About   Help   FAQ
Gene Expression Data
Assay Details
Assay
Reference: J:122989 Visel A, et al., GenePaint.org: an atlas of gene expression patterns in the mouse embryo. Nucleic Acids Res. 2004 Jan 1;32(Database issue):D552-6
Assay type: RNA in situ
MGI Accession ID: MGI:5421226
Gene symbol: Prpf40a
Gene name: pre-mRNA processing factor 40A
Probe: MH751 probe 684
Probe preparation: Antisense labelled with digoxigenin RNA
Visualized with: Alkaline phosphatase
Assay notes: Cryosections of fresh frozen material were fixed in 4% paraformaldehyde for 20 min. before further processing. A tyramide-biotin/streptavidin amplification step was included in the in situ hybridization procedure. These data were downloaded from GenePaint.org on 1/30/12.
Results
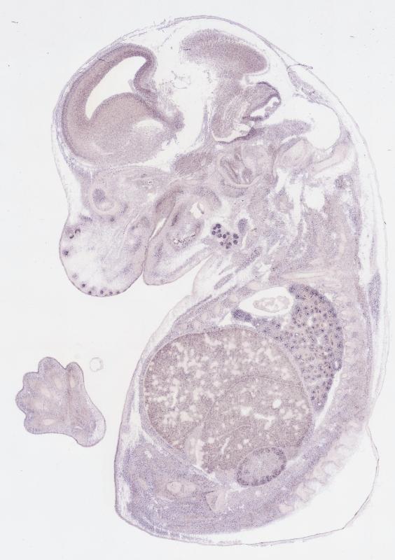
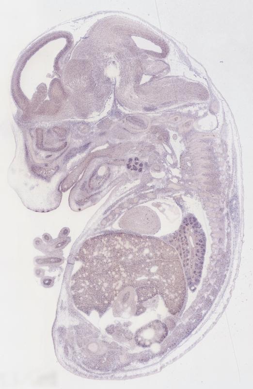
Specimen MH751; Specimen C1385: embryonic day 14.5 (more )
Structure Level Pattern Image Note
TS22: nervous system Moderate Regionally restricted Embryo_C1385_3_3C
TS22: central nervous system Moderate Regionally restricted Embryo_C1385_3_3C
TS22: telencephalon Weak Regionally restricted Embryo_C1385_3_2C
TS22: cerebral cortex Weak Regionally restricted Embryo_C1385_3_2C
TS22: neocortex Weak Regionally restricted Embryo_C1385_3_2C
TS22: olfactory cortex Weak Regionally restricted Embryo_C1385_3_4D
TS22: main olfactory bulb Weak Regionally restricted Embryo_C1385_3_4D
TS22: piriform cortex Absent
TS22: hippocampus Weak Regionally restricted Embryo_C1385_3_2C
TS22: basal ganglia Weak Regionally restricted Embryo_C1385_3_2C
TS22: corpus striatum Weak Regionally restricted Embryo_C1385_3_2C Expression was weak in the corpus striatum (lateral ganglionic eminence).
TS22: basal forebrain Absent
TS22: amygdala Weak Regionally restricted Embryo_C1385_3_6A
TS22: telencephalon septum Weak Regionally restricted Embryo_C1385_3_4A
TS22: pallidum Weak Regionally restricted Embryo_C1385_3_5A Expression was weak in the pallidum (medial ganglionic eminence).
TS22: diencephalon Weak Regionally restricted Embryo_C1385_3_4A
TS22: thalamus Weak Regionally restricted Embryo_C1385_3_4A
TS22: hypothalamus Weak Regionally restricted Embryo_C1385_3_4A
TS22: midbrain Moderate Regionally restricted Embryo_C1385_3_3C
TS22: pretectum Absent
TS22: superior colliculus Weak Regionally restricted Embryo_C1385_3_3C
TS22: inferior colliculus Moderate Regionally restricted Embryo_C1385_3_3C
TS22: midbrain tegmentum Weak Regionally restricted Embryo_C1385_3_4A
TS22: hindbrain Weak Regionally restricted Embryo_C1385_3_3A
TS22: cerebellum Weak Regionally restricted Embryo_C1385_3_2C
TS22: pons Weak Regionally restricted Embryo_C1385_3_2C
TS22: medulla oblongata Weak Regionally restricted Embryo_C1385_3_3A
TS22: spinal cord Weak Regionally restricted Embryo_C1385_3_3C
TS22: choroid plexus Weak Regionally restricted Embryo_C1385_3_3C
TS22: meninges Weak Regionally restricted Embryo_C1385_3_5A
TS22: peripheral nervous system Weak Regionally restricted Embryo_C1385_3_2B
TS22: cranial ganglion Weak Regionally restricted Embryo_C1385_3_2B
TS22: dorsal root ganglion Weak Regionally restricted Embryo_C1385_3_4B
TS22: eye Weak Regionally restricted Embryo_C1385_3_6D
TS22: retina Weak Regionally restricted Embryo_C1385_3_6D
TS22: lens Absent
TS22: optic nerve Weak Regionally restricted Embryo_C1385_3_2B
TS22: nose Weak Regionally restricted Embryo_C1385_3_2C
TS22: olfactory epithelium Weak Regionally restricted Embryo_C1385_3_2C
TS22: ear Weak Regionally restricted Embryo_C1385_3_2C
TS22: inner ear Weak Regionally restricted Embryo_C1385_3_2C
TS22: cochlea Weak Regionally restricted Embryo_C1385_3_2C
TS22: inner ear labyrinth Weak Regionally restricted Embryo_C1385_3_1B
TS22: middle ear Weak Regionally restricted Embryo_C1385_3_6B
TS22: alimentary system Moderate Regionally restricted Embryo_C1385_3_2B Expression was detected in the digestive system.
