About   Help   FAQ
Gene Expression Data
Assay Details
Assay
Reference: J:122989 Visel A, et al., GenePaint.org: an atlas of gene expression patterns in the mouse embryo. Nucleic Acids Res. 2004 Jan 1;32(Database issue):D552-6
Assay type: RNA in situ
MGI Accession ID: MGI:5421396
Gene symbol: Syncrip
Gene name: synaptotagmin binding, cytoplasmic RNA interacting protein
Probe: MH1016 probe 189
Probe preparation: Antisense labelled with digoxigenin RNA
Visualized with: Alkaline phosphatase
Assay notes: Cryosections of fresh frozen material were fixed in 4% paraformaldehyde for 20 min. before further processing. A tyramide-biotin/streptavidin amplification step was included in the in situ hybridization procedure. These data were downloaded from GenePaint.org on 1/30/12.
Results
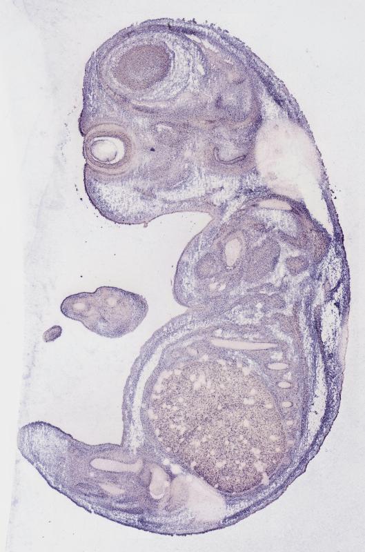
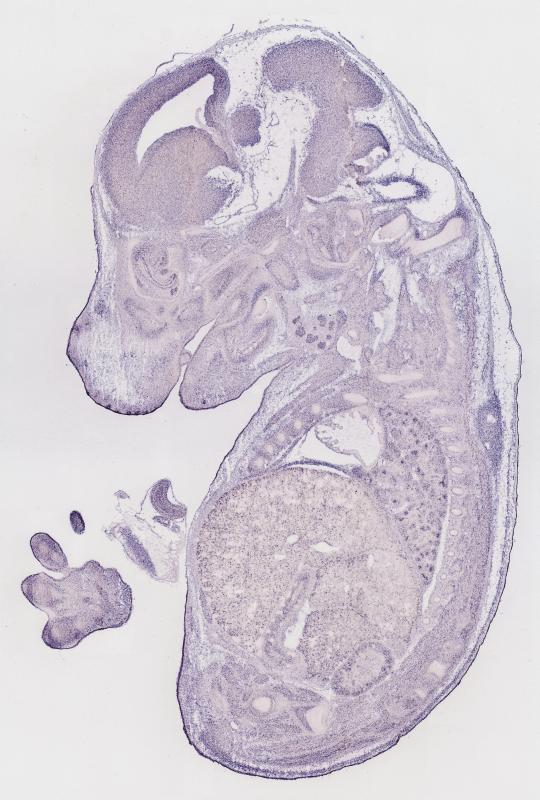
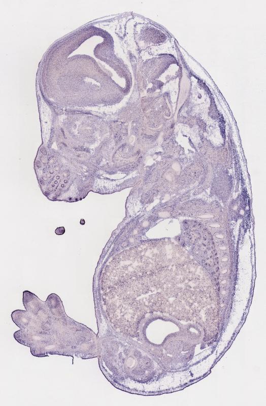
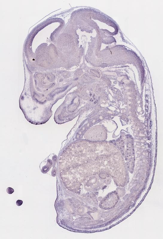
Specimen MH1016; Specimen C1381: embryonic day 14.5 (more )
Structure Level Pattern Image Note
TS22: nervous system Moderate Regionally restricted Embryo_C1381_6_4B
TS22: central nervous system Moderate Regionally restricted Embryo_C1381_6_4B
TS22: telencephalon Moderate Regionally restricted Embryo_C1381_6_5A
TS22: cerebral cortex Moderate Regionally restricted Embryo_C1381_6_1A
TS22: neocortex Moderate Regionally restricted Embryo_C1381_6_3B
TS22: olfactory cortex Weak Regionally restricted Embryo_C1381_6_2A
TS22: main olfactory bulb Weak Regionally restricted Embryo_C1381_6_5A
TS22: piriform cortex Weak Regionally restricted Embryo_C1381_6_2A
TS22: hippocampus Moderate Regionally restricted Embryo_C1381_6_5A
TS22: basal ganglia Moderate Regionally restricted Embryo_C1381_6_5A
TS22: corpus striatum Moderate Regionally restricted Embryo_C1381_6_2B Expression was detected in the corpus striatum (lateral ganglionic eminence).
