About   Help   FAQ
Gene Expression Data
Assay Details
Assay
Reference: J:122989 Visel A, et al., GenePaint.org: an atlas of gene expression patterns in the mouse embryo. Nucleic Acids Res. 2004 Jan 1;32(Database issue):D552-6
Assay type: RNA in situ
MGI Accession ID: MGI:5421151
Gene symbol: Pde4a
Gene name: phosphodiesterase 4A, cAMP specific
Probe: MH617 probe 422
Probe preparation: Antisense labelled with digoxigenin RNA
Visualized with: Alkaline phosphatase
Assay notes: Cryosections of fresh frozen material were fixed in 4% paraformaldehyde for 20 min. before further processing. A tyramide-biotin/streptavidin amplification step was included in the in situ hybridization procedure. These data were downloaded from GenePaint.org on 1/30/12.
Results
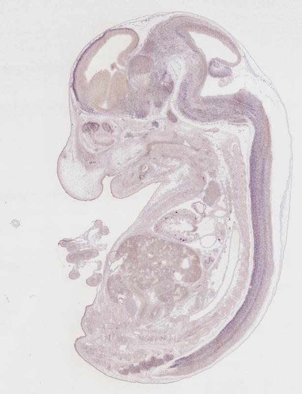
Specimen MH617; Specimen C1215: embryonic day 14.5 (more )
Structure Level Pattern Image Note
TS22: nervous system Strong Regionally restricted Embryo_C1215_4_4B
TS22: central nervous system Moderate Regionally restricted Embryo_C1215_4_4A
TS22: telencephalon Moderate Regionally restricted Embryo_C1215_4_2A
TS22: cerebral cortex Moderate Regionally restricted Embryo_C1215_4_2A
TS22: neocortex Moderate Regionally restricted Embryo_C1215_4_5A
TS22: olfactory cortex Moderate Regionally restricted Embryo_C1215_4_2D
TS22: main olfactory bulb Moderate Regionally restricted Embryo_C1215_4_2D
TS22: piriform cortex Moderate Regionally restricted Embryo_C1215_4_2A
TS22: hippocampus Moderate Regionally restricted Embryo_C1215_4_2A
TS22: basal ganglia Weak Regionally restricted Embryo_C1215_4_2A
TS22: corpus striatum Weak Regionally restricted Embryo_C1215_4_2A Expression was weak in the corpus striatum (lateral ganglionic eminence).
TS22: basal forebrain Weak Regionally restricted Embryo_C1215_4_3A
TS22: amygdala Weak Regionally restricted Embryo_C1215_4_2A
TS22: telencephalon septum Weak Regionally restricted Embryo_C1215_4_3D
TS22: pallidum Weak Regionally restricted Embryo_C1215_4_3B Expression was weak in the pallidum (medial ganglionic eminence).
TS22: diencephalon Weak Regionally restricted Embryo_C1215_4_4A
TS22: thalamus Weak Regionally restricted Embryo_C1215_4_4A
TS22: hypothalamus Weak Regionally restricted Embryo_C1215_4_4A
TS22: midbrain Moderate Regionally restricted Embryo_C1215_4_4A
TS22: pretectum Weak Regionally restricted Embryo_C1215_4_3C
TS22: superior colliculus Weak Regionally restricted Embryo_C1215_4_4A
TS22: inferior colliculus Weak Regionally restricted Embryo_C1215_4_4A
TS22: midbrain tegmentum Moderate Regionally restricted Embryo_C1215_4_4A
TS22: hindbrain Moderate Regionally restricted Embryo_C1215_4_3C
TS22: cerebellum Moderate Regionally restricted Embryo_C1215_4_3C
TS22: pons Moderate Regionally restricted Embryo_C1215_4_5B
TS22: medulla oblongata Moderate Regionally restricted Embryo_C1215_4_5A
TS22: spinal cord Moderate Regionally restricted Embryo_C1215_4_4A
TS22: choroid plexus Absent
TS22: meninges Absent
TS22: peripheral nervous system Moderate Regionally restricted Embryo_C1215_4_3B
TS22: cranial ganglion Moderate Regionally restricted Embryo_C1215_4_3B
TS22: dorsal root ganglion Moderate Regionally restricted Embryo_C1215_4_5C
TS22: eye Weak Regionally restricted Embryo_C1215_4_1B
TS22: retina Weak Regionally restricted Embryo_C1215_4_1B
TS22: lens Weak Regionally restricted Embryo_C1215_4_1A
TS22: optic nerve Absent
TS22: nose Strong Regionally restricted Embryo_C1215_4_4B
TS22: olfactory epithelium Strong Regionally restricted Embryo_C1215_4_4B
TS22: ear Strong Regionally restricted Embryo_C1215_4_3A
TS22: inner ear Strong Regionally restricted Embryo_C1215_4_3A
TS22: cochlea Strong Regionally restricted Embryo_C1215_4_3A
TS22: inner ear labyrinth Weak Regionally restricted Embryo_C1215_4_2B
TS22: middle ear Absent
TS22: alimentary system Weak Regionally restricted Embryo_C1215_4_4B Expression was weak in the digestive system.
