About   Help   FAQ
Gene Expression Data
Assay Details
Assay
Reference: J:153498 Diez-Roux G, et al., A high-resolution anatomical atlas of the transcriptome in the mouse embryo. PLoS Biol. 2011;9(1):e1000582
Assay type: RNA in situ
MGI Accession ID: MGI:4828415
Gene symbol: Spire2
Gene name: spire type actin nucleation factor 2
Probe: IMAGE clone 821884
Probe preparation: Antisense labelled with digoxigenin RNA
Visualized with: Alkaline phosphatase
Assay notes: Cryosections of fresh frozen material were fixed in 4% paraformaldehyde for 20 min. before further processing. A tyramide-biotin/streptavidin amplification step was included in the in situ hybridization procedure.
Results
Specimen euxassay_000098_01: embryonic day 14.5 (more )
Structure Level Pattern Image Note
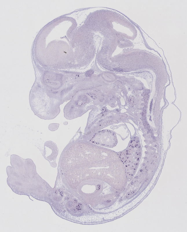
TS23: forelimb Weak Single cells euxassay_000098_01

Specimen euxassay_000098_02: embryonic day 14.5 (more )
Structure Level Pattern Image Note
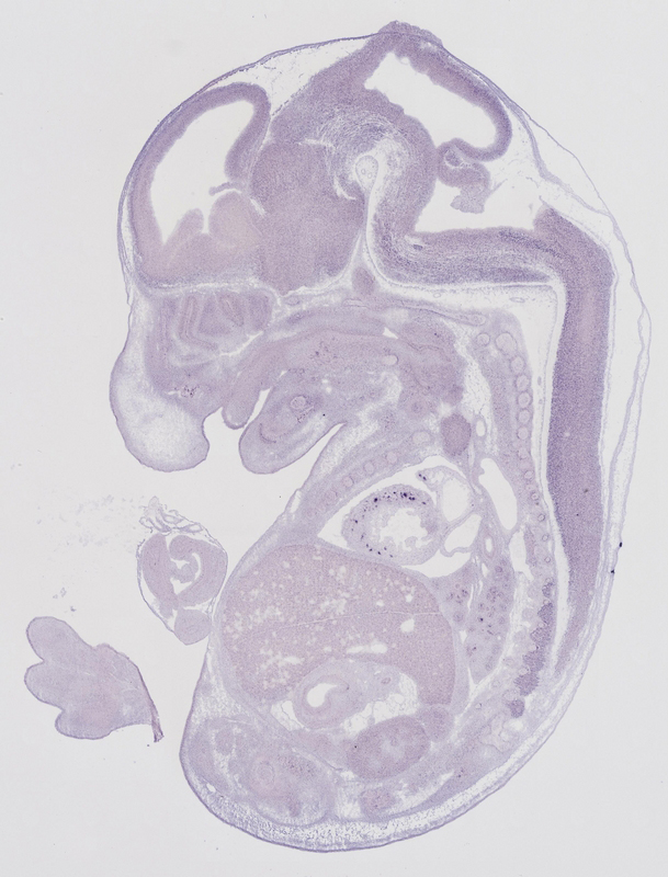
TS23: facial bone primordium Weak Regionally restricted euxassay_000098_02
TS23: frontal bone primordium Weak Regionally restricted euxassay_000098_02
TS23: trigeminal ganglion Weak Uniform euxassay_000098_02

Specimen euxassay_000098_03: embryonic day 14.5 (more )
Note: Additional information for this specimen was included in the Eurexpress data submission file.
Structure Level Pattern Image Note
TS23: thoracic segment skeleton Moderate Spotted euxassay_000098_03 periosteum
TS23: trigeminal ganglion Weak Spotted euxassay_000098_03

Specimen euxassay_000098_04: embryonic day 14.5 (more )
Structure Level Pattern Image Note
TS23: thoracic segment skeleton Moderate Single cells euxassay_000098_04

Specimen euxassay_000098_05: embryonic day 14.5 (more )
Structure Level Pattern Image Note
TS23: thoracic segment skeleton Moderate Single cells euxassay_000098_05
TS23: trigeminal ganglion Moderate Regionally restricted euxassay_000098_05
TS23: vagus ganglion Moderate Regionally restricted euxassay_000098_05
TS23: lung Moderate Spotted euxassay_000098_05

