About   Help   FAQ
Gene Expression Data
Assay Details
Assay
Reference: J:153498 Diez-Roux G, et al., A high-resolution anatomical atlas of the transcriptome in the mouse embryo. PLoS Biol. 2011;9(1):e1000582
Assay type: RNA in situ
MGI Accession ID: MGI:4828055
Gene symbol: Sem1
Gene name: SEM1, 26S proteasome complex subunit
Probe: MGC clone 31011
Probe preparation: Antisense labelled with digoxigenin RNA
Visualized with: Alkaline phosphatase
Assay notes: Cryosections of fresh frozen material were fixed in 4% paraformaldehyde for 20 min. before further processing. A tyramide-biotin/streptavidin amplification step was included in the in situ hybridization procedure.
Results
Specimen euxassay_002665_01: embryonic day 14.5 (more )
Structure Level Pattern Image Note
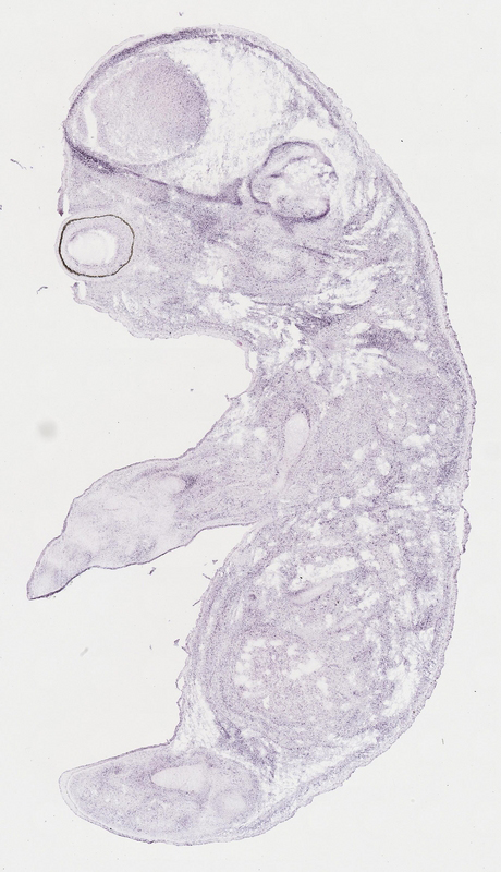
TS23: orbito-sphenoid Strong Regionally restricted euxassay_002665_01

Specimen euxassay_002665_02: embryonic day 14.5 (more )
Structure Level Pattern Image Note
TS23: orbito-sphenoid Strong Regionally restricted euxassay_002665_02
TS23: telencephalon ventricular layer Moderate Uniform euxassay_002665_02

Specimen euxassay_002665_03: embryonic day 14.5 (more )
Structure Level Pattern Image Note
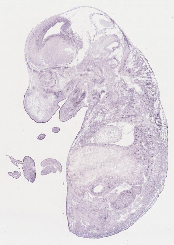
TS23: orbito-sphenoid Strong Regionally restricted euxassay_002665_03
TS23: telencephalon ventricular layer Moderate Uniform euxassay_002665_03
TS23: Meckel's cartilage Moderate Regionally restricted euxassay_002665_03

Specimen euxassay_002665_04: embryonic day 14.5 (more )
Structure Level Pattern Image Note
TS23: orbito-sphenoid Strong Regionally restricted euxassay_002665_04
TS23: telencephalon ventricular layer Moderate Uniform euxassay_002665_04
TS23: Meckel's cartilage Moderate Regionally restricted euxassay_002665_04

Specimen euxassay_002665_05: embryonic day 14.5 (more )
Structure Level Pattern Image Note
TS23: orbito-sphenoid Strong Regionally restricted euxassay_002665_05
TS23: telencephalon ventricular layer Moderate Uniform euxassay_002665_05
TS23: Meckel's cartilage Moderate Regionally restricted euxassay_002665_05

Specimen euxassay_002665_06: embryonic day 14.5 (more )
Structure Level Pattern Image Note
TS23: telencephalon ventricular layer Moderate Uniform euxassay_002665_06
TS23: upper jaw molar Moderate Regionally restricted euxassay_002665_06
TS23: Meckel's cartilage Moderate Regionally restricted euxassay_002665_06
TS23: lower jaw molar Moderate Regionally restricted euxassay_002665_06

Specimen euxassay_002665_07: embryonic day 14.5 (more )
Structure Level Pattern Image Note
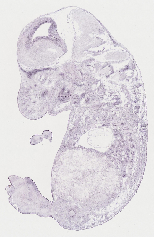
TS23: telencephalon ventricular layer Moderate Uniform euxassay_002665_07
TS23: upper jaw molar Moderate Regionally restricted euxassay_002665_07
TS23: lower jaw molar Moderate Regionally restricted euxassay_002665_07
TS23: Meckel's cartilage Moderate Regionally restricted euxassay_002665_07

