About   Help   FAQ
Gene Expression Data
Assay Details
Assay
Reference: J:153498 Diez-Roux G, et al., A high-resolution anatomical atlas of the transcriptome in the mouse embryo. PLoS Biol. 2011;9(1):e1000582
Assay type: RNA in situ
MGI Accession ID: MGI:4829123
Gene symbol: Usf1
Gene name: upstream transcription factor 1
Probe: T30439
Probe preparation: Antisense labelled with digoxigenin RNA
Visualized with: Alkaline phosphatase
Assay notes: Cryosections of fresh frozen material were fixed in 4% paraformaldehyde for 20 min. before further processing. A tyramide-biotin/streptavidin amplification step was included in the in situ hybridization procedure.
Results
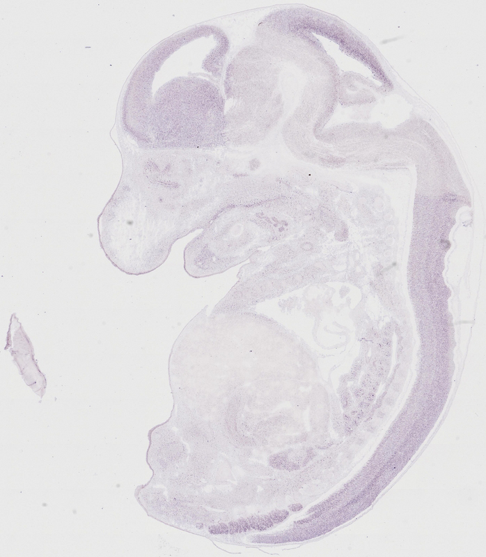
Specimen euxassay_012287_01: embryonic day 14.5 (more )
Structure Level Pattern Image Note
TS23: neural retina Weak Regionally restricted euxassay_012287_01
TS23: forebrain Weak Uniform euxassay_012287_01

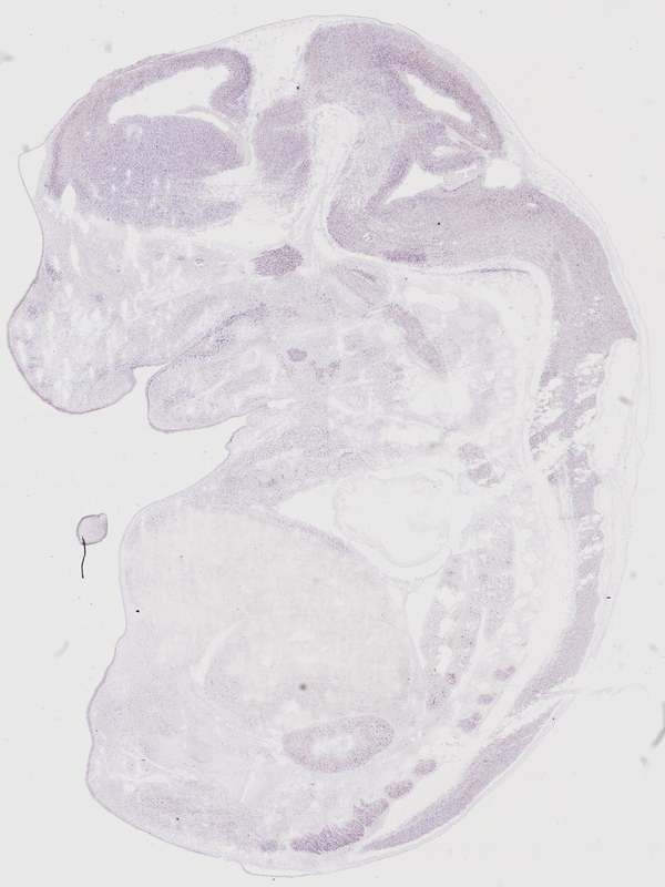
Specimen euxassay_012287_02: embryonic day 14.5 (more )
Structure Level Pattern Image Note
TS23: trigeminal ganglion Moderate Regionally restricted euxassay_012287_02
TS23: forebrain Weak Uniform euxassay_012287_02

