About   Help   FAQ
Gene Expression Data
Assay Details
Assay
Reference: J:122989 Visel A, et al., GenePaint.org: an atlas of gene expression patterns in the mouse embryo. Nucleic Acids Res. 2004 Jan 1;32(Database issue):D552-6
Assay type: RNA in situ
MGI Accession ID: MGI:5421194
Gene symbol: Gins1
Gene name: GINS complex subunit 1
Probe: MH706 probe 597
Probe preparation: Antisense labelled with digoxigenin RNA
Visualized with: Alkaline phosphatase
Assay notes: Cryosections of fresh frozen material were fixed in 4% paraformaldehyde for 20 min. before further processing. A tyramide-biotin/streptavidin amplification step was included in the in situ hybridization procedure. These data were downloaded from GenePaint.org on 1/30/12.
Results
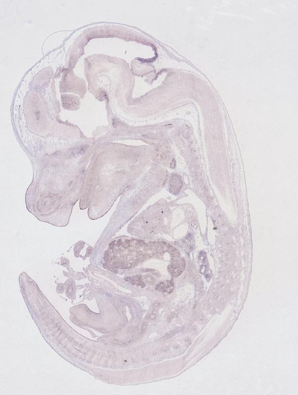
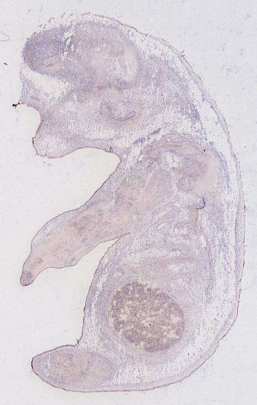
Specimen MH706; Specimen C1433: embryonic day 14.5 (more )
Structure Level Pattern Image Note
TS22: nervous system Moderate Regionally restricted Embryo_C1433_1_4B
TS22: central nervous system Moderate Regionally restricted Embryo_C1433_1_4B
TS22: telencephalon Moderate Regionally restricted Embryo_C1433_1_4A
TS22: cerebral cortex Moderate Regionally restricted Embryo_C1433_1_4A
TS22: neocortex Moderate Regionally restricted Embryo_C1433_1_4A
TS22: olfactory cortex Moderate Regionally restricted Embryo_C1433_1_5B
TS22: main olfactory bulb Moderate Regionally restricted Embryo_C1433_1_5B
TS22: piriform cortex Absent
TS22: hippocampus Moderate Regionally restricted Embryo_C1433_1_2B
TS22: basal ganglia Moderate Regionally restricted Embryo_C1433_1_5C
TS22: corpus striatum Moderate Regionally restricted Embryo_C1433_1_6B Expression was detected in the corpus striatum (lateral ganglionic eminence).
TS22: basal forebrain Absent
TS22: amygdala Weak Regionally restricted Embryo_C1433_1_2B
TS22: telencephalon septum Moderate Regionally restricted Embryo_C1433_1_4A
TS22: pallidum Moderate Regionally restricted Embryo_C1433_1_5C Expression was detected in the pallidum (medial ganglionic eminence).
TS22: diencephalon Weak Regionally restricted Embryo_C1433_1_4B
TS22: thalamus Weak Regionally restricted Embryo_C1433_1_4B
TS22: hypothalamus Weak Regionally restricted Embryo_C1433_1_4C
TS22: midbrain Moderate Regionally restricted Embryo_C1433_1_4B
TS22: pretectum Absent
TS22: superior colliculus Weak Regionally restricted Embryo_C1433_1_3D
TS22: inferior colliculus Moderate Regionally restricted Embryo_C1433_1_4B
TS22: midbrain tegmentum Absent
TS22: hindbrain Weak Regionally restricted Embryo_C1433_1_5C
TS22: cerebellum Weak Regionally restricted Embryo_C1433_1_5C
TS22: pons Weak Regionally restricted Embryo_C1433_1_5C
TS22: medulla oblongata Weak Regionally restricted Embryo_C1433_1_3D
TS22: spinal cord Weak Regionally restricted Embryo_C1433_1_4B
TS22: choroid plexus Absent
TS22: meninges Weak Regionally restricted Embryo_C1433_1_4B
TS22: peripheral nervous system Absent
TS22: cranial ganglion Absent
TS22: dorsal root ganglion Absent
TS22: eye Moderate Regionally restricted Embryo_C1433_1_1B
TS22: retina Weak Regionally restricted Embryo_C1433_1_1C
TS22: lens Moderate Regionally restricted Embryo_C1433_1_1B
TS22: cornea Absent
TS22: optic nerve Weak Regionally restricted Embryo_C1433_1_2D
TS22: nose Weak Regionally restricted Embryo_C1433_1_3C
TS22: olfactory epithelium Weak Regionally restricted Embryo_C1433_1_3C
TS22: ear Weak Regionally restricted Embryo_C1433_1_1A
TS22: inner ear Weak Regionally restricted Embryo_C1433_1_3A
TS22: cochlea Weak Regionally restricted Embryo_C1433_1_3A
TS22: inner ear labyrinth Weak Regionally restricted Embryo_C1433_1_1C
TS22: middle ear Weak Regionally restricted Embryo_C1433_1_1A
TS22: alimentary system Moderate Regionally restricted Embryo_C1433_1_4A Expression was detected in the digestive system.
