About   Help   FAQ
Gene Expression Data
Assay Details
Assay
Reference: J:162220 Magdaleno S, et al., BGEM: an in situ hybridization database of gene expression in the embryonic and adult mouse nervous system. PLoS Biol. 2006 Apr;4(4):e86
Assay type: RNA in situ
MGI Accession ID: MGI:4945314
Gene symbol: Crxos
Gene name: cone-rod homeobox, opposite strand
Probe: g00809
Probe preparation: Antisense labelled with P33 RNA
Visualized with: Autoradiography
Results
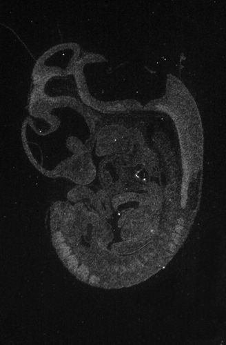
Specimen g00809 E11.5: embryonic day 11.5 (more )
Structure Level Pattern Image Note
TS19: diencephalon Present Widespread g00809_sj_g31_055_e11 , g00809_sj_g31_005_e11
TS19: midbrain Present Widespread g00809_sj_g31_055_e11 , g00809_sj_g31_005_e11
TS19: hindbrain Present Widespread g00809_sj_g31_055_e11 , g00809_sj_g31_005_e11
TS19: future spinal cord Present Widespread g00809_sj_g31_055_e11 , g00809_sj_g31_005_e11
TS19: telencephalon Present Widespread g00809_sj_g31_055_e11 , g00809_sj_g31_005_e11

Specimen g00809 E15.5: embryonic day 15.5 (more )
Structure Level Pattern Image Note
TS23: cerebellum Present Widespread g00809_sj_g31_105_e15 , g00809_sj_g31_055_e15 , g00809_sj_g31_005_e15
TS23: ganglionic eminence Present Widespread g00809_sj_g31_105_e15 , g00809_sj_g31_055_e15 , g00809_sj_g31_005_e15
TS23: hindbrain Present Widespread g00809_sj_g31_055_e15 , g00809_sj_g31_105_e15 , g00809_sj_g31_005_e15
TS23: hippocampus Present Widespread g00809_sj_g31_105_e15 , g00809_sj_g31_005_e15 , g00809_sj_g31_055_e15
TS23: hypothalamus Present Widespread g00809_sj_g31_055_e15 , g00809_sj_g31_005_e15 , g00809_sj_g31_105_e15
TS23: midbrain Present Widespread g00809_sj_g31_055_e15 , g00809_sj_g31_005_e15 , g00809_sj_g31_105_e15
TS23: neocortex Present Widespread g00809_sj_g31_005_e15 , g00809_sj_g31_105_e15 , g00809_sj_g31_055_e15
TS23: main olfactory bulb Present Widespread g00809_sj_g31_105_e15 , g00809_sj_g31_055_e15 , g00809_sj_g31_005_e15
TS23: retina Present Regionally restricted g00809_sj_g31_105_e15 , g00809_sj_g31_055_e15 , g00809_sj_g31_005_e15
TS23: spinal cord Present Regionally restricted g00809_sj_g31_105_e15 , g00809_sj_g31_055_e15 , g00809_sj_g31_005_e15 Expression was region specific and scattered.

Specimen g00809 P7: postnatal day 7 (more )
Structure Level Pattern Image Note
TS28: amygdala Present Widespread g00809_sj_g31_055_p7 , g00809_sj_g31_105_p7 , g00809_sj_g31_005_p7
TS28: basal ganglia Present Widespread g00809_sj_g31_005_p7 , g00809_sj_g31_105_p7 , g00809_sj_g31_055_p7
TS28: brainstem Present Widespread g00809_sj_g31_005_p7 , g00809_sj_g31_055_p7 , g00809_sj_g31_105_p7
TS28: cerebellum Present Widespread g00809_sj_g31_005_p7 , g00809_sj_g31_055_p7 , g00809_sj_g31_105_p7
TS28: choroid plexus Present Regionally restricted g00809_sj_g31_105_p7 , g00809_sj_g31_055_p7 , g00809_sj_g31_005_p7
TS28: hypothalamus Present Regionally restricted g00809_sj_g31_005_p7 , g00809_sj_g31_105_p7 , g00809_sj_g31_055_p7 Expression was region specific and scattered.
TS28: meninges Present Regionally restricted g00809_sj_g31_055_p7 , g00809_sj_g31_005_p7 , g00809_sj_g31_105_p7
TS28: midbrain Present Widespread g00809_sj_g31_005_p7 , g00809_sj_g31_105_p7 , g00809_sj_g31_055_p7
TS28: main olfactory bulb Present Widespread g00809_sj_g31_055_p7 , g00809_sj_g31_105_p7 , g00809_sj_g31_005_p7
TS28: retina Present Regionally restricted g00809_sj_g31_105_p7 , g00809_sj_g31_005_p7 , g00809_sj_g31_055_p7
TS28: spinal cord Present Widespread g00809_sj_g31_105_p7 , g00809_sj_g31_005_p7 , g00809_sj_g31_055_p7
TS28: thalamus Present Widespread g00809_sj_g31_005_p7 , g00809_sj_g31_055_p7 , g00809_sj_g31_105_p7
TS28: cerebral cortex Strong Widespread g00809_sj_g31_105_p7 , g00809_sj_g31_005_p7 , g00809_sj_g31_055_p7
TS28: hippocampus Strong Regionally restricted g00809_sj_g31_005_p7 , g00809_sj_g31_105_p7 , g00809_sj_g31_055_p7 Expression was region specific and scattered.


Contributing Projects:
Mouse Genome Database (MGD), Gene Expression Database (GXD), Mouse Models of Human Cancer database (MMHCdb) (formerly Mouse Tumor Biology (MTB)), Gene Ontology (GO)
Citing These Resources
Funding Information
Warranty Disclaimer, Privacy Notice, Licensing, & Copyright
Send questions and comments to User Support.
last database update
12/30/2025
MGI 6.24
The Jackson Laboratory