About   Help   FAQ
Gene Expression Data
Assay Details
Assay
Reference: J:162220 Magdaleno S, et al., BGEM: an in situ hybridization database of gene expression in the embryonic and adult mouse nervous system. PLoS Biol. 2006 Apr;4(4):e86
Assay type: RNA in situ
MGI Accession ID: MGI:4945371
Gene symbol: Acot7
Gene name: acyl-CoA thioesterase 7
Probe: g00875
Probe preparation: Antisense labelled with P33 RNA
Visualized with: Autoradiography
Results
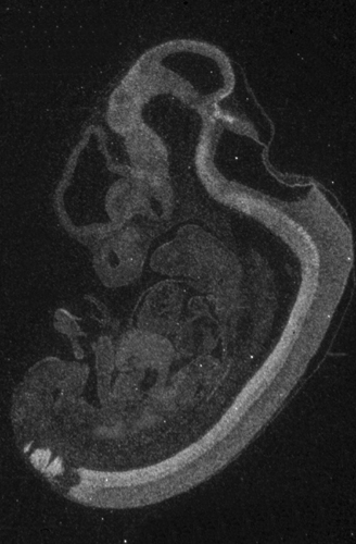
Specimen g00875 E11.5: embryonic day 11.5 (more )
Structure Level Pattern Image Note
TS19: diencephalon Present Widespread g00875_sj_g32_081_e11 , g00875_sj_g32_031_e11
TS19: midbrain Present Widespread g00875_sj_g32_081_e11 , g00875_sj_g32_031_e11
TS19: hindbrain Present Widespread g00875_sj_g32_081_e11 , g00875_sj_g32_031_e11
TS19: future spinal cord Present Widespread g00875_sj_g32_031_e11 , g00875_sj_g32_081_e11
TS19: telencephalon Present Widespread g00875_sj_g32_081_e11 , g00875_sj_g32_031_e11

Specimen g00875 E15.5: embryonic day 15.5 (more )
Structure Level Pattern Image Note
TS23: cerebellum Present Widespread g00875_sj_g32_081_e15 , g00875_sj_g32_031_e15 , g00875_sj_g32_131_e15
TS23: ganglionic eminence Present Widespread g00875_sj_g32_031_e15 , g00875_sj_g32_131_e15 , g00875_sj_g32_081_e15
TS23: hippocampus Present Widespread g00875_sj_g32_031_e15 , g00875_sj_g32_081_e15 , g00875_sj_g32_131_e15
TS23: hypothalamus Present Widespread g00875_sj_g32_131_e15 , g00875_sj_g32_031_e15 , g00875_sj_g32_081_e15
TS23: midbrain Present Widespread g00875_sj_g32_081_e15 , g00875_sj_g32_031_e15 , g00875_sj_g32_131_e15
TS23: neocortex Present Widespread g00875_sj_g32_031_e15 , g00875_sj_g32_131_e15 , g00875_sj_g32_081_e15
TS23: retina Present Regionally restricted g00875_sj_g32_031_e15 , g00875_sj_g32_081_e15 , g00875_sj_g32_131_e15
TS23: spinal cord Present Regionally restricted g00875_sj_g32_081_e15 , g00875_sj_g32_031_e15 , g00875_sj_g32_131_e15 Expression was region specific and scattered.
TS23: hindbrain Strong Widespread g00875_sj_g32_031_e15 , g00875_sj_g32_081_e15 , g00875_sj_g32_131_e15

Specimen g00875 P7: postnatal day 7 (more )
Structure Level Pattern Image Note
TS28: amygdala Present Regionally restricted g00875_sj_g32_031_p7 , g00875_sj_g32_131_p7 , g00875_sj_g32_081_p7 Expression was region specific and scattered.
TS28: basal ganglia Present Widespread g00875_sj_g32_031_p7 , g00875_sj_g32_131_p7 , g00875_sj_g32_081_p7
TS28: brainstem Present Widespread g00875_sj_g32_131_p7 , g00875_sj_g32_031_p7 , g00875_sj_g32_081_p7
TS28: cerebellum Present Regionally restricted g00875_sj_g32_081_p7 , g00875_sj_g32_131_p7 , g00875_sj_g32_031_p7 Expression was region specific and scattered.
TS28: cerebral cortex Present Widespread g00875_sj_g32_131_p7 , g00875_sj_g32_081_p7 , g00875_sj_g32_031_p7
TS28: choroid plexus Present Regionally restricted g00875_sj_g32_081_p7 , g00875_sj_g32_131_p7 , g00875_sj_g32_031_p7
TS28: hippocampus Present Regionally restricted g00875_sj_g32_131_p7 , g00875_sj_g32_031_p7 , g00875_sj_g32_081_p7 Expression was region specific and scattered.
TS28: hypothalamus Present Widespread g00875_sj_g32_081_p7 , g00875_sj_g32_131_p7 , g00875_sj_g32_031_p7
TS28: meninges Present Regionally restricted g00875_sj_g32_131_p7 , g00875_sj_g32_081_p7 , g00875_sj_g32_031_p7
TS28: midbrain Present Widespread g00875_sj_g32_131_p7 , g00875_sj_g32_081_p7 , g00875_sj_g32_031_p7
TS28: main olfactory bulb Present Regionally restricted g00875_sj_g32_081_p7 , g00875_sj_g32_031_p7 , g00875_sj_g32_131_p7 Expression was region specific and scattered.
TS28: retina Present Regionally restricted g00875_sj_g32_131_p7 , g00875_sj_g32_081_p7 , g00875_sj_g32_031_p7
TS28: spinal cord Present Regionally restricted g00875_sj_g32_081_p7 , g00875_sj_g32_031_p7 , g00875_sj_g32_131_p7 Expression was region specific and scattered.
TS28: thalamus Present Widespread g00875_sj_g32_031_p7 , g00875_sj_g32_081_p7 , g00875_sj_g32_131_p7


Contributing Projects:
Mouse Genome Database (MGD), Gene Expression Database (GXD), Mouse Models of Human Cancer database (MMHCdb) (formerly Mouse Tumor Biology (MTB)), Gene Ontology (GO)
Citing These Resources
Funding Information
Warranty Disclaimer, Privacy Notice, Licensing, & Copyright
Send questions and comments to User Support.
last database update
09/30/2025
MGI 6.24
The Jackson Laboratory