About   Help   FAQ
Gene Expression Data
Assay Details
Assay
Reference: J:122989 Visel A, et al., GenePaint.org: an atlas of gene expression patterns in the mouse embryo. Nucleic Acids Res. 2004 Jan 1;32(Database issue):D552-6
Assay type: RNA in situ
MGI Accession ID: MGI:5421321
Gene symbol: Sem1
Gene name: SEM1, 26S proteasome complex subunit
Probe: MH878 probe 786
Probe preparation: Antisense labelled with digoxigenin RNA
Visualized with: Alkaline phosphatase
Assay notes: Cryosections of fresh frozen material were fixed in 4% paraformaldehyde for 20 min. before further processing. A tyramide-biotin/streptavidin amplification step was included in the in situ hybridization procedure. These data were downloaded from GenePaint.org on 1/30/12.
Results
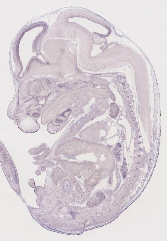
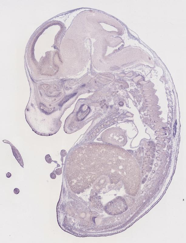
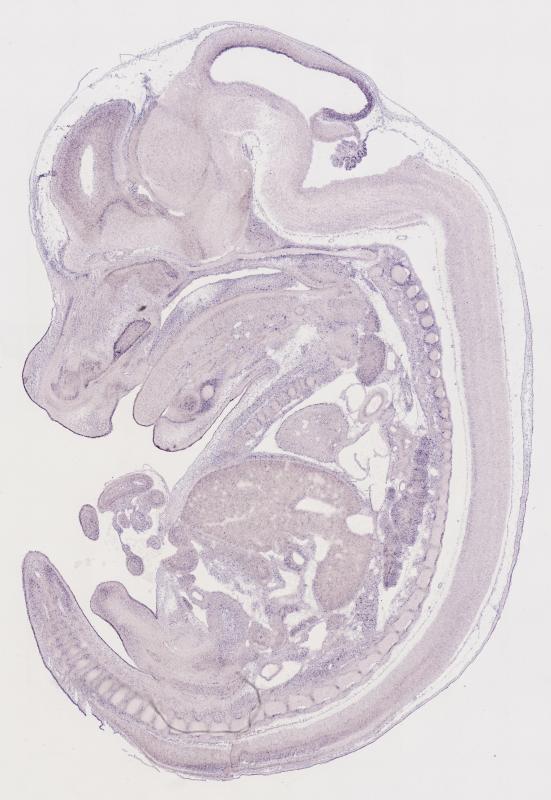
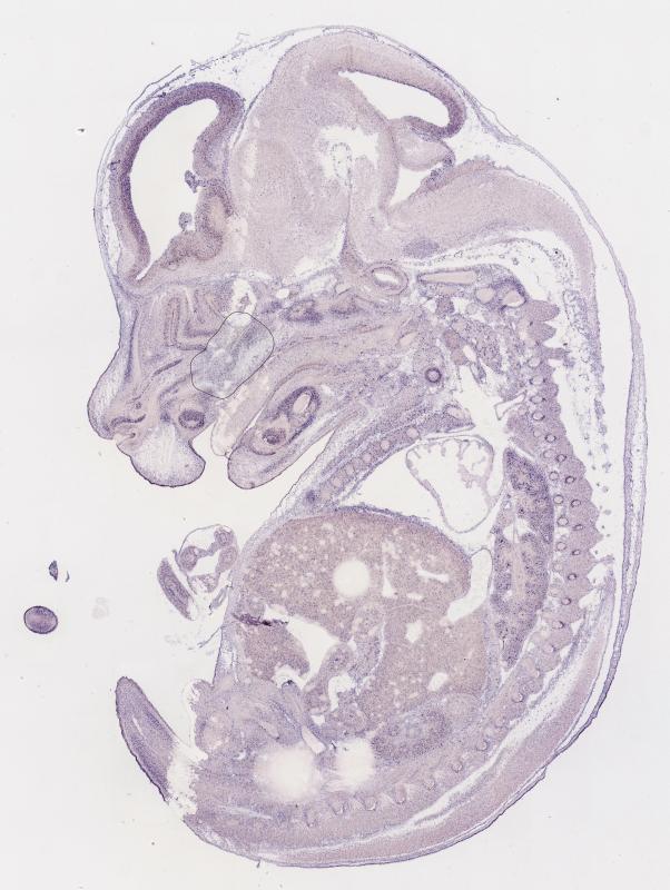
Specimen MH878; Specimen C1375: embryonic day 14.5 (more )
Structure Level Pattern Image Note
TS22: nervous system Moderate Regionally restricted Embryo_C1375_2_3B
TS22: central nervous system Moderate Regionally restricted Embryo_C1375_2_3B
TS22: telencephalon Moderate Regionally restricted Embryo_C1375_2_3B
TS22: cerebral cortex Moderate Regionally restricted Embryo_C1375_2_3A
TS22: neocortex Moderate Regionally restricted Embryo_C1375_2_3A
TS22: olfactory cortex Weak Regionally restricted Embryo_C1375_2_3A
TS22: main olfactory bulb Weak Regionally restricted Embryo_C1375_2_3A
TS22: piriform cortex Absent
TS22: hippocampus Moderate Regionally restricted Embryo_C1375_2_6B
TS22: basal ganglia Moderate Regionally restricted Embryo_C1375_2_3B
TS22: corpus striatum Moderate Regionally restricted Embryo_C1375_2_2A Expression was detected in the corpus striatum (lateral ganglionic eminence).
TS22: basal forebrain Absent
TS22: amygdala Absent
TS22: telencephalon septum Weak Regionally restricted Embryo_C1375_2_3B
