About   Help   FAQ
Gene Expression Data
Assay Details
Assay
Reference: J:153498 Diez-Roux G, et al., A high-resolution anatomical atlas of the transcriptome in the mouse embryo. PLoS Biol. 2011;9(1):e1000582
Assay type: RNA in situ
MGI Accession ID: MGI:4828444
Gene symbol: Srp14
Gene name: signal recognition particle 14
Probe: IMAGE clone 2372828
Probe preparation: Antisense labelled with digoxigenin RNA
Visualized with: Alkaline phosphatase
Assay notes: Cryosections of fresh frozen material were fixed in 4% paraformaldehyde for 20 min. before further processing. A tyramide-biotin/streptavidin amplification step was included in the in situ hybridization procedure.
Results
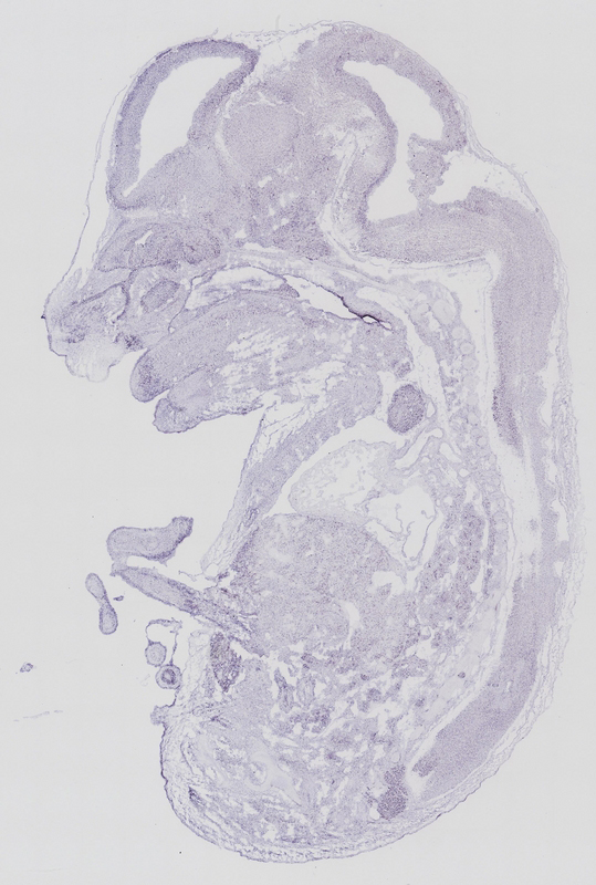
Specimen euxassay_001753_03: embryonic day 14.5 (more )
Structure Level Pattern Image Note
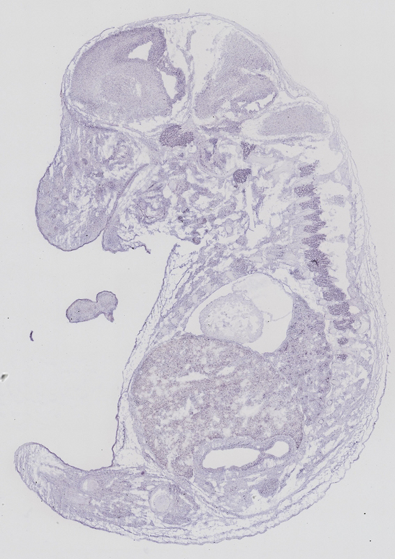
TS23: trigeminal ganglion Moderate Regionally restricted euxassay_001753_03

