peripheral liver, and mesenchyme surrounding lung and midgut.

Specimen 3F: embryonic day 12.5; Cd248tm1.1Isyu/Cd248+ (more )
Structure Level Pattern Image Note
TS20: mesonephros Weak Diffuse 3F

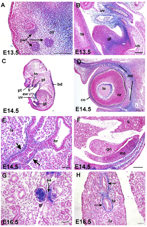
Specimen 4A: embryonic day 13.5; Cd248tm1.1Isyu/Cd248+ (more )
Structure Level Pattern Image Note
TS21: vibrissa follicle Strong 4A

Specimen 4B: embryonic day 13.5; Cd248tm1.1Isyu/Cd248+ (more )
Structure Level Pattern Image Note
TS21: nose Strong Regionally restricted 4B High expression in mesenchymal tissues of nose
TS21: genital tubercle Strong 4B
TS21: blood vessel Strong Regionally restricted 4B High expression in the vascular walls of umbilical vessels.

Specimen 4C: embryonic day 14.5; Cd248tm1.1Isyu/Cd248+ (more )
Structure Level Pattern Image Note
TS22: genital tubercle Strong 4C
TS22: lower lip Strong 4C
TS22: tongue Strong 4C
TS22: tooth Strong 4C
TS22: body wall Strong Regionally restricted 4C Strong expression the thoracic and abdominal body wall.
TS22: blood vessel Strong Regionally restricted 4C Strong expression in umbilical blood vessels.
TS22: dermis Strong Regionally restricted 4C Strong expression in the dermis of the back.

Specimen 4D: embryonic day 14.5; Cd248tm1.1Isyu/Cd248+ (more )
Structure Level Pattern Image Note
TS22: cornea Strong 4D
TS22: extrinsic ocular muscle Strong 4D Authors report strong expression in mesodermal condensation of the eye (future extrinsic ocular muscle).

Specimen 4E: embryonic day 14.5; Cd248tm1.1Isyu/Cd248+ (more )
Structure Level Pattern Image Note
TS22: lung mesenchyme Present Regionally restricted 4E Expression in 1-2 layers of mesenchymal cells surrounding the bronchi.

Specimen 4F: embryonic day 14.5; Cd248tm1.1Isyu/Cd248+ (more )
Structure Level Pattern Image Note
TS22: mesonephros Weak 4F

Specimen 4G: embryonic day 16.5; Cd248tm1.1Isyu/Cd248+ (more )
Structure Level Pattern Image Note
TS24: maturing glomerular tuft Strong 4G
TS24: renal small blood vessel Strong Regionally restricted 4G Strong expression in small arteries of the kidney.

Specimen 4H: embryonic day 16.5; Cd248tm1.1Isyu/Cd248+ (more )
Structure Level Pattern Image Note
TS24: lobar bronchus Strong 4H Strong expression in small arteries of the kidney.

Specimen 5A: embryonic day 17.5; Cd248tm1.1Isyu/Cd248+ (more )
Structure Level Pattern Image Note
TS25: glomerular tuft Strong 5A
TS25: renal small blood vessel Strong Regionally restricted 5A Strong expression in some vascular walls in the kidney.

Specimen not shown: embryonic day 17.5; Cd248tm1.1Isyu/Cd248+ (more )
Structure Level Pattern Image Note
TS25: liver Trace Barely detectable expression in the liver.

Specimen 5B lacZ/lacZ: embryonic day 17.5; Cd248tm1.1Isyu/Cd248tm1.1Isyu (more )
Structure Level Pattern Image Note
TS25: liver vascular element Weak Regionally restricted 5B Weak expression in intrahepatic venular wall.

Specimen not shown: postnatal day 1; Cd248tm1.1Isyu/Cd248+ (more )
Structure Level Pattern Image Note
TS27: glomerular tuft Strong

Specimen 5C: postnatal day 1; Cd248tm1.1Isyu/Cd248+ (more )
Structure Level Pattern Image Note
TS27: spleen Present Regionally restricted 5C Expression in wall of large vessels in the spleen.

Specimen 5D: postnatal day 1; Cd248tm1.1Isyu/Cd248+ (more )
Structure Level Pattern Image Note
TS27: lung vascular element Present Regionally restricted 5D Expression in some vessels of pulmonary alveolar wall.

