About   Help   FAQ
Gene Expression Data
Assay Details
Assay
Reference: J:122989 Visel A, et al., GenePaint.org: an atlas of gene expression patterns in the mouse embryo. Nucleic Acids Res. 2004 Jan 1;32(Database issue):D552-6
Assay type: RNA in situ
MGI Accession ID: MGI:5422481
Gene symbol: Pik3r3
Gene name: phosphoinositide-3-kinase regulatory subunit 3
Probe: T50809
Probe preparation: Antisense labelled with digoxigenin RNA
Visualized with: Alkaline phosphatase
Assay notes: Cryosections of fresh frozen material were fixed in 4% paraformaldehyde for 20 min. before further processing. A tyramide-biotin/streptavidin amplification step was included in the in situ hybridization procedure. These data were downloaded from GenePaint.org on 1/30/12.
Results
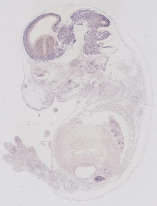
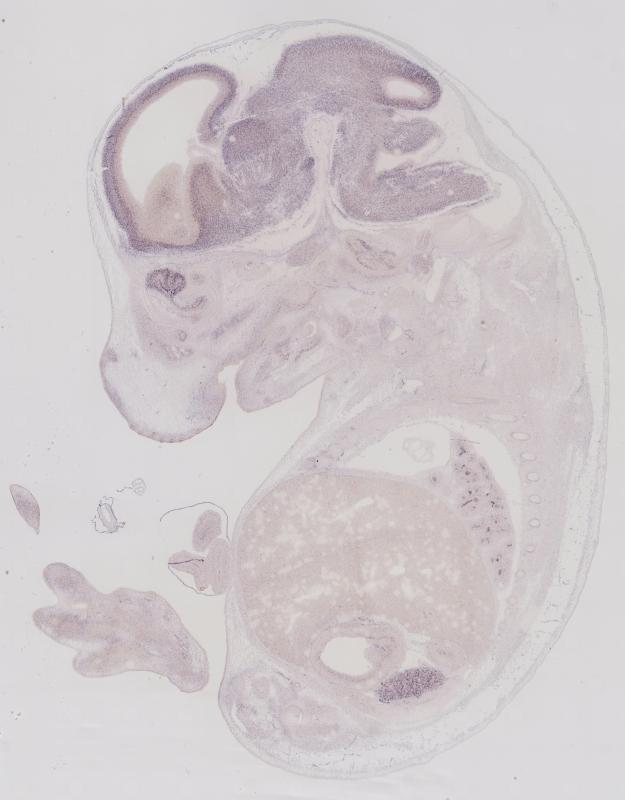
Specimen MH1841; Specimen C1869: embryonic day 14.5 (more )
Structure Level Pattern Image Note
TS22: nervous system Strong Regionally restricted Embryo_C1869_2_1A
TS22: central nervous system Strong Regionally restricted Embryo_C1869_2_4B
TS22: telencephalon Moderate Regionally restricted Embryo_C1869_2_5A
TS22: cerebral cortex Moderate Regionally restricted Embryo_C1869_2_5A
TS22: neocortex Moderate Regionally restricted Embryo_C1869_2_5A
TS22: olfactory cortex Moderate Regionally restricted Embryo_C1869_2_5A
TS22: main olfactory bulb Moderate Regionally restricted Embryo_C1869_2_5A
TS22: piriform cortex Absent
TS22: hippocampus Moderate Regionally restricted Embryo_C1869_2_5A
TS22: basal ganglia Moderate Regionally restricted Embryo_C1869_2_5A
TS22: corpus striatum Absent Expression was not detected in the corpus striatum (lateral ganglionic eminence).
TS22: basal forebrain Weak Ubiquitous Embryo_C1869_2_4D
TS22: amygdala Absent
TS22: telencephalon septum Weak Ubiquitous Embryo_C1869_2_4D
TS22: pallidum Moderate Regionally restricted Embryo_C1869_2_5A Expression was detected in the pallidum (medial ganglionic eminence).