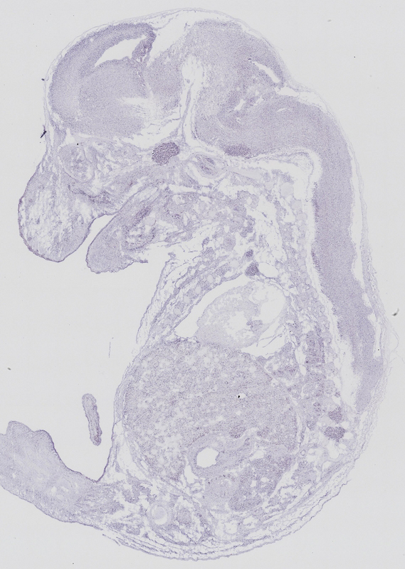
Specimen euxassay_001753_04: embryonic day 14.5 (more )
Structure Level Pattern Image Note
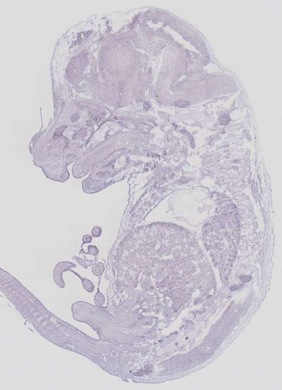
TS23: trigeminal ganglion Moderate Regionally restricted euxassay_001753_04
TS23: dorsal root ganglion Moderate Regionally restricted euxassay_001753_04

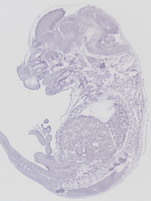
Specimen euxassay_001753_05: embryonic day 14.5 (more )
Structure Level Pattern Image Note
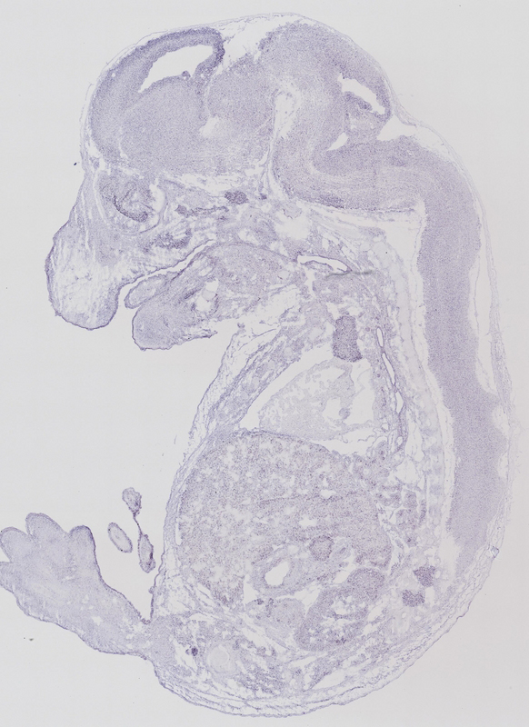
TS23: vestibulo-cochlear ganglion Moderate Regionally restricted euxassay_001753_05
TS23: trigeminal ganglion Moderate Regionally restricted euxassay_001753_05
TS23: glossopharyngeal ganglion Moderate Regionally restricted euxassay_001753_05
TS23: dorsal root ganglion Moderate Regionally restricted euxassay_001753_05

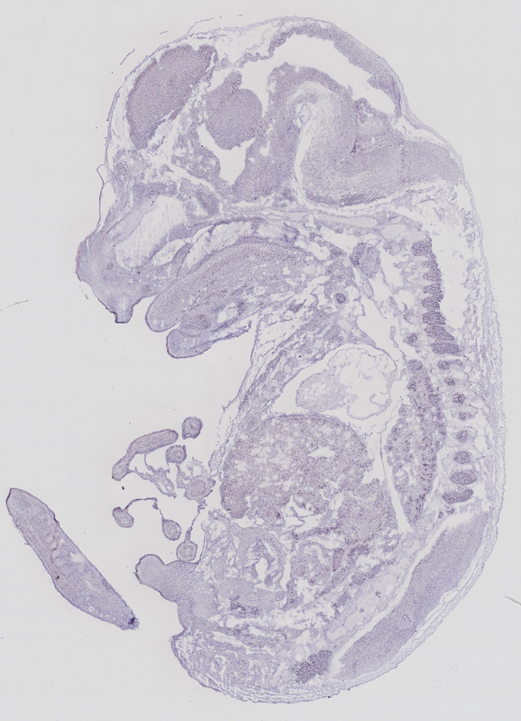
Specimen euxassay_001753_06: embryonic day 14.5 (more )
Structure Level Pattern Image Note
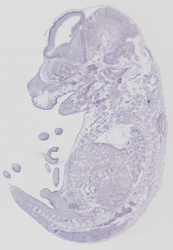
TS23: trigeminal ganglion Moderate Regionally restricted euxassay_001753_06
TS23: dorsal root ganglion Moderate Regionally restricted euxassay_001753_06

