About   Help   FAQ
Gene Expression Data
Assay Details
Assay
Reference: J:122989 Visel A, et al., GenePaint.org: an atlas of gene expression patterns in the mouse embryo. Nucleic Acids Res. 2004 Jan 1;32(Database issue):D552-6
Assay type: RNA in situ
MGI Accession ID: MGI:5421227
Gene symbol: Fzd4
Gene name: frizzled class receptor 4
Probe: MH752 probe 680
Probe preparation: Antisense labelled with digoxigenin RNA
Visualized with: Alkaline phosphatase
Assay notes: Cryosections of fresh frozen material were fixed in 4% paraformaldehyde for 20 min. before further processing. A tyramide-biotin/streptavidin amplification step was included in the in situ hybridization procedure. These data were downloaded from GenePaint.org on 1/30/12.
Results
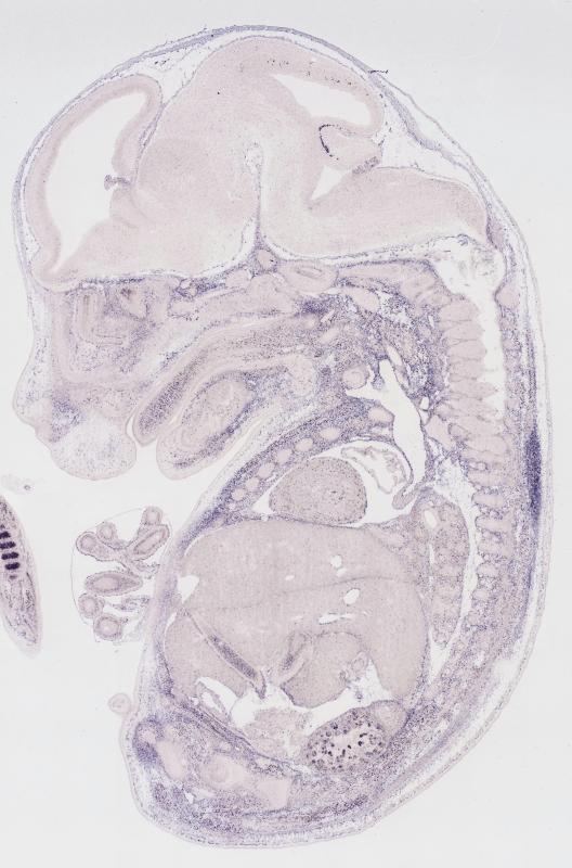
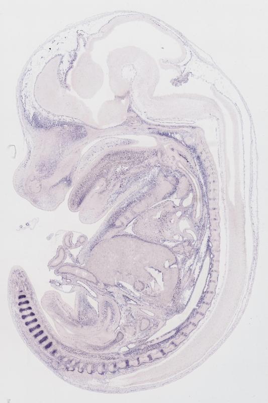
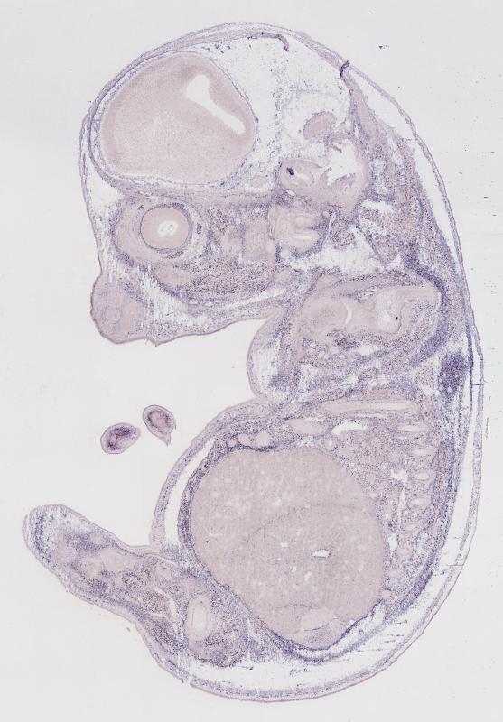
Specimen MH752; Specimen C1385: embryonic day 14.5 (more )
Structure Level Pattern Image Note
TS22: nervous system Strong Regionally restricted Embryo_C1385_5_4D
TS22: central nervous system Strong Regionally restricted Embryo_C1385_5_4D
TS22: telencephalon Weak Regionally restricted Embryo_C1385_5_3B
TS22: cerebral cortex Weak Regionally restricted Embryo_C1385_5_3B
TS22: neocortex Absent
TS22: olfactory cortex Weak Regionally restricted Embryo_C1385_5_3B
TS22: main olfactory bulb Weak Regionally restricted Embryo_C1385_5_3B
TS22: piriform cortex Absent
TS22: hippocampus Absent
TS22: basal ganglia Weak Regionally restricted Embryo_C1385_5_4A
TS22: corpus striatum Absent Expression was not detected in the corpus striatum (lateral ganglionic eminence).
TS22: basal forebrain Absent
TS22: amygdala Absent
TS22: telencephalon septum Weak Regionally restricted Embryo_C1385_5_4A
TS22: pallidum Absent Expression was not detected in the pallidum (medial ganglionic eminence).
