About   Help   FAQ
Gene Expression Data
Assay Details
Assay
Reference: J:122989 Visel A, et al., GenePaint.org: an atlas of gene expression patterns in the mouse embryo. Nucleic Acids Res. 2004 Jan 1;32(Database issue):D552-6
Assay type: RNA in situ
MGI Accession ID: MGI:5423686
Gene symbol: Dtymk
Gene name: deoxythymidylate kinase
Probe: EH1609 probe 1555
Probe preparation: Antisense labelled with digoxigenin RNA
Visualized with: Alkaline phosphatase
Assay notes: Cryosections of fresh frozen material were fixed in 4% paraformaldehyde for 20 min. before further processing. A tyramide-biotin/streptavidin amplification step was included in the in situ hybridization procedure. These data were downloaded from GenePaint.org on 1/30/12.
Results
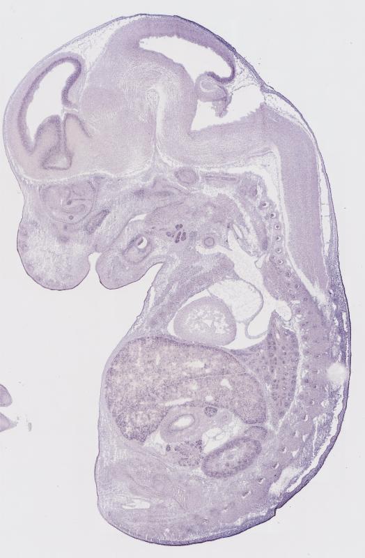
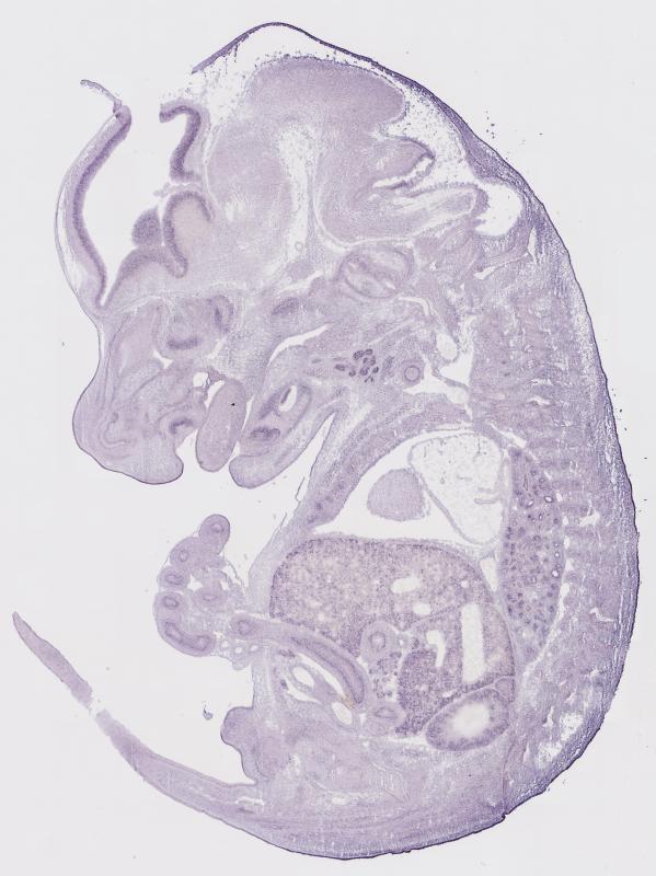
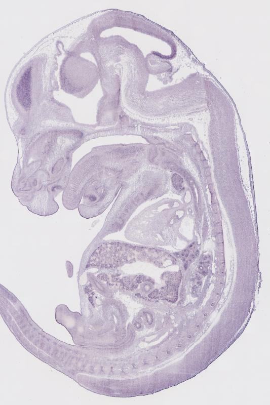
Specimen EH1609; Specimen C2774: embryonic day 14.5 (more )
Structure Level Pattern Image Note
TS22: nervous system Strong Regionally restricted Embryo_C2774_3_4A
TS22: central nervous system Strong Regionally restricted Embryo_C2774_3_4A
TS22: telencephalon Strong Regionally restricted Embryo_C2774_3_4A
TS22: cerebral cortex Strong Regionally restricted Embryo_C2774_3_4A
TS22: neocortex Strong Regionally restricted Embryo_C2774_3_4A
TS22: olfactory cortex Moderate Regionally restricted Embryo_C2774_3_4B
TS22: main olfactory bulb Moderate Regionally restricted Embryo_C2774_3_4B
TS22: piriform cortex Absent
TS22: hippocampus Strong Regionally restricted Embryo_C2774_3_4A
TS22: basal ganglia Strong Regionally restricted Embryo_C2774_3_4A
TS22: corpus striatum Moderate Regionally restricted Embryo_C2774_3_2D Expression was detected in the corpus striatum (lateral ganglionic eminence).
