About   Help   FAQ
Gene Expression Data
Assay Details
Assay
Reference: J:122989 Visel A, et al., GenePaint.org: an atlas of gene expression patterns in the mouse embryo. Nucleic Acids Res. 2004 Jan 1;32(Database issue):D552-6
Assay type: RNA in situ
MGI Accession ID: MGI:5422988
Gene symbol: Pcdhg
Gene name: protocadherin gamma cluster
Probe: MH994 probe 859
Probe preparation: Antisense labelled with digoxigenin RNA
Visualized with: Alkaline phosphatase
Assay notes: Cryosections of fresh frozen material were fixed in 4% paraformaldehyde for 20 min. before further processing. A tyramide-biotin/streptavidin amplification step was included in the in situ hybridization procedure. These data were downloaded from GenePaint.org on 1/30/12.
Results
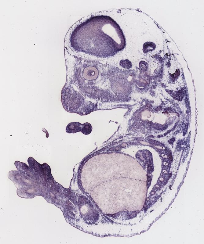
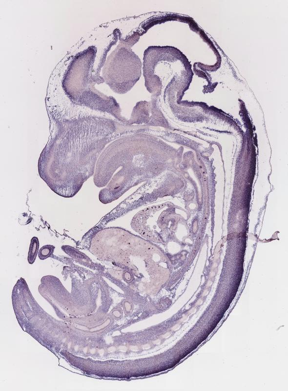
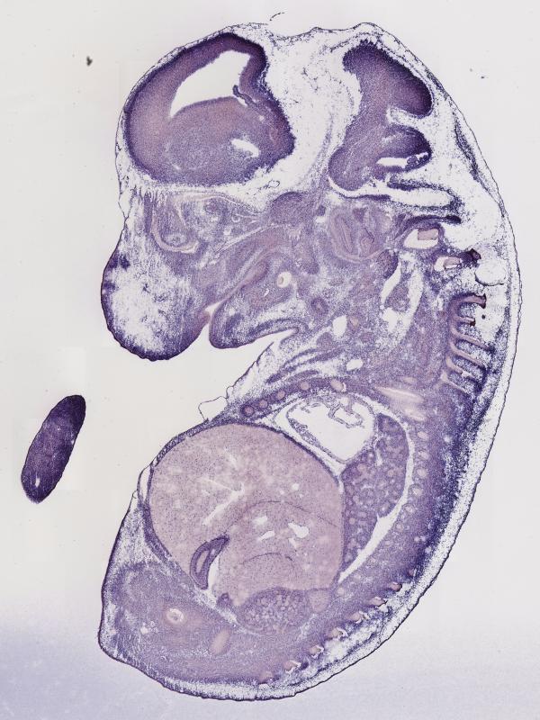
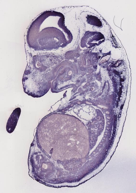
Specimen MH994; Specimen C941: embryonic day 14.5 (more )
Structure Level Pattern Image Note
TS22: nervous system Strong Regionally restricted Embryo_C941_4_4A
TS22: central nervous system Strong Regionally restricted Embryo_C941_4_4A
TS22: telencephalon Strong Regionally restricted Embryo_C941_4_2C
TS22: cerebral cortex Strong Regionally restricted Embryo_C941_4_4B
TS22: neocortex Strong Regionally restricted Embryo_C941_4_5B
TS22: olfactory cortex Moderate Regionally restricted Embryo_C941_4_6A
TS22: main olfactory bulb Moderate Regionally restricted Embryo_C941_4_4C
TS22: piriform cortex Weak Regionally restricted Embryo_C941_4_6A
TS22: hippocampus Strong Regionally restricted Embryo_C941_4_4A
TS22: basal ganglia Moderate Regionally restricted Embryo_C941_4_5A
TS22: corpus striatum Weak Regionally restricted Embryo_C941_4_2A Expression was weak in the corpus striatum (lateral ganglionic eminence).
TS22: basal forebrain Weak Regionally restricted Embryo_C941_4_3A
TS22: amygdala Moderate Regionally restricted Embryo_C941_4_1A
TS22: telencephalon septum Weak Regionally restricted Embryo_C941_4_5A
TS22: pallidum Absent Expression was not detected in the pallidum (medial ganglionic eminence).