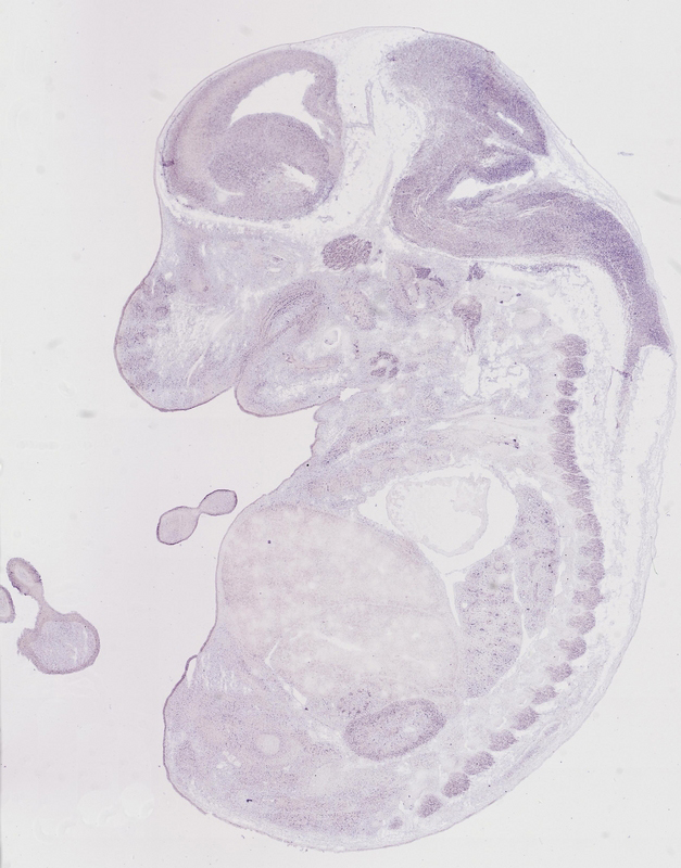
Specimen euxassay_012287_03: embryonic day 14.5 (more )
Structure Level Pattern Image Note
TS23: trigeminal ganglion Moderate Regionally restricted euxassay_012287_03
TS23: forebrain Weak Uniform euxassay_012287_03
TS23: hindbrain Weak Uniform euxassay_012287_03

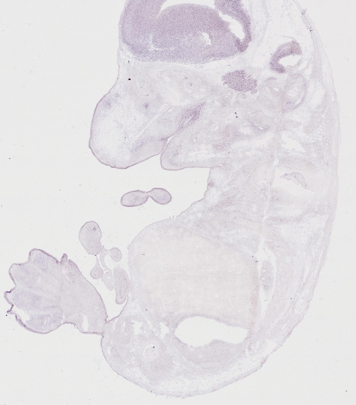
Specimen euxassay_012287_04: embryonic day 14.5 (more )
Structure Level Pattern Image Note
TS23: trigeminal ganglion Weak Regionally restricted euxassay_012287_04
TS23: hindbrain Weak Uniform euxassay_012287_04
TS23: forebrain Weak Uniform euxassay_012287_04
TS23: upper jaw molar Weak Regionally restricted euxassay_012287_04
TS23: lower jaw molar Weak Regionally restricted euxassay_012287_04

Specimen euxassay_012287_05: embryonic day 14.5 (more )
Structure Level Pattern Image Note
TS23: trigeminal ganglion Moderate Regionally restricted euxassay_012287_05
TS23: facial ganglion Moderate Regionally restricted euxassay_012287_05
TS23: hindbrain Weak Uniform euxassay_012287_05
TS23: forebrain Weak Uniform euxassay_012287_05
TS23: upper jaw molar Weak Regionally restricted euxassay_012287_05
TS23: lower jaw molar Weak Regionally restricted euxassay_012287_05

Specimen euxassay_012287_06: embryonic day 14.5 (more )
Structure Level Pattern Image Note
TS23: trigeminal ganglion Moderate Regionally restricted euxassay_012287_06
TS23: hindbrain Weak Uniform euxassay_012287_06
TS23: forebrain Weak Uniform euxassay_012287_06
TS23: testis Weak Regionally restricted euxassay_012287_06

Specimen euxassay_012287_07: embryonic day 14.5 (more )
Structure Level Pattern Image Note
TS23: trigeminal ganglion Weak Regionally restricted euxassay_012287_07
TS23: vestibulo-cochlear ganglion Weak Regionally restricted euxassay_012287_07
TS23: glossopharyngeal ganglion Weak Regionally restricted euxassay_012287_07
TS23: trigeminal nerve Weak Regionally restricted euxassay_012287_07
TS23: submandibular gland primordium Moderate Regionally restricted euxassay_012287_07
TS23: hindbrain Weak Uniform euxassay_012287_07
TS23: forebrain Weak Uniform euxassay_012287_07
TS23: midbrain Weak Uniform euxassay_012287_07
TS23: renal cortex Weak Regionally restricted euxassay_012287_07
TS23: testis Moderate Regionally restricted euxassay_012287_07