TS22: intestine Absent
TS22: salivary gland Moderate Regionally restricted Embryo_C1433_1_5D
TS22: tongue Moderate Regionally restricted Embryo_C1433_1_4B
TS22: tooth Moderate Regionally restricted Embryo_C1433_1_4A
TS22: palatal shelf Absent
TS22: esophagus Weak Regionally restricted Embryo_C1433_1_4B
TS22: stomach Weak Regionally restricted Embryo_C1433_1_6A
TS22: liver Weak Regionally restricted Embryo_C1433_1_6A
TS22: respiratory system Moderate Regionally restricted Embryo_C1433_1_2C
TS22: pharynx Weak Regionally restricted Embryo_C1433_1_4D
TS22: larynx Weak Regionally restricted Embryo_C1433_1_4A
TS22: trachea Weak Regionally restricted Embryo_C1433_1_4A
TS22: main bronchus Absent
TS22: lung Moderate Regionally restricted Embryo_C1433_1_2C
TS22: urinary system Moderate Regionally restricted Embryo_C1433_1_4B Expression was detected in the genito-urinary system.
TS22: metanephros Moderate Regionally restricted Embryo_C1433_1_5A
TS22: ureter Absent
TS22: bladder Absent
TS22: urethra Absent
TS22: reproductive system Moderate Regionally restricted Embryo_C1433_1_4B
TS22: genital tubercle Moderate Regionally restricted Embryo_C1433_1_4B
TS22: gonad Absent
TS22: gland Weak Regionally restricted Embryo_C1433_1_4C Expression was weak in the endocrine system.
TS22: thyroid gland Weak Regionally restricted Embryo_C1433_1_4C
TS22: pituitary gland Weak Regionally restricted Embryo_C1433_1_4C
TS22: pancreas Weak Regionally restricted Embryo_C1433_1_5B
TS22: adrenal gland Absent
TS22: cardiovascular system Weak Regionally restricted Embryo_C1433_1_4A
TS22: heart Weak Regionally restricted Embryo_C1433_1_4A
TS22: heart atrium Absent
TS22: heart ventricle Weak Regionally restricted Embryo_C1433_1_4A
TS22: blood vessel Absent
TS22: hemolymphoid system Weak Regionally restricted Embryo_C1433_1_4C Expression was weak in the immune system.
TS22: spleen primordium Absent
TS22: thymus primordium Weak Regionally restricted Embryo_C1433_1_4C
TS22: appendicular skeleton Weak Regionally restricted Embryo_C1433_1_6B Expression was weak in the skeleton (limbs, shoulder, hip).
TS22: musculature Absent
TS22: face Weak Regionally restricted Embryo_C1433_1_5C Expression was weak in the face/soft tissues.
TS22: facial bone primordium Weak Regionally restricted Embryo_C1433_1_3C
TS22: cranium Moderate Regionally restricted Embryo_C1433_1_4C Expression was detected in the skull (base and vault).
TS22: axial skeleton Moderate Regionally restricted Embryo_C1433_1_4A
TS22: tail Moderate Regionally restricted Embryo_C1433_1_5A
TS22: forelimb Moderate Regionally restricted Embryo_C1433_1_1B
TS22: hindlimb Moderate Regionally restricted Embryo_C1433_1_6C
TS22: integumental system Moderate Regionally restricted Embryo_C1433_1_4B
TS22: skin Moderate Regionally restricted Embryo_C1433_1_4B
TS22: hair Weak Regionally restricted Embryo_C1433_1_2C
TS22: vibrissa follicle Weak Regionally restricted Embryo_C1433_1_2C Expression was weak in whisker follicle.


Contributing Projects:
Mouse Genome Database (MGD), Gene Expression Database (GXD), Mouse Models of Human Cancer database (MMHCdb) (formerly Mouse Tumor Biology (MTB)), Gene Ontology (GO)
Citing These Resources
Funding Information
Warranty Disclaimer, Privacy Notice, Licensing, & Copyright
Send questions and comments to User Support.
last database update
03/24/2026
MGI 6.24
The Jackson Laboratory