About   Help   FAQ
Gene Expression Data
Assay Details
Assay
Reference: J:153498 Diez-Roux G, et al., A high-resolution anatomical atlas of the transcriptome in the mouse embryo. PLoS Biol. 2011;9(1):e1000582
Assay type: RNA in situ
MGI Accession ID: MGI:4828219
Gene symbol: Slc39a1
Gene name: solute carrier family 39 (zinc transporter), member 1
Probe: MGC clone 6744
Probe preparation: Antisense labelled with digoxigenin RNA
Visualized with: Alkaline phosphatase
Assay notes: Cryosections of fresh frozen material were fixed in 4% paraformaldehyde for 20 min. before further processing. A tyramide-biotin/streptavidin amplification step was included in the in situ hybridization procedure.
Results
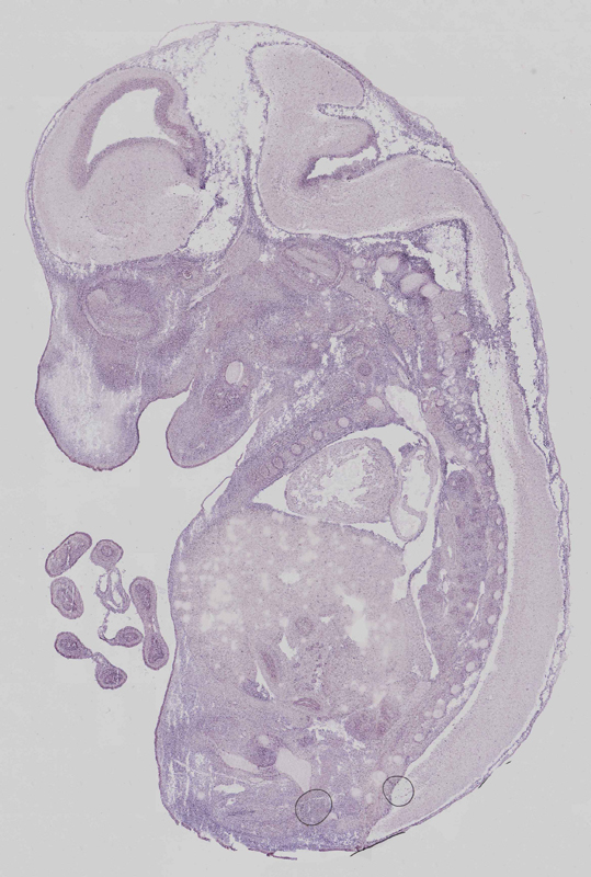
Specimen euxassay_004867_01: embryonic day 14.5 (more )
Structure Level Pattern Image Note
TS23: telencephalon ventricular layer Moderate Uniform euxassay_004867_01

Specimen euxassay_004867_02: embryonic day 14.5 (more )
Structure Level Pattern Image Note
TS23: telencephalon ventricular layer Moderate Uniform euxassay_004867_02

Specimen euxassay_004867_03: embryonic day 14.5 (more )
Structure Level Pattern Image Note
TS23: telencephalon ventricular layer Moderate Uniform euxassay_004867_03

Specimen euxassay_004867_04: embryonic day 14.5 (more )
Structure Level Pattern Image Note
TS23: telencephalon ventricular layer Moderate Uniform euxassay_004867_04
TS23: rest of cerebellum ventricular layer Moderate Uniform euxassay_004867_04

Specimen euxassay_004867_05: embryonic day 14.5 (more )
Structure Level Pattern Image Note
TS23: telencephalon ventricular layer Moderate Uniform euxassay_004867_05
TS23: rest of cerebellum ventricular layer Moderate Uniform euxassay_004867_05

Specimen euxassay_004867_06: embryonic day 14.5 (more )
Structure Level Pattern Image Note
TS23: telencephalon ventricular layer Moderate Uniform euxassay_004867_06
TS23: rest of cerebellum ventricular layer Moderate Uniform euxassay_004867_06