Specimen euxassay_002665_08: embryonic day 14.5 (more )
Structure Level Pattern Image Note
TS23: telencephalon ventricular layer Moderate Uniform euxassay_002665_08
TS23: upper jaw molar Moderate Regionally restricted euxassay_002665_08
TS23: lower jaw molar Moderate Regionally restricted euxassay_002665_08
TS23: Meckel's cartilage Moderate Regionally restricted euxassay_002665_08

Specimen euxassay_002665_09: embryonic day 14.5 (more )
Structure Level Pattern Image Note
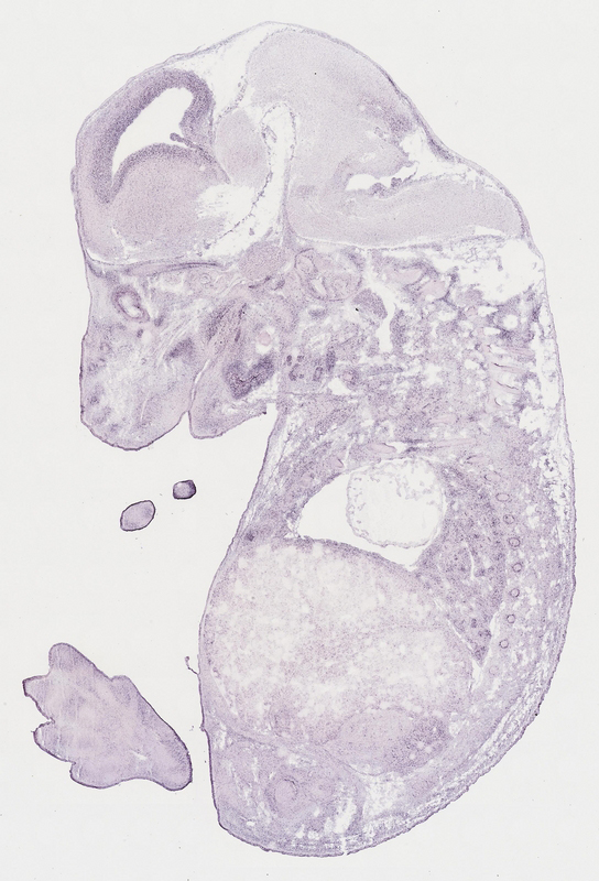
TS23: telencephalon ventricular layer Moderate Uniform euxassay_002665_09
TS23: midbrain ventricular layer Moderate Uniform euxassay_002665_09
TS23: lower jaw incisor Moderate Regionally restricted euxassay_002665_09
TS23: upper jaw incisor Moderate Regionally restricted euxassay_002665_09
TS23: Meckel's cartilage Moderate Regionally restricted euxassay_002665_09

Specimen euxassay_002665_10: embryonic day 14.5 (more )
Structure Level Pattern Image Note
TS23: telencephalon ventricular layer Moderate Uniform euxassay_002665_10
TS23: midbrain ventricular layer Moderate Uniform euxassay_002665_10
TS23: upper jaw incisor Moderate Regionally restricted euxassay_002665_10
TS23: lower jaw incisor Moderate Regionally restricted euxassay_002665_10
TS23: Meckel's cartilage Moderate Regionally restricted euxassay_002665_10

Specimen euxassay_002665_11: embryonic day 14.5 (more )
Structure Level Pattern Image Note
TS23: telencephalon ventricular layer Moderate Uniform euxassay_002665_11
TS23: midbrain ventricular layer Moderate Uniform euxassay_002665_11

Specimen euxassay_002665_12: embryonic day 14.5 (more )
Structure Level Pattern Image Note
TS23: telencephalon ventricular layer Moderate Uniform euxassay_002665_12
TS23: midbrain ventricular layer Moderate Uniform euxassay_002665_12

Specimen euxassay_002665_13: embryonic day 14.5 (more )
Structure Level Pattern Image Note
TS23: telencephalon ventricular layer Moderate Uniform euxassay_002665_13
TS23: midbrain ventricular layer Moderate Uniform euxassay_002665_13
TS23: upper jaw incisor Moderate Regionally restricted euxassay_002665_13
TS23: lower jaw incisor Moderate Regionally restricted euxassay_002665_13
TS23: Meckel's cartilage Moderate Regionally restricted euxassay_002665_13

