About   Help   FAQ
Gene Expression Data
Assay Details
Assay
Reference: J:162220 Magdaleno S, et al., BGEM: an in situ hybridization database of gene expression in the embryonic and adult mouse nervous system. PLoS Biol. 2006 Apr;4(4):e86
Assay type: RNA in situ
MGI Accession ID: MGI:4945002
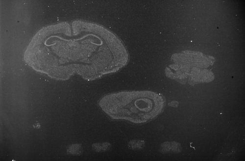
Gene symbol: Hprt1
Gene name: hypoxanthine phosphoribosyltransferase 1
Probe: g00447
Probe preparation: Antisense labelled with P33 RNA
Visualized with: Autoradiography
Results
Specimen g00447 E11.5: embryonic day 11.5 (more )
Structure Level Pattern Image Note
TS19: diencephalon Present Widespread g00447_sj_g15_085_e11 , g00447_sj_g15_035_e11
TS19: midbrain Present Widespread g00447_sj_g15_035_e11 , g00447_sj_g15_085_e11
TS19: hindbrain Present Widespread g00447_sj_g15_085_e11 , g00447_sj_g15_035_e11
TS19: future spinal cord Present Widespread g00447_sj_g15_035_e11 , g00447_sj_g15_085_e11
TS19: telencephalon Present Widespread g00447_sj_g15_035_e11 , g00447_sj_g15_085_e11

Specimen g00447 E15.5: embryonic day 15.5 (more )
Structure Level Pattern Image Note
TS23: cerebellum Present Widespread g00447_sj_g15_035_e15 , g00447_sj_g15_085_e15 , g00447_sj_g15_135_e15
TS23: ganglionic eminence Present Widespread g00447_sj_g15_135_e15 , g00447_sj_g15_035_e15 , g00447_sj_g15_085_e15
TS23: hindbrain Present Widespread g00447_sj_g15_035_e15 , g00447_sj_g15_085_e15 , g00447_sj_g15_135_e15
TS23: hippocampus Present Widespread g00447_sj_g15_085_e15 , g00447_sj_g15_135_e15 , g00447_sj_g15_035_e15
TS23: hypothalamus Present Widespread g00447_sj_g15_035_e15 , g00447_sj_g15_085_e15 , g00447_sj_g15_135_e15
TS23: midbrain Present Widespread g00447_sj_g15_035_e15 , g00447_sj_g15_085_e15 , g00447_sj_g15_135_e15
TS23: neocortex Present Widespread g00447_sj_g15_085_e15 , g00447_sj_g15_035_e15 , g00447_sj_g15_135_e15
TS23: main olfactory bulb Present Widespread g00447_sj_g15_035_e15 , g00447_sj_g15_135_e15 , g00447_sj_g15_085_e15
TS23: retina Present Regionally restricted g00447_sj_g15_135_e15 , g00447_sj_g15_035_e15 , g00447_sj_g15_085_e15
TS23: spinal cord Present Regionally restricted g00447_sj_g15_085_e15 , g00447_sj_g15_035_e15 , g00447_sj_g15_135_e15 Expression was region specific and scattered.

Specimen g00447 P7: postnatal day 7 (more )
Structure Level Pattern Image Note
TS28: amygdala Present Widespread g00447_sj_g15_085_p7 , g00447_sj_g15_135_p7 , g00447_sj_g15_035_p7
TS28: basal ganglia Present Widespread g00447_sj_g15_035_p7 , g00447_sj_g15_085_p7 , g00447_sj_g15_135_p7
TS28: brainstem Present Widespread g00447_sj_g15_085_p7 , g00447_sj_g15_135_p7 , g00447_sj_g15_035_p7
TS28: cerebellum Present Widespread g00447_sj_g15_035_p7 , g00447_sj_g15_135_p7 , g00447_sj_g15_085_p7
TS28: cerebral cortex Present Widespread g00447_sj_g15_085_p7 , g00447_sj_g15_135_p7 , g00447_sj_g15_035_p7
TS28: choroid plexus Present Regionally restricted g00447_sj_g15_085_p7 , g00447_sj_g15_135_p7 , g00447_sj_g15_035_p7
TS28: hippocampus Present Regionally restricted g00447_sj_g15_135_p7 , g00447_sj_g15_085_p7 , g00447_sj_g15_035_p7 Expression was region specific and scattered.
TS28: hypothalamus Present Widespread g00447_sj_g15_035_p7 , g00447_sj_g15_135_p7 , g00447_sj_g15_085_p7
TS28: meninges Present Regionally restricted g00447_sj_g15_085_p7 , g00447_sj_g15_035_p7 , g00447_sj_g15_135_p7
TS28: midbrain Present Widespread g00447_sj_g15_085_p7 , g00447_sj_g15_035_p7 , g00447_sj_g15_135_p7
TS28: main olfactory bulb Present Regionally restricted g00447_sj_g15_135_p7 , g00447_sj_g15_035_p7 , g00447_sj_g15_085_p7 Expression was region specific and scattered.
TS28: retina Present Regionally restricted g00447_sj_g15_035_p7 , g00447_sj_g15_085_p7 , g00447_sj_g15_135_p7
TS28: spinal cord Present Regionally restricted g00447_sj_g15_135_p7 , g00447_sj_g15_085_p7 , g00447_sj_g15_035_p7 Expression was region specific and scattered.
TS28: thalamus Present Widespread g00447_sj_g15_085_p7 , g00447_sj_g15_135_p7 , g00447_sj_g15_035_p7


Contributing Projects:
Mouse Genome Database (MGD), Gene Expression Database (GXD), Mouse Models of Human Cancer database (MMHCdb) (formerly Mouse Tumor Biology (MTB)), Gene Ontology (GO)
Citing These Resources
Funding Information
Warranty Disclaimer, Privacy Notice, Licensing, & Copyright
Send questions and comments to User Support.
last database update
12/30/2025
MGI 6.24
The Jackson Laboratory