About   Help   FAQ
Gene Expression Data
Assay Details
Assay
Reference: J:160012 Jerome-Majewska LA, et al., The trafficking protein Tmed2/p24beta(1) is required for morphogenesis of the mouse embryo and placenta. Dev Biol. 2010 May 1;341(1):154-66
Assay type: RNA in situ
MGI Accession ID: MGI:4837921
Gene symbol: Tmed2
Gene name: transmembrane p24 trafficking protein 2
Probe: Tmed2 cDNA2
Probe preparation: Antisense RNA
Assay notes: Two in situ hybridization probes were described (MGI:4837916 and MGI:4837918), but the probe used in this assay was not specified. Authors indicate that both probes reported the same expression pattern and were used interchangeably.
Results
Specimen 7A: embryonic day 6.5 (more )
Structure Level Pattern Image Note
TS9: ectoplacental cone Present 7A
TS9: extraembryonic ectoderm Present 7A

Specimen 7B: embryonic day 7.5 (more )
Structure Level Pattern Image Note
TS11: chorion Present 7B

Specimen 7C: embryonic day 7.5 (more )
Note: Early headfold stage embryo.
Structure Level Pattern Image Note
TS11: yolk sac Present 7C
TS11: embryo mesoderm Present Regionally restricted 7C Expression was detected in the anterior mesoderm.
TS11: primitive streak Present Regionally restricted 7C Expression was detected in the proximal portion of the primitive streak.

Specimen 7D: embryonic day 7.5 (more )
Note: Early headfold stage embryo.
Structure Level Pattern Image Note
TS11: chorion Present 7D

Specimen 7E: embryonic day 8.5 (more )
Structure Level Pattern Image Note
TS14: central nervous system Strong Regionally restricted 7E Expression was high in the neural epithelium.
TS14: primitive streak Strong Regionally restricted 7E Expression was high in the peri-nodal region.
TS14: allantois Strong 7E
TS14: tail bud Strong 7E
TS14: trunk unsegmented mesenchyme Strong 7E
TS14: trunk mesenchyme Weak 7E Expression was low in the lateral plate.
TS14: somite Weak 7E
TS14: embryo Present Regionally restricted 7E Expression was not found in the midline.

Specimen 7F: embryonic day 8.5 (more )
Structure Level Pattern Image Note
TS14: prosencephalon Present Regionally restricted 7F Expression was highest in the forebrain.
TS14: branchial arch Present 7F
TS14: tail bud Present 7F
TS14: heart Absent 7F

Specimen 7G left: embryonic day 9.5 (more )
Structure Level Pattern Image Note
TS15: forelimb bud Present 7G left
TS15: future forebrain Present 7G left
TS15: neural tube Present 7G left
TS15: otocyst Present 7G left

Specimen 7G right: embryonic day 9.5 (more )
Structure Level Pattern Image Note
TS15: branchial arch Present 7G right
TS15: forelimb bud Present 7G right
TS15: hepatic primordium Present 7G right
TS15: optic vesicle Present 7G right
TS15: otocyst Present 7G right
TS15: tail Present 7G right

Specimen S1A: embryonic day 5.5 (more )
Structure Level Pattern Image Note
TS7: epiblast Present Ubiquitous S1A
TS7: extraembryonic ectoderm Present Ubiquitous S1A

Specimen S1B: embryonic day 5.5 (more )
Structure Level Pattern Image Note
TS7: epiblast Present Widespread S1B Expression was equally distributed throughout the extraembryonic and embryonic ectoderms.
TS7: extraembryonic ectoderm Present Widespread S1B Expression was equally distributed throughout the extraembryonic and embryonic ectoderms.
TS7: extraembryonic visceral endoderm Strong Regionally restricted S1B Expression was found at higher levels in the visceral and distal visceral endoderm compared to the embryonic and extraembryonic ectoderm.
TS7: parietal endoderm Present S1B

Specimen S1C: embryonic day 5.5 (more )
Structure Level Pattern Image Note
TS7: ectoplacental cone Present S1C Expression was higher in the ectoplacental cone and visceral endoderm compared to epiblast.
TS7: epiblast Present S1C Expression was higher in the ectoplacental cone and visceral endoderm compared to epiblast.
TS7: extraembryonic visceral endoderm Present S1C Expression was higher in the ectoplacental cone and visceral endoderm compared to epiblast.

Specimen S1D: embryonic day 5.5 (more )
Structure Level Pattern Image Note
TS7: epiblast Strong S1D

Specimen S1E: embryonic day 6.5 (more )
Structure Level Pattern Image Note
TS9: ectoplacental cone Strong S1E

Specimen S1F: embryonic day 6.5 (more )
Structure Level Pattern Image Note
TS9: embryo ectoderm Weak Widespread S1F Low expression levels were detected throughout the embryonic ectoderm.