Specimen euxassay_002665_14: embryonic day 14.5 (more )
Structure Level Pattern Image Note
TS23: olfactory cortex ventricular layer Moderate Uniform euxassay_002665_14
TS23: telencephalon ventricular layer Moderate Uniform euxassay_002665_14
TS23: midbrain ventricular layer Moderate Uniform euxassay_002665_14
TS23: upper jaw incisor Moderate Regionally restricted euxassay_002665_14
TS23: lower jaw incisor Moderate Regionally restricted euxassay_002665_14
TS23: Meckel's cartilage Moderate Regionally restricted euxassay_002665_14

Specimen euxassay_002665_15: embryonic day 14.5 (more )
Structure Level Pattern Image Note
TS23: telencephalon ventricular layer Moderate Uniform euxassay_002665_15
TS23: olfactory cortex ventricular layer Moderate Uniform euxassay_002665_15
TS23: midbrain ventricular layer Moderate Uniform euxassay_002665_15
TS23: upper jaw molar Moderate Regionally restricted euxassay_002665_15
TS23: lower jaw molar Moderate Regionally restricted euxassay_002665_15
TS23: Meckel's cartilage Moderate Regionally restricted euxassay_002665_15

Specimen euxassay_002665_16: embryonic day 14.5 (more )
Structure Level Pattern Image Note
TS23: telencephalon ventricular layer Moderate Uniform euxassay_002665_16
TS23: midbrain ventricular layer Moderate Uniform euxassay_002665_16
TS23: Meckel's cartilage Moderate Regionally restricted euxassay_002665_16
TS23: lower jaw molar Moderate Regionally restricted euxassay_002665_16
TS23: upper jaw molar Moderate Regionally restricted euxassay_002665_16

Specimen euxassay_002665_17: embryonic day 14.5 (more )
Structure Level Pattern Image Note
TS23: telencephalon ventricular layer Moderate Uniform euxassay_002665_17
TS23: midbrain ventricular layer Moderate Uniform euxassay_002665_17
TS23: Meckel's cartilage Moderate Regionally restricted euxassay_002665_17

Specimen euxassay_002665_18: embryonic day 14.5 (more )
Structure Level Pattern Image Note
TS23: telencephalon ventricular layer Moderate Uniform euxassay_002665_18
TS23: midbrain ventricular layer Moderate Uniform euxassay_002665_18
TS23: Meckel's cartilage Moderate Regionally restricted euxassay_002665_18

Specimen euxassay_002665_19: embryonic day 14.5 (more )
Structure Level Pattern Image Note
TS23: orbito-sphenoid Strong Regionally restricted euxassay_002665_19
TS23: telencephalon ventricular layer Moderate Uniform euxassay_002665_19
TS23: Meckel's cartilage Moderate Regionally restricted euxassay_002665_19

Specimen euxassay_002665_20: embryonic day 14.5 (more )
Structure Level Pattern Image Note
TS23: orbito-sphenoid Strong Regionally restricted euxassay_002665_20
TS23: telencephalon ventricular layer Moderate Uniform euxassay_002665_20
TS23: Meckel's cartilage Moderate Regionally restricted euxassay_002665_20

Specimen euxassay_002665_21: embryonic day 14.5 (more )
Structure Level Pattern Image Note
TS23: orbito-sphenoid Strong Regionally restricted euxassay_002665_21
TS23: telencephalon ventricular layer Moderate Uniform euxassay_002665_21
TS23: Meckel's cartilage Moderate Regionally restricted euxassay_002665_21

Specimen euxassay_002665_22: embryonic day 14.5 (more )
Structure Level Pattern Image Note
TS23: orbito-sphenoid Strong Regionally restricted euxassay_002665_22
TS23: telencephalon ventricular layer Moderate Uniform euxassay_002665_22
TS23: Meckel's cartilage Moderate Regionally restricted euxassay_002665_22

Specimen euxassay_002665_23: embryonic day 14.5 (more )
Structure Level Pattern Image Note
TS23: orbito-sphenoid Strong Regionally restricted euxassay_002665_23
TS23: telencephalon ventricular layer Moderate Uniform euxassay_002665_23

Specimen euxassay_002665_24: embryonic day 14.5 (more )
Structure Level Pattern Image Note
TS23: orbito-sphenoid Strong Regionally restricted euxassay_002665_24


Contributing Projects:
Mouse Genome Database (MGD), Gene Expression Database (GXD), Mouse Models of Human Cancer database (MMHCdb) (formerly Mouse Tumor Biology (MTB)), Gene Ontology (GO)
Citing These Resources
Funding Information
Warranty Disclaimer, Privacy Notice, Licensing, & Copyright
Send questions and comments to User Support.
last database update
12/30/2025
MGI 6.24
The Jackson Laboratory