TS22: basal forebrain Absent
TS22: amygdala Weak Regionally restricted Embryo_C1381_6_2A
TS22: telencephalon septum Moderate Regionally restricted Embryo_C1381_6_4B
TS22: pallidum Moderate Regionally restricted Embryo_C1381_6_5A Expression was detected in the pallidum (medial ganglionic eminence).
TS22: diencephalon Moderate Regionally restricted Embryo_C1381_6_4B
TS22: thalamus Moderate Regionally restricted Embryo_C1381_6_4B
TS22: hypothalamus Moderate Regionally restricted Embryo_C1381_6_4B
TS22: midbrain Moderate Regionally restricted Embryo_C1381_6_4B
TS22: pretectum Moderate Regionally restricted Embryo_C1381_6_4B
TS22: superior colliculus Moderate Regionally restricted Embryo_C1381_6_4B
TS22: inferior colliculus Moderate Regionally restricted Embryo_C1381_6_4B
TS22: midbrain tegmentum Moderate Regionally restricted Embryo_C1381_6_4B
TS22: hindbrain Moderate Regionally restricted Embryo_C1381_6_4B
TS22: cerebellum Moderate Regionally restricted Embryo_C1381_6_4A
TS22: pons Moderate Regionally restricted Embryo_C1381_6_4B
TS22: medulla oblongata Moderate Regionally restricted Embryo_C1381_6_4B
TS22: spinal cord Moderate Regionally restricted Embryo_C1381_6_4A
TS22: choroid plexus Moderate Regionally restricted Embryo_C1381_6_4A
TS22: meninges Moderate Regionally restricted Embryo_C1381_6_6D
TS22: peripheral nervous system Moderate Regionally restricted Embryo_C1381_6_3B
TS22: cranial ganglion Weak Regionally restricted Embryo_C1381_6_2D
TS22: dorsal root ganglion Moderate Regionally restricted Embryo_C1381_6_3B
TS22: eye Moderate Regionally restricted Embryo_C1381_6_1A
TS22: retina Moderate Regionally restricted Embryo_C1381_6_1A
TS22: lens Weak Regionally restricted Embryo_C1381_6_1A
TS22: cornea Absent
TS22: optic nerve Weak Regionally restricted Embryo_C1381_6_2D
TS22: nose Moderate Regionally restricted Embryo_C1381_6_3A
TS22: olfactory epithelium Moderate Regionally restricted Embryo_C1381_6_3A
TS22: ear Moderate Regionally restricted Embryo_C1381_6_5B
TS22: inner ear Moderate Regionally restricted Embryo_C1381_6_5B
TS22: cochlea Moderate Regionally restricted Embryo_C1381_6_5B
TS22: inner ear labyrinth Weak Regionally restricted Embryo_C1381_6_2A
TS22: middle ear Weak Regionally restricted Embryo_C1381_6_1C
TS22: alimentary system Moderate Regionally restricted Embryo_C1381_6_6A Expression was detected in the digestive system.
