About   Help   FAQ
Gene Expression Data
Assay Details
Assay
Reference: J:162220 Magdaleno S, et al., BGEM: an in situ hybridization database of gene expression in the embryonic and adult mouse nervous system. PLoS Biol. 2006 Apr;4(4):e86
Assay type: RNA in situ
MGI Accession ID: MGI:4945394
Gene symbol: Neurog2
Gene name: neurogenin 2
Probe: g00903
Probe preparation: Antisense labelled with P33 RNA
Visualized with: Autoradiography
Results
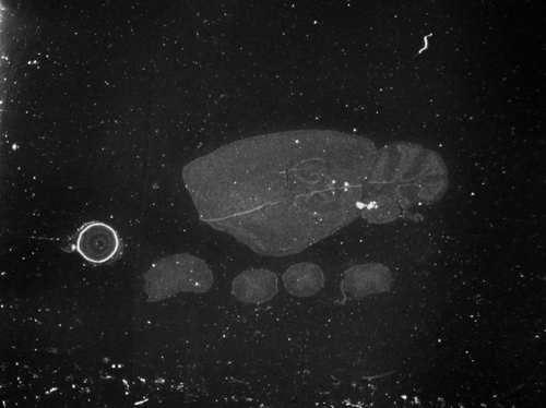
Specimen g00903 E11.5: embryonic day 11.5 (more )
Structure Level Pattern Image Note
TS19: diencephalon Strong Regionally restricted g00903_sj_g49_031_e11 , g00903_sj_g49_081_e11 Expression was region specific and scattered.
TS19: midbrain Strong Regionally restricted g00903_sj_g49_031_e11 , g00903_sj_g49_081_e11 Expression was region specific and scattered.
TS19: hindbrain Strong Regionally restricted g00903_sj_g49_031_e11 , g00903_sj_g49_081_e11 Expression was region specific and scattered.
TS19: future spinal cord Strong Regionally restricted g00903_sj_g49_081_e11 , g00903_sj_g49_031_e11 Expression was region specific and scattered.
TS19: telencephalon Strong Regionally restricted g00903_sj_g49_031_e11 , g00903_sj_g49_081_e11 Expression was region specific and scattered.

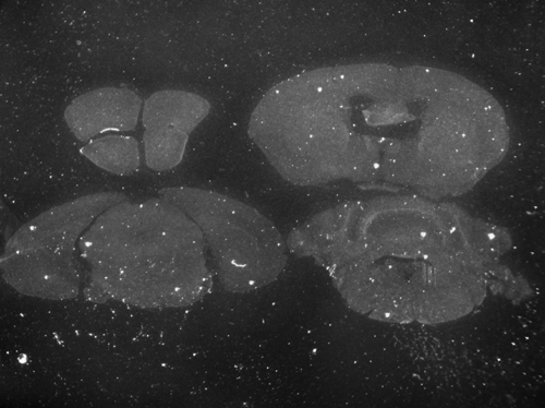
Specimen g00903 E15.5: embryonic day 15.5 (more )
Structure Level Pattern Image Note
TS23: cerebellum Present Widespread g00903_sj_g49_031_e15 , g00903_sj_g49_131_e15 , g00903_sj_g49_081_e15
TS23: ganglionic eminence Present Widespread g00903_sj_g49_031_e15 , g00903_sj_g49_131_e15 , g00903_sj_g49_081_e15
TS23: hindbrain Present Widespread g00903_sj_g49_131_e15 , g00903_sj_g49_081_e15 , g00903_sj_g49_031_e15
TS23: hypothalamus Present Widespread g00903_sj_g49_131_e15 , g00903_sj_g49_031_e15 , g00903_sj_g49_081_e15
TS23: spinal cord Present Regionally restricted g00903_sj_g49_031_e15 , g00903_sj_g49_081_e15 , g00903_sj_g49_131_e15 Expression was region specific and scattered.
TS23: hippocampus Strong Regionally restricted g00903_sj_g49_081_e15 , g00903_sj_g49_131_e15 , g00903_sj_g49_031_e15 Expression was region specific and scattered.
TS23: midbrain Strong Regionally restricted g00903_sj_g49_031_e15 , g00903_sj_g49_081_e15 , g00903_sj_g49_131_e15 Expression was region specific and scattered.
TS23: neocortex Strong Regionally restricted g00903_sj_g49_031_e15 , g00903_sj_g49_131_e15 , g00903_sj_g49_081_e15 Expression was region specific and scattered.

