About   Help   FAQ
Gene Expression Data
Assay Details
Assay
Reference: J:122989 Visel A, et al., GenePaint.org: an atlas of gene expression patterns in the mouse embryo. Nucleic Acids Res. 2004 Jan 1;32(Database issue):D552-6
Assay type: RNA in situ
MGI Accession ID: MGI:5423260
Gene symbol: Pigq
Gene name: phosphatidylinositol glycan anchor biosynthesis, class Q
Probe: EH2225 probe 2163
Probe preparation: Antisense labelled with digoxigenin RNA
Visualized with: Alkaline phosphatase
Assay notes: Cryosections of fresh frozen material were fixed in 4% paraformaldehyde for 20 min. before further processing. A tyramide-biotin/streptavidin amplification step was included in the in situ hybridization procedure. These data were downloaded from GenePaint.org on 1/30/12.
Results
Specimen EH2225; Specimen C2836: embryonic day 14.5 (more )
Structure Level Pattern Image Note
TS22: nervous system Strong Ubiquitous Embryo_C2836_2_3A
TS22: central nervous system Strong Ubiquitous Embryo_C2836_2_3A
TS22: telencephalon Moderate Regionally restricted Embryo_C2836_2_3B
TS22: cerebral cortex Moderate Regionally restricted Embryo_C2836_2_3B
TS22: neocortex Moderate Regionally restricted Embryo_C2836_2_3B
TS22: olfactory cortex Absent
TS22: main olfactory bulb Absent
TS22: piriform cortex Absent
TS22: hippocampus Moderate Regionally restricted Embryo_C2836_2_3B
TS22: basal ganglia Moderate Regionally restricted Embryo_C2836_2_2A
TS22: corpus striatum Moderate Regionally restricted Embryo_C2836_2_2A Expression was detected in the corpus striatum (lateral ganglionic eminence).
TS22: basal forebrain Absent
TS22: amygdala Absent
TS22: telencephalon septum Weak Regionally restricted Embryo_C2836_2_3A
TS22: pallidum Weak Regionally restricted Embryo_C2836_2_3A Expression was weak in the pallidum (medial ganglionic eminence).
TS22: diencephalon Moderate Regionally restricted Embryo_C2836_2_4B
TS22: thalamus Moderate Regionally restricted Embryo_C2836_2_4B
TS22: hypothalamus Weak Regionally restricted Embryo_C2836_2_4C
TS22: midbrain Moderate Regionally restricted Embryo_C2836_2_4B
TS22: pretectum Weak Regionally restricted Embryo_C2836_2_4C
TS22: superior colliculus Moderate Ubiquitous Embryo_C2836_2_4B
TS22: inferior colliculus Moderate Ubiquitous Embryo_C2836_2_4B
TS22: midbrain tegmentum Moderate Regionally restricted Embryo_C2836_2_4B
TS22: hindbrain Moderate Regionally restricted Embryo_C2836_2_4B
TS22: cerebellum Moderate Regionally restricted Embryo_C2836_2_4B
TS22: pons Moderate Regionally restricted Embryo_C2836_2_4B
TS22: medulla oblongata Moderate Regionally restricted Embryo_C2836_2_4B
TS22: spinal cord Weak Regionally restricted Embryo_C2836_2_4D
TS22: choroid plexus Moderate Regionally restricted Embryo_C2836_2_4A
TS22: meninges Absent
TS22: peripheral nervous system Strong Ubiquitous Embryo_C2836_2_3A
TS22: cranial ganglion Strong Ubiquitous Embryo_C2836_2_3A
TS22: dorsal root ganglion Weak Ubiquitous Embryo_C2836_2_5C
TS22: eye Moderate Regionally restricted Embryo_C2836_2_1A
TS22: retina Absent
TS22: lens Moderate Regionally restricted Embryo_C2836_2_1A
TS22: cornea Absent
TS22: optic nerve Weak Regionally restricted Embryo_C2836_2_3A
TS22: nose Weak Regionally restricted Embryo_C2836_2_3A
