About   Help   FAQ
Gene Expression Data
Assay Details
Assay
Reference: J:153498 Diez-Roux G, et al., A high-resolution anatomical atlas of the transcriptome in the mouse embryo. PLoS Biol. 2011;9(1):e1000582
Assay type: RNA in situ
MGI Accession ID: MGI:4829228
Gene symbol: Get1
Gene name: guided entry of tail-anchored proteins factor 1
Probe: MGC clone 25932
Probe preparation: Antisense labelled with digoxigenin RNA
Visualized with: Alkaline phosphatase
Assay notes: Cryosections of fresh frozen material were fixed in 4% paraformaldehyde for 20 min. before further processing. A tyramide-biotin/streptavidin amplification step was included in the in situ hybridization procedure.
Results
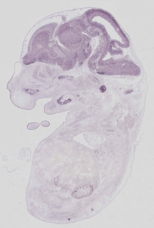
Specimen euxassay_005059_01: embryonic day 14.5 (more )
Note: Additional information for this specimen was included in the Eurexpress data submission file.
Structure Level Pattern Image Note
TS23: mandible Strong Regionally restricted euxassay_005059_01
TS23: trigeminal ganglion Moderate Regionally restricted euxassay_005059_01
TS23: brain Strong Uniform euxassay_005059_01
TS23: orbito-sphenoid Moderate Regionally restricted euxassay_005059_01
TS23: stomach Moderate Regionally restricted euxassay_005059_01 smooth muscle
TS23: smooth muscle tissue Present euxassay_005059_01

Specimen euxassay_005059_02: embryonic day 14.5 (more )
Note: Additional information for this specimen was included in the Eurexpress data submission file.
Structure Level Pattern Image Note
TS23: mandible Moderate Regionally restricted euxassay_005059_02
TS23: trigeminal ganglion Strong Regionally restricted euxassay_005059_02
TS23: brain Strong Uniform euxassay_005059_02
TS23: orbito-sphenoid Moderate Regionally restricted euxassay_005059_02
TS23: stomach Moderate Regionally restricted euxassay_005059_02 smooth muscle
TS23: smooth muscle tissue Present euxassay_005059_02
TS23: midgut loop Moderate Regionally restricted euxassay_005059_02 smooth muscle

Specimen euxassay_005059_03: embryonic day 14.5 (more )
Note: Additional information for this specimen was included in the Eurexpress data submission file.
Structure Level Pattern Image Note
TS23: mandible Moderate Regionally restricted euxassay_005059_03
TS23: maxilla Moderate Regionally restricted euxassay_005059_03
TS23: trigeminal ganglion Strong Regionally restricted euxassay_005059_03
TS23: facial ganglion Strong Regionally restricted euxassay_005059_03
TS23: brain Strong Uniform euxassay_005059_03
TS23: orbito-sphenoid Strong Regionally restricted euxassay_005059_03
TS23: dorsal root ganglion Moderate Regionally restricted euxassay_005059_03
TS23: midgut loop Moderate Regionally restricted euxassay_005059_03 smooth muscle
TS23: stomach Moderate Regionally restricted euxassay_005059_03 smooth muscle
TS23: smooth muscle tissue Present euxassay_005059_03

Specimen euxassay_005059_04: embryonic day 14.5 (more )
Note: Additional information for this specimen was included in the Eurexpress data submission file.
Structure Level Pattern Image Note
TS23: maxilla Strong Regionally restricted euxassay_005059_04
TS23: mandible Strong Regionally restricted euxassay_005059_04
TS23: glossopharyngeal ganglion Moderate Regionally restricted euxassay_005059_04
TS23: vestibulo-cochlear ganglion Moderate Regionally restricted euxassay_005059_04
TS23: trigeminal ganglion Strong Regionally restricted euxassay_005059_04
TS23: brain Strong Uniform euxassay_005059_04
TS23: dorsal root ganglion Strong Regionally restricted euxassay_005059_04
TS23: midgut loop Moderate Regionally restricted euxassay_005059_04 smooth muscle
TS23: stomach Moderate Regionally restricted euxassay_005059_04 smooth muscle
TS23: smooth muscle tissue Present euxassay_005059_04