Specimen euxassay_000098_06: embryonic day 14.5 (more )
Structure Level Pattern Image Note
TS23: trigeminal ganglion Moderate Regionally restricted euxassay_000098_06
TS23: glossopharyngeal ganglion Moderate Regionally restricted euxassay_000098_06
TS23: vagus ganglion Moderate Regionally restricted euxassay_000098_06
TS23: vestibulo-cochlear ganglion Moderate Regionally restricted euxassay_000098_06
TS23: lung Moderate Spotted euxassay_000098_06

Specimen euxassay_000098_07: embryonic day 14.5 (more )
Structure Level Pattern Image Note
TS23: lung Strong Spotted euxassay_000098_07
TS23: dorsal root ganglion Strong Spotted euxassay_000098_07
TS23: facial ganglion Strong Spotted euxassay_000098_07
TS23: vestibulo-cochlear ganglion Strong Spotted euxassay_000098_07
TS23: vagus ganglion Strong Spotted euxassay_000098_07
TS23: trigeminal ganglion Strong Spotted euxassay_000098_07
TS23: glossopharyngeal ganglion Strong Spotted euxassay_000098_07
TS23: heart ventricle Strong Single cells euxassay_000098_07
TS23: left ventricle endocardial lining Strong Single cells euxassay_000098_07
TS23: hindlimb Weak Single cells euxassay_000098_07
TS23: leg Weak Single cells euxassay_000098_07

Specimen euxassay_000098_08: embryonic day 14.5 (more )
Structure Level Pattern Image Note
TS23: leg Moderate Regionally restricted euxassay_000098_08
TS23: hip Moderate Regionally restricted euxassay_000098_08
TS23: left ventricle endocardial lining Strong Regionally restricted euxassay_000098_08
TS23: trigeminal ganglion Strong Regionally restricted euxassay_000098_08
TS23: dorsal root ganglion Strong Regionally restricted euxassay_000098_08
TS23: vestibulo-cochlear ganglion Strong Regionally restricted euxassay_000098_08
TS23: glossopharyngeal ganglion Strong Regionally restricted euxassay_000098_08
TS23: lung Strong Single cells euxassay_000098_08
TS23: stomach fundus mesenchyme Moderate Single cells euxassay_000098_08

Specimen euxassay_000098_09: embryonic day 14.5 (more )
Structure Level Pattern Image Note
TS23: heart ventricle Weak Single cells euxassay_000098_09

Specimen euxassay_000098_10: embryonic day 14.5 (more )
Structure Level Pattern Image Note
TS23: heart ventricle Strong Single cells euxassay_000098_10
TS23: left ventricle endocardial lining Strong Single cells euxassay_000098_10

Specimen euxassay_000098_11: embryonic day 14.5 (more )
Structure Level Pattern Image Note
TS23: heart left ventricle Strong Single cells euxassay_000098_11
TS23: heart right ventricle Strong Single cells euxassay_000098_11
TS23: dorsal root ganglion Weak Uniform euxassay_000098_11
TS23: Meckel's cartilage Weak Regionally restricted euxassay_000098_11
TS23: lower jaw mesenchyme Weak Regionally restricted euxassay_000098_11
TS23: pituitary gland Strong Single cells euxassay_000098_11

Specimen euxassay_000098_12: embryonic day 14.5 (more )
Structure Level Pattern Image Note
TS23: pituitary gland Moderate Single cells euxassay_000098_12
TS23: interventricular groove Moderate Single cells euxassay_000098_12
TS23: heart ventricle Moderate Single cells euxassay_000098_12

Specimen euxassay_000098_13: embryonic day 14.5 (more )
Structure Level Pattern Image Note
TS23: spinal cord floor plate Weak Graded euxassay_000098_13

Specimen euxassay_000098_14: embryonic day 14.5 (more )
Structure Level Pattern Image Note
TS23: facial ganglion Moderate Single cells euxassay_000098_14
TS23: heart ventricle Moderate Single cells euxassay_000098_14
TS23: dorsal root ganglion Moderate Spotted euxassay_000098_14

