About   Help   FAQ
Gene Expression Data
Assay Details
Assay
Reference: J:153498 Diez-Roux G, et al., A high-resolution anatomical atlas of the transcriptome in the mouse embryo. PLoS Biol. 2011;9(1):e1000582
Assay type: RNA in situ
MGI Accession ID: MGI:4827953
Gene symbol: Senp5
Gene name: SUMO/sentrin specific peptidase 5
Probe: IMAGE clone 2647150
Probe preparation: Antisense labelled with digoxigenin RNA
Visualized with: Alkaline phosphatase
Assay notes: Cryosections of fresh frozen material were fixed in 4% paraformaldehyde for 20 min. before further processing. A tyramide-biotin/streptavidin amplification step was included in the in situ hybridization procedure.
Results
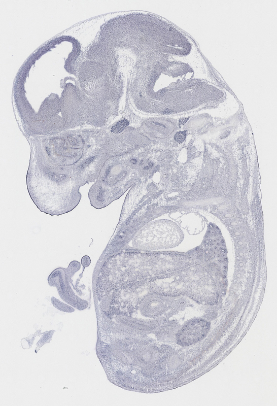
Specimen euxassay_001053_03: embryonic day 14.5 (more )
Structure Level Pattern Image Note
TS23: trigeminal ganglion Weak Uniform euxassay_001053_03

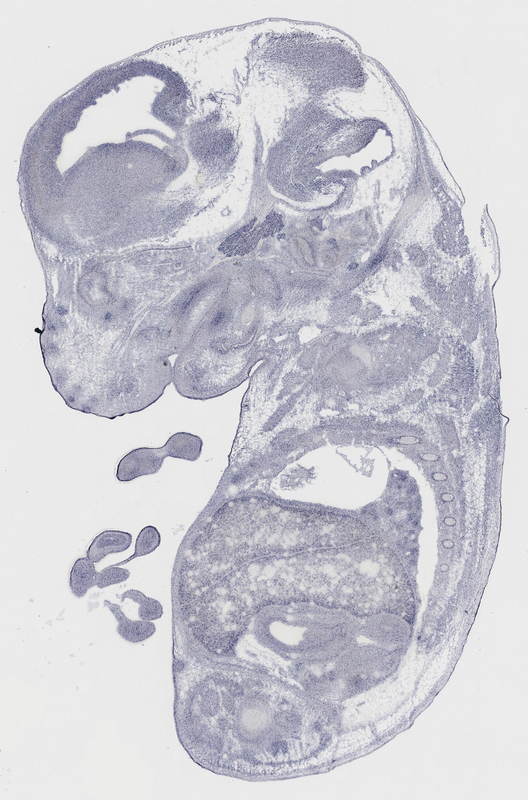
Specimen euxassay_001053_04: embryonic day 14.5 (more )
Structure Level Pattern Image Note
TS23: trigeminal ganglion Weak Uniform euxassay_001053_04
TS23: facial ganglion Weak Uniform euxassay_001053_04

Specimen euxassay_001053_05: embryonic day 14.5 (more )
Structure Level Pattern Image Note
TS23: trigeminal ganglion Weak Uniform euxassay_001053_05
TS23: facial ganglion Weak Uniform euxassay_001053_05

Specimen euxassay_001053_06: embryonic day 14.5 (more )
Structure Level Pattern Image Note
TS23: trigeminal ganglion Weak Uniform euxassay_001053_06
TS23: facial ganglion Weak Uniform euxassay_001053_06

Specimen euxassay_001053_07: embryonic day 14.5 (more )
Structure Level Pattern Image Note
TS23: trigeminal ganglion Weak Uniform euxassay_001053_07
TS23: glossopharyngeal ganglion Weak Uniform euxassay_001053_07

Specimen euxassay_001053_08: embryonic day 14.5 (more )
Structure Level Pattern Image Note
TS23: glossopharyngeal ganglion Weak Uniform euxassay_001053_08
TS23: trigeminal ganglion Weak Uniform euxassay_001053_08

Specimen euxassay_001053_09: embryonic day 14.5 (more )
Structure Level Pattern Image Note
TS23: dorsal root ganglion Weak Regionally restricted euxassay_001053_09
TS23: vagus ganglion Weak Uniform euxassay_001053_09

Specimen euxassay_001053_10: embryonic day 14.5 (more )
Structure Level Pattern Image Note
TS23: dorsal root ganglion Moderate Regionally restricted euxassay_001053_10

Specimen euxassay_001053_11: embryonic day 14.5 (more )
Structure Level Pattern Image Note
TS23: dorsal root ganglion Moderate Regionally restricted euxassay_001053_11

Specimen euxassay_001053_16: embryonic day 14.5 (more )
Structure Level Pattern Image Note
TS23: dorsal root ganglion Weak Regionally restricted euxassay_001053_16

Specimen euxassay_001053_17: embryonic day 14.5 (more )
Structure Level Pattern Image Note
TS23: dorsal root ganglion Moderate Regionally restricted euxassay_001053_17

Specimen euxassay_001053_18: embryonic day 14.5 (more )
Structure Level Pattern Image Note
TS23: dorsal root ganglion Moderate Regionally restricted euxassay_001053_18
TS23: trigeminal ganglion Weak Uniform euxassay_001053_18
TS23: vagus ganglion Weak Uniform euxassay_001053_18

Specimen euxassay_001053_19: embryonic day 14.5 (more )
Structure Level Pattern Image Note
TS23: dorsal root ganglion Moderate Regionally restricted euxassay_001053_19
TS23: glossopharyngeal ganglion Weak Uniform euxassay_001053_19
TS23: trigeminal ganglion Weak Uniform euxassay_001053_19

Specimen euxassay_001053_20: embryonic day 14.5 (more )
Structure Level Pattern Image Note
TS23: trigeminal ganglion Weak Uniform euxassay_001053_20
TS23: facial ganglion Weak Uniform euxassay_001053_20

Specimen euxassay_001053_21: embryonic day 14.5 (more )
Structure Level Pattern Image Note
TS23: trigeminal ganglion Weak Uniform euxassay_001053_21
TS23: facial ganglion Weak Uniform euxassay_001053_21

Specimen euxassay_001053_22: embryonic day 14.5 (more )
Structure Level Pattern Image Note
TS23: trigeminal ganglion Weak Uniform euxassay_001053_22


Contributing Projects:
Mouse Genome Database (MGD), Gene Expression Database (GXD), Mouse Models of Human Cancer database (MMHCdb) (formerly Mouse Tumor Biology (MTB)), Gene Ontology (GO)
Citing These Resources
Funding Information
Warranty Disclaimer, Privacy Notice, Licensing, & Copyright
Send questions and comments to User Support.
last database update
12/30/2025
MGI 6.24
The Jackson Laboratory