Specimen euxassay_005059_05: embryonic day 14.5 (more )
Note: Additional information for this specimen was included in the Eurexpress data submission file.
Structure Level Pattern Image Note
TS23: maxilla Strong Regionally restricted euxassay_005059_05
TS23: mandible Strong Regionally restricted euxassay_005059_05
TS23: trigeminal ganglion Strong Regionally restricted euxassay_005059_05
TS23: vagus ganglion Strong Regionally restricted euxassay_005059_05
TS23: vestibulo-cochlear ganglion Moderate Regionally restricted euxassay_005059_05
TS23: glossopharyngeal ganglion Moderate Regionally restricted euxassay_005059_05
TS23: brain Strong Uniform euxassay_005059_05
TS23: spinal cord Strong Uniform euxassay_005059_05
TS23: dorsal root ganglion Strong Regionally restricted euxassay_005059_05
TS23: clavicle Moderate Regionally restricted euxassay_005059_05
TS23: midgut loop Moderate Regionally restricted euxassay_005059_05 smooth muscle
TS23: stomach Moderate Regionally restricted euxassay_005059_05 smooth muscle
TS23: smooth muscle tissue Present euxassay_005059_05

Specimen euxassay_005059_06: embryonic day 14.5 (more )
Note: Additional information for this specimen was included in the Eurexpress data submission file.
Structure Level Pattern Image Note
TS23: maxilla Strong Regionally restricted euxassay_005059_06
TS23: mandible Strong Regionally restricted euxassay_005059_06
TS23: trigeminal ganglion Strong Regionally restricted euxassay_005059_06
TS23: brain Strong Uniform euxassay_005059_06
TS23: spinal cord Strong Uniform euxassay_005059_06
TS23: dorsal root ganglion Strong Regionally restricted euxassay_005059_06
TS23: clavicle Moderate Regionally restricted euxassay_005059_06
TS23: midgut loop Moderate Regionally restricted euxassay_005059_06 smooth muscle
TS23: stomach Moderate Regionally restricted euxassay_005059_06 smooth muscle
TS23: smooth muscle tissue Present euxassay_005059_06
TS23: bladder wall Moderate Regionally restricted euxassay_005059_06

Specimen euxassay_005059_07: embryonic day 14.5 (more )
Note: Additional information for this specimen was included in the Eurexpress data submission file.
Structure Level Pattern Image Note
TS23: maxilla Strong Regionally restricted euxassay_005059_07
TS23: mandible Strong Regionally restricted euxassay_005059_07
TS23: brain Strong Uniform euxassay_005059_07
TS23: spinal cord Strong Uniform euxassay_005059_07
TS23: dorsal root ganglion Strong Regionally restricted euxassay_005059_07
TS23: midgut loop Moderate Regionally restricted euxassay_005059_07 smooth muscle
TS23: midgut Moderate Regionally restricted euxassay_005059_07 smooth muscle
TS23: stomach Moderate Regionally restricted euxassay_005059_07 smooth muscle
TS23: smooth muscle tissue Present euxassay_005059_07
TS23: bladder wall Moderate Regionally restricted euxassay_005059_07

Specimen euxassay_005059_08: embryonic day 14.5 (more )
Note: Additional information for this specimen was included in the Eurexpress data submission file.
Structure Level Pattern Image Note
TS23: upper jaw incisor Strong Regionally restricted euxassay_005059_08
TS23: lower jaw incisor Strong Regionally restricted euxassay_005059_08
TS23: trigeminal nerve Moderate Regionally restricted euxassay_005059_08
TS23: brain Strong Uniform euxassay_005059_08
TS23: spinal cord Strong Uniform euxassay_005059_08
TS23: dorsal root ganglion Strong Regionally restricted euxassay_005059_08
TS23: rectum Moderate Regionally restricted euxassay_005059_08 smooth muscle
TS23: stomach Moderate Regionally restricted euxassay_005059_08 smooth muscle
TS23: smooth muscle tissue Present euxassay_005059_08
TS23: midgut loop Moderate Regionally restricted euxassay_005059_08 smooth muscle
TS23: midgut Moderate Regionally restricted euxassay_005059_08 smooth muscle
TS23: hindgut Moderate Regionally restricted euxassay_005059_08 smooth muscle
TS23: bladder wall Moderate Regionally restricted euxassay_005059_08

