About   Help   FAQ
Gene Expression Data
Assay Details
Assay
Reference: J:162220 Magdaleno S, et al., BGEM: an in situ hybridization database of gene expression in the embryonic and adult mouse nervous system. PLoS Biol. 2006 Apr;4(4):e86
Assay type: RNA in situ
MGI Accession ID: MGI:4945523
Gene symbol: Ccn3
Gene name: cellular communication network factor 3
Probe: g01052
Probe preparation: Antisense labelled with P33 RNA
Visualized with: Autoradiography
Results
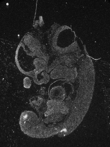
Specimen g01052 E11.5: embryonic day 11.5 (more )
Structure Level Pattern Image Note
TS19: diencephalon Present Widespread g01052_sj_g45_022_e11 , g01052_sj_g45_072_e11
TS19: midbrain Present Widespread g01052_sj_g45_022_e11 , g01052_sj_g45_072_e11
TS19: hindbrain Present Widespread g01052_sj_g45_072_e11 , g01052_sj_g45_022_e11
TS19: future spinal cord Present Widespread g01052_sj_g45_022_e11 , g01052_sj_g45_072_e11
TS19: telencephalon Present Widespread g01052_sj_g45_022_e11 , g01052_sj_g45_072_e11

Specimen g01052 E15.5: embryonic day 15.5 (more )
Structure Level Pattern Image Note
TS23: cerebellum Present Widespread g01052_sj_g46_016_e15 , g01052_sj_g46_066_e15 , g01052_sj_g46_116_e15
TS23: ganglionic eminence Present Widespread g01052_sj_g46_016_e15 , g01052_sj_g46_066_e15 , g01052_sj_g46_116_e15
TS23: hindbrain Present Widespread g01052_sj_g46_016_e15 , g01052_sj_g46_066_e15 , g01052_sj_g46_116_e15
TS23: hippocampus Present Regionally restricted g01052_sj_g46_066_e15 , g01052_sj_g46_116_e15 , g01052_sj_g46_016_e15 Expression was region specific and scattered.
TS23: hypothalamus Present Widespread g01052_sj_g46_066_e15 , g01052_sj_g46_116_e15 , g01052_sj_g46_016_e15
TS23: midbrain Present Widespread g01052_sj_g46_116_e15 , g01052_sj_g46_016_e15 , g01052_sj_g46_066_e15
TS23: neocortex Present Regionally restricted g01052_sj_g46_116_e15 , g01052_sj_g46_066_e15 , g01052_sj_g46_016_e15 Expression was region specific and scattered.
TS23: main olfactory bulb Present Widespread g01052_sj_g46_066_e15 , g01052_sj_g46_016_e15 , g01052_sj_g46_116_e15
TS23: retina Present Regionally restricted g01052_sj_g46_016_e15 , g01052_sj_g46_116_e15 , g01052_sj_g46_066_e15
TS23: spinal cord Present Widespread g01052_sj_g46_066_e15 , g01052_sj_g46_116_e15 , g01052_sj_g46_016_e15

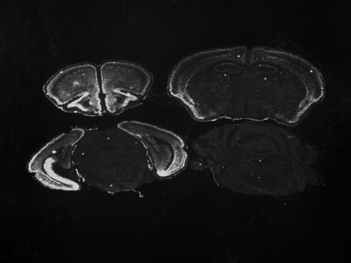
Specimen g01052 P7: postnatal day 7 (more )
Structure Level Pattern Image Note
TS28: basal ganglia Present Widespread g01052_sj_g45_022_p7 , g01052_sj_g45_072_p7 , g01052_sj_g45_122_p7
TS28: brainstem Present Widespread g01052_sj_g45_122_p7 , g01052_sj_g45_072_p7 , g01052_sj_g45_022_p7
TS28: cerebellum Present Regionally restricted g01052_sj_g45_072_p7 , g01052_sj_g45_122_p7 , g01052_sj_g45_022_p7 Expression was region specific and scattered.
TS28: choroid plexus Present Regionally restricted g01052_sj_g45_022_p7 , g01052_sj_g45_072_p7 , g01052_sj_g45_122_p7
TS28: hypothalamus Present Widespread g01052_sj_g45_022_p7 , g01052_sj_g45_122_p7 , g01052_sj_g45_072_p7
TS28: midbrain Present Widespread g01052_sj_g45_122_p7 , g01052_sj_g45_072_p7 , g01052_sj_g45_022_p7
TS28: main olfactory bulb Present Regionally restricted g01052_sj_g45_122_p7 , g01052_sj_g45_072_p7 , g01052_sj_g45_022_p7 Expression was region specific and scattered.
TS28: retina Present Regionally restricted g01052_sj_g45_022_p7 , g01052_sj_g45_122_p7 , g01052_sj_g45_072_p7
TS28: spinal cord Present Widespread g01052_sj_g45_122_p7 , g01052_sj_g45_022_p7 , g01052_sj_g45_072_p7
TS28: thalamus Present Widespread g01052_sj_g45_022_p7 , g01052_sj_g45_122_p7 , g01052_sj_g45_072_p7
TS28: amygdala Strong Regionally restricted g01052_sj_g45_122_p7 , g01052_sj_g45_022_p7 , g01052_sj_g45_072_p7 Expression was region specific and scattered.
TS28: cerebral cortex Strong Regionally restricted g01052_sj_g45_122_p7 , g01052_sj_g45_072_p7 , g01052_sj_g45_022_p7 Expression was region specific and scattered.
TS28: hippocampus Strong Regionally restricted g01052_sj_g45_122_p7 , g01052_sj_g45_072_p7 , g01052_sj_g45_022_p7 Expression was region specific and scattered.
TS28: meninges Strong Regionally restricted g01052_sj_g45_072_p7 , g01052_sj_g45_022_p7 , g01052_sj_g45_122_p7

