About   Help   FAQ
Gene Expression Data
Assay Details
Assay
Reference: J:122989 Visel A, et al., GenePaint.org: an atlas of gene expression patterns in the mouse embryo. Nucleic Acids Res. 2004 Jan 1;32(Database issue):D552-6
Assay type: RNA in situ
MGI Accession ID: MGI:5423442
Gene symbol: Phyh
Gene name: phytanoyl-CoA hydroxylase
Probe: ES638 probe 595
Probe preparation: Antisense labelled with digoxigenin RNA
Visualized with: Alkaline phosphatase
Assay notes: Cryosections of fresh frozen material were fixed in 4% paraformaldehyde for 20 min. before further processing. A tyramide-biotin/streptavidin amplification step was included in the in situ hybridization procedure. These data were downloaded from GenePaint.org on 1/30/12.
Results
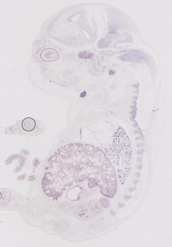
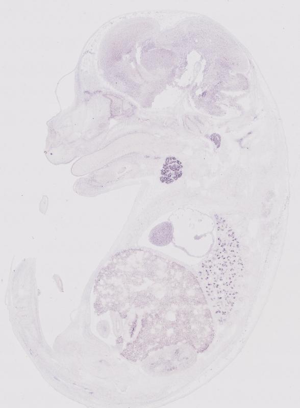
Specimen ES638; Specimen S285: embryonic day 14.5 (more )
Structure Level Pattern Image Note
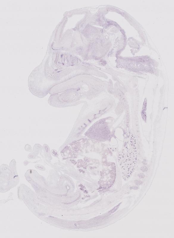
TS22: nervous system Strong Regionally restricted Embryo_S285_4_2A
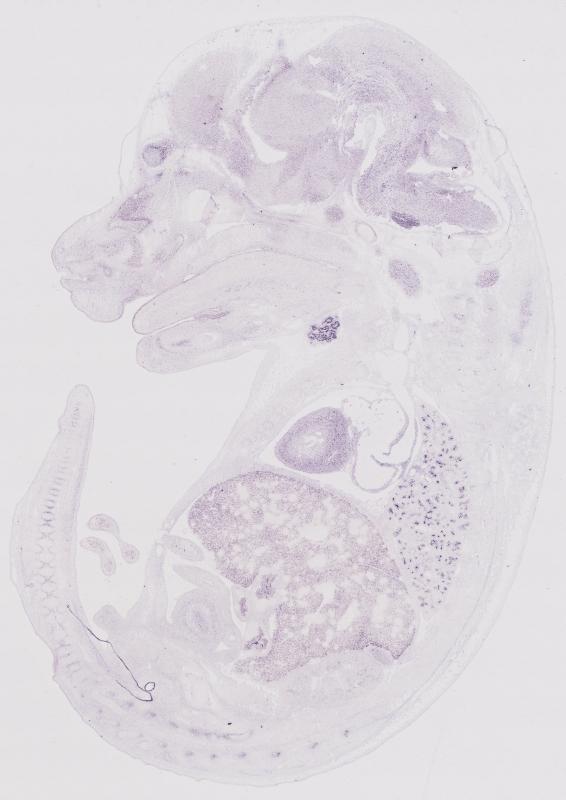
TS22: central nervous system Moderate Regionally restricted Embryo_S285_4_3B
TS22: telencephalon Moderate Regionally restricted Embryo_S285_4_3C
TS22: cerebral cortex Weak Regionally restricted Embryo_S285_4_3C
TS22: neocortex Absent
TS22: olfactory cortex Moderate Regionally restricted Embryo_S285_4_3C
TS22: main olfactory bulb Moderate Regionally restricted Embryo_S285_4_3C
TS22: piriform cortex Absent
TS22: hippocampus Absent
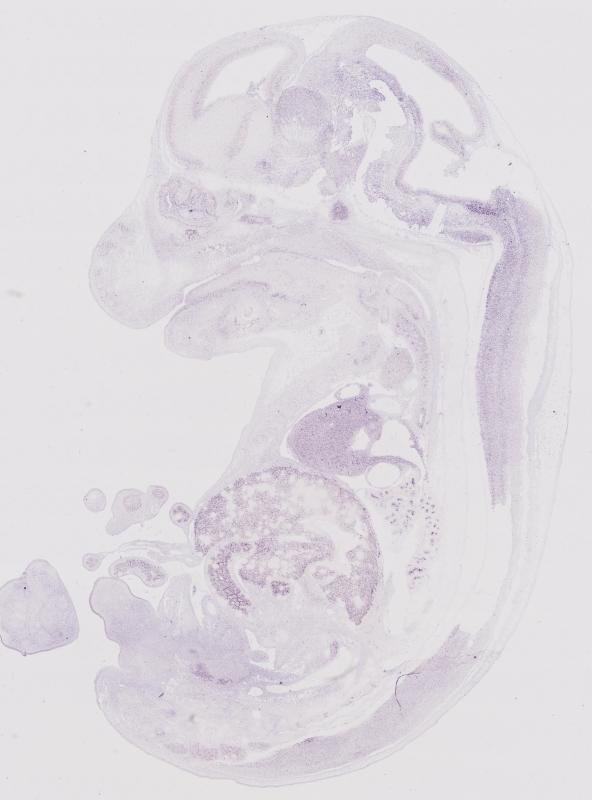
TS22: basal ganglia Weak Regionally restricted Embryo_S285_4_2C
TS22: corpus striatum Absent Expression was not detected in the corpus striatum (lateral ganglionic eminence).
TS22: basal forebrain Absent
TS22: amygdala Weak Regionally restricted Embryo_S285_4_2C
TS22: telencephalon septum Absent
TS22: pallidum Absent Expression was not detected in the pallidum (medial ganglionic eminence).
TS22: diencephalon Weak Regionally restricted Embryo_S285_4_3B
