About   Help   FAQ
Gene Expression Data
Assay Details
Assay
Reference: J:153498 Diez-Roux G, et al., A high-resolution anatomical atlas of the transcriptome in the mouse embryo. PLoS Biol. 2011;9(1):e1000582
Assay type: RNA in situ
MGI Accession ID: MGI:4828016
Gene symbol: Sftpc
Gene name: surfactant associated protein C
Probe: MGC clone 74269
Probe preparation: Antisense labelled with digoxigenin RNA
Visualized with: Alkaline phosphatase
Assay notes: Cryosections of fresh frozen material were fixed in 4% paraformaldehyde for 20 min. before further processing. A tyramide-biotin/streptavidin amplification step was included in the in situ hybridization procedure.
Results
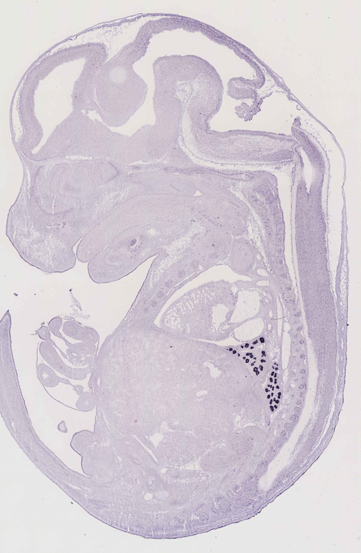
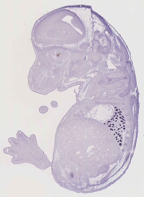
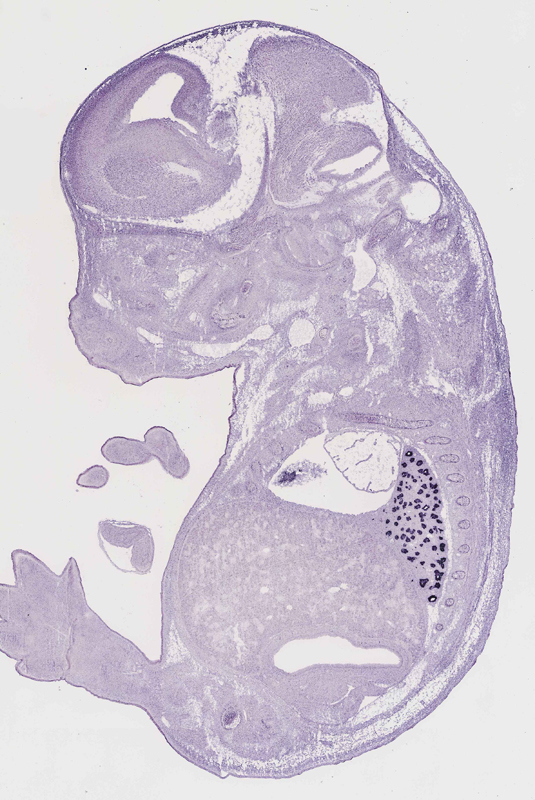
Specimen euxassay_006980_03: embryonic day 14.5 (more )
Structure Level Pattern Image Note
TS23: left lung Strong Regionally restricted euxassay_006980_03

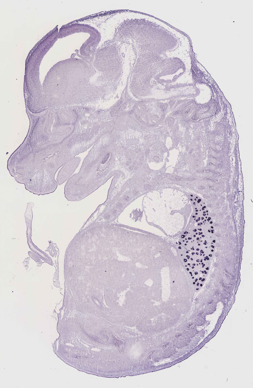
Specimen euxassay_006980_04: embryonic day 14.5 (more )
Structure Level Pattern Image Note
TS23: left lung Strong Regionally restricted euxassay_006980_04

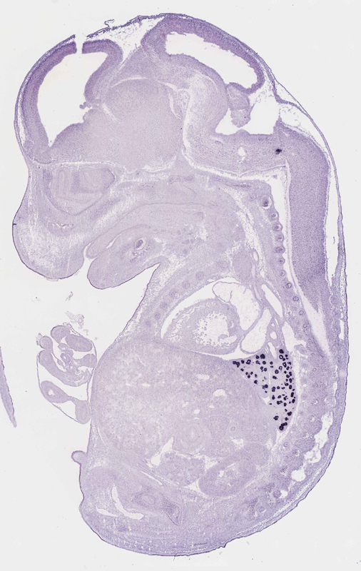
Specimen euxassay_006980_05: embryonic day 14.5 (more )
Structure Level Pattern Image Note
TS23: left lung Strong Regionally restricted euxassay_006980_05

