About   Help   FAQ
Gene Expression Data
Assay Details
Assay
Reference: J:153498 Diez-Roux G, et al., A high-resolution anatomical atlas of the transcriptome in the mouse embryo. PLoS Biol. 2011;9(1):e1000582
Assay type: RNA in situ
MGI Accession ID: MGI:4828593
Gene symbol: Tal1
Gene name: T cell acute lymphocytic leukemia 1
Probe: MGC clone 67020
Probe preparation: Antisense labelled with digoxigenin RNA
Visualized with: Alkaline phosphatase
Assay notes: Cryosections of fresh frozen material were fixed in 4% paraformaldehyde for 20 min. before further processing. A tyramide-biotin/streptavidin amplification step was included in the in situ hybridization procedure.
Results
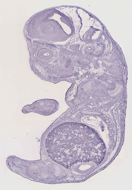
Specimen euxassay_007171_01: embryonic day 14.5 (more )
Structure Level Pattern Image Note
TS23: liver left lobe Moderate Regionally restricted euxassay_007171_01

Specimen euxassay_007171_02: embryonic day 14.5 (more )
Structure Level Pattern Image Note
TS23: liver left lobe Moderate Regionally restricted euxassay_007171_02

Specimen euxassay_007171_03: embryonic day 14.5 (more )
Structure Level Pattern Image Note
TS23: liver left lobe Moderate Regionally restricted euxassay_007171_03

Specimen euxassay_007171_04: embryonic day 14.5 (more )
Structure Level Pattern Image Note
TS23: liver left lobe Moderate Regionally restricted euxassay_007171_04

Specimen euxassay_007171_05: embryonic day 14.5 (more )
Structure Level Pattern Image Note
TS23: liver left lobe Moderate Regionally restricted euxassay_007171_05
TS23: midbrain mantle layer Moderate Regionally restricted euxassay_007171_05

Specimen euxassay_007171_06: embryonic day 14.5 (more )
Structure Level Pattern Image Note
TS23: liver left lobe Moderate Regionally restricted euxassay_007171_06
TS23: midbrain mantle layer Moderate Regionally restricted euxassay_007171_06
TS23: pons mantle layer Weak Regionally restricted euxassay_007171_06

Specimen euxassay_007171_07: embryonic day 14.5 (more )
Structure Level Pattern Image Note
TS23: liver left lobe Moderate Regionally restricted euxassay_007171_07
TS23: diencephalon lateral wall mantle layer Moderate Regionally restricted euxassay_007171_07
TS23: midbrain mantle layer Moderate Regionally restricted euxassay_007171_07
TS23: pons mantle layer Weak Regionally restricted euxassay_007171_07

Specimen euxassay_007171_08: embryonic day 14.5 (more )
Structure Level Pattern Image Note
TS23: liver left lobe Moderate Regionally restricted euxassay_007171_08
TS23: diencephalon lateral wall mantle layer Moderate Regionally restricted euxassay_007171_08
TS23: midbrain mantle layer Moderate Regionally restricted euxassay_007171_08
TS23: pons mantle layer Weak Regionally restricted euxassay_007171_08

Specimen euxassay_007171_09: embryonic day 14.5 (more )
Structure Level Pattern Image Note
TS23: liver left lobe Moderate Regionally restricted euxassay_007171_09
TS23: diencephalon lateral wall mantle layer Moderate Regionally restricted euxassay_007171_09
TS23: midbrain mantle layer Moderate Regionally restricted euxassay_007171_09
TS23: pons mantle layer Moderate Regionally restricted euxassay_007171_09
TS23: medulla oblongata basal plate mantle layer Weak Regionally restricted euxassay_007171_09

Specimen euxassay_007171_10: embryonic day 14.5 (more )
Structure Level Pattern Image Note
TS23: liver left lobe Moderate Regionally restricted euxassay_007171_10
TS23: diencephalon lateral wall mantle layer Moderate Regionally restricted euxassay_007171_10
TS23: midbrain mantle layer Moderate Regionally restricted euxassay_007171_10
TS23: pons mantle layer Moderate Regionally restricted euxassay_007171_10
TS23: medulla oblongata basal plate mantle layer Weak Regionally restricted euxassay_007171_10

Specimen euxassay_007171_11: embryonic day 14.5 (more )
Structure Level Pattern Image Note
TS23: liver left lobe Moderate Regionally restricted euxassay_007171_11
TS23: diencephalon lateral wall mantle layer Moderate Regionally restricted euxassay_007171_11
TS23: midbrain mantle layer Moderate Regionally restricted euxassay_007171_11
TS23: pons mantle layer Moderate Regionally restricted euxassay_007171_11
TS23: medulla oblongata basal plate mantle layer Moderate Regionally restricted euxassay_007171_11

Specimen euxassay_007171_12: embryonic day 14.5 (more )
Structure Level Pattern Image Note
TS23: liver left lobe Moderate Regionally restricted euxassay_007171_12
TS23: diencephalon lateral wall mantle layer Moderate Regionally restricted euxassay_007171_12
TS23: midbrain mantle layer Moderate Regionally restricted euxassay_007171_12
TS23: pons mantle layer Moderate Regionally restricted euxassay_007171_12
TS23: medulla oblongata basal plate mantle layer Moderate Regionally restricted euxassay_007171_12
TS23: ventral grey horn Weak Regionally restricted euxassay_007171_12