TS22: thalamus Weak Regionally restricted Embryo_S285_4_3B
TS22: hypothalamus Absent
TS22: midbrain Moderate Regionally restricted Embryo_S285_4_3C
TS22: pretectum Absent
TS22: superior colliculus Weak Regionally restricted Embryo_S285_4_3C
TS22: inferior colliculus Absent
TS22: midbrain tegmentum Moderate Regionally restricted Embryo_S285_4_3C
TS22: hindbrain Moderate Regionally restricted Embryo_S285_4_3C
TS22: cerebellum Weak Regionally restricted Embryo_S285_4_3C
TS22: pons Moderate Regionally restricted Embryo_S285_4_3C
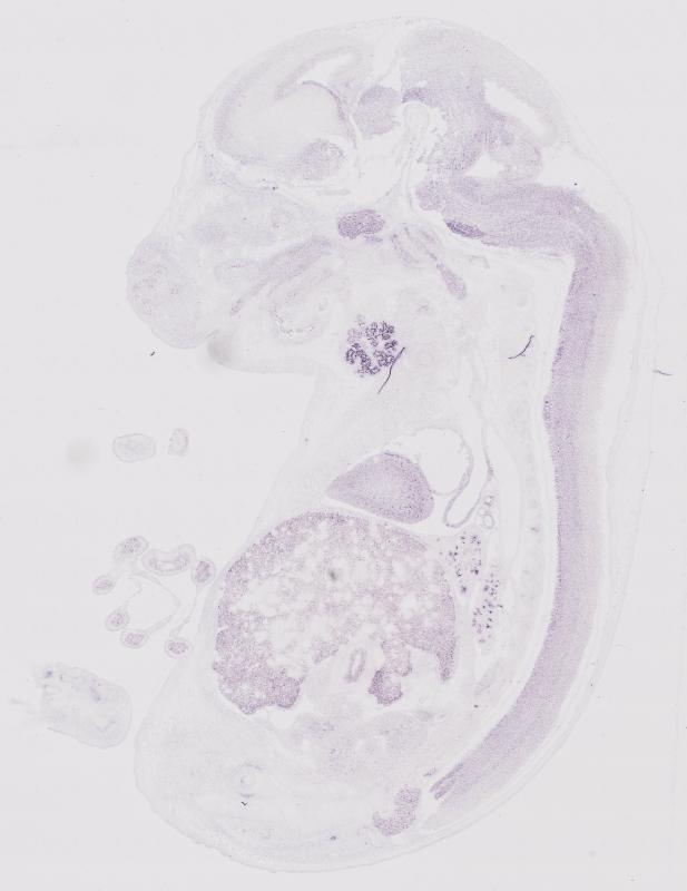
TS22: medulla oblongata Moderate Regionally restricted Embryo_S285_4_3B
TS22: spinal cord Moderate Regionally restricted Embryo_S285_4_3A
TS22: choroid plexus Weak Regionally restricted Embryo_S285_4_3A
TS22: meninges Absent
TS22: peripheral nervous system Strong Ubiquitous Embryo_S285_4_2A
TS22: cranial ganglion Strong Ubiquitous Embryo_S285_4_2A
TS22: dorsal root ganglion Moderate Ubiquitous Embryo_S285_4_2A
TS22: eye Absent
TS22: retina Absent
TS22: lens Absent
TS22: cornea Absent
TS22: optic nerve Absent
TS22: nose Moderate Regionally restricted Embryo_S285_4_4A
TS22: olfactory epithelium Moderate Regionally restricted Embryo_S285_4_4A
TS22: ear Absent
TS22: inner ear Absent
TS22: cochlea Absent
TS22: inner ear labyrinth Absent
TS22: middle ear Absent
TS22: alimentary system Strong Regionally restricted Embryo_S285_4_2A Expression was strong in the digestive system.
TS22: intestine Moderate Regionally restricted Embryo_S285_4_2A
TS22: salivary gland Strong Regionally restricted Embryo_S285_4_4C
TS22: tongue Absent
TS22: tooth Absent
TS22: palatal shelf Absent
TS22: esophagus Absent
TS22: stomach Moderate Regionally restricted Embryo_S285_4_2A
TS22: liver Moderate Ubiquitous Embryo_S285_4_2A
TS22: respiratory system Strong Regionally restricted Embryo_S285_4_2A
TS22: pharynx Absent
TS22: larynx Absent
TS22: trachea Absent
TS22: main bronchus Absent
TS22: lung Strong Regionally restricted Embryo_S285_4_2A