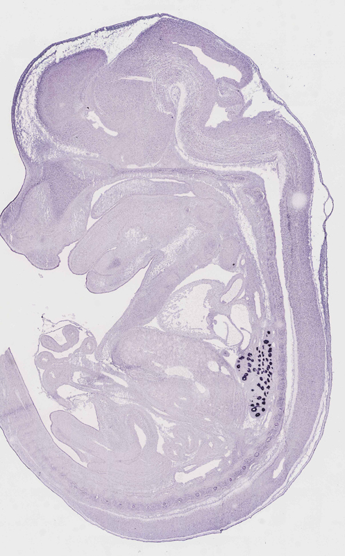
Specimen euxassay_006980_06: embryonic day 14.5 (more )
Structure Level Pattern Image Note
TS23: left lung Strong Regionally restricted euxassay_006980_06

Specimen euxassay_006980_07: embryonic day 14.5 (more )
Structure Level Pattern Image Note
TS23: left lung Strong Regionally restricted euxassay_006980_07

Specimen euxassay_006980_08: embryonic day 14.5 (more )
Structure Level Pattern Image Note
TS23: left lung Strong Regionally restricted euxassay_006980_08

Specimen euxassay_006980_09: embryonic day 14.5 (more )
Structure Level Pattern Image Note
TS23: left lung Strong Regionally restricted euxassay_006980_09

Specimen euxassay_006980_10: embryonic day 14.5 (more )
Structure Level Pattern Image Note
TS23: left lung Strong Regionally restricted euxassay_006980_10

Specimen euxassay_006980_11: embryonic day 14.5 (more )
Structure Level Pattern Image Note
TS23: left lung Strong Regionally restricted euxassay_006980_11

Specimen euxassay_006980_12: embryonic day 14.5 (more )
Structure Level Pattern Image Note
TS23: left lung Strong Regionally restricted euxassay_006980_12

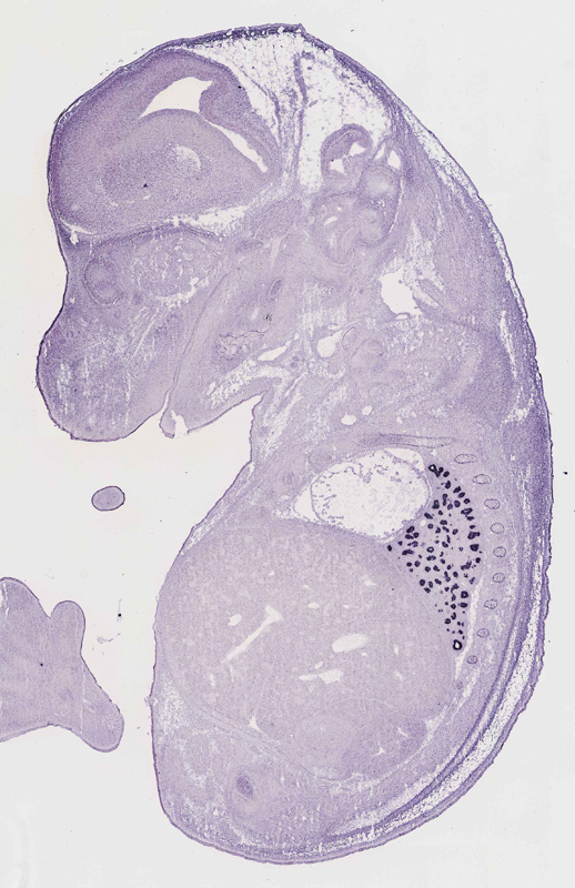
Specimen euxassay_006980_13: embryonic day 14.5 (more )
Structure Level Pattern Image Note
TS23: left lung Strong Regionally restricted euxassay_006980_13

