About   Help   FAQ
Gene Expression Data
Assay Details
Assay
Reference: J:162220 Magdaleno S, et al., BGEM: an in situ hybridization database of gene expression in the embryonic and adult mouse nervous system. PLoS Biol. 2006 Apr;4(4):e86
Assay type: RNA in situ
MGI Accession ID: MGI:4945851
Gene symbol: Casp8
Gene name: caspase 8
Probe: g01766
Probe preparation: Antisense labelled with P33 RNA
Visualized with: Autoradiography
Results
Specimen g01766 E11.5: embryonic day 11.5 (more )
Structure Level Pattern Image Note
TS19: diencephalon Present Scattered g01766_sj_g51_031_e11 , g01766_sj_g51_081_e11
TS19: midbrain Present Scattered g01766_sj_g51_081_e11 , g01766_sj_g51_031_e11
TS19: hindbrain Present Scattered g01766_sj_g51_031_e11 , g01766_sj_g51_081_e11
TS19: future spinal cord Present Scattered g01766_sj_g51_031_e11 , g01766_sj_g51_081_e11
TS19: telencephalon Present Scattered g01766_sj_g51_031_e11 , g01766_sj_g51_081_e11

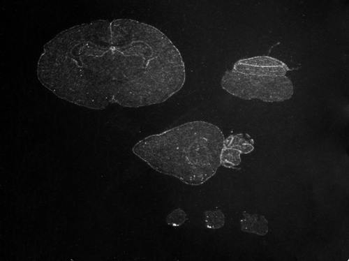
Specimen g01766 E15.5: embryonic day 15.5 (more )
Structure Level Pattern Image Note
TS23: cerebellum Present Scattered g01766_sj_g51_031_e15 , g01766_sj_g51_131_e15 , g01766_sj_g51_081_e15
TS23: ganglionic eminence Present Regionally restricted g01766_sj_g51_081_e15 , g01766_sj_g51_031_e15 , g01766_sj_g51_131_e15 Expression was region specific and scattered.
TS23: hindbrain Present Scattered g01766_sj_g51_031_e15 , g01766_sj_g51_081_e15 , g01766_sj_g51_131_e15
TS23: hippocampus Present Regionally restricted g01766_sj_g51_131_e15 , g01766_sj_g51_081_e15 , g01766_sj_g51_031_e15 Expression was region specific and scattered.
TS23: hypothalamus Present Scattered g01766_sj_g51_031_e15 , g01766_sj_g51_131_e15 , g01766_sj_g51_081_e15
TS23: midbrain Present Scattered g01766_sj_g51_131_e15 , g01766_sj_g51_031_e15 , g01766_sj_g51_081_e15
TS23: neocortex Present Regionally restricted g01766_sj_g51_031_e15 , g01766_sj_g51_131_e15 , g01766_sj_g51_081_e15 Expression was region specific and scattered.
TS23: main olfactory bulb Present Regionally restricted g01766_sj_g51_081_e15 , g01766_sj_g51_131_e15 , g01766_sj_g51_031_e15 Expression was region specific and scattered.
TS23: spinal cord Present Scattered g01766_sj_g51_031_e15 , g01766_sj_g51_131_e15 , g01766_sj_g51_081_e15

Specimen g01766 P7: postnatal day 7 (more )
Structure Level Pattern Image Note
TS28: amygdala Present Scattered g01766_sj_g51_031_p7 , g01766_sj_g51_081_p7 , g01766_sj_g51_131_p7
TS28: basal ganglia Present Scattered g01766_sj_g51_031_p7 , g01766_sj_g51_081_p7 , g01766_sj_g51_131_p7
TS28: brainstem Present Scattered g01766_sj_g51_031_p7 , g01766_sj_g51_131_p7 , g01766_sj_g51_081_p7
TS28: cerebral cortex Present Scattered g01766_sj_g51_131_p7 , g01766_sj_g51_031_p7 , g01766_sj_g51_081_p7
TS28: hippocampus Present Scattered g01766_sj_g51_081_p7 , g01766_sj_g51_131_p7 , g01766_sj_g51_031_p7
TS28: hypothalamus Present Scattered g01766_sj_g51_081_p7 , g01766_sj_g51_031_p7 , g01766_sj_g51_131_p7
TS28: midbrain Present Scattered g01766_sj_g51_031_p7 , g01766_sj_g51_131_p7 , g01766_sj_g51_081_p7
TS28: main olfactory bulb Present Scattered g01766_sj_g51_031_p7 , g01766_sj_g51_081_p7 , g01766_sj_g51_131_p7
TS28: retina Present Regionally restricted g01766_sj_g51_031_p7 , g01766_sj_g51_081_p7 , g01766_sj_g51_131_p7
TS28: spinal cord Present Scattered g01766_sj_g51_131_p7 , g01766_sj_g51_081_p7 , g01766_sj_g51_031_p7
TS28: thalamus Present Widespread g01766_sj_g51_081_p7 , g01766_sj_g51_131_p7 , g01766_sj_g51_031_p7
TS28: cerebellum Strong Regionally restricted g01766_sj_g51_081_p7 , g01766_sj_g51_131_p7 , g01766_sj_g51_031_p7 Expression was region specific and scattered.
TS28: choroid plexus Strong Regionally restricted g01766_sj_g51_081_p7 , g01766_sj_g51_131_p7 , g01766_sj_g51_031_p7
TS28: meninges Strong Regionally restricted g01766_sj_g51_131_p7 , g01766_sj_g51_031_p7 , g01766_sj_g51_081_p7