TS22: urinary system Moderate Regionally restricted Embryo_S285_4_2A Expression was detected in the genito-urinary system.
TS22: metanephros Moderate Regionally restricted Embryo_S285_4_2A
TS22: ureter Absent
TS22: bladder Absent
TS22: urethra Absent
TS22: reproductive system Absent
TS22: genital tubercle Absent
TS22: gonad Absent
TS22: gland Moderate Regionally restricted Embryo_S285_4_3B Expression was detected in the endocrine system.
TS22: thyroid gland Absent
TS22: pituitary gland Moderate Regionally restricted Embryo_S285_4_3B
TS22: pancreas Absent
TS22: adrenal gland Weak Regionally restricted Embryo_S285_4_2A
TS22: cardiovascular system Moderate Regionally restricted Embryo_S285_4_3C
TS22: heart Moderate Regionally restricted Embryo_S285_4_3C
TS22: heart atrium Absent
TS22: heart ventricle Moderate Regionally restricted Embryo_S285_4_3C
TS22: blood vessel Absent
TS22: hemolymphoid system Absent Expression was not detected in the immune system.
TS22: spleen primordium Absent
TS22: thymus primordium Absent
TS22: appendicular skeleton Absent Expression was not detected in the skeleton (limbs, shoulder, hip).
TS22: musculature Absent
TS22: face Absent Expression was not detected in the face/soft tissues.
TS22: facial bone primordium Absent
TS22: cranium Absent Expression was not detected in the skull (base and vault).
TS22: axial skeleton Absent
TS22: tail Weak Regionally restricted Embryo_S285_4_4B
TS22: forelimb Absent
TS22: hindlimb Absent
TS22: integumental system Absent
TS22: skin Absent
TS22: hair Absent
TS22: vibrissa follicle Absent Expression was not detected in whisker follicle.


Contributing Projects:
Mouse Genome Database (MGD), Gene Expression Database (GXD), Mouse Models of Human Cancer database (MMHCdb) (formerly Mouse Tumor Biology (MTB)), Gene Ontology (GO)
Citing These Resources
Funding Information
Warranty Disclaimer, Privacy Notice, Licensing, & Copyright
Send questions and comments to User Support.
last database update
04/14/2026
MGI 6.24
The Jackson Laboratory