About   Help   FAQ
Gene Expression Data
Assay Details
Assay
Reference: J:162220 Magdaleno S, et al., BGEM: an in situ hybridization database of gene expression in the embryonic and adult mouse nervous system. PLoS Biol. 2006 Apr;4(4):e86
Assay type: RNA in situ
MGI Accession ID: MGI:4945586
Gene symbol: Tspan14
Gene name: tetraspanin 14
Probe: g01119
Probe preparation: Antisense labelled with P33 RNA
Visualized with: Autoradiography
Results
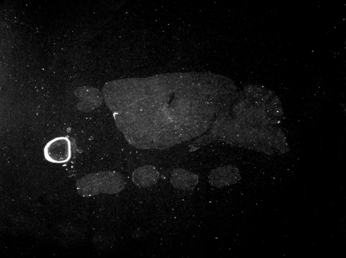
Specimen g01119 E11.5: embryonic day 11.5 (more )
Structure Level Pattern Image Note
TS19: midbrain Present Widespread g01119_sj_g80_021_e11 , g01119_sj_g80_071_e11
TS19: future spinal cord Present Widespread g01119_sj_g80_071_e11 , g01119_sj_g80_021_e11
TS19: telencephalon Present Widespread g01119_sj_g80_071_e11 , g01119_sj_g80_021_e11
TS19: diencephalon Strong Regionally restricted g01119_sj_g80_071_e11 , g01119_sj_g80_021_e11 Expression was region specific and scattered.
TS19: hindbrain Strong Regionally restricted g01119_sj_g80_071_e11 , g01119_sj_g80_021_e11 Expression was region specific and scattered.

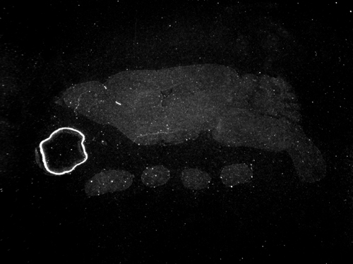
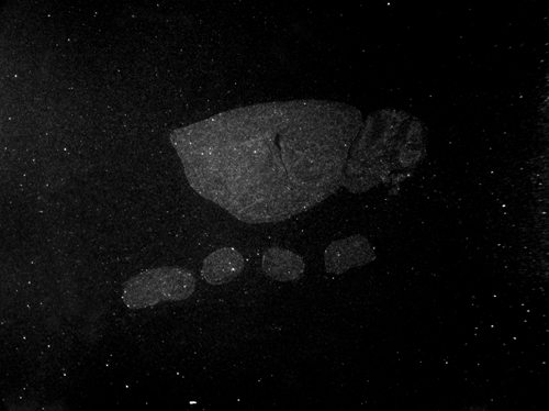
Specimen g01119 E15.5: embryonic day 15.5 (more )
Structure Level Pattern Image Note
TS23: cerebellum Present Widespread g01119_sj_g80_021_e15 , g01119_sj_g80_121_e15 , g01119_sj_g80_071_e15
TS23: ganglionic eminence Present Widespread g01119_sj_g80_071_e15 , g01119_sj_g80_021_e15 , g01119_sj_g80_121_e15
TS23: hindbrain Present Widespread g01119_sj_g80_121_e15 , g01119_sj_g80_071_e15 , g01119_sj_g80_021_e15
TS23: hippocampus Present Widespread g01119_sj_g80_071_e15 , g01119_sj_g80_021_e15 , g01119_sj_g80_121_e15
TS23: midbrain Present Widespread g01119_sj_g80_071_e15 , g01119_sj_g80_021_e15 , g01119_sj_g80_121_e15
TS23: retina Present Regionally restricted g01119_sj_g80_121_e15 , g01119_sj_g80_021_e15 , g01119_sj_g80_071_e15
TS23: spinal cord Present Widespread g01119_sj_g80_121_e15 , g01119_sj_g80_021_e15 , g01119_sj_g80_071_e15
TS23: hypothalamus Strong Regionally restricted g01119_sj_g80_021_e15 , g01119_sj_g80_071_e15 , g01119_sj_g80_121_e15 Expression was region specific and scattered.
TS23: neocortex Strong Regionally restricted g01119_sj_g80_121_e15 , g01119_sj_g80_021_e15 , g01119_sj_g80_071_e15 Expression was region specific and scattered.

