About   Help   FAQ
Gene Expression Data
Assay Details
Assay
Reference: J:122989 Visel A, et al., GenePaint.org: an atlas of gene expression patterns in the mouse embryo. Nucleic Acids Res. 2004 Jan 1;32(Database issue):D552-6
Assay type: RNA in situ
MGI Accession ID: MGI:5423763
Gene symbol: Ndufa12
Gene name: NADH:ubiquinone oxidoreductase subunit A12
Probe: EN1073 probe 962
Probe preparation: Antisense labelled with digoxigenin RNA
Visualized with: Alkaline phosphatase
Assay notes: Cryosections of fresh frozen material were fixed in 4% paraformaldehyde for 20 min. before further processing. A tyramide-biotin/streptavidin amplification step was included in the in situ hybridization procedure. These data were downloaded from GenePaint.org on 1/30/12.
Results
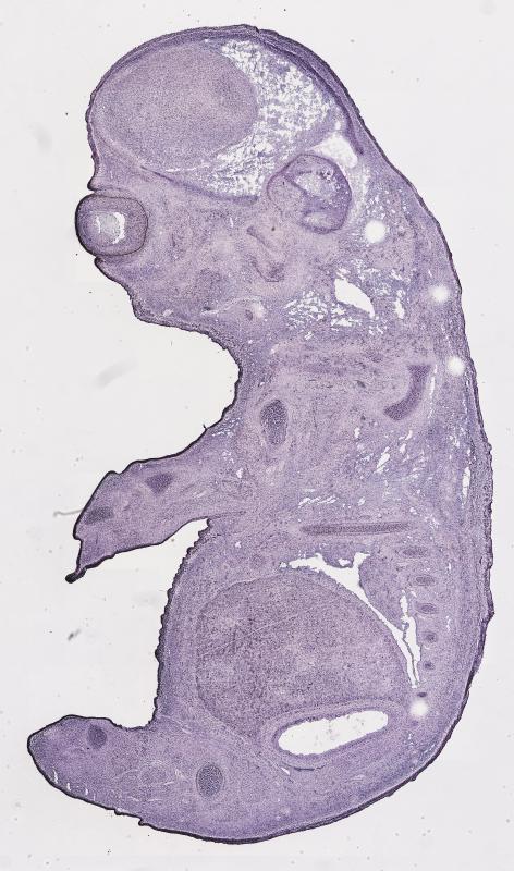
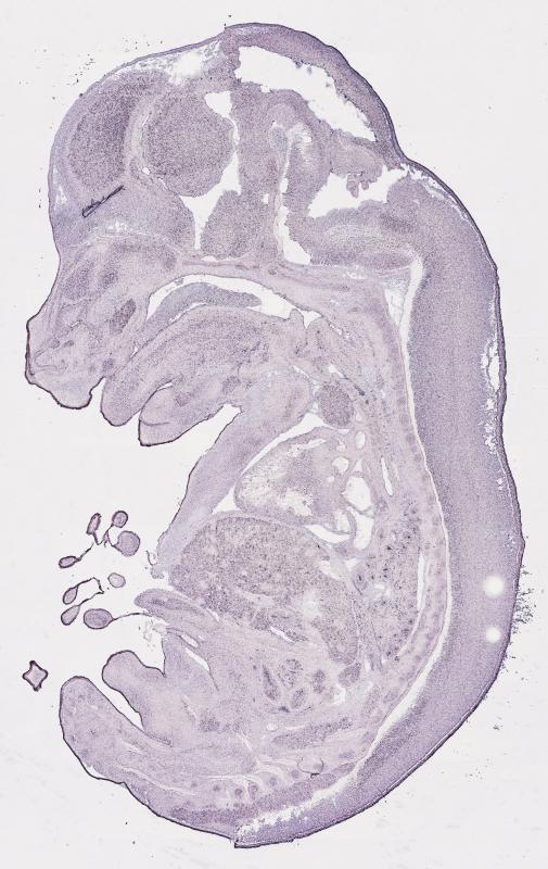
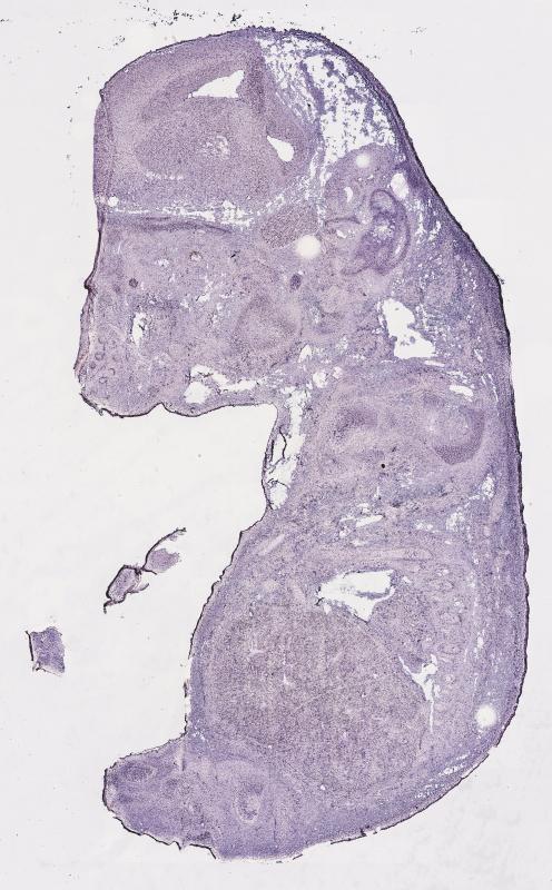
Specimen EN1073; Specimen N477: embryonic day 14.5 (more )
Structure Level Pattern Image Note
TS22: nervous system Moderate Regionally restricted Embryo_N477_3_3B
TS22: central nervous system Moderate Regionally restricted Embryo_N477_3_3B
TS22: telencephalon Moderate Regionally restricted Embryo_N477_3_3A
TS22: cerebral cortex Moderate Regionally restricted Embryo_N477_3_3A
TS22: neocortex Moderate Regionally restricted Embryo_N477_3_3A
TS22: olfactory cortex Weak Regionally restricted Embryo_N477_3_3B
TS22: main olfactory bulb Weak Regionally restricted Embryo_N477_3_3B
TS22: piriform cortex Absent
TS22: hippocampus Moderate Regionally restricted Embryo_N477_3_3A
