About   Help   FAQ
Gene Expression Data
Assay Details
Assay
Reference: J:122989 Visel A, et al., GenePaint.org: an atlas of gene expression patterns in the mouse embryo. Nucleic Acids Res. 2004 Jan 1;32(Database issue):D552-6
Assay type: RNA in situ
MGI Accession ID: MGI:5421213
Gene symbol: Arhgap11a
Gene name: Rho GTPase activating protein 11A
Probe: MH737 probe 663
Probe preparation: Antisense labelled with digoxigenin RNA
Visualized with: Alkaline phosphatase
Assay notes: Cryosections of fresh frozen material were fixed in 4% paraformaldehyde for 20 min. before further processing. A tyramide-biotin/streptavidin amplification step was included in the in situ hybridization procedure. These data were downloaded from GenePaint.org on 1/30/12.
Results
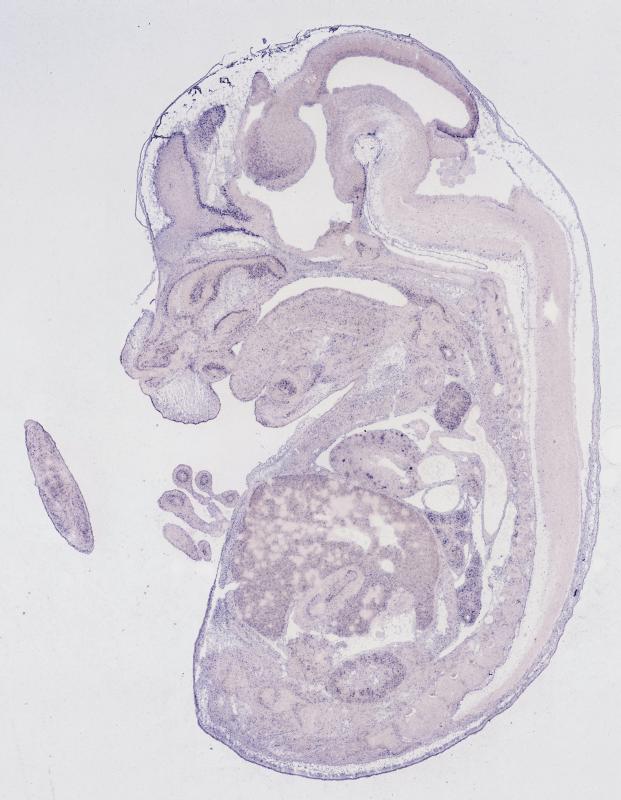
Specimen MH737; Specimen C1425: embryonic day 14.5 (more )
Structure Level Pattern Image Note
TS22: nervous system Strong Regionally restricted Embryo_C1425_5_3B
TS22: central nervous system Strong Regionally restricted Embryo_C1425_5_3B
TS22: telencephalon Strong Regionally restricted Embryo_C1425_5_3B
TS22: cerebral cortex Strong Regionally restricted Embryo_C1425_5_3B
TS22: neocortex Strong Regionally restricted Embryo_C1425_5_3B
TS22: olfactory cortex Strong Regionally restricted Embryo_C1425_5_3B
TS22: main olfactory bulb Moderate Regionally restricted Embryo_C1425_5_4D
TS22: piriform cortex Strong Regionally restricted Embryo_C1425_5_3B
TS22: hippocampus Moderate Regionally restricted Embryo_C1425_5_3B
TS22: basal ganglia Moderate Regionally restricted Embryo_C1425_5_6A
TS22: corpus striatum Moderate Regionally restricted Embryo_C1425_5_6A Expression was detected in the corpus striatum (lateral ganglionic eminence).
TS22: basal forebrain Moderate Regionally restricted Embryo_C1425_5_4D
TS22: amygdala Absent
TS22: telencephalon septum Moderate Regionally restricted Embryo_C1425_5_4A
TS22: pallidum Moderate Regionally restricted Embryo_C1425_5_5A Expression was detected in the pallidum (medial ganglionic eminence).
TS22: diencephalon Strong Regionally restricted Embryo_C1425_5_4A
TS22: thalamus Moderate Regionally restricted Embryo_C1425_5_4C
TS22: hypothalamus Strong Regionally restricted Embryo_C1425_5_4A
TS22: midbrain Strong Regionally restricted Embryo_C1425_5_5C
TS22: pretectum Absent
TS22: superior colliculus Strong Regionally restricted Embryo_C1425_5_5C
TS22: inferior colliculus Strong Regionally restricted Embryo_C1425_5_5C
TS22: midbrain tegmentum Strong Regionally restricted Embryo_C1425_5_4D
TS22: hindbrain Strong Regionally restricted Embryo_C1425_5_5C
TS22: cerebellum Weak Regionally restricted Embryo_C1425_5_4B
TS22: pons Strong Regionally restricted Embryo_C1425_5_5C
TS22: medulla oblongata Strong Regionally restricted Embryo_C1425_5_3A
TS22: spinal cord Moderate Scattered Embryo_C1425_5_3A
TS22: choroid plexus Weak Regionally restricted Embryo_C1425_5_4A
TS22: meninges Strong Regionally restricted Embryo_C1425_5_3D
TS22: peripheral nervous system Absent
TS22: cranial ganglion Absent
TS22: dorsal root ganglion Absent
TS22: eye Strong Regionally restricted Embryo_C1425_5_1B
TS22: retina Strong Regionally restricted Embryo_C1425_5_1B
TS22: lens Absent
TS22: optic nerve Weak Regionally restricted Embryo_C1425_5_6A
TS22: nose Strong Regionally restricted Embryo_C1425_5_3B
TS22: olfactory epithelium Strong Regionally restricted Embryo_C1425_5_3B
TS22: ear Moderate Regionally restricted Embryo_C1425_5_3A
TS22: inner ear Moderate Regionally restricted Embryo_C1425_5_3A
TS22: cochlea Weak Regionally restricted Embryo_C1425_5_3B
TS22: inner ear labyrinth Moderate Regionally restricted Embryo_C1425_5_4A
TS22: middle ear Weak Regionally restricted Embryo_C1425_5_1B
TS22: alimentary system Strong Regionally restricted Embryo_C1425_5_3A Expression was strong in the digestive system.