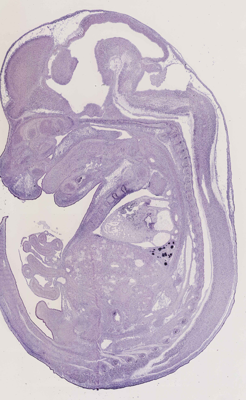
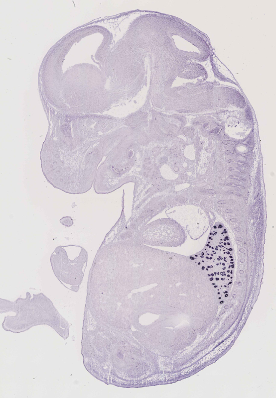
Specimen euxassay_006980_14: embryonic day 14.5 (more )
Structure Level Pattern Image Note
TS23: left lung Strong Regionally restricted euxassay_006980_14
TS23: right lung Strong Regionally restricted euxassay_006980_14

Specimen euxassay_006980_15: embryonic day 14.5 (more )
Structure Level Pattern Image Note
TS23: right lung Strong Regionally restricted euxassay_006980_15

Specimen euxassay_006980_16: embryonic day 14.5 (more )
Structure Level Pattern Image Note
TS23: right lung Strong Regionally restricted euxassay_006980_16

Specimen euxassay_006980_17: embryonic day 14.5 (more )
Structure Level Pattern Image Note
TS23: right lung Strong Regionally restricted euxassay_006980_17

Specimen euxassay_006980_18: embryonic day 14.5 (more )
Structure Level Pattern Image Note
TS23: right lung Strong Regionally restricted euxassay_006980_18

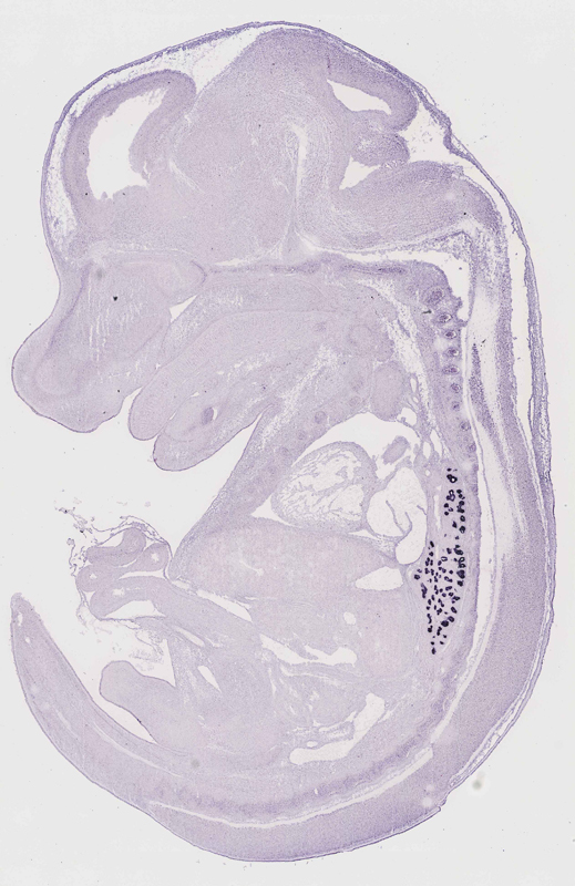
Specimen euxassay_006980_19: embryonic day 14.5 (more )
Structure Level Pattern Image Note
TS23: right lung Strong Regionally restricted euxassay_006980_19

Specimen euxassay_006980_20: embryonic day 14.5 (more )
Structure Level Pattern Image Note
TS23: right lung Strong Regionally restricted euxassay_006980_20

Specimen euxassay_006980_21: embryonic day 14.5 (more )
Structure Level Pattern Image Note
TS23: right lung Strong Regionally restricted euxassay_006980_21

Specimen euxassay_006980_22: embryonic day 14.5 (more )
Structure Level Pattern Image Note
TS23: right lung Strong Regionally restricted euxassay_006980_22

Specimen euxassay_006980_23: embryonic day 14.5 (more )
Structure Level Pattern Image Note
TS23: right lung Strong Regionally restricted euxassay_006980_23

Specimen euxassay_006980_24: embryonic day 14.5 (more )
Structure Level Pattern Image Note
TS23: right lung Strong Regionally restricted euxassay_006980_24


Contributing Projects:
Mouse Genome Database (MGD), Gene Expression Database (GXD), Mouse Models of Human Cancer database (MMHCdb) (formerly Mouse Tumor Biology (MTB)), Gene Ontology (GO)
Citing These Resources
Funding Information
Warranty Disclaimer, Privacy Notice, Licensing, & Copyright
Send questions and comments to User Support.
last database update
12/30/2025
MGI 6.24
The Jackson Laboratory