Specimen 5E: postnatal day 1; Cd248tm1.1Isyu/Cd248+ (more )
Structure Level Pattern Image Note
TS27: vibrissa Present Regionally restricted 5E Expression in dermis stroma around whisker follicles

Specimen 5F: postnatal day 80; Cd248tm1.1Isyu/Cd248+ (more )
Structure Level Pattern Image Note
TS28: metanephros Strong 5F

Specimen 5G: postnatal day 80; Cd248tm1.1Isyu/Cd248+ (more )
Structure Level Pattern Image Note
TS28: glomerular tuft Strong Regionally restricted 5G Stronger expression in glomeruli in the cortex than in the medulla.

Specimen 5H: postnatal day 80; Cd248tm1.1Isyu/Cd248+ (more )
Structure Level Pattern Image Note
TS28: vasculature of oviduct Moderate 5H

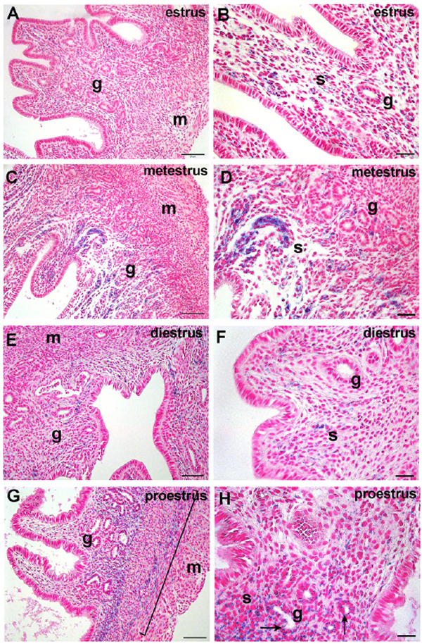
Specimen 6A: postnatal adult; Cd248tm1.1Isyu/Cd248+ (more )
Note: estrus stage
Structure Level Pattern Image Note
TS28: endometrium stroma Present Scattered 6A

Specimen 6B: postnatal adult; Cd248tm1.1Isyu/Cd248+ (more )
Note: estrus stage
Structure Level Pattern Image Note
TS28: endometrium stroma Present Scattered 6B

Specimen 6C: postnatal adult; Cd248tm1.1Isyu/Cd248+ (more )
Note: metestrus stage
Structure Level Pattern Image Note
TS28: endometrium stroma Strong 6C
TS28: endometrium Strong Regionally restricted 6C Expression in vessels of surface endometrium.

Specimen 6D: postnatal adult; Cd248tm1.1Isyu/Cd248+ (more )
Note: metestrus stage
Structure Level Pattern Image Note
TS28: endometrium stroma Strong 6D
TS28: endometrium Strong Regionally restricted 6D Expression in vessels of surface endometrium.

Specimen 6E: postnatal adult; Cd248tm1.1Isyu/Cd248+ (more )
Note: diestrus stage
Structure Level Pattern Image Note
TS28: endometrium stroma Present Scattered 6E

Specimen 6F: postnatal adult; Cd248tm1.1Isyu/Cd248+ (more )
Note: diestrus stage
Structure Level Pattern Image Note
TS28: endometrium stroma Present Scattered 6F

Specimen 6G: postnatal adult; Cd248tm1.1Isyu/Cd248+ (more )
Note: proestrus stage
Structure Level Pattern Image Note
TS28: uterus Strong Regionally restricted 6G Expression in endometrial-myometrial junction and middle muscular layer.

Specimen 6H: postnatal adult; Cd248tm1.1Isyu/Cd248+ (more )
Note: proeestrus stage
Structure Level Pattern Image Note
TS28: uterus Strong Regionally restricted 6H Expression in endometrial-myometrial junction and middle muscular layer.
TS28: endometrium glandular epithelium Weak Regionally restricted 6H Rare expression in a few glandular cells.

Specimen 7C beta-gal: postnatal adult; Cd248tm1.1Isyu/Cd248+ (more )
Note: Double labeled: blue - Cd248 reporter; green - Vim (assay MGI:5439323).
Structure Level Pattern Image Note
TS28: glomerular tuft Present Regionally restricted 7C merged , 7C beta-gal Authors report expression in almost all vimentin-positive podocytes.