TS22: pallidum Moderate Regionally restricted Embryo_C1375_2_3B Expression was detected in the pallidum (medial ganglionic eminence).
TS22: diencephalon Moderate Regionally restricted Embryo_C1375_2_4A
TS22: thalamus Moderate Regionally restricted Embryo_C1375_2_4A
TS22: hypothalamus Weak Regionally restricted Embryo_C1375_2_4A
TS22: midbrain Moderate Regionally restricted Embryo_C1375_2_4B
TS22: pretectum Weak Regionally restricted Embryo_C1375_2_3D
TS22: superior colliculus Moderate Regionally restricted Embryo_C1375_2_3C
TS22: inferior colliculus Moderate Regionally restricted Embryo_C1375_2_4B
TS22: midbrain tegmentum Weak Regionally restricted Embryo_C1375_2_4B
TS22: hindbrain Weak Regionally restricted Embryo_C1375_2_5A
TS22: cerebellum Weak Regionally restricted Embryo_C1375_2_5B
TS22: pons Weak Regionally restricted Embryo_C1375_2_3A
TS22: medulla oblongata Weak Regionally restricted Embryo_C1375_2_5A
TS22: spinal cord Moderate Regionally restricted Embryo_C1375_2_3B
TS22: choroid plexus Moderate Regionally restricted Embryo_C1375_2_4B
TS22: meninges Weak Regionally restricted Embryo_C1375_2_6B
TS22: peripheral nervous system Weak Regionally restricted Embryo_C1375_2_3A
TS22: cranial ganglion Absent
TS22: dorsal root ganglion Weak Regionally restricted Embryo_C1375_2_3A
TS22: eye Weak Regionally restricted Embryo_C1375_2_1A
TS22: retina Weak Regionally restricted Embryo_C1375_2_1A
TS22: optic nerve Absent
TS22: nose Moderate Regionally restricted Embryo_C1375_2_2D
TS22: olfactory epithelium Moderate Regionally restricted Embryo_C1375_2_2D
TS22: ear Moderate Regionally restricted Embryo_C1375_2_1A
TS22: inner ear Moderate Regionally restricted Embryo_C1375_2_1A
TS22: cochlea Weak Regionally restricted Embryo_C1375_2_3A
TS22: inner ear labyrinth Moderate Regionally restricted Embryo_C1375_2_1A
TS22: middle ear Moderate Regionally restricted Embryo_C1375_2_6B
TS22: alimentary system Moderate Regionally restricted Embryo_C1375_2_3B Expression was detected in the digestive system.