TS22: olfactory epithelium Weak Regionally restricted Embryo_C2836_2_3A
TS22: ear Weak Regionally restricted Embryo_C2836_2_2B
TS22: inner ear Weak Regionally restricted Embryo_C2836_2_2B
TS22: cochlea Absent
TS22: inner ear labyrinth Weak Regionally restricted Embryo_C2836_2_2B
TS22: middle ear Weak Regionally restricted Embryo_C2836_2_1B
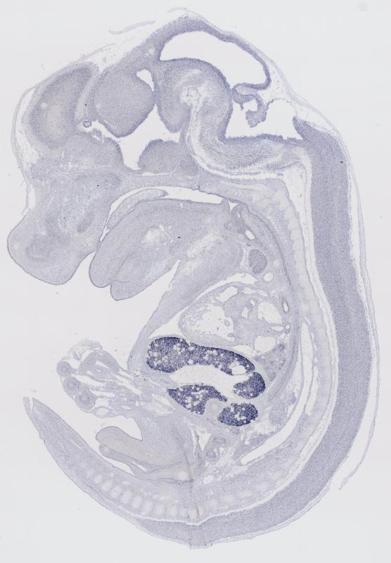
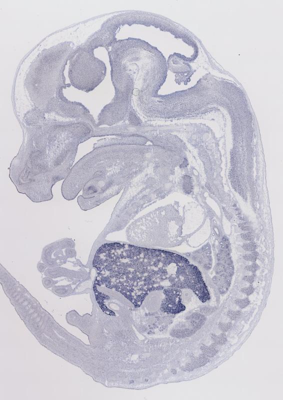
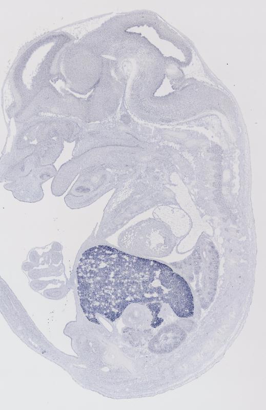
TS22: alimentary system Strong Ubiquitous Embryo_C2836_2_3A Expression was strong in the digestive system.
TS22: intestine Absent
TS22: salivary gland Strong Ubiquitous Embryo_C2836_2_3A
TS22: tongue Weak Regionally restricted Embryo_C2836_2_4B
TS22: tooth Moderate Regionally restricted Embryo_C2836_2_4A
TS22: palatal shelf Absent
TS22: esophagus Weak Regionally restricted Embryo_C2836_2_4C
TS22: stomach Moderate Regionally restricted Embryo_C2836_2_2A
TS22: liver Strong Ubiquitous Embryo_C2836_2_5B
TS22: respiratory system Weak Regionally restricted Embryo_C2836_2_4C
TS22: pharynx Weak Regionally restricted Embryo_C2836_2_4C
TS22: larynx Weak Regionally restricted Embryo_C2836_2_4C
TS22: trachea Weak Regionally restricted Embryo_C2836_2_4C
TS22: main bronchus Absent
TS22: lung Weak Regionally restricted Embryo_C2836_2_4A
TS22: urinary system Weak Regionally restricted Embryo_C2836_2_3D Expression was weak in the genito-urinary system.
TS22: metanephros Weak Regionally restricted Embryo_C2836_2_3D
TS22: ureter Absent
TS22: bladder Absent
TS22: urethra Absent
TS22: reproductive system Absent
TS22: genital tubercle Absent
TS22: gonad Absent
TS22: gland Weak Ubiquitous Embryo_C2836_2_4B Expression was weak in the endocrine system.
TS22: thyroid gland Weak Ubiquitous Embryo_C2836_2_4B
TS22: pituitary gland Weak Ubiquitous Embryo_C2836_2_4A
TS22: pancreas Weak Regionally restricted Embryo_C2836_2_3D
TS22: adrenal gland Absent
TS22: cardiovascular system Absent
TS22: heart Absent
TS22: heart atrium Absent
TS22: heart ventricle Absent
TS22: blood vessel Absent
TS22: hemolymphoid system Weak Ubiquitous Embryo_C2836_2_4B Expression was weak in the immune system.
TS22: spleen primordium Absent
TS22: thymus primordium Weak Ubiquitous Embryo_C2836_2_4B
TS22: appendicular skeleton Absent Expression was not detected in the skeleton (limbs, shoulder, hip).
TS22: musculature Absent
TS22: face Absent Expression was not detected in the face/soft tissues.
TS22: facial bone primordium Absent
TS22: cranium Weak Regionally restricted Embryo_C2836_2_2A Expression was weak in the skull (base and vault).
TS22: axial skeleton Absent
TS22: tail Absent
TS22: forelimb Absent
TS22: hindlimb Absent
TS22: integumental system Absent
TS22: skin Absent
TS22: hair Absent
TS22: vibrissa follicle Absent Expression was not detected in whisker follicle.


Contributing Projects:
Mouse Genome Database (MGD), Gene Expression Database (GXD), Mouse Models of Human Cancer database (MMHCdb) (formerly Mouse Tumor Biology (MTB)), Gene Ontology (GO)
Citing These Resources
Funding Information
Warranty Disclaimer, Privacy Notice, Licensing, & Copyright
Send questions and comments to User Support.
last database update
12/30/2025
MGI 6.24
The Jackson Laboratory