TS22: diencephalon Weak Regionally restricted Embryo_C1869_2_4D
TS22: thalamus Weak Ubiquitous Embryo_C1869_2_4D
TS22: hypothalamus Weak Regionally restricted Embryo_C1869_2_4D
TS22: midbrain Strong Regionally restricted Embryo_C1869_2_4B
TS22: pretectum Weak Ubiquitous Embryo_C1869_2_4D
TS22: superior colliculus Strong Regionally restricted Embryo_C1869_2_4B
TS22: inferior colliculus Strong Regionally restricted Embryo_C1869_2_4B
TS22: midbrain tegmentum Weak Ubiquitous Embryo_C1869_2_5A
TS22: hindbrain Weak Regionally restricted Embryo_C1869_2_4D
TS22: cerebellum Weak Ubiquitous Embryo_C1869_2_4D
TS22: pons Weak Regionally restricted Embryo_C1869_2_5A
TS22: medulla oblongata Weak Regionally restricted Embryo_C1869_2_5A
TS22: spinal cord Moderate Ubiquitous Embryo_C1869_2_5B
TS22: choroid plexus Absent
TS22: meninges Absent
TS22: peripheral nervous system Absent
TS22: cranial ganglion Absent
TS22: dorsal root ganglion Absent
TS22: eye Strong Regionally restricted Embryo_C1869_2_1A
TS22: retina Strong Regionally restricted Embryo_C1869_2_1A
TS22: lens Absent
TS22: cornea Absent
TS22: optic nerve Absent
TS22: nose Strong Regionally restricted Embryo_C1869_2_5A
TS22: olfactory epithelium Strong Regionally restricted Embryo_C1869_2_5A
TS22: ear Weak Regionally restricted Embryo_C1869_2_1B
TS22: inner ear Weak Regionally restricted Embryo_C1869_2_2D
TS22: cochlea Weak Regionally restricted Embryo_C1869_2_3B
TS22: inner ear labyrinth Weak Regionally restricted Embryo_C1869_2_2D
TS22: middle ear Weak Regionally restricted Embryo_C1869_2_1B
TS22: alimentary system Strong Regionally restricted Embryo_C1869_2_5A Expression was strong in the digestive system.
TS22: intestine Absent
TS22: salivary gland Absent
TS22: tongue Absent
TS22: tooth Strong Regionally restricted Embryo_C1869_2_5A
TS22: palatal shelf Absent
TS22: esophagus Absent
TS22: stomach Absent
TS22: liver Absent
TS22: respiratory system Strong Regionally restricted Embryo_C1869_2_3A
TS22: pharynx Absent
TS22: larynx Absent
TS22: trachea Absent
TS22: main bronchus Absent
TS22: lung Strong Regionally restricted Embryo_C1869_2_3A
TS22: urinary system Strong Regionally restricted Embryo_C1869_2_3A Expression was strong in the genito-urinary system.
TS22: metanephros Absent
TS22: ureter Absent
TS22: bladder Absent
TS22: urethra Weak Regionally restricted Embryo_C1869_2_5A
TS22: reproductive system Strong Regionally restricted Embryo_C1869_2_3A
TS22: genital tubercle Absent
TS22: gonad Strong Ubiquitous Embryo_C1869_2_3A
TS22: gland Moderate Regionally restricted Embryo_C1869_2_4B Expression was detected in the endocrine system.
TS22: thyroid gland Moderate Ubiquitous Embryo_C1869_2_4B
TS22: pituitary gland Absent
TS22: pancreas Absent
TS22: adrenal gland Absent
TS22: cardiovascular system Absent
TS22: heart Absent
TS22: heart atrium Absent
TS22: heart ventricle Absent
TS22: blood vessel Absent
TS22: hemolymphoid system Absent Expression was not detected in the immune system.
TS22: spleen primordium Absent
TS22: thymus primordium Absent
TS22: appendicular skeleton Absent Expression was not detected in the skeleton (limbs, shoulder, hip).
TS22: musculature Absent
TS22: face Absent Expression was not detected in the face/soft tissues.
TS22: facial bone primordium Absent
TS22: cranium Absent Expression was not detected in the skull (base and vault).
TS22: axial skeleton Absent
TS22: tail Moderate Regionally restricted Embryo_C1869_2_5A
TS22: forelimb Absent
TS22: hindlimb Absent
TS22: integumental system Moderate Regionally restricted Embryo_C1869_2_2A
TS22: skin Absent
TS22: hair Moderate Regionally restricted Embryo_C1869_2_2A
TS22: vibrissa follicle Moderate Regionally restricted Embryo_C1869_2_2A Expression was detected in whisker follicle.


Contributing Projects:
Mouse Genome Database (MGD), Gene Expression Database (GXD), Mouse Models of Human Cancer database (MMHCdb) (formerly Mouse Tumor Biology (MTB)), Gene Ontology (GO)
Citing These Resources
Funding Information
Warranty Disclaimer, Privacy Notice, Licensing, & Copyright
Send questions and comments to User Support.
last database update
12/30/2025
MGI 6.24
The Jackson Laboratory