Specimen euxassay_000098_15: embryonic day 14.5 (more )
Structure Level Pattern Image Note
TS23: urinary system mesenchyme Strong Regionally restricted euxassay_000098_15
TS23: urethra Moderate Uniform euxassay_000098_15 Originally this result was annotated to a male-specific term, but as the specimen was not sexed, it is likely the data annotator intended to use a non-sex specific term.
TS23: lung Moderate Single cells euxassay_000098_15
TS23: dorsal root ganglion Moderate Uniform euxassay_000098_15
TS23: heart ventricle Weak Single cells euxassay_000098_15
TS23: vagus ganglion Weak Regionally restricted euxassay_000098_15
TS23: glossopharyngeal ganglion Weak Regionally restricted euxassay_000098_15
TS23: lower jaw mesenchyme Weak Spotted euxassay_000098_15
TS23: mandible Weak Spotted euxassay_000098_15

Specimen euxassay_000098_16: embryonic day 14.5 (more )
Structure Level Pattern Image Note
TS23: urethra Moderate Uniform euxassay_000098_16 Originally this result was annotated to a male-specific term, but as the specimen was not sexed, it is likely the data annotator intended to use a non-sex specific term.
TS23: urethral fold Moderate Uniform euxassay_000098_16 Expression is present in the urethral groove. (Originally this result was annotated to a male-specific term, but as the specimen was not sexed, it is likely the data annotator intended to use a non-sex specific term.)
TS23: oral region gland Moderate Uniform euxassay_000098_16
TS23: submandibular gland primordium Moderate Uniform euxassay_000098_16
TS23: lung Moderate Spotted euxassay_000098_16
TS23: trigeminal ganglion Moderate Spotted euxassay_000098_16

Specimen euxassay_000098_17: embryonic day 14.5 (more )
Structure Level Pattern Image Note
TS23: trigeminal ganglion Strong Regionally restricted euxassay_000098_17
TS23: lung Weak Spotted euxassay_000098_17
TS23: submandibular gland primordium Weak Regionally restricted euxassay_000098_17
TS23: mandible Moderate Regionally restricted euxassay_000098_17
TS23: dorsal root ganglion Moderate Uniform euxassay_000098_17

Specimen euxassay_000098_18: embryonic day 14.5 (more )
Structure Level Pattern Image Note
TS23: trigeminal ganglion Moderate Regionally restricted euxassay_000098_18
TS23: glossopharyngeal ganglion Moderate Regionally restricted euxassay_000098_18
TS23: dorsal root ganglion Moderate Regionally restricted euxassay_000098_18
TS23: mandible Moderate Regionally restricted euxassay_000098_18
TS23: lower jaw mesenchyme Moderate Regionally restricted euxassay_000098_18
TS23: lung Weak Single cells euxassay_000098_18

Specimen euxassay_000098_19: embryonic day 14.5 (more )
Structure Level Pattern Image Note
TS23: trigeminal ganglion Weak Uniform euxassay_000098_19
TS23: glossopharyngeal ganglion Weak Uniform euxassay_000098_19
TS23: lung Weak Spotted euxassay_000098_19
TS23: dorsal root ganglion Weak Uniform euxassay_000098_19

Specimen euxassay_000098_20: embryonic day 14.5 (more )
Structure Level Pattern Image Note
TS23: trigeminal ganglion Strong Uniform euxassay_000098_20
TS23: dorsal root ganglion Moderate Uniform euxassay_000098_20

Specimen euxassay_000098_21: embryonic day 14.5 (more )
Note: Additional information for this specimen was included in the Eurexpress data submission file.
Structure Level Pattern Image Note
TS23: trigeminal ganglion Strong Uniform euxassay_000098_21
TS23: rib Weak Regionally restricted euxassay_000098_21 periosteum

Specimen euxassay_000098_23: embryonic day 14.5 (more )
Structure Level Pattern Image Note
TS23: thoracic segment skeleton Weak Single cells euxassay_000098_23


Contributing Projects:
Mouse Genome Database (MGD), Gene Expression Database (GXD), Mouse Models of Human Cancer database (MMHCdb) (formerly Mouse Tumor Biology (MTB)), Gene Ontology (GO)
Citing These Resources
Funding Information
Warranty Disclaimer, Privacy Notice, Licensing, & Copyright
Send questions and comments to User Support.
last database update
12/30/2025
MGI 6.24
The Jackson Laboratory