About   Help   FAQ
Gene Expression Data
Assay Details
Assay
Reference: J:122989 Visel A, et al., GenePaint.org: an atlas of gene expression patterns in the mouse embryo. Nucleic Acids Res. 2004 Jan 1;32(Database issue):D552-6
Assay type: RNA in situ
MGI Accession ID: MGI:5421403
Gene symbol: Pkm
Gene name: pyruvate kinase, muscle
Probe: MH1052 probe 913
Probe preparation: Antisense labelled with digoxigenin RNA
Visualized with: Alkaline phosphatase
Assay notes: Cryosections of fresh frozen material were fixed in 4% paraformaldehyde for 20 min. before further processing. A tyramide-biotin/streptavidin amplification step was included in the in situ hybridization procedure. These data were downloaded from GenePaint.org on 1/30/12.
Results
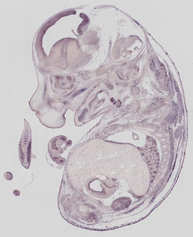
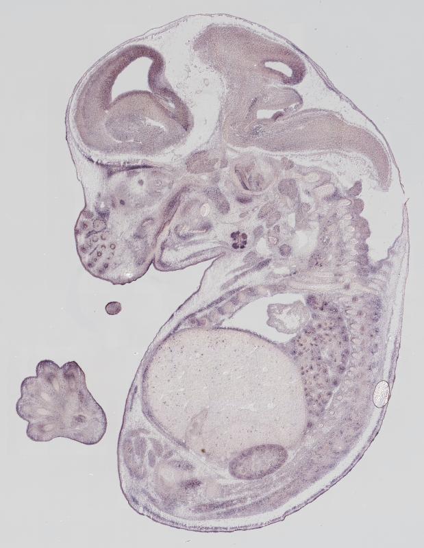
Specimen MH1052; Specimen C1617: embryonic day 14.5 (more )
Structure Level Pattern Image Note
TS22: nervous system Moderate Regionally restricted Embryo_C1617_2_3D
TS22: central nervous system Moderate Regionally restricted Embryo_C1617_2_3D
TS22: telencephalon Moderate Regionally restricted Embryo_C1617_2_5A
TS22: cerebral cortex Moderate Regionally restricted Embryo_C1617_2_5A
TS22: neocortex Moderate Regionally restricted Embryo_C1617_2_5A
TS22: olfactory cortex Moderate Regionally restricted Embryo_C1617_2_5A
TS22: main olfactory bulb Moderate Regionally restricted Embryo_C1617_2_5A
TS22: piriform cortex Weak Regionally restricted Embryo_C1617_2_6A
TS22: hippocampus Moderate Regionally restricted Embryo_C1617_2_5A
TS22: basal ganglia Moderate Regionally restricted Embryo_C1617_2_5A
TS22: corpus striatum Moderate Regionally restricted Embryo_C1617_2_5B Expression was detected in the corpus striatum (lateral ganglionic eminence).
TS22: basal forebrain Absent
TS22: amygdala Moderate Regionally restricted Embryo_C1617_2_6A
TS22: telencephalon septum Moderate Regionally restricted Embryo_C1617_2_4A
TS22: pallidum Moderate Regionally restricted Embryo_C1617_2_5A Expression was detected in the pallidum (medial ganglionic eminence).
TS22: diencephalon Moderate Regionally restricted Embryo_C1617_2_3D
TS22: thalamus Moderate Regionally restricted Embryo_C1617_2_3D
TS22: hypothalamus Moderate Regionally restricted Embryo_C1617_2_3D
TS22: midbrain Moderate Regionally restricted Embryo_C1617_2_3D
TS22: pretectum Moderate Regionally restricted Embryo_C1617_2_3D
TS22: superior colliculus Moderate Regionally restricted Embryo_C1617_2_3D
TS22: inferior colliculus Moderate Regionally restricted Embryo_C1617_2_3B
TS22: midbrain tegmentum Moderate Regionally restricted Embryo_C1617_2_3D
TS22: hindbrain Moderate Regionally restricted Embryo_C1617_2_3A
TS22: cerebellum Weak Regionally restricted Embryo_C1617_2_3B
TS22: pons Moderate Regionally restricted Embryo_C1617_2_2A
TS22: medulla oblongata Moderate Regionally restricted Embryo_C1617_2_3A
TS22: spinal cord Moderate Regionally restricted Embryo_C1617_2_2D
TS22: choroid plexus Moderate Regionally restricted Embryo_C1617_2_3B
TS22: meninges Moderate Regionally restricted Embryo_C1617_2_5D
TS22: peripheral nervous system Moderate Regionally restricted Embryo_C1617_2_4A
TS22: cranial ganglion Moderate Regionally restricted Embryo_C1617_2_5A
TS22: dorsal root ganglion Moderate Regionally restricted Embryo_C1617_2_4A
TS22: eye Moderate Regionally restricted Embryo_C1617_2_1A
TS22: retina Moderate Regionally restricted Embryo_C1617_2_1A
TS22: lens Weak Regionally restricted Embryo_C1617_2_1A
TS22: optic nerve Weak Regionally restricted Embryo_C1617_2_5C
TS22: nose Moderate Regionally restricted Embryo_C1617_2_5A
TS22: olfactory epithelium Moderate Regionally restricted Embryo_C1617_2_5A
TS22: ear Moderate Regionally restricted Embryo_C1617_2_6C
TS22: inner ear Moderate Regionally restricted Embryo_C1617_2_5D
TS22: cochlea Moderate Regionally restricted Embryo_C1617_2_2A
TS22: inner ear labyrinth Moderate Regionally restricted Embryo_C1617_2_5D
TS22: middle ear Moderate Regionally restricted Embryo_C1617_2_6C
TS22: alimentary system Strong Regionally restricted Embryo_C1617_2_2A Expression was strong in the digestive system.
