About   Help   FAQ
Gene Expression Data
Assay Details
Assay
Reference: J:153498 Diez-Roux G, et al., A high-resolution anatomical atlas of the transcriptome in the mouse embryo. PLoS Biol. 2011;9(1):e1000582
Assay type: RNA in situ
MGI Accession ID: MGI:4827802
Gene symbol: Rpl8
Gene name: ribosomal protein L8
Probe: IMAGE clone 1887838
Probe preparation: Antisense labelled with digoxigenin RNA
Visualized with: Alkaline phosphatase
Assay notes: Cryosections of fresh frozen material were fixed in 4% paraformaldehyde for 20 min. before further processing. A tyramide-biotin/streptavidin amplification step was included in the in situ hybridization procedure.
Results
Specimen euxassay_006230_01: embryonic day 14.5 (more )
Structure Level Pattern Image Note
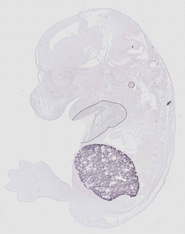
TS23: liver left lobe Strong Regionally restricted euxassay_006230_01

Specimen euxassay_006230_02: embryonic day 14.5 (more )
Structure Level Pattern Image Note
TS23: liver left lobe Strong Regionally restricted euxassay_006230_02

Specimen euxassay_006230_03: embryonic day 14.5 (more )
Structure Level Pattern Image Note
TS23: liver left lobe Strong Regionally restricted euxassay_006230_03

Specimen euxassay_006230_04: embryonic day 14.5 (more )
Structure Level Pattern Image Note
TS23: liver left lobe Strong Regionally restricted euxassay_006230_04

Specimen euxassay_006230_05: embryonic day 14.5 (more )
Structure Level Pattern Image Note
TS23: liver left lobe Strong Regionally restricted euxassay_006230_05

Specimen euxassay_006230_06: embryonic day 14.5 (more )
Structure Level Pattern Image Note
TS23: liver left lobe Strong Regionally restricted euxassay_006230_06

Specimen euxassay_006230_07: embryonic day 14.5 (more )
Structure Level Pattern Image Note
TS23: liver left lobe Strong Regionally restricted euxassay_006230_07

Specimen euxassay_006230_08: embryonic day 14.5 (more )
Structure Level Pattern Image Note
TS23: liver left lobe Strong Regionally restricted euxassay_006230_08

Specimen euxassay_006230_09: embryonic day 14.5 (more )
Structure Level Pattern Image Note
TS23: liver left lobe Strong Regionally restricted euxassay_006230_09

Specimen euxassay_006230_10: embryonic day 14.5 (more )
Structure Level Pattern Image Note
TS23: liver left lobe Strong Regionally restricted euxassay_006230_10

Specimen euxassay_006230_11: embryonic day 14.5 (more )
Structure Level Pattern Image Note
TS23: liver left lobe Strong Regionally restricted euxassay_006230_11

Specimen euxassay_006230_12: embryonic day 14.5 (more )
Structure Level Pattern Image Note
TS23: liver right lobe Strong Regionally restricted euxassay_006230_12

Specimen euxassay_006230_13: embryonic day 14.5 (more )
Structure Level Pattern Image Note
TS23: liver right lobe Strong Regionally restricted euxassay_006230_13

Specimen euxassay_006230_14: embryonic day 14.5 (more )
Structure Level Pattern Image Note
TS23: liver right lobe Strong Regionally restricted euxassay_006230_14

Specimen euxassay_006230_15: embryonic day 14.5 (more )
Structure Level Pattern Image Note
TS23: liver right lobe Strong Regionally restricted euxassay_006230_15

Specimen euxassay_006230_16: embryonic day 14.5 (more )
Structure Level Pattern Image Note
TS23: liver right lobe Strong Regionally restricted euxassay_006230_16

Specimen euxassay_006230_17: embryonic day 14.5 (more )
Structure Level Pattern Image Note
TS23: liver right lobe Strong Regionally restricted euxassay_006230_17

Specimen euxassay_006230_18: embryonic day 14.5 (more )
Structure Level Pattern Image Note
TS23: liver right lobe Strong Regionally restricted euxassay_006230_18

Specimen euxassay_006230_19: embryonic day 14.5 (more )
Structure Level Pattern Image Note
TS23: liver right lobe Strong Regionally restricted euxassay_006230_19


Contributing Projects:
Mouse Genome Database (MGD), Gene Expression Database (GXD), Mouse Models of Human Cancer database (MMHCdb) (formerly Mouse Tumor Biology (MTB)), Gene Ontology (GO)
Citing These Resources
Funding Information
Warranty Disclaimer, Privacy Notice, Licensing, & Copyright
Send questions and comments to User Support.
last database update
12/30/2025
MGI 6.24
The Jackson Laboratory