Specimen euxassay_005059_09: embryonic day 14.5 (more )
Note: Additional information for this specimen was included in the Eurexpress data submission file.
Structure Level Pattern Image Note
TS23: brain Strong Uniform euxassay_005059_09
TS23: spinal cord Strong Uniform euxassay_005059_09
TS23: rectum Moderate Regionally restricted euxassay_005059_09 smooth muscle
TS23: midgut Moderate Regionally restricted euxassay_005059_09 smooth muscle
TS23: midgut loop Moderate Regionally restricted euxassay_005059_09 smooth muscle
TS23: hindgut Moderate Regionally restricted euxassay_005059_09 smooth muscle
TS23: smooth muscle tissue Present euxassay_005059_09
TS23: bladder wall Moderate Regionally restricted euxassay_005059_09

Specimen euxassay_005059_10: embryonic day 14.5 (more )
Note: Additional information for this specimen was included in the Eurexpress data submission file.
Structure Level Pattern Image Note
TS23: lower jaw incisor Strong Regionally restricted euxassay_005059_10
TS23: brain Strong Uniform euxassay_005059_10
TS23: spinal cord Strong Uniform euxassay_005059_10
TS23: dorsal root ganglion Strong Regionally restricted euxassay_005059_10
TS23: midgut Moderate Regionally restricted euxassay_005059_10 smooth muscle
TS23: smooth muscle tissue Present euxassay_005059_10
TS23: bladder wall Moderate Regionally restricted euxassay_005059_10

Specimen euxassay_005059_11: embryonic day 14.5 (more )
Note: Additional information for this specimen was included in the Eurexpress data submission file.
Structure Level Pattern Image Note
TS23: lower jaw incisor Strong Regionally restricted euxassay_005059_11
TS23: brain Strong Uniform euxassay_005059_11
TS23: spinal cord Strong Uniform euxassay_005059_11
TS23: dorsal root ganglion Strong Regionally restricted euxassay_005059_11
TS23: clavicle Moderate Regionally restricted euxassay_005059_11
TS23: midgut Moderate Regionally restricted euxassay_005059_11 smooth muscle
TS23: smooth muscle tissue Present euxassay_005059_11

Specimen euxassay_005059_12: embryonic day 14.5 (more )
Structure Level Pattern Image Note
TS23: lower jaw incisor Strong Regionally restricted euxassay_005059_12
TS23: upper jaw incisor Strong Regionally restricted euxassay_005059_12
TS23: brain Strong Uniform euxassay_005059_12
TS23: spinal cord Strong Uniform euxassay_005059_12
TS23: dorsal root ganglion Strong Regionally restricted euxassay_005059_12
TS23: clavicle Moderate Regionally restricted euxassay_005059_12

Specimen euxassay_005059_13: embryonic day 14.5 (more )
Structure Level Pattern Image Note
TS23: mandible Strong Regionally restricted euxassay_005059_13
TS23: maxilla Strong Regionally restricted euxassay_005059_13
TS23: trigeminal nerve Moderate Regionally restricted euxassay_005059_13
TS23: vagus ganglion Moderate Regionally restricted euxassay_005059_13
TS23: brain Strong Uniform euxassay_005059_13
TS23: dorsal root ganglion Strong Regionally restricted euxassay_005059_13

Specimen euxassay_005059_14: embryonic day 14.5 (more )
Structure Level Pattern Image Note
TS23: maxilla Strong Regionally restricted euxassay_005059_14
TS23: mandible Strong Regionally restricted euxassay_005059_14
TS23: vagus ganglion Strong Regionally restricted euxassay_005059_14
TS23: trigeminal nerve Moderate Regionally restricted euxassay_005059_14
TS23: brain Strong Uniform euxassay_005059_14
TS23: dorsal root ganglion Strong Regionally restricted euxassay_005059_14

