About   Help   FAQ
Gene Expression Data
Assay Details
Assay
Reference: J:162220 Magdaleno S, et al., BGEM: an in situ hybridization database of gene expression in the embryonic and adult mouse nervous system. PLoS Biol. 2006 Apr;4(4):e86
Assay type: RNA in situ
MGI Accession ID: MGI:4944751
Gene symbol: Bcl6
Gene name: B cell leukemia/lymphoma 6
Probe: g00169
Probe preparation: Antisense labelled with P33 RNA
Visualized with: Autoradiography
Results
Specimen g00169 E11.5: embryonic day 11.5 (more )
Structure Level Pattern Image Note
TS19: diencephalon Present Widespread g00169_sj_g46_035_e11 , g00169_sj_g46_085_e11
TS19: midbrain Present Widespread g00169_sj_g46_035_e11 , g00169_sj_g46_085_e11
TS19: hindbrain Present Widespread g00169_sj_g46_085_e11 , g00169_sj_g46_035_e11
TS19: future spinal cord Present Widespread g00169_sj_g46_035_e11 , g00169_sj_g46_085_e11
TS19: telencephalon Present Widespread g00169_sj_g46_085_e11 , g00169_sj_g46_035_e11

Specimen g00169 E15.5: embryonic day 15.5 (more )
Structure Level Pattern Image Note
TS23: cerebellum Present Widespread g00169_sj_g37_124_e15 , g00169_sj_g37_074_e15 , g00169_sj_g37_024_e15
TS23: ganglionic eminence Present Widespread g00169_sj_g37_074_e15 , g00169_sj_g37_024_e15 , g00169_sj_g37_124_e15
TS23: hindbrain Present Widespread g00169_sj_g37_124_e15 , g00169_sj_g37_074_e15 , g00169_sj_g37_024_e15
TS23: hippocampus Present Widespread g00169_sj_g37_024_e15 , g00169_sj_g37_124_e15 , g00169_sj_g37_074_e15
TS23: hypothalamus Present Widespread g00169_sj_g37_124_e15 , g00169_sj_g37_024_e15 , g00169_sj_g37_074_e15
TS23: midbrain Present Widespread g00169_sj_g37_024_e15 , g00169_sj_g37_124_e15 , g00169_sj_g37_074_e15
TS23: spinal cord Present Regionally restricted g00169_sj_g37_024_e15 , g00169_sj_g37_074_e15 , g00169_sj_g37_124_e15 Expression was region specific and scattered.
TS23: neocortex Strong Widespread g00169_sj_g37_124_e15 , g00169_sj_g37_074_e15 , g00169_sj_g37_024_e15

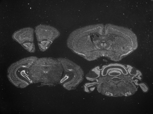
Specimen g00169 P7: postnatal day 7 (more )
Structure Level Pattern Image Note
TS28: amygdala Present Widespread g00169_sj_g37_024_p7 , g00169_sj_g37_124_p7 , g00169_sj_g37_074_p7
TS28: basal ganglia Present Widespread g00169_sj_g37_024_p7 , g00169_sj_g37_124_p7 , g00169_sj_g37_074_p7
TS28: brainstem Present Widespread g00169_sj_g37_074_p7 , g00169_sj_g37_124_p7 , g00169_sj_g37_024_p7
TS28: cerebellum Present Widespread g00169_sj_g37_074_p7 , g00169_sj_g37_124_p7 , g00169_sj_g37_024_p7
TS28: choroid plexus Present Regionally restricted g00169_sj_g37_074_p7 , g00169_sj_g37_124_p7 , g00169_sj_g37_024_p7
TS28: hypothalamus Present Widespread g00169_sj_g37_074_p7 , g00169_sj_g37_124_p7 , g00169_sj_g37_024_p7
TS28: meninges Present Regionally restricted g00169_sj_g37_074_p7 , g00169_sj_g37_124_p7 , g00169_sj_g37_024_p7
TS28: midbrain Present Widespread g00169_sj_g37_024_p7 , g00169_sj_g37_124_p7 , g00169_sj_g37_074_p7
TS28: spinal cord Present Widespread g00169_sj_g37_124_p7 , g00169_sj_g37_074_p7 , g00169_sj_g37_024_p7
TS28: thalamus Present Widespread g00169_sj_g37_024_p7 , g00169_sj_g37_074_p7 , g00169_sj_g37_124_p7
TS28: cerebral cortex Strong Widespread g00169_sj_g37_024_p7 , g00169_sj_g37_124_p7 , g00169_sj_g37_074_p7
TS28: hippocampus Strong Widespread g00169_sj_g37_124_p7 , g00169_sj_g37_074_p7 , g00169_sj_g37_024_p7
TS28: main olfactory bulb Strong Widespread g00169_sj_g37_074_p7 , g00169_sj_g37_124_p7 , g00169_sj_g37_024_p7
TS28: retina Strong Regionally restricted g00169_sj_g37_024_p7 , g00169_sj_g37_124_p7 , g00169_sj_g37_074_p7

