About   Help   FAQ
Gene Expression Data
Assay Details
Assay
Reference: J:153498 Diez-Roux G, et al., A high-resolution anatomical atlas of the transcriptome in the mouse embryo. PLoS Biol. 2011;9(1):e1000582
Assay type: RNA in situ
MGI Accession ID: MGI:4827620
Gene symbol: Rasa3
Gene name: RAS p21 protein activator 3
Probe: MGC clone 76415
Probe preparation: Antisense labelled with digoxigenin RNA
Visualized with: Alkaline phosphatase
Assay notes: Cryosections of fresh frozen material were fixed in 4% paraformaldehyde for 20 min. before further processing. A tyramide-biotin/streptavidin amplification step was included in the in situ hybridization procedure.
Results
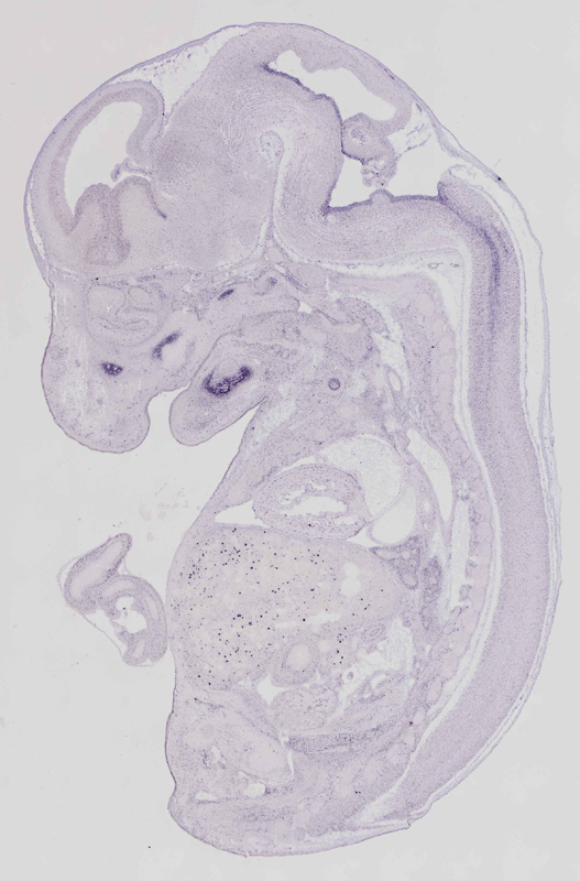
Specimen euxassay_006677_01: embryonic day 14.5 (more )
Structure Level Pattern Image Note
TS23: orbito-sphenoid Strong Regionally restricted euxassay_006677_01
TS23: rib Moderate Regionally restricted euxassay_006677_01
TS23: liver left lobe Strong Spotted euxassay_006677_01

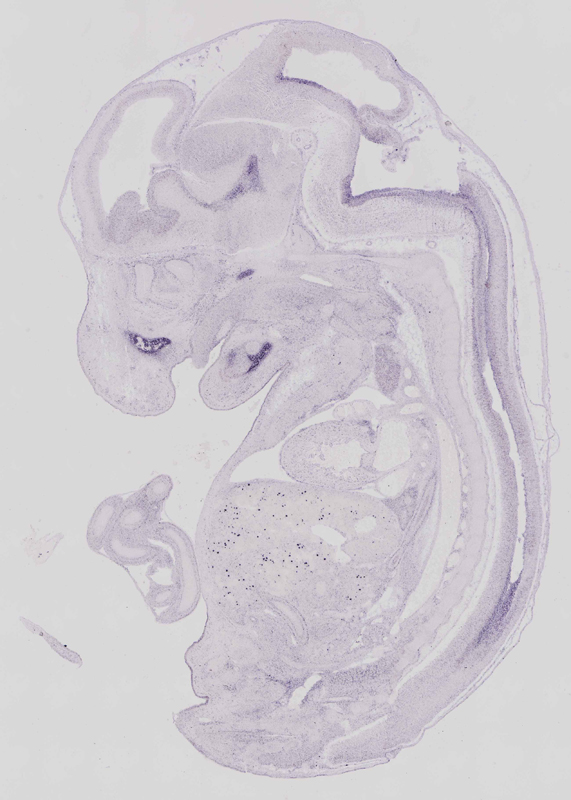
Specimen euxassay_006677_02: embryonic day 14.5 (more )
Structure Level Pattern Image Note
TS23: orbito-sphenoid Strong Regionally restricted euxassay_006677_02
TS23: rib Moderate Regionally restricted euxassay_006677_02
TS23: liver left lobe Strong Spotted euxassay_006677_02
TS23: rest of cerebellum ventricular layer Moderate Regionally restricted euxassay_006677_02
TS23: telencephalon ventricular layer Weak Regionally restricted euxassay_006677_02

