About   Help   FAQ
Gene Expression Data
Assay Details
Assay
Reference: J:153498 Diez-Roux G, et al., A high-resolution anatomical atlas of the transcriptome in the mouse embryo. PLoS Biol. 2011;9(1):e1000582
Assay type: RNA in situ
MGI Accession ID: MGI:4828101
Gene symbol: Slc13a4
Gene name: solute carrier family 13 (sodium/sulfate symporters), member 4
Probe: T56032
Probe preparation: Antisense labelled with digoxigenin RNA
Visualized with: Alkaline phosphatase
Assay notes: Cryosections of fresh frozen material were fixed in 4% paraformaldehyde for 20 min. before further processing. A tyramide-biotin/streptavidin amplification step was included in the in situ hybridization procedure.
Results
Specimen Table S6: embryonic day 14.5 (more )
Note: The probe used to generate this data was not specified; another gene-specific probe may have been used.
Structure Level Pattern Image Note
TS23: choroid plexus Moderate
TS23: brain meninges Strong

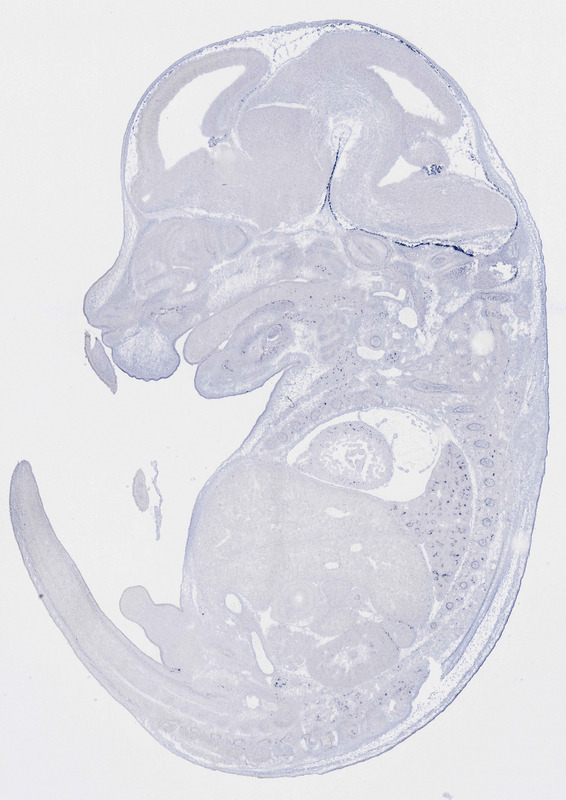
Specimen euxassay_019711_04: embryonic day 14.5 (more )
Structure Level Pattern Image Note
TS23: metencephalon part of 4th ventricle choroid plexus Moderate Regionally restricted euxassay_019711_04

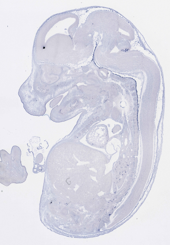
Specimen euxassay_019711_05: embryonic day 14.5 (more )
Structure Level Pattern Image Note
TS23: metencephalon part of 4th ventricle choroid plexus Moderate Regionally restricted euxassay_019711_05
TS23: lateral ventricle choroid plexus Moderate Regionally restricted euxassay_019711_05

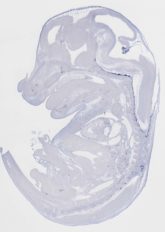
Specimen euxassay_019711_06: embryonic day 14.5 (more )
Structure Level Pattern Image Note
TS23: lateral ventricle choroid plexus Moderate Regionally restricted euxassay_019711_06
TS23: metencephalon part of 4th ventricle choroid plexus Moderate Regionally restricted euxassay_019711_06

Specimen euxassay_019711_07: embryonic day 14.5 (more )
Structure Level Pattern Image Note
TS23: metencephalon part of 4th ventricle choroid plexus Moderate Regionally restricted euxassay_019711_07
TS23: lateral ventricle choroid plexus Moderate Regionally restricted euxassay_019711_07
TS23: lung Weak Regionally restricted euxassay_019711_07

Specimen euxassay_019711_08: embryonic day 14.5 (more )
Structure Level Pattern Image Note
TS23: metencephalon part of 4th ventricle choroid plexus Moderate Regionally restricted euxassay_019711_08
TS23: lateral ventricle choroid plexus Moderate Regionally restricted euxassay_019711_08
TS23: lung Moderate Regionally restricted euxassay_019711_08

Specimen euxassay_019711_09: embryonic day 14.5 (more )
Structure Level Pattern Image Note
TS23: metencephalon part of 4th ventricle choroid plexus Moderate Regionally restricted euxassay_019711_09
TS23: lateral ventricle choroid plexus Moderate Regionally restricted euxassay_019711_09
TS23: lung Moderate Regionally restricted euxassay_019711_09

Specimen euxassay_019711_10: embryonic day 14.5 (more )
Structure Level Pattern Image Note
TS23: metencephalon part of 4th ventricle choroid plexus Moderate Regionally restricted euxassay_019711_10
TS23: lateral ventricle choroid plexus Moderate Regionally restricted euxassay_019711_10
TS23: lung Weak Regionally restricted euxassay_019711_10

Specimen euxassay_019711_11: embryonic day 14.5 (more )
Structure Level Pattern Image Note
TS23: metencephalon part of 4th ventricle choroid plexus Moderate Regionally restricted euxassay_019711_11
TS23: lung Weak Regionally restricted euxassay_019711_11

Specimen euxassay_019711_12: embryonic day 14.5 (more )
Structure Level Pattern Image Note
TS23: metencephalon part of 4th ventricle choroid plexus Moderate Regionally restricted euxassay_019711_12
TS23: lateral ventricle choroid plexus Moderate Regionally restricted euxassay_019711_12
TS23: lung Moderate Regionally restricted euxassay_019711_12
TS23: urethra Weak Regionally restricted euxassay_019711_12 Originally this result was annotated to a male-specific term, but as the specimen was not sexed, it is likely the data annotator intended to use a non-sex specific term.