Specimen g01766 Adult: postnatal day 42 (more )
Structure Level Pattern Image Note
TS28: cerebellum Present Regionally restricted g01766_sj_g4_138_ads , g01766_sj_g51_081_adc , g01766_sj_g51_031_adc , g01766_sj_g4_088_ads , g01766_sj_g4_038_ads Expression was region specific and scattered.
TS28: amygdala Absent g01766_sj_g51_031_adc , g01766_sj_g51_081_adc , g01766_sj_g4_088_ads , g01766_sj_g4_138_ads , g01766_sj_g4_038_ads
TS28: basal ganglia Absent g01766_sj_g51_081_adc , g01766_sj_g4_138_ads , g01766_sj_g4_038_ads , g01766_sj_g4_088_ads , g01766_sj_g51_031_adc
TS28: brainstem Absent g01766_sj_g51_031_adc , g01766_sj_g4_038_ads , g01766_sj_g4_138_ads , g01766_sj_g51_081_adc , g01766_sj_g4_088_ads
TS28: cerebral cortex Absent g01766_sj_g4_138_ads , g01766_sj_g4_088_ads , g01766_sj_g51_031_adc , g01766_sj_g4_038_ads , g01766_sj_g51_081_adc
TS28: choroid plexus Absent g01766_sj_g4_138_ads , g01766_sj_g51_031_adc , g01766_sj_g4_088_ads , g01766_sj_g51_081_adc , g01766_sj_g4_038_ads
TS28: hippocampus Absent g01766_sj_g4_038_ads , g01766_sj_g51_031_adc , g01766_sj_g4_088_ads , g01766_sj_g51_081_adc , g01766_sj_g4_138_ads
TS28: hypothalamus Absent g01766_sj_g51_031_adc , g01766_sj_g4_088_ads , g01766_sj_g4_038_ads , g01766_sj_g4_138_ads , g01766_sj_g51_081_adc
TS28: meninges Absent g01766_sj_g4_138_ads , g01766_sj_g51_031_adc , g01766_sj_g51_081_adc , g01766_sj_g4_088_ads , g01766_sj_g4_038_ads
TS28: midbrain Absent g01766_sj_g51_081_adc , g01766_sj_g51_031_adc , g01766_sj_g4_138_ads , g01766_sj_g4_088_ads , g01766_sj_g4_038_ads
TS28: main olfactory bulb Absent g01766_sj_g4_138_ads , g01766_sj_g4_038_ads , g01766_sj_g4_088_ads , g01766_sj_g51_081_adc , g01766_sj_g51_031_adc
TS28: retina Absent g01766_sj_g51_031_adc , g01766_sj_g51_081_adc , g01766_sj_g4_088_ads , g01766_sj_g4_038_ads , g01766_sj_g4_138_ads
TS28: spinal cord Absent g01766_sj_g4_038_ads , g01766_sj_g4_138_ads , g01766_sj_g51_031_adc , g01766_sj_g4_088_ads , g01766_sj_g51_081_adc
TS28: thalamus Absent g01766_sj_g4_038_ads , g01766_sj_g4_088_ads , g01766_sj_g51_031_adc , g01766_sj_g4_138_ads , g01766_sj_g51_081_adc


Contributing Projects:
Mouse Genome Database (MGD), Gene Expression Database (GXD), Mouse Models of Human Cancer database (MMHCdb) (formerly Mouse Tumor Biology (MTB)), Gene Ontology (GO)
Citing These Resources
Funding Information
Warranty Disclaimer, Privacy Notice, Licensing, & Copyright
Send questions and comments to User Support.
last database update
03/24/2026
MGI 6.24
The Jackson Laboratory