Specimen euxassay_006677_03: embryonic day 14.5 (more )
Structure Level Pattern Image Note
TS23: orbito-sphenoid Strong Regionally restricted euxassay_006677_03
TS23: rib Moderate Regionally restricted euxassay_006677_03
TS23: liver left lobe Strong Spotted euxassay_006677_03
TS23: mandible Strong Regionally restricted euxassay_006677_03
TS23: rest of cerebellum ventricular layer Moderate Regionally restricted euxassay_006677_03
TS23: telencephalon ventricular layer Weak Regionally restricted euxassay_006677_03

Specimen euxassay_006677_04: embryonic day 14.5 (more )
Structure Level Pattern Image Note
TS23: orbito-sphenoid Strong Regionally restricted euxassay_006677_04
TS23: rib Moderate Regionally restricted euxassay_006677_04
TS23: liver left lobe Strong Spotted euxassay_006677_04
TS23: mandible Strong Regionally restricted euxassay_006677_04
TS23: maxilla Strong Regionally restricted euxassay_006677_04
TS23: rest of cerebellum ventricular layer Moderate Regionally restricted euxassay_006677_04
TS23: telencephalon ventricular layer Weak Regionally restricted euxassay_006677_04

Specimen euxassay_006677_05: embryonic day 14.5 (more )
Structure Level Pattern Image Note
TS23: orbito-sphenoid Strong Regionally restricted euxassay_006677_05
TS23: rib Moderate Regionally restricted euxassay_006677_05
TS23: liver left lobe Strong Spotted euxassay_006677_05
TS23: maxilla Strong Regionally restricted euxassay_006677_05
TS23: mandible Strong Regionally restricted euxassay_006677_05
TS23: rest of cerebellum ventricular layer Strong Regionally restricted euxassay_006677_05
TS23: pons ventricular layer Strong Regionally restricted euxassay_006677_05
TS23: telencephalon ventricular layer Weak Regionally restricted euxassay_006677_05

Specimen euxassay_006677_06: embryonic day 14.5 (more )
Structure Level Pattern Image Note
TS23: orbito-sphenoid Strong Regionally restricted euxassay_006677_06
TS23: rib Moderate Regionally restricted euxassay_006677_06
TS23: liver left lobe Strong Spotted euxassay_006677_06
TS23: maxilla Strong Regionally restricted euxassay_006677_06
TS23: mandible Strong Regionally restricted euxassay_006677_06
TS23: pons ventricular layer Strong Regionally restricted euxassay_006677_06
TS23: rest of cerebellum ventricular layer Strong Regionally restricted euxassay_006677_06
TS23: telencephalon ventricular layer Weak Regionally restricted euxassay_006677_06

Specimen euxassay_006677_07: embryonic day 14.5 (more )
Structure Level Pattern Image Note
TS23: rib Moderate Regionally restricted euxassay_006677_07
TS23: liver left lobe Strong Spotted euxassay_006677_07
TS23: maxilla Strong Regionally restricted euxassay_006677_07
TS23: mandible Strong Regionally restricted euxassay_006677_07
TS23: rest of cerebellum ventricular layer Weak Regionally restricted euxassay_006677_07
TS23: pons ventricular layer Weak Regionally restricted euxassay_006677_07
TS23: midbrain ventricular layer Moderate Regionally restricted euxassay_006677_07
TS23: telencephalon ventricular layer Weak Regionally restricted euxassay_006677_07

Specimen euxassay_006677_08: embryonic day 14.5 (more )
Structure Level Pattern Image Note
TS23: liver left lobe Strong Spotted euxassay_006677_08
TS23: maxilla Strong Regionally restricted euxassay_006677_08
TS23: mandible Strong Regionally restricted euxassay_006677_08
TS23: pons ventricular layer Weak Regionally restricted euxassay_006677_08
TS23: rest of cerebellum ventricular layer Weak Regionally restricted euxassay_006677_08
TS23: midbrain ventricular layer Moderate Regionally restricted euxassay_006677_08
TS23: telencephalon ventricular layer Weak Regionally restricted euxassay_006677_08

Specimen euxassay_006677_09: embryonic day 14.5 (more )
Structure Level Pattern Image Note
TS23: liver left lobe Strong Spotted euxassay_006677_09
TS23: mandible Strong Regionally restricted euxassay_006677_09
TS23: maxilla Strong Regionally restricted euxassay_006677_09
TS23: pons ventricular layer Weak Regionally restricted euxassay_006677_09
TS23: midbrain ventricular layer Moderate Regionally restricted euxassay_006677_09
TS23: telencephalon ventricular layer Weak Regionally restricted euxassay_006677_09