Specimen euxassay_019711_13: embryonic day 14.5 (more )
Structure Level Pattern Image Note
TS23: metencephalon part of 4th ventricle choroid plexus Moderate Regionally restricted euxassay_019711_13
TS23: lateral ventricle choroid plexus Moderate Regionally restricted euxassay_019711_13
TS23: lung Weak Regionally restricted euxassay_019711_13
TS23: urethra Weak Regionally restricted euxassay_019711_13 Originally this result was annotated to a male-specific term, but as the specimen was not sexed, it is likely the data annotator intended to use a non-sex specific term.

Specimen euxassay_019711_14: embryonic day 14.5 (more )
Structure Level Pattern Image Note
TS23: metencephalon part of 4th ventricle choroid plexus Moderate Regionally restricted euxassay_019711_14
TS23: lateral ventricle choroid plexus Moderate Regionally restricted euxassay_019711_14
TS23: lung Weak Regionally restricted euxassay_019711_14

Specimen euxassay_019711_15: embryonic day 14.5 (more )
Structure Level Pattern Image Note
TS23: metencephalon part of 4th ventricle choroid plexus Moderate Regionally restricted euxassay_019711_15
TS23: lateral ventricle choroid plexus Moderate Regionally restricted euxassay_019711_15

Specimen euxassay_019711_16: embryonic day 14.5 (more )
Structure Level Pattern Image Note
TS23: metencephalon part of 4th ventricle choroid plexus Moderate Regionally restricted euxassay_019711_16
TS23: lateral ventricle choroid plexus Moderate Regionally restricted euxassay_019711_16
TS23: lung Weak Regionally restricted euxassay_019711_16

Specimen euxassay_019711_17: embryonic day 14.5 (more )
Structure Level Pattern Image Note
TS23: metencephalon part of 4th ventricle choroid plexus Moderate Regionally restricted euxassay_019711_17
TS23: lateral ventricle choroid plexus Moderate Regionally restricted euxassay_019711_17
TS23: lung Weak Regionally restricted euxassay_019711_17

Specimen euxassay_019711_18: embryonic day 14.5 (more )
Structure Level Pattern Image Note
TS23: metencephalon part of 4th ventricle choroid plexus Moderate Regionally restricted euxassay_019711_18
TS23: lateral ventricle choroid plexus Weak Regionally restricted euxassay_019711_18
TS23: lung Weak Regionally restricted euxassay_019711_18

Specimen euxassay_019711_19: embryonic day 14.5 (more )
Structure Level Pattern Image Note
TS23: metencephalon part of 4th ventricle choroid plexus Moderate Regionally restricted euxassay_019711_19
TS23: lateral ventricle choroid plexus Weak Regionally restricted euxassay_019711_19
TS23: lung Moderate Regionally restricted euxassay_019711_19

Specimen euxassay_019711_20: embryonic day 14.5 (more )
Structure Level Pattern Image Note
TS23: lateral ventricle choroid plexus Weak Regionally restricted euxassay_019711_20
TS23: metencephalon part of 4th ventricle choroid plexus Moderate Regionally restricted euxassay_019711_20
TS23: lung Moderate Regionally restricted euxassay_019711_20

Specimen euxassay_019711_21: embryonic day 14.5 (more )
Structure Level Pattern Image Note
TS23: metencephalon part of 4th ventricle choroid plexus Moderate Regionally restricted euxassay_019711_21
TS23: lung Weak Regionally restricted euxassay_019711_21

Specimen euxassay_019711_22: embryonic day 14.5 (more )
Structure Level Pattern Image Note
TS23: metencephalon part of 4th ventricle choroid plexus Moderate Regionally restricted euxassay_019711_22
TS23: lung Weak Regionally restricted euxassay_019711_22

Specimen euxassay_019711_23: embryonic day 14.5 (more )
Structure Level Pattern Image Note
TS23: metencephalon part of 4th ventricle choroid plexus Moderate Regionally restricted euxassay_019711_23
TS23: lung Weak Regionally restricted euxassay_019711_23

Specimen euxassay_019711_24: embryonic day 14.5 (more )
Structure Level Pattern Image Note
TS23: metencephalon part of 4th ventricle choroid plexus Weak Regionally restricted euxassay_019711_24
TS23: lung Moderate Regionally restricted euxassay_019711_24


Contributing Projects:
Mouse Genome Database (MGD), Gene Expression Database (GXD), Mouse Models of Human Cancer database (MMHCdb) (formerly Mouse Tumor Biology (MTB)), Gene Ontology (GO)
Citing These Resources
Funding Information
Warranty Disclaimer, Privacy Notice, Licensing, & Copyright
Send questions and comments to User Support.
last database update
01/06/2026
MGI 6.24
The Jackson Laboratory