About   Help   FAQ
Gene Expression Data
Assay Details
Assay
Reference: J:162220 Magdaleno S, et al., BGEM: an in situ hybridization database of gene expression in the embryonic and adult mouse nervous system. PLoS Biol. 2006 Apr;4(4):e86
Assay type: RNA in situ
MGI Accession ID: MGI:4945910
Gene symbol: Efnb2
Gene name: ephrin B2
Probe: g01949
Probe preparation: Antisense labelled with P33 RNA
Visualized with: Autoradiography
Results
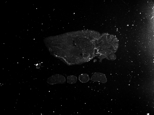
Specimen g01949 E11.5: embryonic day 11.5 (more )
Structure Level Pattern Image Note
TS19: midbrain Present Regionally restricted g01949_sj_g84_005_e11 , g01949_sj_g84_055_e11 Expression was region specific and scattered.
TS19: diencephalon Strong Regionally restricted g01949_sj_g84_005_e11 , g01949_sj_g84_055_e11 Expression was region specific and scattered.
TS19: hindbrain Strong Regionally restricted g01949_sj_g84_055_e11 , g01949_sj_g84_005_e11 Expression was region specific and scattered.
TS19: future spinal cord Strong Regionally restricted g01949_sj_g84_055_e11 , g01949_sj_g84_005_e11 Expression was region specific and scattered.
TS19: telencephalon Strong Regionally restricted g01949_sj_g84_055_e11 , g01949_sj_g84_005_e11 Expression was region specific and scattered.

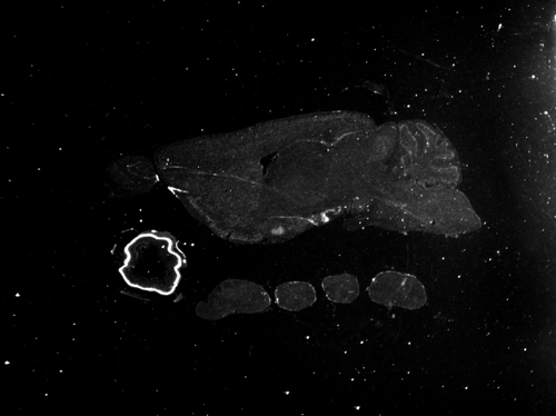
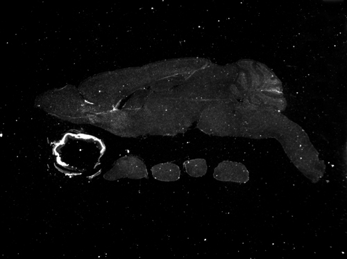
Specimen g01949 E15.5: embryonic day 15.5 (more )
Structure Level Pattern Image Note
TS23: cerebellum Present Regionally restricted g01949_sj_g83_055_e15 , g01949_sj_g83_005_e15 , g01949_sj_g83_105_e15 Expression was region specific and scattered.
TS23: ganglionic eminence Present Widespread g01949_sj_g83_105_e15 , g01949_sj_g83_005_e15 , g01949_sj_g83_055_e15
TS23: hindbrain Present Widespread g01949_sj_g83_055_e15 , g01949_sj_g83_005_e15 , g01949_sj_g83_105_e15
TS23: hypothalamus Present Widespread g01949_sj_g83_005_e15 , g01949_sj_g83_105_e15 , g01949_sj_g83_055_e15
TS23: midbrain Present Regionally restricted g01949_sj_g83_105_e15 , g01949_sj_g83_005_e15 , g01949_sj_g83_055_e15 Expression was region specific and scattered.
TS23: spinal cord Present Regionally restricted g01949_sj_g83_005_e15 , g01949_sj_g83_055_e15 , g01949_sj_g83_105_e15 Expression was region specific and scattered.
TS23: hippocampus Strong Regionally restricted g01949_sj_g83_105_e15 , g01949_sj_g83_055_e15 , g01949_sj_g83_005_e15 Expression was region specific and scattered.
TS23: neocortex Strong Regionally restricted g01949_sj_g83_005_e15 , g01949_sj_g83_105_e15 , g01949_sj_g83_055_e15 Expression was region specific and scattered.
TS23: main olfactory bulb Strong Regionally restricted g01949_sj_g83_105_e15 , g01949_sj_g83_005_e15 , g01949_sj_g83_055_e15 Expression was region specific and scattered.
TS23: retina Strong Regionally restricted g01949_sj_g83_005_e15 , g01949_sj_g83_105_e15 , g01949_sj_g83_055_e15

