About   Help   FAQ
Gene Expression Data
Assay Details
Assay
Reference: J:162220 Magdaleno S, et al., BGEM: an in situ hybridization database of gene expression in the embryonic and adult mouse nervous system. PLoS Biol. 2006 Apr;4(4):e86
Assay type: RNA in situ
MGI Accession ID: MGI:4945095
Gene symbol: Or2y7
Gene name: olfactory receptor family 2 subfamily Y member 7
Probe: g00547
Probe preparation: Antisense labelled with P33 RNA
Visualized with: Autoradiography
Results
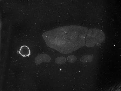
Specimen g00547 E11.5: embryonic day 11.5 (more )
Structure Level Pattern Image Note
TS19: diencephalon Present Widespread g00547_sj_g49_077_e11 , g00547_sj_g49_027_e11
TS19: midbrain Present Widespread g00547_sj_g49_027_e11 , g00547_sj_g49_077_e11
TS19: hindbrain Present Widespread g00547_sj_g49_077_e11 , g00547_sj_g49_027_e11
TS19: future spinal cord Present Widespread g00547_sj_g49_077_e11 , g00547_sj_g49_027_e11
TS19: telencephalon Present Widespread g00547_sj_g49_027_e11 , g00547_sj_g49_077_e11

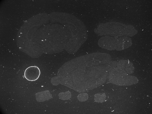
Specimen g00547 E15.5: embryonic day 15.5 (more )
Structure Level Pattern Image Note
TS23: cerebellum Present Widespread g00547_sj_g49_127_e15 , g00547_sj_g49_077_e15 , g00547_sj_g49_027_e15
TS23: ganglionic eminence Present Widespread g00547_sj_g49_027_e15 , g00547_sj_g49_127_e15 , g00547_sj_g49_077_e15
TS23: hindbrain Present Widespread g00547_sj_g49_027_e15 , g00547_sj_g49_127_e15 , g00547_sj_g49_077_e15
TS23: hippocampus Present Widespread g00547_sj_g49_127_e15 , g00547_sj_g49_027_e15 , g00547_sj_g49_077_e15
TS23: hypothalamus Present Widespread g00547_sj_g49_077_e15 , g00547_sj_g49_127_e15 , g00547_sj_g49_027_e15
TS23: midbrain Present Widespread g00547_sj_g49_077_e15 , g00547_sj_g49_127_e15 , g00547_sj_g49_027_e15
TS23: neocortex Present Widespread g00547_sj_g49_127_e15 , g00547_sj_g49_077_e15 , g00547_sj_g49_027_e15
TS23: spinal cord Present Regionally restricted g00547_sj_g49_127_e15 , g00547_sj_g49_077_e15 , g00547_sj_g49_027_e15 Expression was region specific and scattered.

Specimen g00547 P7: postnatal day 7 (more )
Structure Level Pattern Image Note
TS28: amygdala Present Widespread g00547_sj_g49_127_p7 , g00547_sj_g49_077_p7 , g00547_sj_g49_027_p7
TS28: basal ganglia Present Widespread g00547_sj_g49_077_p7 , g00547_sj_g49_127_p7 , g00547_sj_g49_027_p7
TS28: brainstem Present Widespread g00547_sj_g49_077_p7 , g00547_sj_g49_027_p7 , g00547_sj_g49_127_p7
TS28: cerebellum Present Widespread g00547_sj_g49_077_p7 , g00547_sj_g49_027_p7 , g00547_sj_g49_127_p7
TS28: cerebral cortex Present Widespread g00547_sj_g49_077_p7 , g00547_sj_g49_127_p7 , g00547_sj_g49_027_p7
TS28: choroid plexus Present Regionally restricted g00547_sj_g49_027_p7 , g00547_sj_g49_077_p7 , g00547_sj_g49_127_p7
TS28: hippocampus Present Widespread g00547_sj_g49_077_p7 , g00547_sj_g49_127_p7 , g00547_sj_g49_027_p7
TS28: hypothalamus Present Widespread g00547_sj_g49_077_p7 , g00547_sj_g49_027_p7 , g00547_sj_g49_127_p7
TS28: meninges Present Regionally restricted g00547_sj_g49_027_p7 , g00547_sj_g49_127_p7 , g00547_sj_g49_077_p7
TS28: midbrain Present Widespread g00547_sj_g49_077_p7 , g00547_sj_g49_027_p7 , g00547_sj_g49_127_p7
TS28: main olfactory bulb Present Widespread g00547_sj_g49_127_p7 , g00547_sj_g49_077_p7 , g00547_sj_g49_027_p7
TS28: retina Present Regionally restricted g00547_sj_g49_027_p7 , g00547_sj_g49_127_p7 , g00547_sj_g49_077_p7
TS28: spinal cord Present Widespread g00547_sj_g49_127_p7 , g00547_sj_g49_027_p7 , g00547_sj_g49_077_p7
TS28: thalamus Present Widespread g00547_sj_g49_077_p7 , g00547_sj_g49_027_p7 , g00547_sj_g49_127_p7