Specimen g01119 P7: postnatal day 7 (more )
Structure Level Pattern Image Note
TS28: amygdala Present Regionally restricted g01119_sj_g85_021_p7 , g01119_sj_g85_071_p7 , g01119_sj_g85_121_p7 Expression was region specific and scattered.
TS28: basal ganglia Present Widespread g01119_sj_g85_021_p7 , g01119_sj_g85_071_p7 , g01119_sj_g85_121_p7
TS28: brainstem Present Widespread g01119_sj_g85_071_p7 , g01119_sj_g85_021_p7 , g01119_sj_g85_121_p7
TS28: cerebellum Present Regionally restricted g01119_sj_g85_021_p7 , g01119_sj_g85_071_p7 , g01119_sj_g85_121_p7 Expression was region specific and scattered.
TS28: choroid plexus Present Regionally restricted g01119_sj_g85_121_p7 , g01119_sj_g85_021_p7 , g01119_sj_g85_071_p7
TS28: hypothalamus Present Widespread g01119_sj_g85_021_p7 , g01119_sj_g85_121_p7 , g01119_sj_g85_071_p7
TS28: meninges Present Regionally restricted g01119_sj_g85_021_p7 , g01119_sj_g85_071_p7 , g01119_sj_g85_121_p7
TS28: midbrain Present Widespread g01119_sj_g85_071_p7 , g01119_sj_g85_021_p7 , g01119_sj_g85_121_p7
TS28: main olfactory bulb Present Widespread g01119_sj_g85_121_p7 , g01119_sj_g85_071_p7 , g01119_sj_g85_021_p7
TS28: retina Present Regionally restricted g01119_sj_g85_071_p7 , g01119_sj_g85_121_p7 , g01119_sj_g85_021_p7
TS28: spinal cord Present Widespread g01119_sj_g85_121_p7 , g01119_sj_g85_021_p7 , g01119_sj_g85_071_p7
TS28: cerebral cortex Strong Regionally restricted g01119_sj_g85_071_p7 , g01119_sj_g85_021_p7 , g01119_sj_g85_121_p7 Expression was region specific and scattered.
TS28: hippocampus Strong Regionally restricted g01119_sj_g85_021_p7 , g01119_sj_g85_121_p7 , g01119_sj_g85_071_p7 Expression was region specific and scattered.
TS28: thalamus Strong Regionally restricted g01119_sj_g85_121_p7 , g01119_sj_g85_071_p7 , g01119_sj_g85_021_p7 Expression was region specific and scattered.

Specimen g01119 Adult: postnatal day 42 (more )
Structure Level Pattern Image Note
TS28: amygdala Present Widespread g01119_sj_g93_128_ads , g01119_sj_g93_028_ads , g01119_sj_g85_071_adc , g01119_sj_g93_078_ads , g01119_sj_g85_021_adc
TS28: basal ganglia Present Widespread g01119_sj_g93_028_ads , g01119_sj_g85_021_adc , g01119_sj_g93_128_ads , g01119_sj_g93_078_ads , g01119_sj_g85_071_adc
TS28: brainstem Present Widespread g01119_sj_g93_078_ads , g01119_sj_g93_128_ads , g01119_sj_g85_071_adc , g01119_sj_g85_021_adc , g01119_sj_g93_028_ads
TS28: cerebral cortex Present Widespread g01119_sj_g93_128_ads , g01119_sj_g93_028_ads , g01119_sj_g85_021_adc , g01119_sj_g85_071_adc , g01119_sj_g93_078_ads
TS28: choroid plexus Present Regionally restricted g01119_sj_g93_028_ads , g01119_sj_g85_071_adc , g01119_sj_g93_078_ads , g01119_sj_g85_021_adc , g01119_sj_g93_128_ads
TS28: hippocampus Present Widespread g01119_sj_g85_071_adc , g01119_sj_g85_021_adc , g01119_sj_g93_128_ads , g01119_sj_g93_078_ads , g01119_sj_g93_028_ads
TS28: hypothalamus Present Widespread g01119_sj_g93_028_ads , g01119_sj_g93_078_ads , g01119_sj_g85_021_adc , g01119_sj_g93_128_ads , g01119_sj_g85_071_adc
TS28: meninges Present Regionally restricted g01119_sj_g93_078_ads , g01119_sj_g85_021_adc , g01119_sj_g85_071_adc , g01119_sj_g93_028_ads , g01119_sj_g93_128_ads
TS28: midbrain Present Widespread g01119_sj_g85_071_adc , g01119_sj_g93_028_ads , g01119_sj_g93_128_ads , g01119_sj_g85_021_adc , g01119_sj_g93_078_ads
TS28: main olfactory bulb Present Widespread g01119_sj_g85_021_adc , g01119_sj_g93_128_ads , g01119_sj_g85_071_adc , g01119_sj_g93_078_ads , g01119_sj_g93_028_ads
TS28: retina Present Regionally restricted g01119_sj_g93_078_ads , g01119_sj_g93_128_ads , g01119_sj_g93_028_ads , g01119_sj_g85_071_adc , g01119_sj_g85_021_adc
TS28: spinal cord Present Widespread g01119_sj_g93_128_ads , g01119_sj_g85_071_adc , g01119_sj_g93_028_ads , g01119_sj_g93_078_ads , g01119_sj_g85_021_adc
TS28: thalamus Present Widespread g01119_sj_g85_071_adc , g01119_sj_g93_128_ads , g01119_sj_g93_028_ads , g01119_sj_g93_078_ads , g01119_sj_g85_021_adc
TS28: cerebellum Strong Regionally restricted g01119_sj_g85_071_adc , g01119_sj_g93_128_ads , g01119_sj_g93_028_ads , g01119_sj_g85_021_adc , g01119_sj_g93_078_ads Expression was region specific and scattered.


Contributing Projects:
Mouse Genome Database (MGD), Gene Expression Database (GXD), Mouse Models of Human Cancer database (MMHCdb) (formerly Mouse Tumor Biology (MTB)), Gene Ontology (GO)
Citing These Resources
Funding Information
Warranty Disclaimer, Privacy Notice, Licensing, & Copyright
Send questions and comments to User Support.
last database update
12/30/2025
MGI 6.24
The Jackson Laboratory