TS22: intestine Weak Regionally restricted Embryo_C1375_2_4B
TS22: salivary gland Moderate Regionally restricted Embryo_C1375_2_2B
TS22: tongue Moderate Regionally restricted Embryo_C1375_2_3B
TS22: tooth Moderate Regionally restricted Embryo_C1375_2_3B
TS22: palatal shelf Moderate Regionally restricted Embryo_C1375_2_3B
TS22: esophagus Absent
TS22: stomach Weak Regionally restricted Embryo_C1375_2_6B
TS22: liver Absent
TS22: respiratory system Moderate Regionally restricted Embryo_C1375_2_2A
TS22: pharynx Weak Regionally restricted Embryo_C1375_2_3D
TS22: larynx Weak Regionally restricted Embryo_C1375_2_4A
TS22: trachea Moderate Regionally restricted Embryo_C1375_2_4A
TS22: main bronchus Weak Regionally restricted Embryo_C1375_2_4C
TS22: lung Moderate Regionally restricted Embryo_C1375_2_2A
TS22: urinary system Moderate Regionally restricted Embryo_C1375_2_3D Expression was detected in the genito-urinary system.
TS22: metanephros Moderate Regionally restricted Embryo_C1375_2_5A
TS22: ureter Absent
TS22: bladder Moderate Regionally restricted Embryo_C1375_2_4A
TS22: urethra Absent
TS22: reproductive system Moderate Regionally restricted Embryo_C1375_2_3D
TS22: genital tubercle Moderate Regionally restricted Embryo_C1375_2_3D
TS22: gonad Weak Regionally restricted Embryo_C1375_2_6A
TS22: gland Weak Regionally restricted Embryo_C1375_2_4C Expression was weak in the endocrine system.
TS22: thyroid gland Weak Regionally restricted Embryo_C1375_2_4C
TS22: pituitary gland Weak Regionally restricted Embryo_C1375_2_3C
TS22: pancreas Weak Regionally restricted Embryo_C1375_2_5A
TS22: adrenal gland Absent
TS22: cardiovascular system Weak Regionally restricted Embryo_C1375_2_5A
TS22: heart Weak Regionally restricted Embryo_C1375_2_3D
TS22: heart atrium Weak Regionally restricted Embryo_C1375_2_3B
TS22: heart ventricle Weak Regionally restricted Embryo_C1375_2_3D
TS22: blood vessel Weak Regionally restricted Embryo_C1375_2_5A
TS22: hemolymphoid system Weak Regionally restricted Embryo_C1375_2_4C Expression was weak in the immune system.
TS22: spleen primordium Weak Regionally restricted Embryo_C1375_2_6B
TS22: thymus primordium Weak Regionally restricted Embryo_C1375_2_4C
TS22: appendicular skeleton Moderate Regionally restricted Embryo_C1375_2_3A Expression was detected in the skeleton (limbs, shoulder, hip).
TS22: musculature Weak Regionally restricted Embryo_C1375_2_1B
TS22: face Moderate Regionally restricted Embryo_C1375_2_5A Expression was detected in the face/soft tissues.
TS22: facial bone primordium Absent
TS22: cranium Weak Regionally restricted Embryo_C1375_2_3D Expression was weak in the skull (base and vault).
TS22: axial skeleton Moderate Regionally restricted Embryo_C1375_2_1B
TS22: tail Moderate Regionally restricted Embryo_C1375_2_3B
TS22: forelimb Moderate Regionally restricted Embryo_C1375_2_1B
TS22: hindlimb Strong Regionally restricted Embryo_C1375_2_6B
TS22: integumental system Strong Regionally restricted Embryo_C1375_2_6B
TS22: skin Strong Regionally restricted Embryo_C1375_2_6B
TS22: hair Strong Regionally restricted Embryo_C1375_2_2A
TS22: vibrissa follicle Strong Regionally restricted Embryo_C1375_2_2A Expression was strong in whisker follicle.


Contributing Projects:
Mouse Genome Database (MGD), Gene Expression Database (GXD), Mouse Models of Human Cancer database (MMHCdb) (formerly Mouse Tumor Biology (MTB)), Gene Ontology (GO)
Citing These Resources
Funding Information
Warranty Disclaimer, Privacy Notice, Licensing, & Copyright
Send questions and comments to User Support.
last database update
12/30/2025
MGI 6.24
The Jackson Laboratory