Specimen g00547 Adult: postnatal day 42 (more )
Structure Level Pattern Image Note
TS28: amygdala Present Widespread g00547_sj_g49_127_ads , g00547_sj_g49_027_ads , g00547_sj_g49_077_adc , g00547_sj_g49_077_ads , g00547_sj_g49_027_adc
TS28: basal ganglia Present Widespread g00547_sj_g49_027_adc , g00547_sj_g49_077_ads , g00547_sj_g49_077_adc , g00547_sj_g49_027_ads , g00547_sj_g49_127_ads
TS28: brainstem Present Widespread g00547_sj_g49_027_ads , g00547_sj_g49_077_ads , g00547_sj_g49_127_ads , g00547_sj_g49_027_adc , g00547_sj_g49_077_adc
TS28: cerebellum Present Regionally restricted g00547_sj_g49_077_adc , g00547_sj_g49_077_ads , g00547_sj_g49_127_ads , g00547_sj_g49_027_ads , g00547_sj_g49_027_adc Expression was region specific and scattered.
TS28: cerebral cortex Present Widespread g00547_sj_g49_077_adc , g00547_sj_g49_027_ads , g00547_sj_g49_077_ads , g00547_sj_g49_127_ads , g00547_sj_g49_027_adc
TS28: choroid plexus Present Regionally restricted g00547_sj_g49_077_adc , g00547_sj_g49_027_adc , g00547_sj_g49_127_ads , g00547_sj_g49_027_ads , g00547_sj_g49_077_ads
TS28: hippocampus Present Widespread g00547_sj_g49_027_ads , g00547_sj_g49_077_adc , g00547_sj_g49_027_adc , g00547_sj_g49_127_ads , g00547_sj_g49_077_ads
TS28: hypothalamus Present Widespread g00547_sj_g49_127_ads , g00547_sj_g49_027_adc , g00547_sj_g49_077_ads , g00547_sj_g49_077_adc , g00547_sj_g49_027_ads
TS28: midbrain Present Widespread g00547_sj_g49_127_ads , g00547_sj_g49_077_adc , g00547_sj_g49_077_ads , g00547_sj_g49_027_adc , g00547_sj_g49_027_ads
TS28: main olfactory bulb Present Widespread g00547_sj_g49_027_adc , g00547_sj_g49_127_ads , g00547_sj_g49_027_ads , g00547_sj_g49_077_ads , g00547_sj_g49_077_adc
TS28: retina Present Regionally restricted g00547_sj_g49_127_ads , g00547_sj_g49_027_adc , g00547_sj_g49_077_adc , g00547_sj_g49_027_ads , g00547_sj_g49_077_ads
TS28: spinal cord Present Widespread g00547_sj_g49_077_ads , g00547_sj_g49_027_adc , g00547_sj_g49_027_ads , g00547_sj_g49_127_ads , g00547_sj_g49_077_adc
TS28: thalamus Present Widespread g00547_sj_g49_077_ads , g00547_sj_g49_127_ads , g00547_sj_g49_027_adc , g00547_sj_g49_027_ads , g00547_sj_g49_077_adc
TS28: meninges Absent g00547_sj_g49_127_ads , g00547_sj_g49_027_adc , g00547_sj_g49_077_adc , g00547_sj_g49_077_ads , g00547_sj_g49_027_ads


Contributing Projects:
Mouse Genome Database (MGD), Gene Expression Database (GXD), Mouse Models of Human Cancer database (MMHCdb) (formerly Mouse Tumor Biology (MTB)), Gene Ontology (GO)
Citing These Resources
Funding Information
Warranty Disclaimer, Privacy Notice, Licensing, & Copyright
Send questions and comments to User Support.
last database update
03/24/2026
MGI 6.24
The Jackson Laboratory