Specimen euxassay_012287_08: embryonic day 14.5 (more )
Structure Level Pattern Image Note
TS23: glossopharyngeal ganglion Weak Regionally restricted euxassay_012287_08
TS23: vestibulo-cochlear ganglion Weak Regionally restricted euxassay_012287_08
TS23: submandibular gland primordium Weak Regionally restricted euxassay_012287_08
TS23: hindbrain Weak Uniform euxassay_012287_08
TS23: forebrain Weak Uniform euxassay_012287_08
TS23: midbrain Weak Uniform euxassay_012287_08
TS23: renal cortex Weak Regionally restricted euxassay_012287_08
TS23: testis Weak Regionally restricted euxassay_012287_08
TS23: upper jaw incisor Weak Regionally restricted euxassay_012287_08

Specimen euxassay_012287_09: embryonic day 14.5 (more )
Structure Level Pattern Image Note
TS23: submandibular gland primordium Weak Regionally restricted euxassay_012287_09
TS23: midbrain Weak Uniform euxassay_012287_09
TS23: hindbrain Weak Uniform euxassay_012287_09
TS23: forebrain Weak Uniform euxassay_012287_09
TS23: renal cortex Weak Regionally restricted euxassay_012287_09
TS23: lower jaw incisor Weak Regionally restricted euxassay_012287_09

Specimen euxassay_012287_10: embryonic day 14.5 (more )
Structure Level Pattern Image Note
TS23: dorsal root ganglion Moderate Regionally restricted euxassay_012287_10
TS23: midbrain Weak Uniform euxassay_012287_10
TS23: hindbrain Weak Uniform euxassay_012287_10
TS23: forebrain Weak Uniform euxassay_012287_10
TS23: renal cortex Weak Regionally restricted euxassay_012287_10

Specimen euxassay_012287_11: embryonic day 14.5 (more )
Structure Level Pattern Image Note
TS23: dorsal root ganglion Moderate Regionally restricted euxassay_012287_11
TS23: midbrain Weak Uniform euxassay_012287_11
TS23: hindbrain Weak Uniform euxassay_012287_11
TS23: forebrain Weak Uniform euxassay_012287_11
TS23: spinal cord Weak Uniform euxassay_012287_11

Specimen euxassay_012287_12: embryonic day 14.5 (more )
Structure Level Pattern Image Note
TS23: spinal cord Weak Uniform euxassay_012287_12
TS23: midbrain Weak Uniform euxassay_012287_12
TS23: hindbrain Weak Uniform euxassay_012287_12
TS23: forebrain Weak Uniform euxassay_012287_12
TS23: lower jaw incisor Weak Regionally restricted euxassay_012287_12
TS23: upper jaw incisor Weak Regionally restricted euxassay_012287_12

Specimen euxassay_012287_13: embryonic day 14.5 (more )
Structure Level Pattern Image Note
TS23: spinal cord Weak Uniform euxassay_012287_13
TS23: midbrain Weak Uniform euxassay_012287_13
TS23: hindbrain Weak Uniform euxassay_012287_13
TS23: forebrain Weak Uniform euxassay_012287_13
TS23: lower jaw incisor Weak Regionally restricted euxassay_012287_13

Specimen euxassay_012287_14: embryonic day 14.5 (more )
Structure Level Pattern Image Note
TS23: spinal cord Weak Uniform euxassay_012287_14
TS23: midbrain Weak Uniform euxassay_012287_14
TS23: hindbrain Weak Uniform euxassay_012287_14
TS23: forebrain Weak Uniform euxassay_012287_14

Specimen euxassay_012287_15: embryonic day 14.5 (more )
Structure Level Pattern Image Note
TS23: trigeminal ganglion Weak Regionally restricted euxassay_012287_15
TS23: trigeminal nerve Weak Regionally restricted euxassay_012287_15
TS23: dorsal root ganglion Moderate Regionally restricted euxassay_012287_15
TS23: spinal cord Weak Uniform euxassay_012287_15
TS23: midbrain Weak Uniform euxassay_012287_15
TS23: hindbrain Weak Uniform euxassay_012287_15
TS23: forebrain Weak Uniform euxassay_012287_15
TS23: renal cortex Weak Regionally restricted euxassay_012287_15