Specimen euxassay_005059_15: embryonic day 14.5 (more )
Structure Level Pattern Image Note
TS23: maxilla Strong Regionally restricted euxassay_005059_15
TS23: mandible Strong Regionally restricted euxassay_005059_15
TS23: vestibulo-cochlear ganglion Moderate Regionally restricted euxassay_005059_15
TS23: trigeminal ganglion Moderate Regionally restricted euxassay_005059_15
TS23: glossopharyngeal ganglion Moderate Regionally restricted euxassay_005059_15
TS23: brain Strong Uniform euxassay_005059_15

Specimen euxassay_005059_16: embryonic day 14.5 (more )
Structure Level Pattern Image Note
TS23: mandible Strong Regionally restricted euxassay_005059_16
TS23: maxilla Strong Regionally restricted euxassay_005059_16
TS23: trigeminal ganglion Strong Regionally restricted euxassay_005059_16
TS23: vestibulo-cochlear ganglion Moderate Regionally restricted euxassay_005059_16
TS23: brain Strong Uniform euxassay_005059_16

Specimen euxassay_005059_17: embryonic day 14.5 (more )
Structure Level Pattern Image Note
TS23: maxilla Strong Regionally restricted euxassay_005059_17
TS23: mandible Strong Regionally restricted euxassay_005059_17
TS23: trigeminal ganglion Strong Regionally restricted euxassay_005059_17
TS23: facial ganglion Strong Regionally restricted euxassay_005059_17
TS23: brain Strong Uniform euxassay_005059_17

Specimen euxassay_005059_18: embryonic day 14.5 (more )
Structure Level Pattern Image Note
TS23: mandible Strong Regionally restricted euxassay_005059_18
TS23: maxilla Strong Regionally restricted euxassay_005059_18
TS23: trigeminal ganglion Strong Regionally restricted euxassay_005059_18
TS23: facial ganglion Strong Regionally restricted euxassay_005059_18
TS23: brain Strong Uniform euxassay_005059_18

Specimen euxassay_005059_19: embryonic day 14.5 (more )
Structure Level Pattern Image Note
TS23: mandible Strong Regionally restricted euxassay_005059_19
TS23: trigeminal ganglion Strong Regionally restricted euxassay_005059_19
TS23: brain Strong Uniform euxassay_005059_19
TS23: orbito-sphenoid Moderate Regionally restricted euxassay_005059_19

Specimen euxassay_005059_20: embryonic day 14.5 (more )
Structure Level Pattern Image Note
TS23: trigeminal ganglion Strong Regionally restricted euxassay_005059_20
TS23: brain Strong Uniform euxassay_005059_20
TS23: orbito-sphenoid Strong Regionally restricted euxassay_005059_20

Specimen euxassay_005059_21: embryonic day 14.5 (more )
Structure Level Pattern Image Note
TS23: brain Strong Uniform euxassay_005059_21
TS23: orbito-sphenoid Moderate Regionally restricted euxassay_005059_21

Specimen euxassay_005059_22: embryonic day 14.5 (more )
Structure Level Pattern Image Note
TS23: brain Moderate Regionally restricted euxassay_005059_22
TS23: orbito-sphenoid Moderate Regionally restricted euxassay_005059_22

Specimen euxassay_005059_23: embryonic day 14.5 (more )
Structure Level Pattern Image Note
TS23: brain Moderate Regionally restricted euxassay_005059_23


Contributing Projects:
Mouse Genome Database (MGD), Gene Expression Database (GXD), Mouse Models of Human Cancer database (MMHCdb) (formerly Mouse Tumor Biology (MTB)), Gene Ontology (GO)
Citing These Resources
Funding Information
Warranty Disclaimer, Privacy Notice, Licensing, & Copyright
Send questions and comments to User Support.
last database update
01/20/2026
MGI 6.24
The Jackson Laboratory