About   Help   FAQ
Gene Expression Data
Assay Details
Assay
Reference: J:162220 Magdaleno S, et al., BGEM: an in situ hybridization database of gene expression in the embryonic and adult mouse nervous system. PLoS Biol. 2006 Apr;4(4):e86
Assay type: RNA in situ
MGI Accession ID: MGI:4944725
Gene symbol: Sox9
Gene name: SRY (sex determining region Y)-box 9
Probe: g00141
Probe preparation: Antisense labelled with P33 RNA
Visualized with: Autoradiography
Results
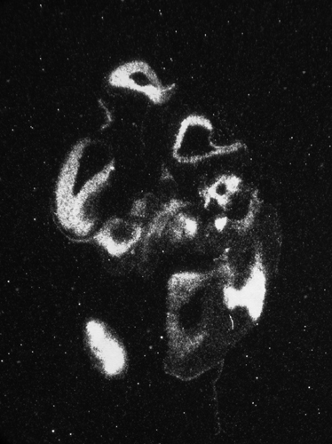
Specimen g00141 E11.5: embryonic day 11.5 (more )
Structure Level Pattern Image Note
TS19: diencephalon Strong Widespread g00141_sj_g39_052_e11 , g00141_sj_g39_002_e11
TS19: midbrain Strong Widespread g00141_sj_g39_052_e11 , g00141_sj_g39_002_e11
TS19: hindbrain Strong Widespread g00141_sj_g39_052_e11 , g00141_sj_g39_002_e11
TS19: future spinal cord Strong Widespread g00141_sj_g39_052_e11 , g00141_sj_g39_002_e11
TS19: telencephalon Strong Widespread g00141_sj_g39_002_e11 , g00141_sj_g39_052_e11

Specimen g00141 E15.5: embryonic day 15.5 (more )
Structure Level Pattern Image Note
TS23: cerebellum Present Regionally restricted g00141_sj_g44_036_e15 , g00141_sj_g44_086_e15 , g00141_sj_g44_136_e15 Expression was region specific and scattered.
TS23: hindbrain Present Regionally restricted g00141_sj_g44_086_e15 , g00141_sj_g44_136_e15 , g00141_sj_g44_036_e15 Expression was region specific and scattered.
TS23: retina Present Regionally restricted g00141_sj_g44_136_e15 , g00141_sj_g44_086_e15 , g00141_sj_g44_036_e15
TS23: spinal cord Present Widespread g00141_sj_g44_136_e15 , g00141_sj_g44_036_e15 , g00141_sj_g44_086_e15
TS23: ganglionic eminence Strong Regionally restricted g00141_sj_g44_136_e15 , g00141_sj_g44_036_e15 , g00141_sj_g44_086_e15 Expression was region specific and scattered.
TS23: hippocampus Strong Regionally restricted g00141_sj_g44_036_e15 , g00141_sj_g44_086_e15 , g00141_sj_g44_136_e15 Expression was region specific and scattered.
TS23: hypothalamus Strong Regionally restricted g00141_sj_g44_136_e15 , g00141_sj_g44_036_e15 , g00141_sj_g44_086_e15 Expression was region specific and scattered.
TS23: midbrain Strong Regionally restricted g00141_sj_g44_036_e15 , g00141_sj_g44_086_e15 , g00141_sj_g44_136_e15 Expression was region specific and scattered.
TS23: neocortex Strong Regionally restricted g00141_sj_g44_086_e15 , g00141_sj_g44_136_e15 , g00141_sj_g44_036_e15 Expression was region specific and scattered.
TS23: main olfactory bulb Strong Regionally restricted g00141_sj_g44_086_e15 , g00141_sj_g44_136_e15 , g00141_sj_g44_036_e15 Expression was region specific and scattered.