Specimen S1A lacZ/lacZ: embryonic day 8.5; Cd248tm1.1Isyu/Cd248tm1.1Isyu (more )
Structure Level Pattern Image Note
TS13: embryo Absent S1A lacZ/lacZ

Specimen S1B lacZ/lacZ: embryonic day 10.5; Cd248tm1.1Isyu/Cd248tm1.1Isyu (more )
Structure Level Pattern Image Note
TS17: dorsal aorta Moderate S1B lacZ/lacZ
TS17: 1st branchial arch mandibular component mesenchyme Weak S1B lacZ/lacZ
TS17: blood vessel Weak Regionally restricted S1B lacZ/lacZ Expression in umbilical vessels.

Specimen S1C lacZ/lacZ: embryonic day 11.5; Cd248tm1.1Isyu/Cd248tm1.1Isyu (more )
Structure Level Pattern Image Note
TS19: dorsal aorta Strong S1C lacZ/lacZ
TS19: head mesenchyme Strong S1C lacZ/lacZ
TS19: body wall Strong Regionally restricted S1C lacZ/lacZ Expression in the thoracic body wall
TS19: urinary system Strong Regionally restricted S1C lacZ/lacZ Expression in the urogenital ridge.
TS19: blood vessel Strong Regionally restricted S1C lacZ/lacZ Expression in umbilical blood vessels.

Specimen S2A +/lacZ: embryonic day 12.5; Cd248tm1.1Isyu/Cd248+ (more )
Structure Level Pattern Image Note
TS20: dermis Present S2A +/lacZ

Specimen S2A lacZ/lacZ: embryonic day 12.5; Cd248tm1.1Isyu/Cd248tm1.1Isyu (more )
Structure Level Pattern Image Note
TS20: dermis Strong S2A lacZ/lacZ Stronger staining in dermis than seen in the +/lacZ embryo.

Specimen S2B +/lacZ: embryonic day 13.5; Cd248tm1.1Isyu/Cd248+ (more )
Structure Level Pattern Image Note
TS21: dermis Present S2B +/lacZ
TS21: head mesenchyme Present S2B +/lacZ
TS21: tooth Present S2B +/lacZ

Specimen S2B lacZ/lacZ: embryonic day 13.5; Cd248tm1.1Isyu/Cd248tm1.1Isyu (more )
Structure Level Pattern Image Note
TS21: genital tubercle Present S2B lacZ/lacZ
TS21: head mesenchyme Present S2B lacZ/lacZ
TS21: lip Present S2B lacZ/lacZ
TS21: tongue Present S2B lacZ/lacZ
TS21: tooth Present S2B lacZ/lacZ
TS21: body wall Present Regionally restricted S2B lacZ/lacZ Expression in 1-2 layers of mesenchymal cells surrounding the bronchi.
TS21: blood vessel Present Regionally restricted S2B lacZ/lacZ Expression in umbilical blood vessels.

Specimen S3A: postnatal; Cd248tm1.1Isyu/Cd248tm1.1Isyu (more )
Structure Level Pattern Image Note
TS28: vibrissa follicle Present Regionally restricted S3A Expression in dermis stroma and dermal papillae of whisker follicles.

Specimen S3B: postnatal; Cd248tm1.1Isyu/Cd248tm1.1Isyu (more )
Structure Level Pattern Image Note
TS28: glomerular tuft Strong S3B

Specimen S3C: postnatal; Cd248tm1.1Isyu/Cd248tm1.1Isyu (more )
Structure Level Pattern Image Note
TS28: epididymis Weak Regionally restricted S3C Weak expression in stroma of epididymis.

Specimen S3D: postnatal; Cd248tm1.1Isyu/Cd248tm1.1Isyu (more )
Structure Level Pattern Image Note
TS28: heart Weak Regionally restricted S3D Weak expression in some small heart vessels.

Specimen S3E: postnatal day 80; Cd248tm1.1Isyu/Cd248tm1.1Isyu (more )
Structure Level Pattern Image Note
TS28: lung Trace Regionally restricted S3E Occasional trace expression in small blood vessels of the lung.

Specimen S3F: postnatal day 80; Cd248tm1.1Isyu/Cd248tm1.1Isyu (more )
Structure Level Pattern Image Note
TS28: heart Trace Regionally restricted S3F Occasional trace expression in small blood vessels of the heart.


Contributing Projects:
Mouse Genome Database (MGD), Gene Expression Database (GXD), Mouse Models of Human Cancer database (MMHCdb) (formerly Mouse Tumor Biology (MTB)), Gene Ontology (GO)
Citing These Resources
Funding Information
Warranty Disclaimer, Privacy Notice, Licensing, & Copyright
Send questions and comments to User Support.
last database update
12/30/2025
MGI 6.24
The Jackson Laboratory