Specimen euxassay_012287_16: embryonic day 14.5 (more )
Structure Level Pattern Image Note
TS23: trigeminal ganglion Weak Regionally restricted euxassay_012287_16
TS23: dorsal root ganglion Moderate Regionally restricted euxassay_012287_16
TS23: submandibular gland primordium Weak Regionally restricted euxassay_012287_16
TS23: spinal cord Weak Uniform euxassay_012287_16
TS23: hindbrain Weak Uniform euxassay_012287_16
TS23: forebrain Weak Uniform euxassay_012287_16
TS23: midbrain Weak Uniform euxassay_012287_16
TS23: renal cortex Weak Regionally restricted euxassay_012287_16

Specimen euxassay_012287_17: embryonic day 14.5 (more )
Structure Level Pattern Image Note
TS23: trigeminal ganglion Moderate Regionally restricted euxassay_012287_17
TS23: vestibulo-cochlear ganglion Moderate Regionally restricted euxassay_012287_17
TS23: glossopharyngeal ganglion Moderate Regionally restricted euxassay_012287_17
TS23: dorsal root ganglion Moderate Regionally restricted euxassay_012287_17
TS23: submandibular gland primordium Moderate Regionally restricted euxassay_012287_17
TS23: spinal cord Weak Uniform euxassay_012287_17
TS23: midbrain Weak Uniform euxassay_012287_17
TS23: hindbrain Weak Uniform euxassay_012287_17
TS23: forebrain Weak Uniform euxassay_012287_17
TS23: renal cortex Weak Regionally restricted euxassay_012287_17
TS23: testis Weak Regionally restricted euxassay_012287_17
TS23: upper jaw molar Weak Regionally restricted euxassay_012287_17
TS23: lower jaw molar Weak Regionally restricted euxassay_012287_17

Specimen euxassay_012287_18: embryonic day 14.5 (more )
Structure Level Pattern Image Note
TS23: vestibulo-cochlear ganglion Moderate Regionally restricted euxassay_012287_18
TS23: trigeminal ganglion Moderate Regionally restricted euxassay_012287_18
TS23: glossopharyngeal ganglion Moderate Regionally restricted euxassay_012287_18
TS23: dorsal root ganglion Moderate Regionally restricted euxassay_012287_18
TS23: forebrain Weak Uniform euxassay_012287_18
TS23: hindbrain Weak Uniform euxassay_012287_18
TS23: midbrain Weak Uniform euxassay_012287_18
TS23: renal cortex Weak Regionally restricted euxassay_012287_18
TS23: testis Moderate Regionally restricted euxassay_012287_18

Specimen euxassay_012287_19: embryonic day 14.5 (more )
Structure Level Pattern Image Note
TS23: trigeminal ganglion Moderate Regionally restricted euxassay_012287_19
TS23: facial ganglion Moderate Regionally restricted euxassay_012287_19
TS23: dorsal root ganglion Moderate Regionally restricted euxassay_012287_19
TS23: midbrain Weak Uniform euxassay_012287_19
TS23: hindbrain Weak Uniform euxassay_012287_19
TS23: forebrain Weak Uniform euxassay_012287_19
TS23: renal cortex Weak Regionally restricted euxassay_012287_19
TS23: testis Moderate Regionally restricted euxassay_012287_19

Specimen euxassay_012287_20: embryonic day 14.5 (more )
Structure Level Pattern Image Note
TS23: trigeminal ganglion Moderate Regionally restricted euxassay_012287_20
TS23: facial ganglion Moderate Regionally restricted euxassay_012287_20
TS23: neural retina Moderate Regionally restricted euxassay_012287_20
TS23: hindbrain Weak Uniform euxassay_012287_20
TS23: forebrain Weak Uniform euxassay_012287_20
TS23: testis Weak Regionally restricted euxassay_012287_20

Specimen euxassay_012287_21: embryonic day 14.5 (more )
Structure Level Pattern Image Note
TS23: trigeminal ganglion Moderate Regionally restricted euxassay_012287_21
TS23: neural retina Moderate Regionally restricted euxassay_012287_21
TS23: hindbrain Weak Uniform euxassay_012287_21
TS23: forebrain Weak Uniform euxassay_012287_21

Specimen euxassay_012287_22: embryonic day 14.5 (more )
Structure Level Pattern Image Note
TS23: neural retina Weak Regionally restricted euxassay_012287_22
TS23: forebrain Weak Uniform euxassay_012287_22


Contributing Projects:
Mouse Genome Database (MGD), Gene Expression Database (GXD), Mouse Models of Human Cancer database (MMHCdb) (formerly Mouse Tumor Biology (MTB)), Gene Ontology (GO)
Citing These Resources
Funding Information
Warranty Disclaimer, Privacy Notice, Licensing, & Copyright
Send questions and comments to User Support.
last database update
12/30/2025
MGI 6.24
The Jackson Laboratory