Specimen g01052 Adult: postnatal day 42 (more )
Structure Level Pattern Image Note
TS28: basal ganglia Present Widespread g01052_sj_g2_072_adc , g01052_sj_g56_054_ads , g01052_sj_g56_004_ads , g01052_sj_g56_104_ads , g01052_sj_g2_022_adc
TS28: brainstem Present Widespread g01052_sj_g2_072_adc , g01052_sj_g56_054_ads , g01052_sj_g56_104_ads , g01052_sj_g56_004_ads , g01052_sj_g2_022_adc
TS28: cerebellum Present Regionally restricted g01052_sj_g56_054_ads , g01052_sj_g56_004_ads , g01052_sj_g56_104_ads , g01052_sj_g2_022_adc , g01052_sj_g2_072_adc Expression was region specific and scattered.
TS28: choroid plexus Present Regionally restricted g01052_sj_g56_004_ads , g01052_sj_g2_022_adc , g01052_sj_g56_104_ads , g01052_sj_g2_072_adc , g01052_sj_g56_054_ads
TS28: hypothalamus Present Widespread g01052_sj_g2_022_adc , g01052_sj_g56_004_ads , g01052_sj_g56_104_ads , g01052_sj_g56_054_ads , g01052_sj_g2_072_adc
TS28: midbrain Present Widespread g01052_sj_g2_022_adc , g01052_sj_g56_054_ads , g01052_sj_g56_104_ads , g01052_sj_g2_072_adc , g01052_sj_g56_004_ads
TS28: retina Present Regionally restricted g01052_sj_g56_054_ads , g01052_sj_g56_104_ads , g01052_sj_g2_072_adc , g01052_sj_g56_004_ads , g01052_sj_g2_022_adc
TS28: spinal cord Present Widespread g01052_sj_g2_072_adc , g01052_sj_g2_022_adc , g01052_sj_g56_004_ads , g01052_sj_g56_054_ads , g01052_sj_g56_104_ads
TS28: thalamus Present Widespread g01052_sj_g2_022_adc , g01052_sj_g56_104_ads , g01052_sj_g56_054_ads , g01052_sj_g2_072_adc , g01052_sj_g56_004_ads
TS28: amygdala Strong Regionally restricted g01052_sj_g56_004_ads , g01052_sj_g56_054_ads , g01052_sj_g2_022_adc , g01052_sj_g56_104_ads , g01052_sj_g2_072_adc Expression was region specific and scattered.
TS28: cerebral cortex Strong Regionally restricted g01052_sj_g56_004_ads , g01052_sj_g2_022_adc , g01052_sj_g56_104_ads , g01052_sj_g56_054_ads , g01052_sj_g2_072_adc Expression was region specific and scattered.
TS28: hippocampus Strong Regionally restricted g01052_sj_g56_104_ads , g01052_sj_g56_054_ads , g01052_sj_g56_004_ads , g01052_sj_g2_022_adc , g01052_sj_g2_072_adc Expression was region specific and scattered.
TS28: meninges Strong Regionally restricted g01052_sj_g2_022_adc , g01052_sj_g56_054_ads , g01052_sj_g56_004_ads , g01052_sj_g2_072_adc , g01052_sj_g56_104_ads
TS28: main olfactory bulb Strong Regionally restricted g01052_sj_g56_104_ads , g01052_sj_g2_022_adc , g01052_sj_g56_004_ads , g01052_sj_g56_054_ads , g01052_sj_g2_072_adc Expression was region specific and scattered.


Contributing Projects:
Mouse Genome Database (MGD), Gene Expression Database (GXD), Mouse Models of Human Cancer database (MMHCdb) (formerly Mouse Tumor Biology (MTB)), Gene Ontology (GO)
Citing These Resources
Funding Information
Warranty Disclaimer, Privacy Notice, Licensing, & Copyright
Send questions and comments to User Support.
last database update
03/24/2026
MGI 6.24
The Jackson Laboratory