TS22: diencephalon Moderate Regionally restricted Embryo_C941_4_4D
TS22: thalamus Moderate Regionally restricted Embryo_C941_4_4D
TS22: hypothalamus Moderate Regionally restricted Embryo_C941_4_4D
TS22: midbrain Strong Regionally restricted Embryo_C941_4_4D
TS22: pretectum Strong Regionally restricted Embryo_C941_4_4D
TS22: superior colliculus Strong Regionally restricted Embryo_C941_4_4D
TS22: inferior colliculus Strong Regionally restricted Embryo_C941_4_3C
TS22: midbrain tegmentum Strong Regionally restricted Embryo_C941_4_4D
TS22: hindbrain Strong Regionally restricted Embryo_C941_4_4C
TS22: cerebellum Strong Regionally restricted Embryo_C941_4_4D
TS22: pons Strong Regionally restricted Embryo_C941_4_4C
TS22: medulla oblongata Strong Regionally restricted Embryo_C941_4_4C
TS22: spinal cord Strong Regionally restricted Embryo_C941_4_4A
TS22: choroid plexus Moderate Regionally restricted Embryo_C941_4_4C
TS22: meninges Moderate Regionally restricted Embryo_C941_4_2A
TS22: peripheral nervous system Strong Regionally restricted Embryo_C941_4_2D
TS22: cranial ganglion Weak Regionally restricted Embryo_C941_4_2B
TS22: dorsal root ganglion Strong Regionally restricted Embryo_C941_4_2D
TS22: eye Moderate Regionally restricted Embryo_C941_4_1A
TS22: retina Moderate Regionally restricted Embryo_C941_4_1A
TS22: optic nerve Absent
TS22: nose Weak Regionally restricted Embryo_C941_4_4A
TS22: olfactory epithelium Weak Regionally restricted Embryo_C941_4_4A
TS22: ear Moderate Regionally restricted Embryo_C941_4_1A
TS22: inner ear Weak Regionally restricted Embryo_C941_4_3A
TS22: cochlea Weak Regionally restricted Embryo_C941_4_3A
TS22: inner ear labyrinth Weak Regionally restricted Embryo_C941_4_1D
TS22: middle ear Moderate Regionally restricted Embryo_C941_4_1A
TS22: alimentary system Moderate Regionally restricted Embryo_C941_4_4A Expression was detected in the digestive system.
TS22: intestine Moderate Regionally restricted Embryo_C941_4_4A
TS22: salivary gland Weak Regionally restricted Embryo_C941_4_2C
TS22: tongue Weak Regionally restricted Embryo_C941_4_4B
TS22: tooth Weak Regionally restricted Embryo_C941_4_5B
TS22: palatal shelf Weak Regionally restricted Embryo_C941_4_6A
TS22: esophagus Weak Regionally restricted Embryo_C941_4_4C
TS22: stomach Weak Regionally restricted Embryo_C941_4_6A
TS22: liver Absent
TS22: respiratory system Moderate Regionally restricted Embryo_C941_4_4A
TS22: pharynx Absent
TS22: larynx Absent
TS22: trachea Moderate Regionally restricted Embryo_C941_4_4A
TS22: main bronchus Absent
TS22: lung Moderate Regionally restricted Embryo_C941_4_4A
TS22: urinary system Moderate Regionally restricted Embryo_C941_4_4A Expression was detected in the genito-urinary system.
TS22: metanephros Weak Regionally restricted Embryo_C941_4_6A
TS22: ureter Absent
TS22: bladder Weak Regionally restricted Embryo_C941_4_4A
TS22: urethra Absent
TS22: reproductive system Moderate Regionally restricted Embryo_C941_4_4A
TS22: genital tubercle Moderate Regionally restricted Embryo_C941_4_4A
TS22: gonad Weak Regionally restricted Embryo_C941_4_1B
TS22: gland Weak Regionally restricted Embryo_C941_4_5B Expression was weak in the endocrine system.
TS22: thyroid gland Absent
TS22: pituitary gland Weak Regionally restricted Embryo_C941_4_4A
TS22: pancreas Weak Regionally restricted Embryo_C941_4_5B
TS22: adrenal gland Absent
TS22: cardiovascular system Moderate Regionally restricted Embryo_C941_4_4A
TS22: heart Moderate Regionally restricted Embryo_C941_4_4A
TS22: heart atrium Moderate Regionally restricted Embryo_C941_4_4A
TS22: heart ventricle Weak Regionally restricted Embryo_C941_4_4A
TS22: blood vessel Weak Regionally restricted Embryo_C941_4_4A
TS22: hemolymphoid system Weak Regionally restricted Embryo_C941_4_4A Expression was weak in the immune system.
TS22: spleen primordium Weak Regionally restricted Embryo_C941_4_7C
TS22: thymus primordium Weak Regionally restricted Embryo_C941_4_4A
TS22: appendicular skeleton Absent Expression was not detected in the skeleton (limbs, shoulder, hip).
TS22: musculature Strong Regionally restricted Embryo_C941_4_2A
TS22: face Moderate Regionally restricted Embryo_C941_4_2A Expression was detected in the face/soft tissues.
TS22: facial bone primordium Weak Regionally restricted Embryo_C941_4_4A
TS22: cranium Absent Expression was not detected in the skull (base and vault).
TS22: axial skeleton Absent
TS22: tail Strong Regionally restricted Embryo_C941_4_3A
TS22: forelimb Strong Regionally restricted Embryo_C941_4_1A
TS22: hindlimb Strong Regionally restricted Embryo_C941_4_1A
TS22: integumental system Strong Regionally restricted Embryo_C941_4_2A
TS22: skin Strong Regionally restricted Embryo_C941_4_1A
TS22: hair Weak Regionally restricted Embryo_C941_4_2A
TS22: vibrissa follicle Weak Regionally restricted Embryo_C941_4_1B Expression was weak in whisker follicle.


Contributing Projects:
Mouse Genome Database (MGD), Gene Expression Database (GXD), Mouse Models of Human Cancer database (MMHCdb) (formerly Mouse Tumor Biology (MTB)), Gene Ontology (GO)
Citing These Resources
Funding Information
Warranty Disclaimer, Privacy Notice, Licensing, & Copyright
Send questions and comments to User Support.
last database update
03/24/2026
MGI 6.24
The Jackson Laboratory