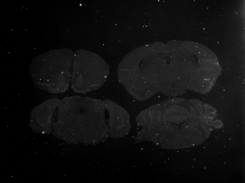
Specimen g01949 P7: postnatal day 7 (more )
Structure Level Pattern Image Note
TS28: amygdala Present Widespread g01949_sj_g90_105_p7 , g01949_sj_g90_055_p7 , g01949_sj_g90_005_p7
TS28: brainstem Present Regionally restricted g01949_sj_g90_055_p7 , g01949_sj_g90_105_p7 , g01949_sj_g90_005_p7 Expression was region specific and scattered.
TS28: cerebellum Present Widespread g01949_sj_g90_105_p7 , g01949_sj_g90_055_p7 , g01949_sj_g90_005_p7
TS28: choroid plexus Present Regionally restricted g01949_sj_g90_055_p7 , g01949_sj_g90_005_p7 , g01949_sj_g90_105_p7
TS28: hypothalamus Present Widespread g01949_sj_g90_055_p7 , g01949_sj_g90_005_p7 , g01949_sj_g90_105_p7
TS28: meninges Present Regionally restricted g01949_sj_g90_055_p7 , g01949_sj_g90_005_p7 , g01949_sj_g90_105_p7
TS28: midbrain Present Regionally restricted g01949_sj_g90_005_p7 , g01949_sj_g90_105_p7 , g01949_sj_g90_055_p7 Expression was region specific and scattered.
TS28: spinal cord Present Widespread g01949_sj_g90_105_p7 , g01949_sj_g90_055_p7 , g01949_sj_g90_005_p7
TS28: thalamus Present Regionally restricted g01949_sj_g90_055_p7 , g01949_sj_g90_005_p7 , g01949_sj_g90_105_p7 Expression was region specific and scattered.
TS28: basal ganglia Strong Regionally restricted g01949_sj_g90_005_p7 , g01949_sj_g90_105_p7 , g01949_sj_g90_055_p7 Expression was region specific and scattered.
TS28: cerebral cortex Strong Regionally restricted g01949_sj_g90_105_p7 , g01949_sj_g90_055_p7 , g01949_sj_g90_005_p7 Expression was region specific and scattered.
TS28: hippocampus Strong Regionally restricted g01949_sj_g90_055_p7 , g01949_sj_g90_105_p7 , g01949_sj_g90_005_p7 Expression was region specific and scattered.
TS28: main olfactory bulb Strong Regionally restricted g01949_sj_g90_105_p7 , g01949_sj_g90_055_p7 , g01949_sj_g90_005_p7 Expression was region specific and scattered.
TS28: retina Strong Regionally restricted g01949_sj_g90_105_p7 , g01949_sj_g90_055_p7 , g01949_sj_g90_005_p7

Specimen g01949 Adult: postnatal day 42 (more )
Structure Level Pattern Image Note
TS28: amygdala Present Widespread g01949_sj_g84_055_ads , g01949_sj_g84_105_ads , g01949_sj_g90_005_adc , g01949_sj_g90_055_adc , g01949_sj_g84_005_ads
TS28: basal ganglia Present Widespread g01949_sj_g84_005_ads , g01949_sj_g90_055_adc , g01949_sj_g84_105_ads , g01949_sj_g84_055_ads , g01949_sj_g90_005_adc
TS28: brainstem Present Widespread g01949_sj_g90_055_adc , g01949_sj_g84_055_ads , g01949_sj_g90_005_adc , g01949_sj_g84_005_ads , g01949_sj_g84_105_ads
TS28: cerebellum Present Regionally restricted g01949_sj_g84_105_ads , g01949_sj_g90_005_adc , g01949_sj_g90_055_adc , g01949_sj_g84_005_ads , g01949_sj_g84_055_ads Expression was region specific and scattered.
TS28: cerebral cortex Present Widespread g01949_sj_g84_105_ads , g01949_sj_g90_055_adc , g01949_sj_g84_005_ads , g01949_sj_g84_055_ads , g01949_sj_g90_005_adc
TS28: choroid plexus Present Regionally restricted g01949_sj_g84_055_ads , g01949_sj_g90_005_adc , g01949_sj_g84_105_ads , g01949_sj_g84_005_ads , g01949_sj_g90_055_adc
TS28: hippocampus Present Regionally restricted g01949_sj_g84_005_ads , g01949_sj_g90_005_adc , g01949_sj_g84_105_ads , g01949_sj_g84_055_ads , g01949_sj_g90_055_adc Expression was region specific and scattered.
TS28: hypothalamus Present Widespread g01949_sj_g84_055_ads , g01949_sj_g84_105_ads , g01949_sj_g90_005_adc , g01949_sj_g84_005_ads , g01949_sj_g90_055_adc
TS28: meninges Present Regionally restricted g01949_sj_g90_005_adc , g01949_sj_g84_105_ads , g01949_sj_g90_055_adc , g01949_sj_g84_005_ads , g01949_sj_g84_055_ads
TS28: midbrain Present Widespread g01949_sj_g90_005_adc , g01949_sj_g84_055_ads , g01949_sj_g84_005_ads , g01949_sj_g84_105_ads , g01949_sj_g90_055_adc
TS28: main olfactory bulb Present Widespread g01949_sj_g84_005_ads , g01949_sj_g90_055_adc , g01949_sj_g84_055_ads , g01949_sj_g84_105_ads , g01949_sj_g90_005_adc
TS28: retina Present Regionally restricted g01949_sj_g90_055_adc , g01949_sj_g90_005_adc , g01949_sj_g84_005_ads , g01949_sj_g84_055_ads , g01949_sj_g84_105_ads
TS28: spinal cord Present Widespread g01949_sj_g84_105_ads , g01949_sj_g84_005_ads , g01949_sj_g84_055_ads , g01949_sj_g90_005_adc , g01949_sj_g90_055_adc
TS28: thalamus Present Widespread g01949_sj_g90_055_adc , g01949_sj_g90_005_adc , g01949_sj_g84_105_ads , g01949_sj_g84_055_ads , g01949_sj_g84_005_ads


Contributing Projects:
Mouse Genome Database (MGD), Gene Expression Database (GXD), Mouse Models of Human Cancer database (MMHCdb) (formerly Mouse Tumor Biology (MTB)), Gene Ontology (GO)
Citing These Resources
Funding Information
Warranty Disclaimer, Privacy Notice, Licensing, & Copyright
Send questions and comments to User Support.
last database update
12/30/2025
MGI 6.24
The Jackson Laboratory