TS22: basal ganglia Weak Regionally restricted Embryo_N477_3_2B
TS22: corpus striatum Weak Regionally restricted Embryo_N477_3_2B Expression was weak in the corpus striatum (lateral ganglionic eminence).
TS22: basal forebrain Absent
TS22: amygdala Absent
TS22: telencephalon septum Absent
TS22: pallidum Absent Expression was not detected in the pallidum (medial ganglionic eminence).
TS22: diencephalon Absent
TS22: thalamus Absent
TS22: hypothalamus Absent
TS22: midbrain Moderate Regionally restricted Embryo_N477_3_3B
TS22: pretectum Absent
TS22: superior colliculus Absent
TS22: inferior colliculus Absent
TS22: midbrain tegmentum Moderate Regionally restricted Embryo_N477_3_3B
TS22: hindbrain Absent
TS22: cerebellum Absent
TS22: pons Absent
TS22: medulla oblongata Absent
TS22: spinal cord Absent
TS22: choroid plexus Absent
TS22: meninges Absent
TS22: peripheral nervous system Weak Ubiquitous Embryo_N477_3_2C
TS22: cranial ganglion Weak Ubiquitous Embryo_N477_3_2B
TS22: dorsal root ganglion Weak Ubiquitous Embryo_N477_3_2C
TS22: eye Moderate Regionally restricted Embryo_N477_3_6C
TS22: retina Moderate Regionally restricted Embryo_N477_3_6C
TS22: lens Absent
TS22: cornea Absent
TS22: optic nerve Moderate Ubiquitous Embryo_N477_3_2C
TS22: nose Absent
TS22: olfactory epithelium Absent
TS22: ear Absent
TS22: inner ear Absent
TS22: cochlea Absent
TS22: inner ear labyrinth Absent
TS22: middle ear Absent
TS22: alimentary system Moderate Regionally restricted Embryo_N477_3_2C Expression was detected in the digestive system.