TS22: intestine Absent
TS22: salivary gland Absent
TS22: tongue Weak Regionally restricted Embryo_C1215_4_4B
TS22: tooth Weak Regionally restricted Embryo_C1215_4_4B
TS22: palatal shelf Absent
TS22: esophagus Weak Regionally restricted Embryo_C1215_4_4D
TS22: stomach Weak Regionally restricted Embryo_C1215_4_6B
TS22: liver Absent
TS22: respiratory system Moderate Regionally restricted Embryo_C1215_4_2D
TS22: pharynx Absent
TS22: larynx Weak Regionally restricted Embryo_C1215_4_4D
TS22: trachea Absent
TS22: main bronchus Absent
TS22: lung Moderate Regionally restricted Embryo_C1215_4_2D
TS22: urinary system Moderate Regionally restricted Embryo_C1215_4_5D Expression was detected in the genito-urinary system.
TS22: metanephros Moderate Regionally restricted Embryo_C1215_4_5D
TS22: ureter Absent
TS22: bladder Absent
TS22: urethra Absent
TS22: reproductive system Weak Regionally restricted Embryo_C1215_4_4A
TS22: genital tubercle Weak Regionally restricted Embryo_C1215_4_4A
TS22: gonad Absent
TS22: gland Moderate Regionally restricted Embryo_C1215_4_4A Expression was detected in the endocrine system.
TS22: thyroid gland Moderate Regionally restricted Embryo_C1215_4_4A
TS22: pituitary gland Weak Regionally restricted Embryo_C1215_4_4A
TS22: pancreas Weak Regionally restricted Embryo_C1215_4_5C
TS22: adrenal gland Absent
TS22: cardiovascular system Weak Regionally restricted Embryo_C1215_4_4C
TS22: heart Weak Regionally restricted Embryo_C1215_4_4C
TS22: heart atrium Weak Regionally restricted Embryo_C1215_4_4C
TS22: heart ventricle Weak Regionally restricted Embryo_C1215_4_4B
TS22: blood vessel Absent
TS22: hemolymphoid system Absent Expression was not detected in the immune system.
TS22: spleen primordium Absent
TS22: thymus primordium Absent
TS22: appendicular skeleton Absent Expression was not detected in the skeleton (limbs, shoulder, hip).
TS22: musculature Absent
TS22: face Absent Expression was not detected in the face/soft tissues.
TS22: facial bone primordium Absent
TS22: cranium Absent Expression was not detected in the skull (base and vault).
TS22: axial skeleton Absent
TS22: tail Absent
TS22: forelimb Weak Regionally restricted Embryo_C1215_4_1A
TS22: hindlimb Weak Regionally restricted Embryo_C1215_4_1C
TS22: integumental system Weak Regionally restricted Embryo_C1215_4_2A
TS22: skin Weak Regionally restricted Embryo_C1215_4_4A
TS22: hair Weak Regionally restricted Embryo_C1215_4_2A
TS22: vibrissa follicle Weak Regionally restricted Embryo_C1215_4_2A Expression was weak in whisker follicle.


Contributing Projects:
Mouse Genome Database (MGD), Gene Expression Database (GXD), Mouse Models of Human Cancer database (MMHCdb) (formerly Mouse Tumor Biology (MTB)), Gene Ontology (GO)
Citing These Resources
Funding Information
Warranty Disclaimer, Privacy Notice, Licensing, & Copyright
Send questions and comments to User Support.
last database update
04/14/2026
MGI 6.24
The Jackson Laboratory