Specimen euxassay_004867_07: embryonic day 14.5 (more )
Structure Level Pattern Image Note
TS23: telencephalon ventricular layer Moderate Uniform euxassay_004867_07
TS23: pons ventricular layer Moderate Uniform euxassay_004867_07
TS23: rest of cerebellum ventricular layer Moderate Uniform euxassay_004867_07
TS23: midbrain ventricular layer Moderate Uniform euxassay_004867_07

Specimen euxassay_004867_08: embryonic day 14.5 (more )
Structure Level Pattern Image Note
TS23: telencephalon ventricular layer Moderate Uniform euxassay_004867_08
TS23: pons ventricular layer Moderate Uniform euxassay_004867_08
TS23: rest of cerebellum ventricular layer Moderate Uniform euxassay_004867_08
TS23: midbrain ventricular layer Moderate Uniform euxassay_004867_08

Specimen euxassay_004867_09: embryonic day 14.5 (more )
Structure Level Pattern Image Note
TS23: telencephalon ventricular layer Moderate Uniform euxassay_004867_09
TS23: olfactory cortex ventricular layer Moderate Uniform euxassay_004867_09
TS23: pons ventricular layer Strong Uniform euxassay_004867_09
TS23: midbrain ventricular layer Moderate Uniform euxassay_004867_09
TS23: medulla oblongata basal plate ventricular layer Moderate Uniform euxassay_004867_09

Specimen euxassay_004867_10: embryonic day 14.5 (more )
Structure Level Pattern Image Note
TS23: telencephalon ventricular layer Moderate Uniform euxassay_004867_10
TS23: olfactory cortex ventricular layer Moderate Uniform euxassay_004867_10
TS23: pons ventricular layer Strong Uniform euxassay_004867_10
TS23: midbrain ventricular layer Moderate Uniform euxassay_004867_10
TS23: medulla oblongata basal plate ventricular layer Moderate Uniform euxassay_004867_10
TS23: diencephalon lateral wall ventricular layer Moderate Uniform euxassay_004867_10
TS23: hypothalamus ventricular layer Moderate Uniform euxassay_004867_10

Specimen euxassay_004867_11: embryonic day 14.5 (more )
Structure Level Pattern Image Note
TS23: pons ventricular layer Strong Uniform euxassay_004867_11
TS23: midbrain ventricular layer Moderate Uniform euxassay_004867_11
TS23: medulla oblongata basal plate ventricular layer Moderate Uniform euxassay_004867_11
TS23: hypothalamus ventricular layer Moderate Uniform euxassay_004867_11
TS23: diencephalon lateral wall ventricular layer Moderate Uniform euxassay_004867_11

Specimen euxassay_004867_12: embryonic day 14.5 (more )
Structure Level Pattern Image Note
TS23: telencephalon ventricular layer Moderate Uniform euxassay_004867_12
TS23: pons ventricular layer Strong Uniform euxassay_004867_12
TS23: midbrain ventricular layer Moderate Uniform euxassay_004867_12
TS23: medulla oblongata basal plate ventricular layer Strong Uniform euxassay_004867_12
TS23: hypothalamus ventricular layer Moderate Uniform euxassay_004867_12
TS23: diencephalon lateral wall ventricular layer Moderate Uniform euxassay_004867_12

Specimen euxassay_004867_13: embryonic day 14.5 (more )
Structure Level Pattern Image Note
TS23: telencephalon ventricular layer Moderate Uniform euxassay_004867_13
TS23: pons ventricular layer Strong Uniform euxassay_004867_13
TS23: midbrain ventricular layer Moderate Uniform euxassay_004867_13
TS23: medulla oblongata basal plate ventricular layer Strong Uniform euxassay_004867_13
TS23: hypothalamus ventricular layer Moderate Uniform euxassay_004867_13
TS23: diencephalon lateral wall ventricular layer Moderate Uniform euxassay_004867_13
TS23: thymus primordium Moderate Uniform euxassay_004867_13