TS22: intestine Moderate Regionally restricted Embryo_N477_3_3B
TS22: salivary gland Moderate Ubiquitous Embryo_N477_3_2C
TS22: tongue Weak Regionally restricted Embryo_N477_3_3C
TS22: tooth Moderate Regionally restricted Embryo_N477_3_4C
TS22: palatal shelf Absent
TS22: esophagus Weak Regionally restricted Embryo_N477_3_3C
TS22: stomach Absent
TS22: liver Weak Ubiquitous Embryo_N477_3_1C
TS22: respiratory system Strong Regionally restricted Embryo_N477_3_2B
TS22: pharynx Absent
TS22: larynx Absent
TS22: trachea Strong Regionally restricted Embryo_N477_3_3D
TS22: main bronchus Absent
TS22: lung Strong Regionally restricted Embryo_N477_3_2B
TS22: urinary system Weak Regionally restricted Embryo_N477_3_2C Expression was weak in the genito-urinary system.
TS22: metanephros Weak Regionally restricted Embryo_N477_3_2C
TS22: ureter Absent
TS22: bladder Absent
TS22: urethra Absent
TS22: reproductive system Absent
TS22: genital tubercle Absent
TS22: gonad Absent
TS22: gland Weak Regionally restricted Embryo_N477_3_2C Expression was weak in the endocrine system.
TS22: thyroid gland Absent
TS22: pituitary gland Absent
TS22: pancreas Weak Ubiquitous Embryo_N477_3_2C
TS22: adrenal gland Absent
TS22: cardiovascular system Absent
TS22: heart Absent
TS22: heart atrium Absent
TS22: heart ventricle Absent
TS22: blood vessel Absent
TS22: hemolymphoid system Weak Regionally restricted Embryo_N477_3_3B Expression was weak in the immune system.
TS22: spleen primordium Absent
TS22: thymus primordium Weak Ubiquitous Embryo_N477_3_3B
TS22: appendicular skeleton Strong Ubiquitous Embryo_N477_3_1A Expression was strong in the skeleton (limbs, shoulder, hip).
TS22: musculature Absent
TS22: face Absent Expression was not detected in the face/soft tissues.
TS22: facial bone primordium Moderate Ubiquitous Embryo_N477_3_3B
TS22: cranium Strong Ubiquitous Embryo_N477_3_1A Expression was strong in the skull (base and vault).
TS22: axial skeleton Moderate Regionally restricted Embryo_N477_3_3B
TS22: tail Absent
TS22: forelimb Strong Regionally restricted Embryo_N477_3_1A
TS22: hindlimb Strong Regionally restricted Embryo_N477_3_1A
TS22: integumental system Strong Regionally restricted Embryo_N477_3_5D
TS22: skin Strong Regionally restricted Embryo_N477_3_5D
TS22: hair Weak Regionally restricted Embryo_N477_3_6A
TS22: vibrissa follicle Weak Regionally restricted Embryo_N477_3_6A Expression was weak in whisker follicle.


Contributing Projects:
Mouse Genome Database (MGD), Gene Expression Database (GXD), Mouse Models of Human Cancer database (MMHCdb) (formerly Mouse Tumor Biology (MTB)), Gene Ontology (GO)
Citing These Resources
Funding Information
Warranty Disclaimer, Privacy Notice, Licensing, & Copyright
Send questions and comments to User Support.
last database update
12/30/2025
MGI 6.24
The Jackson Laboratory