Specimen euxassay_006677_10: embryonic day 14.5 (more )
Structure Level Pattern Image Note
TS23: liver left lobe Strong Spotted euxassay_006677_10
TS23: mandible Strong Regionally restricted euxassay_006677_10
TS23: maxilla Strong Regionally restricted euxassay_006677_10
TS23: pons ventricular layer Weak Regionally restricted euxassay_006677_10
TS23: spinal cord ventricular layer Moderate Regionally restricted euxassay_006677_10
TS23: midbrain ventricular layer Moderate Regionally restricted euxassay_006677_10
TS23: telencephalon ventricular layer Weak Regionally restricted euxassay_006677_10

Specimen euxassay_006677_11: embryonic day 14.5 (more )
Structure Level Pattern Image Note
TS23: liver left lobe Strong Spotted euxassay_006677_11
TS23: mandible Strong Regionally restricted euxassay_006677_11
TS23: maxilla Strong Regionally restricted euxassay_006677_11
TS23: pons ventricular layer Weak Regionally restricted euxassay_006677_11
TS23: spinal cord ventricular layer Moderate Regionally restricted euxassay_006677_11
TS23: midbrain ventricular layer Moderate Regionally restricted euxassay_006677_11
TS23: hypothalamus ventricular layer Moderate Regionally restricted euxassay_006677_11
TS23: diencephalon lateral wall ventricular layer Moderate Regionally restricted euxassay_006677_11
TS23: telencephalon ventricular layer Weak Regionally restricted euxassay_006677_11

Specimen euxassay_006677_12: embryonic day 14.5 (more )
Structure Level Pattern Image Note
TS23: liver left lobe Strong Spotted euxassay_006677_12
TS23: maxilla Strong Regionally restricted euxassay_006677_12
TS23: mandible Strong Regionally restricted euxassay_006677_12
TS23: pons ventricular layer Weak Regionally restricted euxassay_006677_12
TS23: spinal cord ventricular layer Moderate Regionally restricted euxassay_006677_12
TS23: midbrain ventricular layer Moderate Regionally restricted euxassay_006677_12
TS23: hypothalamus ventricular layer Moderate Regionally restricted euxassay_006677_12
TS23: diencephalon lateral wall ventricular layer Moderate Regionally restricted euxassay_006677_12
TS23: telencephalon ventricular layer Weak Regionally restricted euxassay_006677_12
TS23: olfactory cortex ventricular layer Weak Regionally restricted euxassay_006677_12

Specimen euxassay_006677_13: embryonic day 14.5 (more )
Structure Level Pattern Image Note
TS23: liver right lobe Strong Spotted euxassay_006677_13
TS23: upper jaw incisor Strong Regionally restricted euxassay_006677_13
TS23: lower jaw incisor Strong Regionally restricted euxassay_006677_13
TS23: pons ventricular layer Weak Regionally restricted euxassay_006677_13
TS23: midbrain ventricular layer Moderate Regionally restricted euxassay_006677_13
TS23: diencephalon lateral wall ventricular layer Moderate Regionally restricted euxassay_006677_13
TS23: hypothalamus ventricular layer Moderate Regionally restricted euxassay_006677_13
TS23: olfactory cortex ventricular layer Weak Regionally restricted euxassay_006677_13
TS23: telencephalon ventricular layer Weak Regionally restricted euxassay_006677_13

Specimen euxassay_006677_14: embryonic day 14.5 (more )
Structure Level Pattern Image Note
TS23: liver right lobe Strong Spotted euxassay_006677_14
TS23: upper jaw incisor Strong Regionally restricted euxassay_006677_14
TS23: pons ventricular layer Weak Regionally restricted euxassay_006677_14
TS23: midbrain ventricular layer Moderate Regionally restricted euxassay_006677_14
TS23: diencephalon lateral wall ventricular layer Moderate Regionally restricted euxassay_006677_14
TS23: hypothalamus ventricular layer Moderate Regionally restricted euxassay_006677_14
TS23: telencephalon ventricular layer Weak Regionally restricted euxassay_006677_14
TS23: olfactory cortex ventricular layer Weak Regionally restricted euxassay_006677_14

Specimen euxassay_006677_15: embryonic day 14.5 (more )
Structure Level Pattern Image Note
TS23: liver right lobe Strong Spotted euxassay_006677_15
TS23: pons ventricular layer Weak Regionally restricted euxassay_006677_15
TS23: midbrain ventricular layer Moderate Regionally restricted euxassay_006677_15

Specimen euxassay_006677_16: embryonic day 14.5 (more )
Structure Level Pattern Image Note
TS23: liver right lobe Strong Spotted euxassay_006677_16
TS23: lower jaw incisor Strong Regionally restricted euxassay_006677_16
TS23: pons ventricular layer Weak Regionally restricted euxassay_006677_16