TS22: basal forebrain Absent
TS22: amygdala Absent
TS22: telencephalon septum Strong Regionally restricted Embryo_C2774_3_4A
TS22: pallidum Strong Regionally restricted Embryo_C2774_3_4A Expression was strong in the pallidum (medial ganglionic eminence).
TS22: diencephalon Weak Regionally restricted Embryo_C2774_3_4B
TS22: thalamus Weak Regionally restricted Embryo_C2774_3_4B
TS22: hypothalamus Absent
TS22: midbrain Strong Regionally restricted Embryo_C2774_3_4A
TS22: pretectum Absent
TS22: superior colliculus Absent
TS22: inferior colliculus Strong Regionally restricted Embryo_C2774_3_4A
TS22: midbrain tegmentum Absent
TS22: hindbrain Absent
TS22: cerebellum Absent
TS22: pons Absent
TS22: medulla oblongata Absent
TS22: spinal cord Absent
TS22: choroid plexus Absent
TS22: meninges Absent
TS22: peripheral nervous system Absent
TS22: cranial ganglion Absent
TS22: dorsal root ganglion Absent
TS22: eye Absent
TS22: retina Absent
TS22: lens Absent
TS22: cornea Absent
TS22: optic nerve Absent
TS22: nose Absent
TS22: olfactory epithelium Absent
TS22: ear Absent
TS22: inner ear Absent
TS22: cochlea Absent
TS22: inner ear labyrinth Absent
TS22: middle ear Absent
TS22: alimentary system Strong Regionally restricted Embryo_C2774_3_3A Expression was strong in the digestive system.
TS22: intestine Weak Regionally restricted Embryo_C2774_3_5C
TS22: salivary gland Strong Ubiquitous Embryo_C2774_3_3A
TS22: tongue Weak Regionally restricted Embryo_C2774_3_4B
TS22: tooth Moderate Ubiquitous Embryo_C2774_3_4B
TS22: palatal shelf Absent
TS22: esophagus Absent
TS22: stomach Weak Regionally restricted Embryo_C2774_3_2C
TS22: liver Strong Ubiquitous Embryo_C2774_3_4A
TS22: respiratory system Moderate Regionally restricted Embryo_C2774_3_3D
TS22: pharynx Absent
TS22: larynx Absent
TS22: trachea Weak Regionally restricted Embryo_C2774_3_4C
TS22: main bronchus Weak Regionally restricted Embryo_C2774_3_3C
TS22: lung Moderate Regionally restricted Embryo_C2774_3_3D
TS22: urinary system Moderate Regionally restricted Embryo_C2774_3_3A Expression was detected in the genito-urinary system.
TS22: metanephros Moderate Regionally restricted Embryo_C2774_3_3A
TS22: ureter Absent
TS22: bladder Absent
TS22: urethra Absent
TS22: reproductive system Weak Regionally restricted Embryo_C2774_3_2C
TS22: genital tubercle Absent
TS22: gonad Weak Regionally restricted Embryo_C2774_3_2C
TS22: gland Strong Regionally restricted Embryo_C2774_3_3D Expression was strong in the endocrine system.
TS22: thyroid gland Weak Regionally restricted Embryo_C2774_3_3D
TS22: pituitary gland Weak Regionally restricted Embryo_C2774_3_4B
TS22: pancreas Strong Regionally restricted Embryo_C2774_3_3D
TS22: adrenal gland Moderate Regionally restricted Embryo_C2774_3_3A
TS22: cardiovascular system Absent
TS22: heart Absent
TS22: heart atrium Absent
TS22: heart ventricle Absent
TS22: blood vessel Absent
TS22: hemolymphoid system Moderate Regionally restricted Embryo_C2774_3_4A Expression was detected in the immune system.
TS22: spleen primordium Absent
TS22: thymus primordium Moderate Ubiquitous Embryo_C2774_3_4A
TS22: appendicular skeleton Absent Expression was not detected in the skeleton (limbs, shoulder, hip).
TS22: musculature Absent
TS22: face Absent Expression was not detected in the face/soft tissues.
TS22: facial bone primordium Absent
TS22: cranium Absent Expression was not detected in the skull (base and vault).
TS22: axial skeleton Absent
TS22: tail Absent
TS22: forelimb Moderate Regionally restricted Embryo_C2774_3_1B
TS22: hindlimb Moderate Regionally restricted Embryo_C2774_3_1B
TS22: integumental system Moderate Regionally restricted Embryo_C2774_3_1B
TS22: skin Moderate Regionally restricted Embryo_C2774_3_1B
TS22: hair Absent
TS22: vibrissa follicle Absent Expression was not detected in whisker follicle.


Contributing Projects:
Mouse Genome Database (MGD), Gene Expression Database (GXD), Mouse Models of Human Cancer database (MMHCdb) (formerly Mouse Tumor Biology (MTB)), Gene Ontology (GO)
Citing These Resources
Funding Information
Warranty Disclaimer, Privacy Notice, Licensing, & Copyright
Send questions and comments to User Support.
last database update
01/28/2026
MGI 6.24
The Jackson Laboratory