Specimen g00169 Adult: postnatal day 42 (more )
Structure Level Pattern Image Note
TS28: choroid plexus Present Regionally restricted g00169_sj_g45_096_adc , g00169_sj_g39_109_ads , g00169_sj_g45_046_adc , g00169_sj_g39_059_ads , g00169_sj_g39_009_ads
TS28: meninges Present Regionally restricted g00169_sj_g39_059_ads , g00169_sj_g39_109_ads , g00169_sj_g39_009_ads , g00169_sj_g45_096_adc , g00169_sj_g45_046_adc
TS28: midbrain Present Widespread g00169_sj_g45_096_adc , g00169_sj_g45_046_adc , g00169_sj_g39_109_ads , g00169_sj_g39_009_ads , g00169_sj_g39_059_ads
TS28: thalamus Present Widespread g00169_sj_g45_046_adc , g00169_sj_g39_009_ads , g00169_sj_g45_096_adc , g00169_sj_g39_059_ads , g00169_sj_g39_109_ads
TS28: amygdala Strong Regionally restricted g00169_sj_g39_009_ads , g00169_sj_g39_059_ads , g00169_sj_g45_046_adc , g00169_sj_g45_096_adc , g00169_sj_g39_109_ads Expression was region specific and scattered.
TS28: basal ganglia Strong Regionally restricted g00169_sj_g39_009_ads , g00169_sj_g45_046_adc , g00169_sj_g39_059_ads , g00169_sj_g45_096_adc , g00169_sj_g39_109_ads Expression was region specific and scattered.
TS28: brainstem Strong Regionally restricted g00169_sj_g39_059_ads , g00169_sj_g39_109_ads , g00169_sj_g39_009_ads , g00169_sj_g45_096_adc , g00169_sj_g45_046_adc Expression was region specific and scattered.
TS28: cerebellum Strong Regionally restricted g00169_sj_g39_009_ads , g00169_sj_g39_059_ads , g00169_sj_g39_109_ads , g00169_sj_g45_096_adc , g00169_sj_g45_046_adc Expression was region specific and scattered.
TS28: cerebral cortex Strong Regionally restricted g00169_sj_g39_059_ads , g00169_sj_g45_046_adc , g00169_sj_g39_109_ads , g00169_sj_g39_009_ads , g00169_sj_g45_096_adc Expression was region specific and scattered.
TS28: hippocampus Strong Regionally restricted g00169_sj_g39_109_ads , g00169_sj_g45_046_adc , g00169_sj_g45_096_adc , g00169_sj_g39_059_ads , g00169_sj_g39_009_ads Expression was region specific and scattered.
TS28: hypothalamus Strong Regionally restricted g00169_sj_g39_059_ads , g00169_sj_g39_109_ads , g00169_sj_g45_046_adc , g00169_sj_g39_009_ads , g00169_sj_g45_096_adc Expression was region specific and scattered.
TS28: main olfactory bulb Strong Regionally restricted g00169_sj_g39_009_ads , g00169_sj_g45_046_adc , g00169_sj_g39_109_ads , g00169_sj_g45_096_adc , g00169_sj_g39_059_ads Expression was region specific and scattered.
TS28: retina Strong Regionally restricted g00169_sj_g39_009_ads , g00169_sj_g39_059_ads , g00169_sj_g39_109_ads , g00169_sj_g45_046_adc , g00169_sj_g45_096_adc
TS28: spinal cord Strong Regionally restricted g00169_sj_g45_096_adc , g00169_sj_g39_059_ads , g00169_sj_g39_109_ads , g00169_sj_g39_009_ads , g00169_sj_g45_046_adc Expression was region specific and scattered.


Contributing Projects:
Mouse Genome Database (MGD), Gene Expression Database (GXD), Mouse Models of Human Cancer database (MMHCdb) (formerly Mouse Tumor Biology (MTB)), Gene Ontology (GO)
Citing These Resources
Funding Information
Warranty Disclaimer, Privacy Notice, Licensing, & Copyright
Send questions and comments to User Support.
last database update
12/30/2025
MGI 6.24
The Jackson Laboratory