About   Help   FAQ
Gene Expression Data
Assay Details
Assay
Reference: J:170399 Zheng L, et al., Expression of clock proteins in developing tooth. Gene Expr Patterns. 2011 Mar-Apr;11(3-4):202-6
Assay type: Immunohistochemistry
MGI Accession ID: MGI:5431575
Gene symbol: Per2
Gene name: period circadian clock 2
Antibody: PER2 Antibody (LS-C2836)
Detection system: Secondary antibody coupled to horseradish peroxidase
Results
Specimen 2E: embryonic day 14.0 (more )
Structure Level Pattern Image Note
TS22: tooth Absent 2E

Specimen 2J: embryonic day 15.0 (more )
Structure Level Pattern Image Note
TS23: tooth Absent 2J

Specimen 2N: embryonic day 17.0 (more )
Structure Level Pattern Image Note
TS25: tooth Present 2N

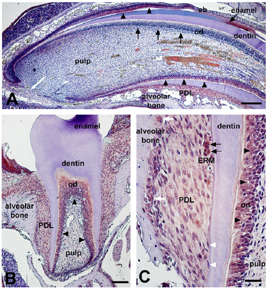
Specimen 3D,H: postnatal day 4 (more )
Note: (H) is a higher magnification of the boxed region in (D).
Structure Level Pattern Image Note
TS28: tooth Present 3H , 3D

Specimen 4A: postnatal day 21 (more )
Structure Level Pattern Image Note
TS28: incisor Present 4A

Specimen 4B: postnatal day 21 (more )
Structure Level Pattern Image Note
TS28: molar Present 4B

Specimen 4C: postnatal day 21 (more )
Structure Level Pattern Image Note
TS28: molar Present 4C


Contributing Projects:
Mouse Genome Database (MGD), Gene Expression Database (GXD), Mouse Models of Human Cancer database (MMHCdb) (formerly Mouse Tumor Biology (MTB)), Gene Ontology (GO)
Citing These Resources
Funding Information
Warranty Disclaimer, Privacy Notice, Licensing, & Copyright
Send questions and comments to User Support.
last database update
12/30/2025
MGI 6.24
The Jackson Laboratory