Specimen g00903 P7: postnatal day 7 (more )
Structure Level Pattern Image Note
TS28: amygdala Present Widespread g00903_sj_g49_131_p7 , g00903_sj_g49_081_p7 , g00903_sj_g49_031_p7
TS28: basal ganglia Present Widespread g00903_sj_g49_081_p7 , g00903_sj_g49_131_p7 , g00903_sj_g49_031_p7
TS28: brainstem Present Widespread g00903_sj_g49_031_p7 , g00903_sj_g49_131_p7 , g00903_sj_g49_081_p7
TS28: cerebellum Present Regionally restricted g00903_sj_g49_081_p7 , g00903_sj_g49_031_p7 , g00903_sj_g49_131_p7 Expression was region specific and scattered.
TS28: cerebral cortex Present Widespread g00903_sj_g49_131_p7 , g00903_sj_g49_031_p7 , g00903_sj_g49_081_p7
TS28: choroid plexus Present Regionally restricted g00903_sj_g49_131_p7 , g00903_sj_g49_031_p7 , g00903_sj_g49_081_p7
TS28: hippocampus Present Regionally restricted g00903_sj_g49_031_p7 , g00903_sj_g49_131_p7 , g00903_sj_g49_081_p7 Expression was region specific and scattered.
TS28: hypothalamus Present Widespread g00903_sj_g49_081_p7 , g00903_sj_g49_031_p7 , g00903_sj_g49_131_p7
TS28: meninges Present Regionally restricted g00903_sj_g49_081_p7 , g00903_sj_g49_131_p7 , g00903_sj_g49_031_p7
TS28: midbrain Present Widespread g00903_sj_g49_081_p7 , g00903_sj_g49_131_p7 , g00903_sj_g49_031_p7
TS28: main olfactory bulb Present Widespread g00903_sj_g49_031_p7 , g00903_sj_g49_081_p7 , g00903_sj_g49_131_p7
TS28: retina Present Regionally restricted g00903_sj_g49_131_p7 , g00903_sj_g49_031_p7 , g00903_sj_g49_081_p7
TS28: spinal cord Present Widespread g00903_sj_g49_131_p7 , g00903_sj_g49_031_p7 , g00903_sj_g49_081_p7
TS28: thalamus Present Regionally restricted g00903_sj_g49_131_p7 , g00903_sj_g49_031_p7 , g00903_sj_g49_081_p7 Expression was region specific and scattered.

Specimen g00903 Adult: postnatal day 42 (more )
Structure Level Pattern Image Note
TS28: amygdala Present Widespread g00903_sj_g49_031_adc , g00903_sj_g49_131_ads , g00903_sj_g49_081_ads , g00903_sj_g49_081_adc , g00903_sj_g49_031_ads
TS28: basal ganglia Present Widespread g00903_sj_g49_031_ads , g00903_sj_g49_081_ads , g00903_sj_g49_031_adc , g00903_sj_g49_131_ads , g00903_sj_g49_081_adc
TS28: brainstem Present Widespread g00903_sj_g49_031_adc , g00903_sj_g49_081_adc , g00903_sj_g49_031_ads , g00903_sj_g49_131_ads , g00903_sj_g49_081_ads
TS28: cerebellum Present Regionally restricted g00903_sj_g49_081_ads , g00903_sj_g49_131_ads , g00903_sj_g49_081_adc , g00903_sj_g49_031_adc , g00903_sj_g49_031_ads Expression was region specific and scattered.
TS28: cerebral cortex Present Widespread g00903_sj_g49_031_adc , g00903_sj_g49_081_ads , g00903_sj_g49_081_adc , g00903_sj_g49_031_ads , g00903_sj_g49_131_ads
TS28: choroid plexus Present Regionally restricted g00903_sj_g49_031_adc , g00903_sj_g49_131_ads , g00903_sj_g49_081_adc , g00903_sj_g49_031_ads , g00903_sj_g49_081_ads
TS28: hippocampus Present Regionally restricted g00903_sj_g49_081_adc , g00903_sj_g49_031_ads , g00903_sj_g49_031_adc , g00903_sj_g49_131_ads , g00903_sj_g49_081_ads Expression was region specific and scattered.
TS28: hypothalamus Present Widespread g00903_sj_g49_031_adc , g00903_sj_g49_081_adc , g00903_sj_g49_081_ads , g00903_sj_g49_131_ads , g00903_sj_g49_031_ads
TS28: midbrain Present Widespread g00903_sj_g49_081_ads , g00903_sj_g49_081_adc , g00903_sj_g49_131_ads , g00903_sj_g49_031_ads , g00903_sj_g49_031_adc
TS28: main olfactory bulb Present Widespread g00903_sj_g49_031_ads , g00903_sj_g49_131_ads , g00903_sj_g49_081_adc , g00903_sj_g49_081_ads , g00903_sj_g49_031_adc
TS28: retina Present Regionally restricted g00903_sj_g49_031_adc , g00903_sj_g49_081_adc , g00903_sj_g49_081_ads , g00903_sj_g49_031_ads , g00903_sj_g49_131_ads
TS28: spinal cord Present Widespread g00903_sj_g49_081_adc , g00903_sj_g49_031_adc , g00903_sj_g49_081_ads , g00903_sj_g49_031_ads , g00903_sj_g49_131_ads
TS28: thalamus Present Widespread g00903_sj_g49_031_adc , g00903_sj_g49_131_ads , g00903_sj_g49_031_ads , g00903_sj_g49_081_adc , g00903_sj_g49_081_ads


Contributing Projects:
Mouse Genome Database (MGD), Gene Expression Database (GXD), Mouse Models of Human Cancer database (MMHCdb) (formerly Mouse Tumor Biology (MTB)), Gene Ontology (GO)
Citing These Resources
Funding Information
Warranty Disclaimer, Privacy Notice, Licensing, & Copyright
Send questions and comments to User Support.
last database update
03/24/2026
MGI 6.24
The Jackson Laboratory