Specimen euxassay_006677_17: embryonic day 14.5 (more )
Structure Level Pattern Image Note
TS23: rib Moderate Regionally restricted euxassay_006677_17
TS23: liver right lobe Strong Spotted euxassay_006677_17
TS23: mandible Strong Regionally restricted euxassay_006677_17
TS23: upper jaw incisor Strong Regionally restricted euxassay_006677_17
TS23: pons ventricular layer Weak Regionally restricted euxassay_006677_17
TS23: rest of cerebellum ventricular layer Weak Regionally restricted euxassay_006677_17
TS23: olfactory cortex ventricular layer Weak Regionally restricted euxassay_006677_17
TS23: telencephalon ventricular layer Weak Regionally restricted euxassay_006677_17

Specimen euxassay_006677_18: embryonic day 14.5 (more )
Structure Level Pattern Image Note
TS23: rib Moderate Regionally restricted euxassay_006677_18
TS23: liver right lobe Strong Spotted euxassay_006677_18
TS23: mandible Strong Regionally restricted euxassay_006677_18
TS23: maxilla Strong Regionally restricted euxassay_006677_18
TS23: rest of cerebellum ventricular layer Weak Regionally restricted euxassay_006677_18
TS23: pons ventricular layer Weak Regionally restricted euxassay_006677_18
TS23: olfactory cortex ventricular layer Weak Regionally restricted euxassay_006677_18
TS23: telencephalon ventricular layer Weak Regionally restricted euxassay_006677_18

Specimen euxassay_006677_19: embryonic day 14.5 (more )
Structure Level Pattern Image Note
TS23: rib Moderate Regionally restricted euxassay_006677_19
TS23: liver right lobe Strong Spotted euxassay_006677_19
TS23: maxilla Strong Regionally restricted euxassay_006677_19
TS23: mandible Strong Regionally restricted euxassay_006677_19
TS23: rest of cerebellum ventricular layer Weak Regionally restricted euxassay_006677_19
TS23: olfactory cortex ventricular layer Weak Regionally restricted euxassay_006677_19
TS23: telencephalon ventricular layer Weak Regionally restricted euxassay_006677_19

Specimen euxassay_006677_20: embryonic day 14.5 (more )
Structure Level Pattern Image Note
TS23: rib Moderate Regionally restricted euxassay_006677_20
TS23: liver right lobe Strong Spotted euxassay_006677_20
TS23: maxilla Strong Regionally restricted euxassay_006677_20
TS23: mandible Strong Regionally restricted euxassay_006677_20
TS23: rest of cerebellum ventricular layer Moderate Regionally restricted euxassay_006677_20
TS23: telencephalon ventricular layer Weak Regionally restricted euxassay_006677_20

Specimen euxassay_006677_21: embryonic day 14.5 (more )
Structure Level Pattern Image Note
TS23: rib Moderate Regionally restricted euxassay_006677_21
TS23: liver right lobe Strong Spotted euxassay_006677_21
TS23: maxilla Strong Regionally restricted euxassay_006677_21
TS23: mandible Strong Regionally restricted euxassay_006677_21
TS23: telencephalon ventricular layer Weak Regionally restricted euxassay_006677_21

Specimen euxassay_006677_22: embryonic day 14.5 (more )
Structure Level Pattern Image Note
TS23: rib Moderate Regionally restricted euxassay_006677_22
TS23: liver right lobe Strong Spotted euxassay_006677_22
TS23: maxilla Strong Regionally restricted euxassay_006677_22
TS23: mandible Strong Regionally restricted euxassay_006677_22
TS23: telencephalon ventricular layer Weak Regionally restricted euxassay_006677_22

Specimen euxassay_006677_23: embryonic day 14.5 (more )
Structure Level Pattern Image Note
TS23: orbito-sphenoid Strong Regionally restricted euxassay_006677_23
TS23: rib Moderate Regionally restricted euxassay_006677_23
TS23: liver right lobe Strong Spotted euxassay_006677_23
TS23: mandible Strong Regionally restricted euxassay_006677_23
TS23: maxilla Strong Regionally restricted euxassay_006677_23
TS23: telencephalon ventricular layer Weak Regionally restricted euxassay_006677_23

Specimen euxassay_006677_24: embryonic day 14.5 (more )
Structure Level Pattern Image Note
TS23: orbito-sphenoid Strong Regionally restricted euxassay_006677_24
TS23: liver right lobe Strong Spotted euxassay_006677_24


Contributing Projects:
Mouse Genome Database (MGD), Gene Expression Database (GXD), Mouse Models of Human Cancer database (MMHCdb) (formerly Mouse Tumor Biology (MTB)), Gene Ontology (GO)
Citing These Resources
Funding Information
Warranty Disclaimer, Privacy Notice, Licensing, & Copyright
Send questions and comments to User Support.
last database update
03/24/2026
MGI 6.24
The Jackson Laboratory