TS22: intestine Strong Regionally restricted Embryo_C1425_5_3A
TS22: salivary gland Moderate Regionally restricted Embryo_C1425_5_2C
TS22: tongue Weak Regionally restricted Embryo_C1425_5_4A
TS22: tooth Moderate Regionally restricted Embryo_C1425_5_4C
TS22: palatal shelf Weak Regionally restricted Embryo_C1425_5_4D
TS22: esophagus Weak Regionally restricted Embryo_C1425_5_4A
TS22: stomach Moderate Regionally restricted Embryo_C1425_5_5A
TS22: liver Weak Regionally restricted Embryo_C1425_5_1B
TS22: respiratory system Moderate Regionally restricted Embryo_C1425_5_4A
TS22: pharynx Weak Regionally restricted Embryo_C1425_5_4C
TS22: larynx Weak Regionally restricted Embryo_C1425_5_4A
TS22: trachea Moderate Regionally restricted Embryo_C1425_5_4A
TS22: main bronchus Absent
TS22: lung Weak Regionally restricted Embryo_C1425_5_2C
TS22: urinary system Moderate Regionally restricted Embryo_C1425_5_2B Expression was detected in the genito-urinary system.
TS22: metanephros Moderate Regionally restricted Embryo_C1425_5_2B
TS22: ureter Absent
TS22: bladder Weak Regionally restricted Embryo_C1425_5_3B
TS22: urethra Weak Regionally restricted Embryo_C1425_5_3A
TS22: reproductive system Weak Regionally restricted Embryo_C1425_5_3B
TS22: genital tubercle Weak Regionally restricted Embryo_C1425_5_3B
TS22: gonad Absent
TS22: gland Moderate Regionally restricted Embryo_C1425_5_3C Expression was detected in the endocrine system.
TS22: thyroid gland Moderate Regionally restricted Embryo_C1425_5_3C
TS22: pituitary gland Weak Regionally restricted Embryo_C1425_5_4A
TS22: pancreas Weak Regionally restricted Embryo_C1425_5_4B
TS22: adrenal gland Weak Regionally restricted Embryo_C1425_5_2C
TS22: cardiovascular system Weak Regionally restricted Embryo_C1425_5_4A
TS22: heart Weak Regionally restricted Embryo_C1425_5_4A
TS22: heart atrium Weak Regionally restricted Embryo_C1425_5_3D
TS22: heart ventricle Weak Regionally restricted Embryo_C1425_5_4A
TS22: blood vessel Weak Regionally restricted Embryo_C1425_5_4D
TS22: hemolymphoid system Moderate Regionally restricted Embryo_C1425_5_3C Expression was detected in the immune system.
TS22: spleen primordium Absent
TS22: thymus primordium Moderate Regionally restricted Embryo_C1425_5_3C
TS22: appendicular skeleton Absent Expression was not detected in the skeleton (limbs, shoulder, hip).
TS22: musculature Absent
TS22: face Weak Regionally restricted Embryo_C1425_5_4C Expression was weak in the face/soft tissues.
TS22: facial bone primordium Absent
TS22: cranium Weak Regionally restricted Embryo_C1425_5_3D Expression was weak in the skull (base and vault).
TS22: axial skeleton Weak Regionally restricted Embryo_C1425_5_4A
TS22: tail Weak Regionally restricted Embryo_C1425_5_2B
TS22: forelimb Weak Regionally restricted Embryo_C1425_5_6D
TS22: hindlimb Moderate Regionally restricted Embryo_C1425_5_6A
TS22: integumental system Moderate Regionally restricted Embryo_C1425_5_3C
TS22: skin Weak Regionally restricted Embryo_C1425_5_3C
TS22: hair Moderate Regionally restricted Embryo_C1425_5_1C
TS22: vibrissa follicle Moderate Regionally restricted Embryo_C1425_5_1C Expression was detected in whisker follicle.


Contributing Projects:
Mouse Genome Database (MGD), Gene Expression Database (GXD), Mouse Models of Human Cancer database (MMHCdb) (formerly Mouse Tumor Biology (MTB)), Gene Ontology (GO)
Citing These Resources
Funding Information
Warranty Disclaimer, Privacy Notice, Licensing, & Copyright
Send questions and comments to User Support.
last database update
03/31/2026
MGI 6.24
The Jackson Laboratory