TS22: intestine Moderate Regionally restricted Embryo_C1381_6_3A
TS22: salivary gland Moderate Regionally restricted Embryo_C1381_6_2C
TS22: tongue Moderate Regionally restricted Embryo_C1381_6_4A
TS22: tooth Moderate Regionally restricted Embryo_C1381_6_4C
TS22: palatal shelf Moderate Regionally restricted Embryo_C1381_6_4A
TS22: esophagus Moderate Regionally restricted Embryo_C1381_6_4B
TS22: stomach Moderate Regionally restricted Embryo_C1381_6_6A
TS22: liver Moderate Regionally restricted Embryo_C1381_6_6A
TS22: respiratory system Moderate Regionally restricted Embryo_C1381_6_3A
TS22: pharynx Moderate Regionally restricted Embryo_C1381_6_4B
TS22: larynx Weak Regionally restricted Embryo_C1381_6_4A
TS22: trachea Moderate Regionally restricted Embryo_C1381_6_4B
TS22: main bronchus Weak Regionally restricted Embryo_C1381_6_3D
TS22: lung Moderate Regionally restricted Embryo_C1381_6_3A
TS22: urinary system Moderate Regionally restricted Embryo_C1381_6_4A Expression was detected in the genito-urinary system.
TS22: metanephros Moderate Regionally restricted Embryo_C1381_6_5A
TS22: ureter Weak Regionally restricted Embryo_C1381_6_4A
TS22: bladder Moderate Regionally restricted Embryo_C1381_6_4A
TS22: urethra Moderate Regionally restricted Embryo_C1381_6_4A
TS22: reproductive system Moderate Regionally restricted Embryo_C1381_6_4A
TS22: genital tubercle Moderate Regionally restricted Embryo_C1381_6_4A
TS22: gonad Weak Regionally restricted Embryo_C1381_6_6A
TS22: gland Moderate Regionally restricted Embryo_C1381_6_5A Expression was detected in the endocrine system.
TS22: thyroid gland Weak Regionally restricted Embryo_C1381_6_4D
TS22: pituitary gland Moderate Regionally restricted Embryo_C1381_6_4B
TS22: pancreas Moderate Regionally restricted Embryo_C1381_6_5A
TS22: adrenal gland Weak Regionally restricted Embryo_C1381_6_5A
TS22: cardiovascular system Moderate Regionally restricted Embryo_C1381_6_5A
TS22: heart Moderate Regionally restricted Embryo_C1381_6_5A
TS22: heart atrium Moderate Regionally restricted Embryo_C1381_6_4A
TS22: heart ventricle Moderate Regionally restricted Embryo_C1381_6_5A
TS22: blood vessel Moderate Regionally restricted Embryo_C1381_6_5A
TS22: hemolymphoid system Moderate Regionally restricted Embryo_C1381_6_4A Expression was detected in the immune system.
TS22: spleen primordium Weak Regionally restricted Embryo_C1381_6_6A
TS22: thymus primordium Moderate Regionally restricted Embryo_C1381_6_4A
TS22: appendicular skeleton Moderate Regionally restricted Embryo_C1381_6_3B Expression was detected in the skeleton (limbs, shoulder, hip).
TS22: musculature Moderate Regionally restricted Embryo_C1381_6_2A
TS22: face Moderate Regionally restricted Embryo_C1381_6_6A Expression was detected in the face/soft tissues.
TS22: facial bone primordium Absent
TS22: cranium Moderate Regionally restricted Embryo_C1381_6_4C Expression was detected in the skull (base and vault).
TS22: axial skeleton Moderate Regionally restricted Embryo_C1381_6_4A
TS22: tail Strong Regionally restricted Embryo_C1381_6_4A
TS22: forelimb Strong Regionally restricted Embryo_C1381_6_6C
TS22: hindlimb Strong Regionally restricted Embryo_C1381_6_6A
TS22: integumental system Strong Regionally restricted Embryo_C1381_6_6B
TS22: skin Strong Regionally restricted Embryo_C1381_6_4A
TS22: hair Strong Regionally restricted Embryo_C1381_6_6B
TS22: vibrissa follicle Strong Regionally restricted Embryo_C1381_6_6B Expression was strong in whisker follicle.


Contributing Projects:
Mouse Genome Database (MGD), Gene Expression Database (GXD), Mouse Models of Human Cancer database (MMHCdb) (formerly Mouse Tumor Biology (MTB)), Gene Ontology (GO)
Citing These Resources
Funding Information
Warranty Disclaimer, Privacy Notice, Licensing, & Copyright
Send questions and comments to User Support.
last database update
01/28/2026
MGI 6.24
The Jackson Laboratory