Specimen S1G: embryonic day 6.5 (more )
Structure Level Pattern Image Note
TS9: embryo Present Regionally restricted S1G Expression was detected in the posterior region of the embryo.
TS9: embryo ectoderm Present Scattered S1G
TS9: extraembryonic visceral endoderm Present Scattered S1G

Specimen S1H: embryonic day 6.5 (more )
Structure Level Pattern Image Note
TS9: embryo Present Regionally restricted S1H Expression was detected in the posterior region of the embryo.
TS9: embryo ectoderm Present Scattered S1H
TS9: extraembryonic visceral endoderm Present Scattered S1H

Specimen S1I & S1K & S1L: embryonic day 7.5 (more )
Note: Fig. S1K and S1L are higher magnification of boxed regions in S1I.
Structure Level Pattern Image Note
TS11: amnion Present S1K , S1I , S1L
TS11: embryo mesoderm Present Regionally restricted S1I , S1L , S1K Expression was detected in the anterior mesoderm with lower levels detected in posterior mesoderm.
TS11: embryo ectoderm Present S1L , S1I

Specimen S1J: embryonic day 7.5 (more )
Structure Level Pattern Image Note
TS11: ectoplacental cone Present S1J

Specimen S1M: embryonic day 8.5 (more )
Structure Level Pattern Image Note
TS13: embryo Present Widespread S1M
TS13: foregut diverticulum Present S1M

Specimen S1N: embryonic day 8.5 (more )
Structure Level Pattern Image Note
TS13: dorsal aorta Present S1N
TS13: somite Present S1N
TS13: neural tube Absent S1N Expression was not detected in closed neural tube.
TS13: midgut endoderm Absent S1N

Specimen S1O: embryonic day 8.5 (more )
Structure Level Pattern Image Note
TS13: lateral plate mesoderm Present S1O
TS13: embryo endoderm Absent S1O

Specimen S1P: embryonic day 8.5 (more )
Structure Level Pattern Image Note
TS14: tail bud Strong Regionally restricted S1P Expression levels were high in the posterior tailbud mesoderm.
TS14: hindgut diverticulum Absent S1P

Specimen not shown: embryonic day 10.5 (more )
Structure Level Pattern Image Note
TS17: embryo Present Widespread Broad expression was detected in most embryonic structures.
TS17: primitive ventricle Present

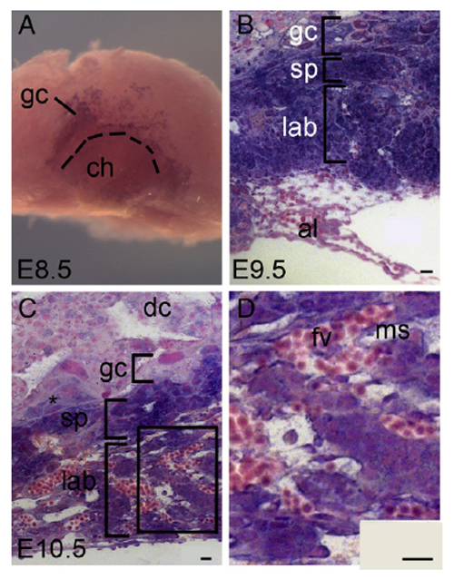
Specimen 8A: embryonic day 8.5 (more )
Structure Level Pattern Image Note
TS13: chorionic plate Present 8A
TS13: allantois Present 8A
TS13: trophoblast giant cell Present 8A

Specimen 8B: embryonic day 9.5 (more )
Structure Level Pattern Image Note
TS28: placenta Present Widespread 8B Expression was detected throughout the placenta with the exception of the allantois.
TS15: labyrinthine zone Present 8B
TS15: spongiotrophoblast Present 8B
TS15: trophoblast giant cell Present 8B
TS15: allantois Absent 8B

Specimen 8C & 8D: embryonic day 10.5 (more )
Note: Fig. 8D is a higher magnification of the boxed region in 8C.
Structure Level Pattern Image Note
TS17: labyrinthine zone Present 8D , 8C
TS17: spongiotrophoblast Present 8C
TS17: trophoblast giant cell Present Regionally restricted 8C Expression was detected in a subset of giant cells.
TS28: decidua Present Regionally restricted 8C Expression was detected in a subset of cells in the maternal decidua.
TS17: blood vessel Present Regionally restricted 8C Expression was detected in fetal blood vessels in the placenta.


Contributing Projects:
Mouse Genome Database (MGD), Gene Expression Database (GXD), Mouse Models of Human Cancer database (MMHCdb) (formerly Mouse Tumor Biology (MTB)), Gene Ontology (GO)
Citing These Resources
Funding Information
Warranty Disclaimer, Privacy Notice, Licensing, & Copyright
Send questions and comments to User Support.
last database update
12/30/2025
MGI 6.24
The Jackson Laboratory