Specimen euxassay_007171_13: embryonic day 14.5 (more )
Structure Level Pattern Image Note
TS23: liver left lobe Moderate Regionally restricted euxassay_007171_13
TS23: midbrain mantle layer Moderate Regionally restricted euxassay_007171_13
TS23: pons mantle layer Moderate Regionally restricted euxassay_007171_13
TS23: medulla oblongata basal plate mantle layer Moderate Regionally restricted euxassay_007171_13
TS23: ventral grey horn Weak Regionally restricted euxassay_007171_13

Specimen euxassay_007171_14: embryonic day 14.5 (more )
Structure Level Pattern Image Note
TS23: liver left lobe Moderate Regionally restricted euxassay_007171_14
TS23: diencephalon lateral wall mantle layer Moderate Regionally restricted euxassay_007171_14
TS23: midbrain mantle layer Moderate Regionally restricted euxassay_007171_14
TS23: pons mantle layer Moderate Regionally restricted euxassay_007171_14
TS23: medulla oblongata basal plate mantle layer Moderate Regionally restricted euxassay_007171_14
TS23: ventral grey horn Weak Regionally restricted euxassay_007171_14

Specimen euxassay_007171_15: embryonic day 14.5 (more )
Structure Level Pattern Image Note
TS23: liver right lobe Moderate Regionally restricted euxassay_007171_15
TS23: diencephalon lateral wall mantle layer Moderate Regionally restricted euxassay_007171_15
TS23: midbrain mantle layer Moderate Regionally restricted euxassay_007171_15
TS23: pons mantle layer Moderate Regionally restricted euxassay_007171_15
TS23: medulla oblongata basal plate mantle layer Moderate Regionally restricted euxassay_007171_15
TS23: ventral grey horn Weak Regionally restricted euxassay_007171_15

Specimen euxassay_007171_16: embryonic day 14.5 (more )
Structure Level Pattern Image Note
TS23: liver right lobe Moderate Regionally restricted euxassay_007171_16
TS23: diencephalon lateral wall mantle layer Moderate Regionally restricted euxassay_007171_16
TS23: midbrain mantle layer Moderate Regionally restricted euxassay_007171_16
TS23: pons mantle layer Moderate Regionally restricted euxassay_007171_16
TS23: medulla oblongata basal plate mantle layer Moderate Regionally restricted euxassay_007171_16
TS23: ventral grey horn Weak Regionally restricted euxassay_007171_16

Specimen euxassay_007171_17: embryonic day 14.5 (more )
Structure Level Pattern Image Note
TS23: liver right lobe Moderate Regionally restricted euxassay_007171_17
TS23: diencephalon lateral wall mantle layer Moderate Regionally restricted euxassay_007171_17
TS23: midbrain mantle layer Moderate Regionally restricted euxassay_007171_17
TS23: pons mantle layer Moderate Regionally restricted euxassay_007171_17
TS23: medulla oblongata basal plate mantle layer Moderate Regionally restricted euxassay_007171_17
TS23: ventral grey horn Weak Regionally restricted euxassay_007171_17

Specimen euxassay_007171_18: embryonic day 14.5 (more )
Structure Level Pattern Image Note
TS23: liver right lobe Moderate Regionally restricted euxassay_007171_18
TS23: diencephalon lateral wall mantle layer Moderate Regionally restricted euxassay_007171_18
TS23: midbrain mantle layer Moderate Regionally restricted euxassay_007171_18
TS23: pons mantle layer Moderate Regionally restricted euxassay_007171_18
TS23: medulla oblongata basal plate mantle layer Moderate Regionally restricted euxassay_007171_18
TS23: ventral grey horn Weak Regionally restricted euxassay_007171_18

Specimen euxassay_007171_19: embryonic day 14.5 (more )
Structure Level Pattern Image Note
TS23: liver right lobe Moderate Regionally restricted euxassay_007171_19
TS23: diencephalon lateral wall mantle layer Moderate Regionally restricted euxassay_007171_19
TS23: midbrain mantle layer Moderate Regionally restricted euxassay_007171_19
TS23: ventral grey horn Weak Regionally restricted euxassay_007171_19

Specimen euxassay_007171_20: embryonic day 14.5 (more )
Structure Level Pattern Image Note
TS23: liver right lobe Moderate Regionally restricted euxassay_007171_20
TS23: midbrain mantle layer Weak Regionally restricted euxassay_007171_20

Specimen euxassay_007171_21: embryonic day 14.5 (more )
Structure Level Pattern Image Note
TS23: liver right lobe Moderate Regionally restricted euxassay_007171_21

Specimen euxassay_007171_22: embryonic day 14.5 (more )
Structure Level Pattern Image Note
TS23: liver right lobe Moderate Regionally restricted euxassay_007171_22

Specimen euxassay_007171_23: embryonic day 14.5 (more )
Structure Level Pattern Image Note
TS23: liver right lobe Moderate Regionally restricted euxassay_007171_23


Contributing Projects:
Mouse Genome Database (MGD), Gene Expression Database (GXD), Mouse Models of Human Cancer database (MMHCdb) (formerly Mouse Tumor Biology (MTB)), Gene Ontology (GO)
Citing These Resources
Funding Information
Warranty Disclaimer, Privacy Notice, Licensing, & Copyright
Send questions and comments to User Support.
last database update
01/20/2026
MGI 6.24
The Jackson Laboratory