TS22: diencephalon Weak Regionally restricted Embryo_C1385_5_3D
TS22: thalamus Absent
TS22: hypothalamus Weak Regionally restricted Embryo_C1385_5_3D
TS22: midbrain Strong Regionally restricted Embryo_C1385_5_4C
TS22: pretectum Absent
TS22: superior colliculus Strong Scattered Embryo_C1385_5_4C
TS22: inferior colliculus Strong Scattered Embryo_C1385_5_5A
TS22: midbrain tegmentum Absent
TS22: hindbrain Strong Regionally restricted Embryo_C1385_5_4D
TS22: cerebellum Strong Regionally restricted Embryo_C1385_5_4D
TS22: pons Strong Regionally restricted Embryo_C1385_5_2C
TS22: medulla oblongata Absent
TS22: spinal cord Weak Regionally restricted Embryo_C1385_5_3C
TS22: choroid plexus Moderate Regionally restricted Embryo_C1385_5_4C
TS22: meninges Weak Ubiquitous Embryo_C1385_5_4C
TS22: peripheral nervous system Weak Regionally restricted Embryo_C1385_5_4B
TS22: cranial ganglion Absent
TS22: dorsal root ganglion Weak Scattered Embryo_C1385_5_4B
TS22: eye Moderate Regionally restricted Embryo_C1385_5_6D
TS22: retina Moderate Regionally restricted Embryo_C1385_5_6D
TS22: lens Weak Regionally restricted Embryo_C1385_5_6D
TS22: optic nerve Absent
TS22: nose Moderate Regionally restricted Embryo_C1385_5_4B
TS22: olfactory epithelium Moderate Regionally restricted Embryo_C1385_5_4B
TS22: ear Strong Regionally restricted Embryo_C1385_5_6D
TS22: inner ear Strong Regionally restricted Embryo_C1385_5_6D
TS22: cochlea Weak Regionally restricted Embryo_C1385_5_5A
TS22: inner ear labyrinth Strong Regionally restricted Embryo_C1385_5_6D
TS22: middle ear Absent
TS22: alimentary system Strong Regionally restricted Embryo_C1385_5_6B Expression was strong in the digestive system.
TS22: intestine Weak Regionally restricted Embryo_C1385_5_3B
TS22: salivary gland Absent
TS22: tongue Moderate Regionally restricted Embryo_C1385_5_4C
TS22: tooth Absent
TS22: palatal shelf Moderate Regionally restricted Embryo_C1385_5_4B
TS22: esophagus Weak Regionally restricted Embryo_C1385_5_4A
TS22: stomach Strong Regionally restricted Embryo_C1385_5_6B
TS22: liver Moderate Regionally restricted Embryo_C1385_5_4A
TS22: respiratory system Weak Regionally restricted Embryo_C1385_5_2A
TS22: pharynx Absent
TS22: larynx Weak Regionally restricted Embryo_C1385_5_3D
TS22: trachea Weak Regionally restricted Embryo_C1385_5_3D
TS22: main bronchus Absent
TS22: lung Weak Regionally restricted Embryo_C1385_5_2A
TS22: urinary system Strong Regionally restricted Embryo_C1385_5_2B Expression was strong in the genito-urinary system.
TS22: metanephros Strong Regionally restricted Embryo_C1385_5_2B
TS22: ureter Weak Regionally restricted Embryo_C1385_5_3B
TS22: bladder Moderate Regionally restricted Embryo_C1385_5_4A
TS22: urethra Absent
TS22: reproductive system Weak Regionally restricted Embryo_C1385_5_4A
TS22: genital tubercle Weak Regionally restricted Embryo_C1385_5_4A
TS22: gonad Absent
TS22: gland Weak Regionally restricted Embryo_C1385_5_4A Expression was weak in the endocrine system.
TS22: thyroid gland Weak Regionally restricted Embryo_C1385_5_4C
TS22: pituitary gland Weak Regionally restricted Embryo_C1385_5_4A
TS22: pancreas Absent
TS22: adrenal gland Weak Regionally restricted Embryo_C1385_5_2C
TS22: cardiovascular system Moderate Regionally restricted Embryo_C1385_5_4B
TS22: heart Moderate Regionally restricted Embryo_C1385_5_4B
TS22: heart atrium Moderate Regionally restricted Embryo_C1385_5_4A
TS22: heart ventricle Moderate Regionally restricted Embryo_C1385_5_4B
TS22: blood vessel Moderate Regionally restricted Embryo_C1385_5_4A
TS22: hemolymphoid system Weak Regionally restricted Embryo_C1385_5_6A Expression was weak in the immune system.
TS22: spleen primordium Weak Regionally restricted Embryo_C1385_5_6A
TS22: thymus primordium Absent
TS22: appendicular skeleton Weak Regionally restricted Embryo_C1385_5_2C Expression was weak in the skeleton (limbs, shoulder, hip).
TS22: musculature Moderate Regionally restricted Embryo_C1385_5_6A
TS22: face Moderate Regionally restricted Embryo_C1385_5_5C Expression was detected in the face/soft tissues.
TS22: facial bone primordium Absent
TS22: cranium Weak Regionally restricted Embryo_C1385_5_4B Expression was weak in the skull (base and vault).
TS22: axial skeleton Weak Regionally restricted Embryo_C1385_5_6C
TS22: tail Strong Regionally restricted Embryo_C1385_5_3B
TS22: forelimb Moderate Regionally restricted Embryo_C1385_5_1B
TS22: hindlimb Strong Regionally restricted Embryo_C1385_5_2C
TS22: integumental system Absent
TS22: skin Absent
TS22: hair Absent
TS22: vibrissa follicle Absent Expression was not detected in whisker follicle.


Contributing Projects:
Mouse Genome Database (MGD), Gene Expression Database (GXD), Mouse Models of Human Cancer database (MMHCdb) (formerly Mouse Tumor Biology (MTB)), Gene Ontology (GO)
Citing These Resources
Funding Information
Warranty Disclaimer, Privacy Notice, Licensing, & Copyright
Send questions and comments to User Support.
last database update
03/24/2026
MGI 6.24
The Jackson Laboratory