Specimen g00141 P7: postnatal day 7 (more )
Structure Level Pattern Image Note
TS28: amygdala Present Widespread g00141_sj_g44_136_p7 , g00141_sj_g44_086_p7 , g00141_sj_g44_036_p7
TS28: basal ganglia Present Widespread g00141_sj_g44_036_p7 , g00141_sj_g44_086_p7 , g00141_sj_g44_136_p7
TS28: brainstem Present Widespread g00141_sj_g44_086_p7 , g00141_sj_g44_036_p7 , g00141_sj_g44_136_p7
TS28: cerebral cortex Present Widespread g00141_sj_g44_036_p7 , g00141_sj_g44_136_p7 , g00141_sj_g44_086_p7
TS28: hypothalamus Present Widespread g00141_sj_g44_086_p7 , g00141_sj_g44_036_p7 , g00141_sj_g44_136_p7
TS28: meninges Present Regionally restricted g00141_sj_g44_136_p7 , g00141_sj_g44_036_p7 , g00141_sj_g44_086_p7
TS28: midbrain Present Widespread g00141_sj_g44_086_p7 , g00141_sj_g44_036_p7 , g00141_sj_g44_136_p7
TS28: main olfactory bulb Present Widespread g00141_sj_g44_136_p7 , g00141_sj_g44_036_p7 , g00141_sj_g44_086_p7
TS28: spinal cord Present Widespread g00141_sj_g44_036_p7 , g00141_sj_g44_136_p7 , g00141_sj_g44_086_p7
TS28: thalamus Present Widespread g00141_sj_g44_136_p7 , g00141_sj_g44_086_p7 , g00141_sj_g44_036_p7
TS28: cerebellum Strong Regionally restricted g00141_sj_g44_136_p7 , g00141_sj_g44_086_p7 , g00141_sj_g44_036_p7 Expression was region specific and scattered.
TS28: choroid plexus Strong Regionally restricted g00141_sj_g44_036_p7 , g00141_sj_g44_136_p7 , g00141_sj_g44_086_p7
TS28: hippocampus Strong Regionally restricted g00141_sj_g44_086_p7 , g00141_sj_g44_136_p7 , g00141_sj_g44_036_p7 Expression was region specific and scattered.
TS28: retina Strong Regionally restricted g00141_sj_g44_036_p7 , g00141_sj_g44_086_p7 , g00141_sj_g44_136_p7

Specimen g00141 Adult: postnatal day 42 (more )
Structure Level Pattern Image Note
TS28: amygdala Present Widespread g00141_sj_g46_027_ads , g00141_sj_g1_067_adc , g00141_sj_g1_017_adc , g00141_sj_g46_127_ads , g00141_sj_g46_077_ads
TS28: basal ganglia Present Widespread g00141_sj_g46_127_ads , g00141_sj_g46_027_ads , g00141_sj_g1_017_adc , g00141_sj_g1_067_adc , g00141_sj_g46_077_ads
TS28: brainstem Present Widespread g00141_sj_g46_127_ads , g00141_sj_g1_067_adc , g00141_sj_g1_017_adc , g00141_sj_g46_077_ads , g00141_sj_g46_027_ads
TS28: cerebral cortex Present Widespread g00141_sj_g46_077_ads , g00141_sj_g46_127_ads , g00141_sj_g1_017_adc , g00141_sj_g46_027_ads , g00141_sj_g1_067_adc
TS28: hippocampus Present Widespread g00141_sj_g1_067_adc , g00141_sj_g46_127_ads , g00141_sj_g46_027_ads , g00141_sj_g46_077_ads , g00141_sj_g1_017_adc
TS28: hypothalamus Present Widespread g00141_sj_g46_127_ads , g00141_sj_g46_077_ads , g00141_sj_g1_067_adc , g00141_sj_g46_027_ads , g00141_sj_g1_017_adc
TS28: midbrain Present Widespread g00141_sj_g1_067_adc , g00141_sj_g1_017_adc , g00141_sj_g46_127_ads , g00141_sj_g46_077_ads , g00141_sj_g46_027_ads
TS28: main olfactory bulb Present Widespread g00141_sj_g1_067_adc , g00141_sj_g46_077_ads , g00141_sj_g1_017_adc , g00141_sj_g46_027_ads , g00141_sj_g46_127_ads
TS28: retina Present Regionally restricted g00141_sj_g46_127_ads , g00141_sj_g46_077_ads , g00141_sj_g1_017_adc , g00141_sj_g46_027_ads , g00141_sj_g1_067_adc
TS28: spinal cord Present Widespread g00141_sj_g46_127_ads , g00141_sj_g1_067_adc , g00141_sj_g1_017_adc , g00141_sj_g46_077_ads , g00141_sj_g46_027_ads
TS28: thalamus Present Widespread g00141_sj_g46_077_ads , g00141_sj_g1_067_adc , g00141_sj_g46_027_ads , g00141_sj_g46_127_ads , g00141_sj_g1_017_adc
TS28: cerebellum Strong Regionally restricted g00141_sj_g46_027_ads , g00141_sj_g1_067_adc , g00141_sj_g46_077_ads , g00141_sj_g46_127_ads , g00141_sj_g1_017_adc Expression was region specific and scattered.
TS28: choroid plexus Strong Regionally restricted g00141_sj_g46_027_ads , g00141_sj_g1_017_adc , g00141_sj_g46_077_ads , g00141_sj_g1_067_adc , g00141_sj_g46_127_ads


Contributing Projects:
Mouse Genome Database (MGD), Gene Expression Database (GXD), Mouse Models of Human Cancer database (MMHCdb) (formerly Mouse Tumor Biology (MTB)), Gene Ontology (GO)
Citing These Resources
Funding Information
Warranty Disclaimer, Privacy Notice, Licensing, & Copyright
Send questions and comments to User Support.
last database update
03/24/2026
MGI 6.24
The Jackson Laboratory