TS22: intestine Weak Regionally restricted Embryo_C1385_3_4B
TS22: salivary gland Moderate Regionally restricted Embryo_C1385_3_2B
TS22: tongue Weak Regionally restricted Embryo_C1385_3_4B
TS22: tooth Moderate Regionally restricted Embryo_C1385_3_3C
TS22: palatal shelf Weak Regionally restricted Embryo_C1385_3_3C
TS22: esophagus Weak Regionally restricted Embryo_C1385_3_4A
TS22: stomach Weak Regionally restricted Embryo_C1385_3_6A
TS22: liver Weak Regionally restricted Embryo_C1385_3_6C
TS22: respiratory system Moderate Regionally restricted Embryo_C1385_3_2B
TS22: pharynx Weak Regionally restricted Embryo_C1385_3_3C
TS22: larynx Weak Regionally restricted Embryo_C1385_3_4A
TS22: trachea Weak Regionally restricted Embryo_C1385_3_4A
TS22: main bronchus Moderate Regionally restricted Embryo_C1385_3_4B
TS22: lung Moderate Regionally restricted Embryo_C1385_3_2B
TS22: urinary system Moderate Regionally restricted Embryo_C1385_3_5B Expression was detected in the genito-urinary system.
TS22: metanephros Moderate Regionally restricted Embryo_C1385_3_5B
TS22: ureter Weak Regionally restricted Embryo_C1385_3_3D
TS22: bladder Weak Regionally restricted Embryo_C1385_3_4A
TS22: urethra Weak Regionally restricted Embryo_C1385_3_4A
TS22: reproductive system Weak Regionally restricted Embryo_C1385_3_4A
TS22: genital tubercle Weak Regionally restricted Embryo_C1385_3_4A
TS22: gonad Absent
TS22: gland Weak Regionally restricted Embryo_C1385_3_4A Expression was weak in the endocrine system.
TS22: thyroid gland Weak Regionally restricted Embryo_C1385_3_3B
TS22: pituitary gland Weak Regionally restricted Embryo_C1385_3_4A
TS22: pancreas Weak Regionally restricted Embryo_C1385_3_4D
TS22: adrenal gland Absent
TS22: cardiovascular system Weak Regionally restricted Embryo_C1385_3_3D
TS22: heart Weak Regionally restricted Embryo_C1385_3_3D
TS22: heart atrium Weak Regionally restricted Embryo_C1385_3_3D
TS22: heart ventricle Weak Regionally restricted Embryo_C1385_3_3D
TS22: blood vessel Absent
TS22: hemolymphoid system Weak Regionally restricted Embryo_C1385_3_3C Expression was weak in the immune system.
TS22: spleen primordium Weak Regionally restricted Embryo_C1385_3_5C
TS22: thymus primordium Weak Regionally restricted Embryo_C1385_3_3C
TS22: appendicular skeleton Weak Regionally restricted Embryo_C1385_3_5D Expression was weak in the skeleton (limbs, shoulder, hip).
TS22: musculature Weak Regionally restricted Embryo_C1385_3_1B
TS22: face Moderate Regionally restricted Embryo_C1385_3_6B Expression was detected in the face/soft tissues.
TS22: facial bone primordium Absent
TS22: cranium Weak Regionally restricted Embryo_C1385_3_3B Expression was weak in the skull (base and vault).
TS22: axial skeleton Weak Regionally restricted Embryo_C1385_3_4A
TS22: tail Weak Regionally restricted Embryo_C1385_3_3A
TS22: forelimb Weak Regionally restricted Embryo_C1385_3_6C
TS22: hindlimb Weak Regionally restricted Embryo_C1385_3_6C
TS22: integumental system Moderate Regionally restricted Embryo_C1385_3_2B
TS22: skin Weak Regionally restricted Embryo_C1385_3_6C
TS22: hair Moderate Regionally restricted Embryo_C1385_3_2B
TS22: vibrissa follicle Moderate Regionally restricted Embryo_C1385_3_2B Expression was detected in whisker follicle.


Contributing Projects:
Mouse Genome Database (MGD), Gene Expression Database (GXD), Mouse Models of Human Cancer database (MMHCdb) (formerly Mouse Tumor Biology (MTB)), Gene Ontology (GO)
Citing These Resources
Funding Information
Warranty Disclaimer, Privacy Notice, Licensing, & Copyright
Send questions and comments to User Support.
last database update
04/14/2026
MGI 6.24
The Jackson Laboratory