Specimen euxassay_001753_07: embryonic day 14.5 (more )
Structure Level Pattern Image Note
TS23: trigeminal ganglion Moderate Regionally restricted euxassay_001753_07

Specimen euxassay_001753_08: embryonic day 14.5 (more )
Structure Level Pattern Image Note
TS23: trigeminal ganglion Moderate Regionally restricted euxassay_001753_08
TS23: thymus primordium Weak Regionally restricted euxassay_001753_08

Specimen euxassay_001753_09: embryonic day 14.5 (more )
Structure Level Pattern Image Note
TS23: thymus primordium Weak Regionally restricted euxassay_001753_09

Specimen euxassay_001753_10: embryonic day 14.5 (more )
Structure Level Pattern Image Note
TS23: thymus primordium Weak Regionally restricted euxassay_001753_10

Specimen euxassay_001753_11: embryonic day 14.5 (more )
Structure Level Pattern Image Note
TS23: thymus primordium Weak Regionally restricted euxassay_001753_11

Specimen euxassay_001753_12: embryonic day 14.5 (more )
Structure Level Pattern Image Note
TS23: thymus primordium Weak Regionally restricted euxassay_001753_12

Specimen euxassay_001753_13: embryonic day 14.5 (more )
Structure Level Pattern Image Note
TS23: dorsal root ganglion Moderate Regionally restricted euxassay_001753_13

Specimen euxassay_001753_14: embryonic day 14.5 (more )
Structure Level Pattern Image Note
TS23: dorsal root ganglion Moderate Regionally restricted euxassay_001753_14

Specimen euxassay_001753_15: embryonic day 14.5 (more )
Structure Level Pattern Image Note
TS23: dorsal root ganglion Moderate Regionally restricted euxassay_001753_15

Specimen euxassay_001753_16: embryonic day 14.5 (more )
Structure Level Pattern Image Note
TS23: trigeminal ganglion Moderate Regionally restricted euxassay_001753_16
TS23: glossopharyngeal ganglion Moderate Regionally restricted euxassay_001753_16
TS23: dorsal root ganglion Moderate Regionally restricted euxassay_001753_16

Specimen euxassay_001753_17: embryonic day 14.5 (more )
Structure Level Pattern Image Note
TS23: trigeminal ganglion Moderate Regionally restricted euxassay_001753_17

Specimen euxassay_001753_18: embryonic day 14.5 (more )
Structure Level Pattern Image Note
TS23: trigeminal ganglion Moderate Regionally restricted euxassay_001753_18

Specimen euxassay_001753_19: embryonic day 14.5 (more )
Structure Level Pattern Image Note
TS23: trigeminal ganglion Moderate Regionally restricted euxassay_001753_19

Specimen euxassay_001753_20: embryonic day 14.5 (more )
Structure Level Pattern Image Note
TS23: trigeminal ganglion Moderate Regionally restricted euxassay_001753_20


Contributing Projects:
Mouse Genome Database (MGD), Gene Expression Database (GXD), Mouse Models of Human Cancer database (MMHCdb) (formerly Mouse Tumor Biology (MTB)), Gene Ontology (GO)
Citing These Resources
Funding Information
Warranty Disclaimer, Privacy Notice, Licensing, & Copyright
Send questions and comments to User Support.
last database update
01/28/2026
MGI 6.24
The Jackson Laboratory