About   Help   FAQ
Gene Expression Data
Assay Details
Assay
Reference: J:162220 Magdaleno S, et al., BGEM: an in situ hybridization database of gene expression in the embryonic and adult mouse nervous system. PLoS Biol. 2006 Apr;4(4):e86
Assay type: RNA in situ
MGI Accession ID: MGI:4944857
Gene symbol: Notch2
Gene name: notch 2
Probe: g00288
Probe preparation: Antisense labelled with P33 RNA
Visualized with: Autoradiography
Results
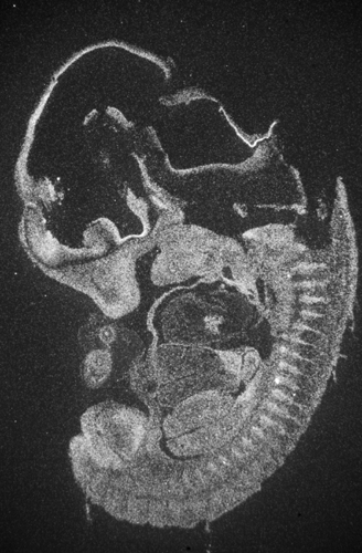
Specimen g00288 E11.5: embryonic day 11.5 (more )
Structure Level Pattern Image Note
TS19: future spinal cord Present Widespread g00288_sj_g14_086_e11 , g00288_sj_g14_036_e11
TS19: diencephalon Strong Regionally restricted g00288_sj_g14_036_e11 , g00288_sj_g14_086_e11 Expression was region specific and scattered.
TS19: midbrain Strong Regionally restricted g00288_sj_g14_086_e11 , g00288_sj_g14_036_e11 Expression was region specific and scattered.
TS19: hindbrain Strong Regionally restricted g00288_sj_g14_036_e11 , g00288_sj_g14_086_e11 Expression was region specific and scattered.
TS19: telencephalon Strong Regionally restricted g00288_sj_g14_086_e11 , g00288_sj_g14_036_e11 Expression was region specific and scattered.

Specimen g00288 E15.5: embryonic day 15.5 (more )
Structure Level Pattern Image Note
TS23: cerebellum Present Widespread g00288_sj_g14_086_e15 , g00288_sj_g14_136_e15 , g00288_sj_g14_036_e15
TS23: hindbrain Present Widespread g00288_sj_g14_136_e15 , g00288_sj_g14_086_e15 , g00288_sj_g14_036_e15
TS23: midbrain Present Widespread g00288_sj_g14_036_e15 , g00288_sj_g14_086_e15 , g00288_sj_g14_136_e15
TS23: retina Present Regionally restricted g00288_sj_g14_086_e15 , g00288_sj_g14_136_e15 , g00288_sj_g14_036_e15
TS23: ganglionic eminence Strong Regionally restricted g00288_sj_g14_086_e15 , g00288_sj_g14_036_e15 , g00288_sj_g14_136_e15 Expression was region specific and scattered.
TS23: hippocampus Strong Regionally restricted g00288_sj_g14_136_e15 , g00288_sj_g14_036_e15 , g00288_sj_g14_086_e15 Expression was region specific and scattered.
TS23: hypothalamus Strong Regionally restricted g00288_sj_g14_136_e15 , g00288_sj_g14_086_e15 , g00288_sj_g14_036_e15 Expression was region specific and scattered.
TS23: neocortex Strong Regionally restricted g00288_sj_g14_086_e15 , g00288_sj_g14_036_e15 , g00288_sj_g14_136_e15 Expression was region specific and scattered.
TS23: main olfactory bulb Strong Regionally restricted g00288_sj_g14_036_e15 , g00288_sj_g14_136_e15 , g00288_sj_g14_086_e15 Expression was region specific and scattered.
TS23: spinal cord Strong Regionally restricted g00288_sj_g14_036_e15 , g00288_sj_g14_136_e15 , g00288_sj_g14_086_e15 Expression was region specific and scattered.

Specimen g00288 P7: postnatal day 7 (more )
Structure Level Pattern Image Note
TS28: amygdala Present Widespread g00288_sj_g14_136_p7 , g00288_sj_g14_036_p7 , g00288_sj_g14_086_p7
TS28: basal ganglia Present Widespread g00288_sj_g14_036_p7 , g00288_sj_g14_136_p7 , g00288_sj_g14_086_p7
TS28: brainstem Present Widespread g00288_sj_g14_036_p7 , g00288_sj_g14_136_p7 , g00288_sj_g14_086_p7
TS28: cerebellum Present Regionally restricted g00288_sj_g14_086_p7 , g00288_sj_g14_036_p7 , g00288_sj_g14_136_p7 Expression was region specific and scattered.
TS28: cerebral cortex Present Widespread g00288_sj_g14_036_p7 , g00288_sj_g14_086_p7 , g00288_sj_g14_136_p7
TS28: hippocampus Present Widespread g00288_sj_g14_086_p7 , g00288_sj_g14_136_p7 , g00288_sj_g14_036_p7
TS28: hypothalamus Present Widespread g00288_sj_g14_086_p7 , g00288_sj_g14_036_p7 , g00288_sj_g14_136_p7
TS28: midbrain Present Widespread g00288_sj_g14_036_p7 , g00288_sj_g14_086_p7 , g00288_sj_g14_136_p7
TS28: main olfactory bulb Present Widespread g00288_sj_g14_086_p7 , g00288_sj_g14_036_p7 , g00288_sj_g14_136_p7
TS28: retina Present Regionally restricted g00288_sj_g14_136_p7 , g00288_sj_g14_036_p7 , g00288_sj_g14_086_p7
TS28: spinal cord Present Widespread g00288_sj_g14_086_p7 , g00288_sj_g14_136_p7 , g00288_sj_g14_036_p7
TS28: thalamus Present Widespread g00288_sj_g14_136_p7 , g00288_sj_g14_036_p7 , g00288_sj_g14_086_p7
TS28: choroid plexus Strong Regionally restricted g00288_sj_g14_036_p7 , g00288_sj_g14_086_p7 , g00288_sj_g14_136_p7
TS28: meninges Strong Regionally restricted g00288_sj_g14_136_p7 , g00288_sj_g14_086_p7 , g00288_sj_g14_036_p7


Contributing Projects:
Mouse Genome Database (MGD), Gene Expression Database (GXD), Mouse Models of Human Cancer database (MMHCdb) (formerly Mouse Tumor Biology (MTB)), Gene Ontology (GO)
Citing These Resources
Funding Information
Warranty Disclaimer, Privacy Notice, Licensing, & Copyright
Send questions and comments to User Support.
last database update
03/24/2026
MGI 6.24
The Jackson Laboratory