Specimen euxassay_004867_14: embryonic day 14.5 (more )
Structure Level Pattern Image Note
TS23: olfactory cortex ventricular layer Moderate Uniform euxassay_004867_14
TS23: telencephalon ventricular layer Moderate Uniform euxassay_004867_14
TS23: pons ventricular layer Moderate Uniform euxassay_004867_14
TS23: midbrain ventricular layer Moderate Uniform euxassay_004867_14
TS23: medulla oblongata basal plate ventricular layer Strong Uniform euxassay_004867_14
TS23: hypothalamus ventricular layer Moderate Uniform euxassay_004867_14
TS23: spinal cord ventricular layer Strong Regionally restricted euxassay_004867_14
TS23: thymus primordium Moderate Uniform euxassay_004867_14

Specimen euxassay_004867_15: embryonic day 14.5 (more )
Structure Level Pattern Image Note
TS23: olfactory cortex ventricular layer Moderate Uniform euxassay_004867_15
TS23: telencephalon ventricular layer Moderate Uniform euxassay_004867_15
TS23: pons ventricular layer Moderate Uniform euxassay_004867_15
TS23: midbrain ventricular layer Moderate Uniform euxassay_004867_15
TS23: medulla oblongata basal plate ventricular layer Strong Uniform euxassay_004867_15
TS23: spinal cord ventricular layer Strong Regionally restricted euxassay_004867_15
TS23: thymus primordium Moderate Uniform euxassay_004867_15

Specimen euxassay_004867_16: embryonic day 14.5 (more )
Structure Level Pattern Image Note
TS23: telencephalon ventricular layer Moderate Uniform euxassay_004867_16
TS23: pons ventricular layer Moderate Uniform euxassay_004867_16
TS23: rest of cerebellum ventricular layer Moderate Uniform euxassay_004867_16
TS23: midbrain ventricular layer Moderate Uniform euxassay_004867_16
TS23: medulla oblongata basal plate ventricular layer Strong Uniform euxassay_004867_16
TS23: spinal cord ventricular layer Moderate Regionally restricted euxassay_004867_16
TS23: thymus primordium Moderate Uniform euxassay_004867_16

Specimen euxassay_004867_17: embryonic day 14.5 (more )
Structure Level Pattern Image Note
TS23: telencephalon ventricular layer Moderate Uniform euxassay_004867_17
TS23: rest of cerebellum ventricular layer Moderate Uniform euxassay_004867_17
TS23: pons ventricular layer Moderate Uniform euxassay_004867_17
TS23: spinal cord ventricular layer Moderate Regionally restricted euxassay_004867_17
TS23: thymus primordium Moderate Uniform euxassay_004867_17

Specimen euxassay_004867_18: embryonic day 14.5 (more )
Structure Level Pattern Image Note
TS23: telencephalon ventricular layer Moderate Uniform euxassay_004867_18
TS23: rest of cerebellum ventricular layer Moderate Uniform euxassay_004867_18

Specimen euxassay_004867_19: embryonic day 14.5 (more )
Structure Level Pattern Image Note
TS23: telencephalon ventricular layer Moderate Uniform euxassay_004867_19
TS23: rest of cerebellum ventricular layer Moderate Uniform euxassay_004867_19

Specimen euxassay_004867_20: embryonic day 14.5 (more )
Structure Level Pattern Image Note
TS23: telencephalon ventricular layer Moderate Uniform euxassay_004867_20
TS23: rest of cerebellum ventricular layer Moderate Uniform euxassay_004867_20

Specimen euxassay_004867_21: embryonic day 14.5 (more )
Structure Level Pattern Image Note
TS23: telencephalon ventricular layer Moderate Uniform euxassay_004867_21
TS23: rest of cerebellum ventricular layer Moderate Uniform euxassay_004867_21

Specimen euxassay_004867_22: embryonic day 14.5 (more )
Structure Level Pattern Image Note
TS23: telencephalon ventricular layer Moderate Uniform euxassay_004867_22


Contributing Projects:
Mouse Genome Database (MGD), Gene Expression Database (GXD), Mouse Models of Human Cancer database (MMHCdb) (formerly Mouse Tumor Biology (MTB)), Gene Ontology (GO)
Citing These Resources
Funding Information
Warranty Disclaimer, Privacy Notice, Licensing, & Copyright
Send questions and comments to User Support.
last database update
01/20/2026
MGI 6.24
The Jackson Laboratory