TS22: intestine Moderate Regionally restricted Embryo_C1617_2_4A
TS22: salivary gland Strong Regionally restricted Embryo_C1617_2_2A
TS22: tongue Moderate Regionally restricted Embryo_C1617_2_4A
TS22: tooth Moderate Regionally restricted Embryo_C1617_2_4D
TS22: palatal shelf Moderate Regionally restricted Embryo_C1617_2_3A
TS22: esophagus Moderate Regionally restricted Embryo_C1617_2_3C
TS22: stomach Moderate Regionally restricted Embryo_C1617_2_5C
TS22: liver Moderate Scattered Embryo_C1617_2_1A
TS22: respiratory system Strong Regionally restricted Embryo_C1617_2_4B
TS22: pharynx Moderate Regionally restricted Embryo_C1617_2_3B
TS22: larynx Moderate Regionally restricted Embryo_C1617_2_3D
TS22: trachea Moderate Regionally restricted Embryo_C1617_2_3B
TS22: main bronchus Moderate Regionally restricted Embryo_C1617_2_4B
TS22: lung Strong Regionally restricted Embryo_C1617_2_4B
TS22: urinary system Moderate Regionally restricted Embryo_C1617_2_4A Expression was detected in the genito-urinary system.
TS22: metanephros Moderate Regionally restricted Embryo_C1617_2_5B
TS22: ureter Moderate Regionally restricted Embryo_C1617_2_3D
TS22: bladder Moderate Regionally restricted Embryo_C1617_2_4A
TS22: urethra Moderate Regionally restricted Embryo_C1617_2_4A
TS22: reproductive system Moderate Regionally restricted Embryo_C1617_2_4C
TS22: genital tubercle Moderate Regionally restricted Embryo_C1617_2_4C
TS22: gonad Weak Regionally restricted Embryo_C1617_2_5D
TS22: gland Moderate Regionally restricted Embryo_C1617_2_4A Expression was detected in the endocrine system.
TS22: thyroid gland Moderate Regionally restricted Embryo_C1617_2_4A
TS22: pituitary gland Moderate Regionally restricted Embryo_C1617_2_4A
TS22: pancreas Moderate Regionally restricted Embryo_C1617_2_4D
TS22: adrenal gland Moderate Regionally restricted Embryo_C1617_2_5A
TS22: cardiovascular system Moderate Regionally restricted Embryo_C1617_2_4A
TS22: heart Moderate Regionally restricted Embryo_C1617_2_4A
TS22: heart atrium Moderate Regionally restricted Embryo_C1617_2_2C
TS22: heart ventricle Moderate Regionally restricted Embryo_C1617_2_4A
TS22: blood vessel Moderate Regionally restricted Embryo_C1617_2_3B
TS22: hemolymphoid system Moderate Regionally restricted Embryo_C1617_2_4A Expression was detected in the immune system.
TS22: spleen primordium Absent
TS22: thymus primordium Moderate Regionally restricted Embryo_C1617_2_4A
TS22: appendicular skeleton Strong Regionally restricted Embryo_C1617_2_2D Expression was strong in the skeleton (limbs, shoulder, hip).
TS22: musculature Moderate Regionally restricted Embryo_C1617_2_5A
TS22: face Moderate Regionally restricted Embryo_C1617_2_5D Expression was detected in the face/soft tissues.
TS22: facial bone primordium Absent
TS22: cranium Moderate Regionally restricted Embryo_C1617_2_3C Expression was detected in the skull (base and vault).
TS22: axial skeleton Moderate Regionally restricted Embryo_C1617_2_6A
TS22: tail Moderate Regionally restricted Embryo_C1617_2_4A
TS22: forelimb Strong Regionally restricted Embryo_C1617_2_1A
TS22: hindlimb Strong Regionally restricted Embryo_C1617_2_6C
TS22: integumental system Strong Regionally restricted Embryo_C1617_2_5C
TS22: skin Strong Regionally restricted Embryo_C1617_2_5C
TS22: hair Moderate Regionally restricted Embryo_C1617_2_2A
TS22: vibrissa follicle Moderate Regionally restricted Embryo_C1617_2_2A Expression was detected in whisker follicle.


Contributing Projects:
Mouse Genome Database (MGD), Gene Expression Database (GXD), Mouse Models of Human Cancer database (MMHCdb) (formerly Mouse Tumor Biology (MTB)), Gene Ontology (GO)
Citing These Resources
Funding Information
Warranty Disclaimer, Privacy Notice, Licensing, & Copyright
Send questions and comments to User Support.
last database update
12/30/2025
MGI 6.24
The Jackson Laboratory